18/09/2025
Mặc định
Lớn hơn
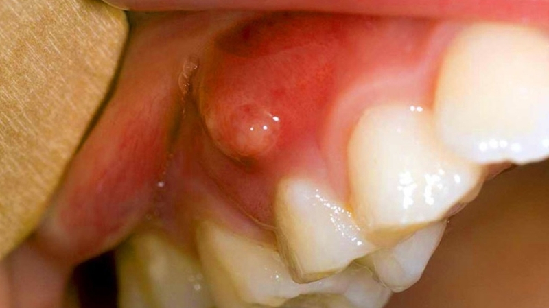
Mọc mụn ở lợi chân răng không chỉ gây đau nhức, khó chịu, hơi thở có mùi mà còn gây ảnh hưởng đến sức khỏe răng miệng. Vì vậy, cần được phát hiện và điều trị triệt để tình trạng này càng sớm càng tốt.
Mọc mụn ở lợi chân răng là một vấn đề rất phổ biến và đáng lo ngại đối với nhiều người. Nó có thể gây ra rất nhiều khó chịu và đau đớn, đặc biệt là khi bạn ăn hoặc chải răng. Tuy nhiên, bạn không cần phải lo lắng quá nhiều vì vấn đề này có thể được giải quyết và điều trị hiệu quả.
Mụn ở lợi chân răng thường xuất hiện khi có sự cố về răng miệng như mắc cài, nhiễm trùng nướu, côn trùng cắn, vết thương hoặc tổn thương khác ở vùng miệng. Mụn cũng có thể do vi khuẩn, nấm hoặc virus gây ra.

Ngoài ra, một số yếu tố khác cũng có thể góp phần làm tăng nguy cơ mọc mụn ở lợi chân răng như:
Đây là nguyên nhân phổ biến nhất của việc mọc mụn ở lợi chân răng. Nướu bị viêm do mảng bám nhiều quá, tác động của vi khuẩn, hoặc do chấn thương. Khi nướu bị viêm, nó sẽ sưng đau và có thể gây ra các vết mụn nhỏ ở lợi chân răng.
Các bệnh lý nướu như viêm nướu chân răng, bệnh nướu, ung thư vòm họng, viêm loét tổ chức xương,... có thể gây ra viêm nhiễm và mọc mụn ở lợi chân răng. Các bệnh lý này có thể xuất hiện do nhiều nguyên nhân khác nhau, bao gồm chấn thương, mất nướu, tác động của thuốc và các bệnh lý khác.
Khi răng khôn bắt đầu mọc, nó có thể gây ra áp lực lên nướu, khiến cho khu vực đó trở nên nhạy cảm và dễ bị viêm nhiễm. Nếu không được loại bỏ đúng cách, các mảng bám và vi khuẩn có thể tích tụ quanh răng khôn, dẫn đến viêm nhiễm nướu và mọc mụn ở lợi chân răng.
Nếu bạn có tình trạng miễn dịch yếu hoặc bị mắc các bệnh liên quan đến miễn dịch, ví dụ như viêm khớp dạng thấp, lupus,... thì bạn có nguy cơ cao hơn để bị viêm nhiễm và mọc mụn ở lợi chân răng. Những tình trạng rối loạn miễn dịch này có thể gây ra sự suy giảm miễn dịch và làm giảm khả năng miễn dịch của cơ thể trong việc đối phó với các vi khuẩn và nhiễm trùng, dẫn đến tình trạng viêm nhiễm và mọc mụn ở lợi chân răng.
Hút thuốc là một trong những thói quen độc hại cho sức khỏe miệng, nó có thể gây ra nhiều tác động tiêu cực đến nướu và răng, bao gồm viêm nhiễm và mọc mụn ở lợi chân răng. Thuốc lá là nguyên nhân chính gây ra các bệnh nướu và khiến cho nướu trở nên dễ chảy máu, sưng đau và dễ bị tổn thương.
Mọc mụn ở lợi chân răng có thể gây ra một số triệu chứng và biểu hiện khác nhau. Dưới đây là một số triệu chứng và biểu hiện thường gặp khi bạn mọc mụn ở lợi chân răng:
Mọc mụn ở lợi chân răng không phải là một vấn đề nghiêm trọng, tuy nhiên nếu không được xử lý kịp thời và đúng cách, nó có thể gây ra những hậu quả và biến chứng khó chịu.

Một số biến chứng của tình trạng mọc mụn ở lợi chân răng bao gồm:
Vì vậy, nếu bạn có triệu chứng của mọc mụn ở lợi chân răng, bạn nên đến thăm bác sĩ nha khoa để được khám và điều trị kịp thời để tránh các biến chứng và hậu quả không mong muốn.
Các cách điều trị tình trạng mọc mụn ở lợi chân răng có thể khác nhau tùy thuộc vào mức độ và tình trạng của mụn. Dưới đây là một số cách điều trị và chăm sóc răng miệng thường được sử dụng:

Bài viết trên đây là tổng hợp các thông tin liên quan đến chủ đề mọc mụn ở lợi chân răng. Hy vọng sẽ giúp bạn thêm nhiều kiến thức hữu ích và nhận biết được những dấu hiệu sớm của tình trạng này để có cách điều trị kịp thời.
Xem thêm:
Nhật Lệ
Nguồn tham khảo: Tổng hợp