• Thực phẩm chức năng

  • Dược mỹ phẩm

  • Thuốc

  • Chăm sóc cá nhân

  • Thiết bị y tế

  • Tiêm chủng

  • Bệnh & Góc sức khỏe

  • Hệ thống nhà thuốc

    1. /
    2. Góc sức khỏe/
    3. Phòng bệnh & Sống khoẻ/
    4. Kiến thức y khoa

    Nguyên nhân khiến chân răng đen và cách khắc phục hiệu quả

    Kim Huệ

    26/06/2024

    Kích thước chữ

    Chân răng đen là một tình trạng không chỉ ảnh hưởng đến ngoại hình, khiến bạn e ngại khi giao tiếp với người khác mà còn có thể là dấu hiệu cảnh báo một số vấn đề về sức khỏe răng miệng. Để hiểu hơn về tình trạng chân răng bị đen, hãy tham khảo bài viết dưới đây của chúng tôi.

    Chân răng đen là một bệnh răng miệng có thể khiến bạn cảm thấy tự ti khi tiếp xúc với người khác. Việc nắm được nguyên nhân và cách khắc phục tình trạng chân răng bị đen có thể giúp bạn lấy lại tự tin khi gặp người khác, cũng như phòng tránh được các nguy hiểm về sức khỏe răng miệng. Cùng tìm hiểu ngay sau đây!

    Các lý do thường gặp làm chân răng đen

    Chân răng bị đen có thể do nhiều nguyên nhân khác nhau, dưới đây là các lý do liên quan đến các bệnh lý của răng miệng:

    • Cao răng: Từ những mảng bám tích tụ trên bề mặt răng và chân nướu, cao răng có thể "nâu đi" và chuyển sang màu đen vì không loại bỏ kịp thời. Thói quen ăn uống và chế độ sinh hoạt không lành mạnh tạo điều kiện cho vi khuẩn phát triển mạnh mẽ, tạo ra mảng bám làm đen chân răng.
    • Sâu răng: Vị trí khó vệ sinh của sâu răng là một nơi lý tưởng cho vi khuẩn xâm nhập và hình thành lỗ sâu. Phản ứng tổ chức ngà răng để ngăn chặn vi khuẩn có thể làm cho phần ngà trở nên đen, tạo ra điểm đen trên bề mặt răng.
    • Mão răng quá cũ: Việc sử dụng chụp răng bằng vật liệu kim loại có thể dẫn đến sự oxy hóa sau một thời gian. Kết hợp với mảng bám và cặn thức ăn, điều này làm cho phần kim loại chuyển sang màu đen, tạo ra đường viền đen ở phần răng gần nướu.
    • Bệnh nha chu: Bệnh nha chu không chỉ gây ra tổn thương cho nướu mà còn có thể làm cho phần chân răng trở nên dài hơn và đen đi. Sự kết hợp của các yếu tố này tạo nên tình trạng đen chân răng, cần sự can thiệp và điều trị kịp thời từ bác sĩ nha khoa.
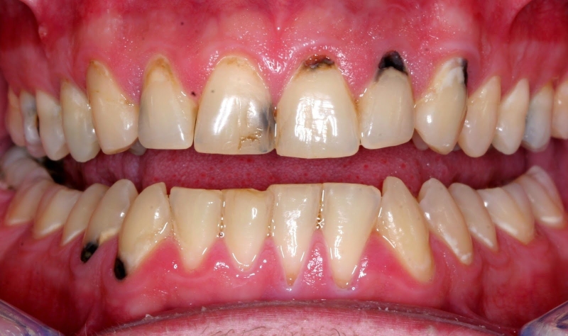
    Khắc phục ngay tình trạng chân răng đen  -1
    Chân răng đen do nhiều yếu tố tác động

    Ngoài ra, còn nhiều lý do khác xung quanh cuộc sống dẫn đến đen chân răng như sau:

    • Thói quen ăn uống: Tiêu thụ thức uống chứa cafein (như cà phê, trà), rượu, thuốc lá, hoặc thức ăn giàu đường có thể gây ra mảng bám trên bề mặt răng, dẫn đến việc chúng đen đi theo thời gian.
    • Chăm sóc răng miệng không đúng cách: Nếu bạn không chải răng đúng cách hoặc không đủ thường xuyên, mảng bám và vi khuẩn có thể tích tụ trên răng, gây ra sự đen đi và gây hại cho men răng.
    • Tuổi tác: Răng có thể bị đen do quá trình lão hóa tự nhiên. Men răng có thể mòn dần đi, làm cho lớp dưới bề mặt của răng trở nên rõ ràng hơn và có màu đen hơn.
    • Chấn thương hoặc bệnh lý: Một số chấn thương hoặc bệnh lý như chứng sỏi răng, nứt răng, hoặc vi khuẩn gây sâu răng cũng có thể gây ra việc răng bị đen.
    • Sử dụng thuốc: Một số loại thuốc như thuốc tẩy trắng răng không an toàn hoặc thuốc nhất định có thể gây ra hiện tượng đen răng.
    • Yếu tố di truyền: Có một số yếu tố di truyền có thể làm cho men răng của bạn mỏng và dễ bị mòn, dẫn đến việc răng trở nên đen.

