• Thực phẩm chức năng

  • Dược mỹ phẩm

  • Thuốc

  • Chăm sóc cá nhân

  • Thiết bị y tế

  • Tiêm chủng

  • Bệnh & Góc sức khỏe

  • Hệ thống nhà thuốc

    1. /
    2. Góc sức khỏe/
    3. Phòng bệnh & Sống khoẻ

    Nấm miệng ở phụ nữ mang thai: Những điều bạn cần biết

    21/06/2023

    Kích thước chữ

    Phụ nữ khi mang thai thường có nguy cơ bị nấm miệng. Vì vậy bạn nên lưu ý những điều sau để phòng tránh bệnh nấm miệng ở phụ nữ mang thai.

    Nấm miệng không chỉ xuất hiện ở người bình thường mà còn có thể xảy ra ở phụ nữ mang thai. Vì cơ thể của người phụ nữ khi mang thai diễn ra những thay đổi rất lớn. Nấm miệng nếu được phát hiện sớm và được điều trị kịp thời thì không gây nguy hiểm. Đọc bài viết sau để biết được những vấn đề xung quanh bệnh nấm miệng ở phụ nữ mang thai nhé.

    Nấm miệng khi mang thai là gì?

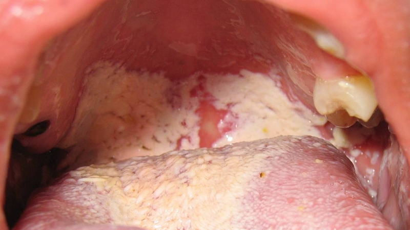
    Nấm miệng là tình trạng nhiễm trùng nấm men do sự phát triển quá mức của nấm Candida albicans. Loại nấm này vốn sống vô hại trong khoang miệng khi hệ miễn dịch của cơ thể hoạt động bình thường. Nấm miệng xảy ra khi xuất hiện các mảng bám màu trắng bên trong vòm miệng, vùng má trong, lưỡi,... Điều này khiến cho bạn cảm thấy đau và ảnh hưởng khá nhiều trong việc ăn uống.

    Các nghiên cứu cho rằng có khoảng 20 - 30% phụ nữ khi mang thai thường mắc phải nấm miệng. Vì những thay đổi về nội tiết tố xảy ra trong quá trình mang thai. Nấm miệng ở phụ nữ mang thai là tình trạng ít lây lan và có thể điều trị. Tuy nhiên, bệnh vẫn có những ảnh hưởng tiêu cực đến sức khỏe của mẹ và sự phát triển của thai nhi.

    Những dấu hiệu nhận biết nấm miệng khi mang thai

    Có thể nhận biết nấm miệng ở phụ nữ mang thai qua những biểu hiện như sau:

    • Những mảng màu trắng kem hay vàng giống phô mai bám trong khoang miệng, lưỡi, vùng má trong, vòm họng,...
    • Bị khô miệng, nứt nẻ ở vùng mép miệng.
    • Khó khăn trong khi ăn, cảm thấy mất vị giác.
    • Bị chảy máu nếu như bị thức ăn cọ xát hay tác động vào các mảng bám.
    • Vùng ngoài môi bị bong tróc, xuất hiện các mốc trắng tròn xung quanh miệng lưỡi.
    • Cảm giác đau bất thường hay châm chích bên trong miệng, mặt lưỡi và khi nuốt thức ăn.
    Nấm miệng ở phụ nữ mang thai: Những điều bạn cần biết Tình trạng nấm miệng ở phụ nữ mang thai

    Nấm miệng nếu không sớm điều trị dứt điểm có thể khiến cho bệnh phát triển nghiêm trọng. Một số trường hợp bệnh có thể tấn công vào màng ối và gây ra tình trạng viêm màng ối cấp. Nếu tình trạng này kéo dài lâu dần có thể dẫn tới vỡ màng ối.

    Ngoài ra, nấm miệng nếu không được kiểm soát có thể lây nhiễm ngược sang các bộ phận khác. Từ đó gây xuất huyết, chảy máu và chuyển dạ sớm dẫn tới sinh non. Nếu trong lúc mang thai chuyển dạ mà người mẹ vẫn bị nấm miệng thì khi con sinh ra có thể bị lây nhiễm nấm từ mẹ. Trẻ sẽ có nguy cơ mắc các bệnh như nấm lưỡi, nấm mắt, nấm da.

