Tốt nghiệp Đại học Dược Hà Nội, với hơn 10 năm kinh nghiệm trong lĩnh vực Dược phẩm. Hiện là giảng viên giảng dạy các môn Dược lý, Dược lâm sàng,...
Cẩm Ly
17/01/2025
Mặc định
Lớn hơn
Mắc cài cánh cam là phương pháp niềng răng hiện đại, giúp cải thiện hiệu quả điều trị và thẩm mỹ. Cùng tìm hiểu ưu, nhược điểm của phương pháp niềng răng này trước khi ra quyết định niềng nhé.
Trong xã hội hiện đại, việc sở hữu một hàm răng đều đặn, đẹp mắt không chỉ là yếu tố thẩm mỹ mà còn ảnh hưởng trực tiếp đến sức khỏe răng miệng và sự tự tin của mỗi người. Để có được nụ cười hoàn hảo, nhiều người đã lựa chọn phương pháp niềng răng như một giải pháp hữu hiệu. Trong số các phương pháp niềng răng hiện đại, niềng răng mắc cài cánh cam đang trở thành một lựa chọn ưu việt, đặc biệt là khi phương pháp này khắc phục được những nhược điểm của các loại mắc cài truyền thống.
Trong bài viết này, hãy cùng tìm hiểu chi tiết về niềng răng mắc cài cánh cam, từ khái niệm, ưu nhược điểm, giá cả cho đến các yếu tố ảnh hưởng đến chi phí, cũng như những lưu ý cần thiết khi lựa chọn phương pháp này nhé.
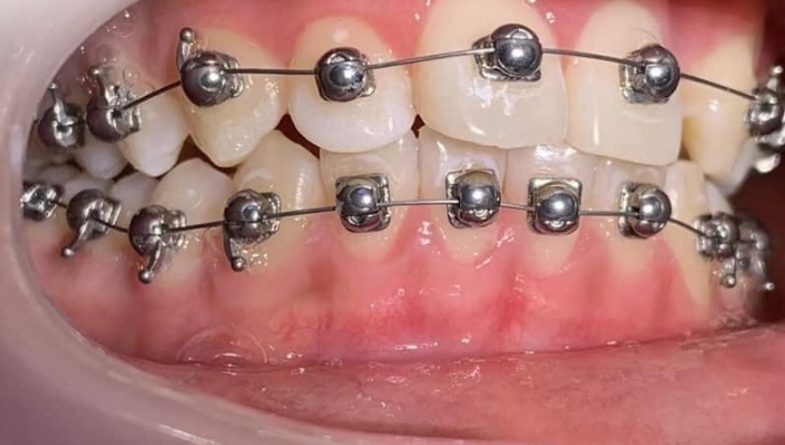
Niềng răng mắc cài cánh cam là một trong những phương pháp chỉnh nha hiện đại được nhiều người lựa chọn để cải thiện cấu trúc răng miệng của mình. Khác với các mắc cài kim loại truyền thống, mắc cài cánh cam có thiết kế đặc biệt với phần đế hình cánh cam, mang đến một lực tác động ổn định và nhẹ nhàng vào răng, từ đó giúp di chuyển răng đến vị trí mong muốn một cách hiệu quả. Mặc dù phương pháp này không phải là mới, nhưng sự phát triển và cải tiến về công nghệ đã giúp cho mắc cài cánh cam trở thành một lựa chọn tối ưu cho những ai muốn có một nụ cười đẹp mà không gặp phải các vấn đề như kích ứng nướu hay khó khăn trong việc vệ sinh răng miệng.
Các mắc cài cánh cam có thể được làm từ hai loại vật liệu chính, đó là sứ và kim loại. Mắc cài sứ được ưa chuộng vì tính thẩm mỹ cao, dễ hòa hợp với màu răng tự nhiên, trong khi mắc cài kim loại lại được lựa chọn nhờ độ bền và khả năng chịu lực tốt. Thời gian niềng răng mắc cài cánh cam có thể kéo dài từ 18 đến 36 tháng, tùy thuộc vào mức độ lệch lạc của răng và tình trạng sức khỏe răng miệng của người sử dụng.

