• Thực phẩm chức năng

  • Dược mỹ phẩm

  • Thuốc

  • Chăm sóc cá nhân

  • Thiết bị y tế

  • Tiêm chủng

  • Bệnh & Góc sức khỏe

  • Hệ thống nhà thuốc

    1. /
    2. Góc sức khỏe/
    3. Tin tức sức khỏe/
    4. Tin y dược

    Những điều cần biết trước khi niềng răng mắc cài kim loại mặt trong

    Ngọc Diễm

    17/01/2025

    Kích thước chữ

    Niềng răng không chỉ là phương pháp giúp cải thiện thẩm mỹ cho nụ cười mà còn góp phần điều chỉnh khớp cắn và sức khỏe răng miệng tổng thể. Trong số các phương pháp chỉnh nha hiện nay, niềng răng mắc cài kim loại mặt trong nổi bật nhờ khả năng ẩn mình hoàn toàn phía sau răng. Hãy cùng chúng tôi tìm hiểu chi tiết hơn về chủ đề niềng răng mắc cài kim loại mặt trong và một số thông tin liên quan nhé!

    Niềng răng mắc cài kim loại mặt trong là giải pháp thẩm mỹ được nhiều người lựa chọn để cải thiện nụ cười mà không lo lộ mắc cài. Tuy nhiên, do đặc thù thiết kế và cách thức hoạt động, phương pháp này có những ưu điểm và hạn chế riêng. Để đảm bảo bạn có sự chuẩn bị tốt nhất, hãy cùng tìm hiểu những điều cần biết trước khi lựa chọn niềng răng mắc cài kim loại mặt trong.

    Có bao nhiêu phương pháp niềng răng phổ biến hiện nay?

    Hiện nay, niềng răng là một trong những phương pháp chỉnh nha phổ biến nhất, được nhiều người lựa chọn để khắc phục các vấn đề như răng hô, móm, lệch lạc hoặc thưa. Với sự phát triển của công nghệ nha khoa, các phương pháp niềng răng ngày càng đa dạng, mang đến nhiều sự lựa chọn phù hợp với nhu cầu của mỗi người. Vậy có bao nhiêu phương pháp niềng răng đang được áp dụng hiện nay? Hãy cùng khám phá để hiểu rõ hơn về các kỹ thuật chỉnh nha và tìm ra giải pháp phù hợp nhất cho mình:

    • Niềng răng mắc cài kim loại: Là một phương pháp chỉnh nha truyền thống, sử dụng hệ thống mắc cài và dây cung để điều chỉnh vị trí của răng. Trong đó, các mắc cài được làm từ kim loại không gỉ, chắc chắn, được gắn cố định lên bề mặt răng. Dây cung được luồn qua các rãnh của mắc cài và cố định bằng dây thun hoặc kẹp kim loại để tạo lực kéo giúp dịch chuyển răng dần dần về đúng vị trí.
    • Niềng răng mắc cài sứ: Là một phương pháp chỉnh nha sử dụng các mắc cài được làm từ chất liệu sứ hoặc composite cao cấp, có màu sắc gần giống với răng tự nhiên. Phương pháp này hoạt động tương tự như niềng răng mắc cài kim loại.
    • Niềng răng mắc cài mặt trong (mặt lưỡi): Là một phương pháp chỉnh nha tiên tiến, trong đó các mắc cài được gắn vào mặt trong của răng, thay vì mặt ngoài như các phương pháp truyền thống. Điều này giúp giấu hoàn toàn hệ thống niềng răng, mang lại tính thẩm mỹ cao, đặc biệt phù hợp với những người muốn chỉnh nha mà không để lộ mắc cài khi giao tiếp.
    • Niềng răng trong suốt (khay niềng Invisalign): Là một phương pháp chỉnh nha hiện đại, sử dụng các khay niềng làm từ nhựa trong suốt, được thiết kế riêng biệt theo khuôn hàm của từng người. Khay niềng được thiết kế vừa khít với răng, từ từ điều chỉnh vị trí răng về đúng chỗ mà không cần sử dụng mắc cài hoặc dây cung.
    Những điều cần biết trước khi niềng răng mắc cài kim loại mặt trong 1
    Hiện nay có 4 phương pháp niềng răng phổ biến được nhiều người lựa chọn nhất

    Ưu điểm và nhược điểm của niềng răng mắc cài kim loại mặt trong

    Niềng răng mắc cài kim loại mặt trong là một phương pháp chỉnh nha hiệu quả, trong đó mắc cài được gắn vào mặt trong của răng thay vì mặt ngoài như phương pháp truyền thống. Dưới đây là một số ưu điểm và nhược điểm của phương pháp này.

