Tốt nghiệp Khoa Dược trường Đại học Nam Cần Thơ. Có nhiều năm kinh nghiệm công tác trong lĩnh vực Dược phẩm. Hiện đang giảng viên cho Dược sĩ tại Nhà thuốc Long Châu.
Thanh Hương
10/06/2024
Mặc định
Lớn hơn
Số lượng người có nhu cầu niềng răng ngày càng tăng. Nhưng không phải hàm răng của ai cũng đủ điều kiện để niềng. Một trong số những vấn đề khiến nhiều người lo ngại không niềng được răng chính là xương hàm mỏng. Vậy thực tế, xương hàm mỏng có niềng răng được không?
Sau quá trình niềng răng, các vấn đề về răng như răng mọc xô lệch, răng khấp khểnh, hô, móm… sẽ được giải quyết khá hiệu quả. Nhiều người quan tâm và mong muốn trải nghiệm phương pháp niềng răng. Tuy nhiên, có những hàm răng không đủ tiêu chuẩn để niềng. Vậy xương hàm mỏng có niềng răng được không?
Mỗi chiếc răng của chúng ta đều có một chân răng làm nhiệm vụ giữ chặt răng và cố định nó vào xương ổ răng. Xương ổ răng bao bọc và giữ chân răng thông qua các dây chằng quanh răng. Bên ngoài xương ổ răng được bao bọc một lớp vỏ cứng, tạo nên hình thể của xương hàm.

Trong hệ thống xương hóa trên cơ thể con người, xương hàm là bộ phận quan trọng bao gồm xương hàm trên, xương hàm dưới và xương hàm bên. Nhưng xương làm bệ đỡ cho răng chỉ bao gồm xương hàm trên và xương hàm dưới. Xương hàm hỗ trợ các chuyển động của miệng nên tham gia vào quá trình giao tiếp và nhai nghiền thức ăn. Xương hàm rất quan trọng đối với việc ổn định, giữ vững các răng và định hình khuôn mặt.
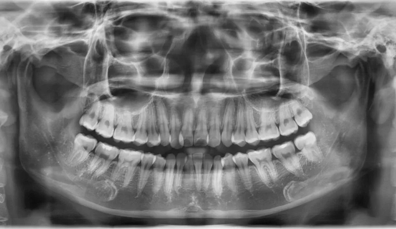
Xương hàm mỏng là tình trạng thể tích xương ổ răng quanh chân răng và thể tích xương vỏ mỏng hơn bình thường. Tình trạng xương hàm mỏng có thể xảy ra với cả xương hàm trên và xương hàm dưới. Để có thể đánh giá chính xác tình trạng xương hàm mỏng, bạn cần đến cơ sở nha khoa để chụp X-quang răng toàn cảnh. Qua hình ảnh X-quang, bác sĩ sẽ cho bạn biết xương hàm của bạn có mỏng hay không?
Trước khi giải đáp thắc mắc xương hàm mỏng có niềng răng được không, chúng ta sẽ cùng tìm hiểu điều gì khiến xương hàm bị mỏng. Theo các nha sĩ, xương hàm có thể bị mỏng do bẩm sinh nhưng cũng có thể mỏng đi theo thời gian do nhiều nguyên nhân như:
Xương hàm mỏng sau khi mất răng
Mất răng là nguyên nhân chính dẫn đến tiêu xương hàm. Khi mất răng, lực nhai tác động lên xương hàm bị giảm nên xương hàm không còn được kích thích hàng ngày. Điều này khiến xương hàm dần bị tiêu biến đi.
Ngoài ra, khi mất răng và xương hàm ở vị trí đó bị tiêu đi sẽ dẫn đến một sự thiếu hụt. Để bù đắp, xương hàm ở các vị trí lân cận có xu hướng di chuyển dần về phía xương hàm bị mất. Chính quá trình dịch chuyển này khiến mật độ xương hàm bị thưa dẫn đến xương hàm mỏng và xốp.
Viêm nha chu
Một số trường hợp mắc viêm nha chu cũng ảnh hưởng đến nướu, xương ổ răng, dây chằng nha chu. Khi đó, ngoài việc răng bị lung lay, dễ rụng. Khi mất răng, cơ chế lại lặp lại như trên và xương hàm mỏng dần đi theo thời gian, khiến răng lung lay và dễ bị gãy rụng.
Đồng thời, khi các mô nha chu bị viêm, sưng đỏ, chảy máu và viêm nhiễm làm cho lợi không thể bám chặt vào chân răng, tạo điều kiện cho vi khuẩn tấn công. Vi khuẩn sản sinh ra các enzym phá hủy xương ổ răng, làm xương hàm dần dần bị tiêu biến.