So với các phương pháp niềng răng truyền thống, niềng răng mắc cài cánh cam có thể đem lại hiệu quả chỉnh nha cao hơn nhờ thiết kế cải tiến, giúp lực kéo răng được phân bố đều và ổn định hơn. Đồng thời, với thiết kế thông minh, mắc cài này còn hạn chế được tình trạng xước niêm mạc miệng và lưỡi, điều thường gặp khi sử dụng các loại mắc cài kim loại thông thường.
Niềng răng mắc cài cánh cam, mặc dù có rất nhiều ưu điểm, nhưng cũng không thiếu những hạn chế cần được cân nhắc kỹ lưỡng trước khi quyết định thực hiện. Dưới đây là những ưu điểm và nhược điểm nổi bật của phương pháp này.
Mắc cài cánh cam được thiết kế nhỏ gọn, bề mặt trơn nhẵn, khiến người niềng cảm thấy thoải mái hơn trong suốt quá trình điều trị. Mắc cài này không gây cộm vướng hay đau đớn như các mắc cài kim loại thông thường, đặc biệt là không làm xước niêm mạc miệng hay lưỡi.
Với chất liệu cao cấp, mắc cài cánh cam không gây kích ứng nướu và có độ bền tốt, giảm thiểu nguy cơ viêm lợi hay tụt lợi trong suốt quá trình niềng răng. Điều này làm tăng hiệu quả điều trị và giúp quá trình phục hồi diễn ra nhanh chóng.
Một trong những điểm mạnh của mắc cài cánh cam là khả năng giúp người sử dụng dễ dàng vệ sinh răng miệng hơn so với các loại mắc cài truyền thống. Bề mặt trơn nhẵn của mắc cài giảm thiểu sự tích tụ của thức ăn và mảng bám, giúp việc chăm sóc răng miệng trở nên đơn giản hơn.

Mắc cài cánh cam kéo dài thời gian niềng răng ngắn hơn khoảng 30% so với các phương pháp niềng răng truyền thống. Điều này giúp giảm thiểu sự khó chịu và chi phí điều trị trong suốt quá trình niềng răng.
Chất liệu mắc cài cao cấp và độ bám dính tốt có tác dụng giảm thiểu tình trạng mắc cài bị bong tróc hay gãy vỡ trong suốt thời gian niềng, từ đó giúp tiết kiệm chi phí bảo trì cho bệnh nhân.
Một trong những nhược điểm lớn nhất của niềng răng mắc cài cánh cam là chi phí khá cao so với các phương pháp niềng răng truyền thống. Đặc biệt, nếu chọn mắc cài sứ, chi phí có thể cao hơn nhiều lần do vật liệu và công nghệ sản xuất.
Mặc dù phương pháp này dễ dàng thực hiện, nhưng để đạt hiệu quả tối ưu, bác sĩ thực hiện phải có kỹ năng và tay nghề cao. Bởi lẽ, nếu mắc cài không được đặt đúng vị trí hoặc lực kéo không đều, quá trình niềng răng sẽ không hiệu quả, thậm chí có thể gây ra các biến chứng.
Như bất kỳ phương pháp niềng răng nào khác, niềng răng mắc cài cánh cam cũng có thể gây ra cảm giác đau nhức, khó chịu trong giai đoạn đầu khi mắc cài mới được gắn vào. Tuy nhiên, cảm giác này sẽ giảm dần sau vài ngày.

Chi phí để sở hữu hàm răng đều đẹp với mắc cài cánh cam không cố định, dao động trong khoảng 25 triệu đến 70 triệu đồng. Tuy nhiên, đây mới chỉ là một ước tính ban đầu, giá cuối cùng có thể thay đổi tùy thuộc vào tình trạng răng miệng của từng người.