    Ưu điểm

    Niềng răng mắc cài mặt trong nổi bật với tính thẩm mỹ vượt trội, vì hệ thống mắc cài được gắn ở mặt trong của răng, hoàn toàn ẩn khỏi tầm nhìn. Điều này đặc biệt hữu ích cho những người làm việc trong môi trường đòi hỏi giao tiếp thường xuyên hoặc cần duy trì hình ảnh chuyên nghiệp. Phương pháp này cũng mang lại hiệu quả chỉnh nha cao, phù hợp với hầu hết các trường hợp răng lệch lạc từ nhẹ đến phức tạp. Ngoài ra, mắc cài kim loại có độ bền cao, đảm bảo không dễ gãy hay nứt trong quá trình sử dụng giúp duy trì hiệu quả chỉnh nha ổn định.

    nhung-dieu-can-biet-truoc-khi-nieng-rang-mac-cai-kim-loai-mat-trong 2.jpg
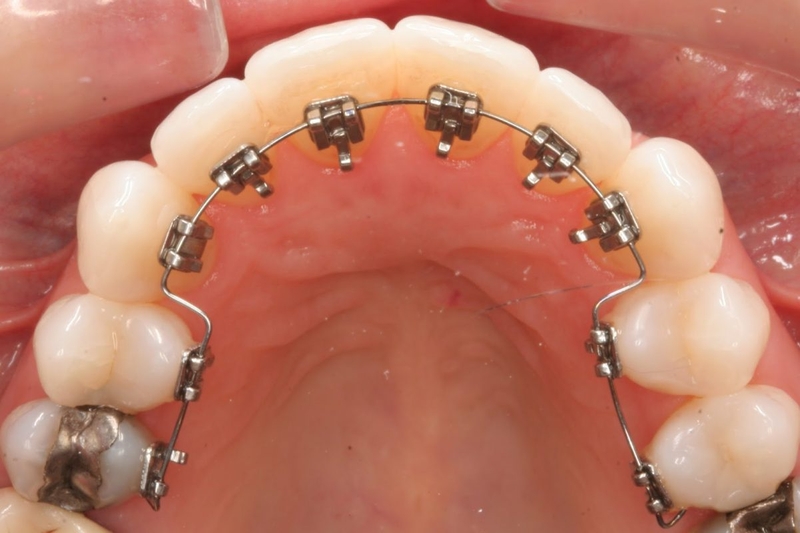
    Niềng răng mắc cài kim loại mặt trong có ưu điểm tính thẩm mỹ vượt trội so với niềng răng mắc cài kim loại mặt ngoài

    Nhược điểm

    Mặc dù có nhiều ưu điểm, niềng răng mặt trong cũng tồn tại một số hạn chế. Đầu tiên là chi phí cao hơn so với các phương pháp khác do kỹ thuật phức tạp và yêu cầu bác sĩ chỉnh nha có tay nghề cao. Ngoài ra, mắc cài mặt trong tiếp xúc trực tiếp với lưỡi, có thể gây khó chịu, đau rát hoặc thậm chí tổn thương lưỡi trong thời gian đầu sử dụng. Phương pháp này cũng khó vệ sinh hơn do vị trí mắc cài khuất, làm tăng nguy cơ tích tụ mảng bám và vi khuẩn. Thời gian điều trị có thể kéo dài hơn một chút so với mắc cài mặt ngoài, đặc biệt khi người dùng không thích nghi tốt.

    nhung-dieu-can-biet-truoc-khi-nieng-rang-mac-cai-kim-loai-mat-trong 3.jpg
    Niềng răng mắc cài kim loại mặt trong rất khó có thể vệ sinh sạch ở bên trong răng