    Để tránh răng bị đen, hãy duy trì một chế độ chăm sóc răng miệng hàng ngày bao gồm chải răng ít nhất hai lần mỗi ngày, sử dụng chỉ nha khoa, hạn chế tiêu thụ thức uống và thức ăn có thể gây nghiện màu, và thường xuyên đi kiểm tra và làm sạch răng tại nha sĩ.

    Khắc phục ngay tình trạng chân răng đen  -2
    Chăm sóc răng không đúng cách cũng làm cho chân răng bị đen

    Cách khắc phục đen chân răng

    Cách điều trị chân răng bị đen phụ thuộc vào nguyên nhân cụ thể của vấn đề. Dưới đây là một số phương pháp điều trị phổ biến:

    • Vệ sinh răng miệng định kỳ: Việc chải răng đúng cách ít nhất hai lần mỗi ngày và sử dụng chỉ nha khoa giúp loại bỏ mảng bám và cao răng tích tụ trên bề mặt răng và chân nướu. Điều này có thể giúp ngăn ngừa vi khuẩn và mảng bám tích tụ, làm giảm nguy cơ chân răng bị đen.
    • Điều trị sâu răng: Nếu chân răng bị đen do sâu răng, việc điều trị sâu răng là cần thiết. Nha sĩ sẽ loại bỏ lỗ sâu và lấp đầy nó bằng vật liệu phù hợp để ngăn vi khuẩn tiếp tục phát triển và làm đen chân răng.
    • Tẩy trắng răng: Đối với những trường hợp răng bị đen do mảng bám và bề mặt răng không đều màu, quá trình tẩy trắng răng có thể được thực hiện để loại bỏ các vết bẩn và làm sáng màu răng. Tuy nhiên, cần lưu ý rằng tẩy trắng không thích hợp cho tất cả mọi người và cần được thực hiện dưới sự giám sát của chuyên gia nha khoa.
    • Thay thế vật liệu răng hư hỏng: Nếu chân răng đen do vật liệu kim loại bị oxy hóa, việc thay thế chúng bằng vật liệu mới có thể cần thiết để khắc phục tình trạng.
    • Điều trị bệnh lý nha chu: Trong trường hợp chân răng bị đen do bệnh nha chu, điều trị nha chu thích hợp sẽ giúp khắc phục tình trạng này.
    Khắc phục ngay tình trạng chân răng đen -3
    Nhờ sự hỗ trợ của nha sĩ để nhanh chóng đạt được kết quả

    Một số lưu ý khi cải thiện đen chân răng

    Dưới đây là một số lưu ý ngắn gọn để cải thiện vấn đề chân răng bị đen:

    • Chăm sóc răng miệng đúng cách: Chải răng đều đặn và sử dụng chỉ nha khoa để loại bỏ mảng bám.
    • Hạn chế thức uống gây ảnh hưởng đến màu sắc răng: Tránh tiêu thụ quá nhiều cà phê, trà, rượu và thức uống có gas.
    • Kiểm tra và điều trị sâu răng: Thăm nha sĩ để điều trị kịp thời và ngăn chặn sâu răng phát triển.
    • Tẩy trắng răng cẩn thận: Nếu cần, thảo luận với nha sĩ và tuân thủ hướng dẫn cẩn thận.
    • Thay thế vật liệu răng hư hỏng: Xem xét việc thay thế vật liệu kim loại như chụp răng nếu cần.
    • Kiểm tra nha khoa định kỳ: Điều này giúp phát hiện và điều trị vấn đề kịp thời, giữ cho răng luôn khỏe mạnh và sáng bóng.

    Ngoài ra, việc duy trì một lối sống lành mạnh và duy trì chế độ chăm sóc răng miệng hàng ngày là quan trọng để ngăn chặn chân răng đen giúp duy trì sức khỏe răng miệng tốt.

    Xem thêm: Điều trị và phòng ngừa sún răng sớm ở trẻ nhỏ

    Có thể bạn quan tâm

    Thông tin và sản phẩm gợi ý trong bài viết chỉ mang tính chất tham khảo, vui lòng liên hệ với Bác sĩ, Dược sĩ hoặc chuyên viên y tế để được tư vấn cụ thể. Xem thêm

    Dược sĩ Đại họcTrần Huỳnh Minh Nhật

    Đã kiểm duyệt nội dung

    Dược sĩ chuyên khoa Dược lý - Dược lâm sàng. Tốt nghiệp 2 trường đại học Mở và Y Dược TP. Hồ Chí Minh. Có kinh nghiệm nghiên cứu về lĩnh vực sức khỏe, đạt được nhiều giải thưởng khoa học. Hiện là Dược sĩ chuyên môn phụ trách xây dựng nội dung và triển khai dự án đào tạo - Hội đồng chuyên môn tại Nhà thuốc Long Châu.

    Xem thêm thông tin