Để biết chính xác chi phí niềng răng bằng mắc cài cánh cam, bạn nên đến trực tiếp các nha khoa và tham khảo ý kiến của bác sĩ. Bác sĩ sẽ tiến hành khám răng và tư vấn cho bạn một gói dịch vụ phù hợp nhất.
Chi phí niềng răng mắc cài cánh cam không chỉ phụ thuộc vào giá mắc cài mà còn bị ảnh hưởng bởi nhiều yếu tố khác nhau. Dưới đây là những yếu tố chính có thể tác động đến chi phí tổng thể của một ca niềng răng.
Trước khi bắt đầu quá trình niềng răng, nếu bạn có các vấn đề về răng miệng như sâu răng, viêm nướu hay các bệnh lý khác, bác sĩ sẽ cần điều trị các vấn đề này trước khi tiến hành niềng. Chi phí điều trị các vấn đề này sẽ được tính thêm vào chi phí niềng răng, làm tăng tổng chi phí.
Nếu răng của bạn bị lệch lạc nghiêm trọng, chẳng hạn như hô, móm hay sai khớp cắn nặng, quá trình điều trị sẽ tốn nhiều thời gian và công sức hơn. Trong những trường hợp này, bác sĩ sẽ phải thực hiện các thủ thuật chỉnh sửa phức tạp hơn, dẫn đến chi phí điều trị tăng cao. Đặc biệt, nếu cần phẫu thuật chỉnh hàm trước khi niềng, chi phí sẽ còn cao hơn nữa.

Mỗi phòng khám nha khoa sẽ có mức giá niềng răng mắc cài cánh cam khác nhau. Các phòng khám lớn, có uy tín và đội ngũ bác sĩ giỏi thường sẽ có mức giá cao hơn. Tuy nhiên, họ cũng đảm bảo về chất lượng dịch vụ và hiệu quả điều trị, giúp bạn an tâm hơn trong suốt quá trình niềng răng.
Như đã đề cập, mắc cài cánh cam có thể làm từ sứ hoặc kim loại. Mắc cài sứ có giá thành cao hơn do tính thẩm mỹ và khả năng ít gây kích ứng, trong khi mắc cài kim loại tuy bền chắc hơn nhưng lại ít thẩm mỹ.
Bác sĩ có tay nghề và kinh nghiệm cao sẽ giúp rút ngắn thời gian điều trị và đảm bảo kết quả chính xác. Tuy nhiên, bác sĩ có uy tín và chuyên môn cao thường có mức phí dịch vụ cao hơn so với những bác sĩ khác. Điều này sẽ ảnh hưởng đến chi phí tổng thể của quá trình niềng răng.
Khi quyết định niềng răng mắc cài cánh cam, bạn cần lưu ý một số điểm quan trọng để đảm bảo chất lượng và chi phí hợp lý:
Niềng răng mắc cài cánh cam là một giải pháp chỉnh nha hiệu quả, đem lại sự thoải mái, an toàn và kết quả lâu dài cho người sử dụng. Tuy nhiên, trước khi quyết định thực hiện phương pháp này, bạn cần cân nhắc kỹ về các yếu tố ảnh hưởng đến chi phí và lựa chọn đơn vị nha khoa uy tín để đảm bảo chất lượng và kết quả tốt nhất. Bằng cách hiểu rõ những ưu nhược điểm, giá cả và các yếu tố ảnh hưởng đến chi phí, bạn sẽ có sự chuẩn bị tốt nhất cho quá trình niềng răng của mình, mang lại một nụ cười tự tin và hoàn hảo.
Xem thêm: Những điều cần biết trước khi niềng răng mắc cài kim loại mặt trong
Dược sĩ Đại họcNguyễn Thanh Hải
Tốt nghiệp Đại học Dược Hà Nội, với hơn 10 năm kinh nghiệm trong lĩnh vực Dược phẩm. Hiện là giảng viên giảng dạy các môn Dược lý, Dược lâm sàng,...