    Những điều cần lưu ý khi niềng răng mắc cài kim loại mặt trong

    Niềng răng mắc cài kim loại mặt trong là lựa chọn lý tưởng cho những ai muốn chỉnh nha mà vẫn duy trì tính thẩm mỹ trong suốt quá trình điều trị. Tuy nhiên, để đảm bảo hiệu quả tối ưu và hạn chế các vấn đề không mong muốn, người dùng cần lưu ý nhiều yếu tố từ việc lựa chọn bác sĩ chỉnh nha, chăm sóc răng miệng cho đến cách thích nghi với mắc cài. Hãy cùng khám phá để chuẩn bị thật tốt cho hành trình chỉnh nha của mình:

    • Lựa chọn bác sĩ chỉnh nha uy tín: Niềng răng mắc cài mặt trong đòi hỏi kỹ thuật cao hơn so với các phương pháp khác. Do đó, bạn cần chọn một bác sĩ giàu kinh nghiệm và một phòng khám nha khoa uy tín để đảm bảo quá trình điều trị diễn ra an toàn và hiệu quả.
    • Thời gian thích nghi: Do mắc cài gắn ở mặt trong răng, bạn có thể gặp khó khăn khi nói chuyện hoặc cảm giác đau rát lưỡi trong thời gian đầu. Hãy kiên nhẫn và hỏi ý kiến bác sĩ nếu cần biện pháp giảm gây khó chịu cho lưỡi.
    • Chăm sóc vệ sinh răng miệng kỹ lưỡng: Mắc cài mặt trong khó vệ sinh hơn vì vị trí khuất. Hãy sử dụng bàn chải kẽ răng, chỉ nha khoa và nước súc miệng để đảm bảo răng miệng luôn sạch sẽ, ngăn ngừa mảng bám và sâu răng.
    • Tuân thủ lịch tái khám: Để đảm bảo mắc cài luôn hoạt động đúng, bạn cần tuân thủ lịch tái khám đều đặn do bác sĩ đặt ra. Điều này cũng giúp phát hiện sớm và khắc phục các vấn đề nếu có.
    • Cẩn thận khi ăn uống: Tránh thực phẩm cứng, dính hoặc quá dai vì chúng có thể làm hỏng mắc cài. Hãy cắt nhỏ thức ăn và ưu tiên các món mềm để giảm áp lực lên dây cung.
    nhung-dieu-can-biet-truoc-khi-nieng-rang-mac-cai-kim-loai-mat-trong 4.jpg
    Hãy chú ý lịch tái khám răng của nha sĩ để đảm bảo răng của bạn được bảo vệ tốt nhất

    Niềng răng mắc cài kim loại mặt trong là giải pháp chỉnh nha vừa hiệu quả vừa đảm bảo tính thẩm mỹ cao giúp bạn tự tin hơn trong suốt quá trình điều trị. Tuy nhiên, phương pháp này đòi hỏi sự chuẩn bị kỹ lưỡng. Với những thông tin trên, hy vọng bạn đã nắm được những điều cần biết trước khi bắt đầu hành trình chỉnh nha này.

    Xem thêm: Chi tiết về các giai đoạn niềng răng móm mà bạn cần biết

    Có thể bạn quan tâm

    Thông tin và sản phẩm gợi ý trong bài viết chỉ mang tính chất tham khảo, vui lòng liên hệ với Bác sĩ, Dược sĩ hoặc chuyên viên y tế để được tư vấn cụ thể. Xem thêm

    Dược sĩ Đại họcTrần Huỳnh Minh Nhật

    Đã kiểm duyệt nội dung

    Dược sĩ chuyên khoa Dược lý - Dược lâm sàng. Tốt nghiệp 2 trường đại học Mở và Y Dược TP. Hồ Chí Minh. Có kinh nghiệm nghiên cứu về lĩnh vực sức khỏe, đạt được nhiều giải thưởng khoa học. Hiện là Dược sĩ chuyên môn phụ trách xây dựng nội dung và triển khai dự án đào tạo - Hội đồng chuyên môn tại Nhà thuốc Long Châu.

    Xem thêm thông tin