Trước hết, chúng ta cần hiểu nguyên lý của phương pháp niềng răng là gì? Với phương pháp chỉnh nha này, bác sĩ nha khoa sẽ dùng các khí cụ như mắc cài, dây cung, thun… để tác động lực nhất định lên xương hàm và răng để từ từ nắn chỉnh các răng bị xô lệch trở về đúng vị trí trên cung hàm. Cơ chế dịch chuyển của xương và răng trong phương pháp này là khi răng di chuyển, xương bị tiêu đi. Phần đối diện xương sẽ phát triển bồi lại để giúp chân răng vẫn được bao bọc trong xương và không bị tiêu đi.
Quay trở lại với vấn đề đang được nhiều người quan tâm: Xương hàm mỏng có niềng răng được không? Theo các bác sĩ, nếu xương hàm bị mỏng lại thêm tình trạng hô, móm nặng, tốt nhất bạn không nên niềng răng. Những trường hợp này nguy cơ cao phải nhổ răng và dùng lực mạnh để kéo răng về trước hoặc về sau để cải thiện. Xương hàm mỏng sẽ hạn chế quá trình kéo răng này và mang đến kết quả niềng răng như mong đợi.
Ngược lại, nếu không cần nhổ răng và dùng lực kéo quá nhiều, bác sĩ sẽ đánh giá tình trạng răng, tiên lượng các vấn đề có thể gặp phải để cho bạn biết có nên niềng răng không. Quyết định niềng răng cần được cân nhắc kỹ càng vì có thể xảy ra trường hợp sau khi gắn mắc cài nắn chỉnh, chân răng dịch chuyển và làm tiêu xương hàm khi xương hàm quá mỏng.

Khi xương hàm mỏng, tốt nhất bạn nên tìm đến cơ sở nha khoa uy tín, gặp những nha sĩ giỏi chuyên môn, giàu kinh nghiệm để được thăm khám kỹ lưỡng. Nếu xương hàm vẫn đủ điều kiện để niềng, bạn có thể niềng răng nếu muốn. Tuy nhiên, bạn cần xác định không thể loại bỏ hoàn toàn nguy cơ tiêu xương hàm. Trong quá trình niềng, nếu bạn thấy các dấu hiệu như lợi tụt dần, chân răng lộ, răng ê buốt, lung lay, hãy thông báo ngay cho nha sĩ để được xử lý kịp thời.
Xương hàm mỏng nếu có thể niềng răng cũng có thể chọn các phương pháp như:

Xương hàm mỏng có niềng răng được không phụ thuộc vào tình trạng răng thực tế của bạn. Để có câu trả lời chính xác nhất, bạn nên tìm đến cơ sở nha khoa uy tín. Qua quá trình thăm khám và căn cứ vào kết quả chụp X-quang hàm, bác sĩ sẽ có thể tư vấn cho bạn phương án chỉnh nha an toàn và hiệu quả nhất.
Xem thêm:
Dược sĩ Đại họcNguyễn Thị Thảo Nguyên
Tốt nghiệp Khoa Dược trường Đại học Nam Cần Thơ. Có nhiều năm kinh nghiệm công tác trong lĩnh vực Dược phẩm. Hiện đang giảng viên cho Dược sĩ tại Nhà thuốc Long Châu.