    Nguyên nhân gây nấm miệng ở phụ nữ mang thai

    Có nhiều yếu tố dẫn đến việc bị nấm miệng ở phụ nữ mang thai. Chủ yếu đến từ hệ miễn dịch của cơ thể bị suy yếu, tạo điều kiện cho nấm phát triển. Một số nguyên nhân có thể khiến bạn bị nấm miệng khi mang thai như:

    • Vệ sinh răng miệng kém: Nếu không làm sạch các mảng bám từ thức ăn có thể tạo điều kiện cho nấm hay vi khuẩn tồn tại và phát triển.
    • Sử dụng thuốc kháng sinh: Việc dùng các loại thuốc kháng sinh hay Corticosteroid có thể gây mất cân bằng đến môi trường cân bằng. Các vi khuẩn có lợi bị suy giảm trong khi vi khuẩn có hại lại tăng lên.
    • Mắc bệnh tiểu đường: Người bị tiểu đường nếu không được kiểm soát hay điều trị có thể khiến nấm Candida phát triển do lượng đường lớn có trong nước bọt của họ.
    • Bị HIV/AIDS: Virus HIV làm suy giảm và phá hủy hệ miễn dịch, khiến cho bệnh nhân dễ mắc phải những bệnh nhiễm trùng như nấm miệng.
    • Mắc bệnh ung thư và điều trị bằng các phương pháp như hóa trị, xạ trị,...
    • Đeo răng giả
    • Bị nhiễm nấm âm đạo.
    • Hút thuốc lá.
    Nấm miệng ở phụ nữ mang thai: Những điều bạn cần biết 2 Sử dụng thuốc kháng sinh có thể tăng nguy cơ bị nấm miệng ở phụ nữ mang thai

    Cách khắc phục nấm miệng khi mang thai

    Thông thường khi mắc bệnh, chúng ta sẽ nghĩ ngay đến việc điều trị bằng việc uống thuốc Tây y. Tuy nhiên đối với người mang thai thì các bác sĩ sẽ hạn chế kê đơn thuốc dạng uống để tránh các tác dụng phụ có ảnh hưởng đến thai nhi. Thay vào đó các loại thuốc dạng đặc hoặc kem bôi sẽ là lựa chọn phù hợp.

    Một số thuốc như Miconazole hay Clotrimazole thường được chỉ định cho bà bầu để điều trị nấm miệng. Trong khi đó Fluconazole, Metronidazole và các kháng sinh Griseofulvin, Nystatin sẽ chống chỉ định cho người mang thai. Tốt nhất là mẹ bầu hãy đến gặp bác sĩ để được thăm khám và điều trị chính xác cho tình trạng bệnh cụ thể. Tuyệt đối không được tùy tiện mua thuốc về dùng vì có thể ảnh hưởng đến sức khỏe của thai nhi.

    Ngoài ra, nấm miệng ở phụ nữ mang thai có thể được điều trị bằng các phương pháp dân gian. Bằng cách sử dụng các nguyên liệu thiên nhiên như rau ngót, mật ong, lá hẹ, trà xanh, dầu dừa,... để rơ lưỡi hàng ngày. Tuy nhiên bạn nên tìm hiểu thật kỹ trước khi thực hiện để đảm bảo an toàn nhé.

    Phòng ngừa nấm miệng ở phụ nữ mang thai

    Phòng ngừa nấm miệng ở phụ nữ mang thai là điều cần thiết vì có thể chủ động tránh các tác nhân gây hại cho thai nhi. Từ đó giúp mẹ bầu ăn ngon, giúp con phát triển toàn diện. Ngăn ngừa nấm miệng hiệu quả với những thói quen sinh hoạt sau đây:

    • Vệ sinh răng miệng thật kỹ. Nên đều đặn đánh răng ít nhất 2 lần/ngày dùng chỉ nha khoa để loại bỏ thức ăn dư thừa có thể khiến nấm phát triển.
    • Súc miệng bằng nước muối sinh lý, nước súc miệng thảo dược từ 1 - 2 lần/ngày để làm sạch và giữ cho răng và lợi khỏe mạnh.
    • Giữ gìn môi trường sống sạch sẽ để hạn chế vi khuẩn có hại ở nhiệt độ thấp.
    • Xây dựng chế độ ăn uống lành mạnh, bổ sung đủ nước, chất xơ từ trái cây, rau xanh mỗi ngày.
    • Hạn chế dùng các thực phẩm nhiều đường hay chất men như bánh mì, bánh kẹo, bia rượu , các chất kích thích,…
    • Không tự ý sử dụng các loại thuốc Tây mà không có sự đồng ý của bác sĩ hay dược sĩ.
    • Khám sức khỏe răng miệng định kỳ để có thể kịp thời phát hiện những vấn đề răng miệng. Đặc biệt đối với những bà bầu bị bệnh tiểu đường hoặc đang sử dụng răng giả.
    • Phụ nữ mang thai có thể vận động nhẹ nhàng như yoga, đi bộ để cơ thể linh hoạt, tăng hệ miễn dịch cũng như giúp thai nhi phát triển khoẻ mạnh hơn.
    Nấm miệng ở phụ nữ mang thai: Những điều bạn cần biết 3 Mẹ bầu nên bổ sung các thực phẩm giàu dinh dưỡng để tăng sức đề kháng

    Nấm miệng ở phụ nữ mang thai là tình trạng khá phổ biến và có những ảnh hưởng nhất định đến sức khỏe của mẹ và bé. Vì vậy hãy cố gắng tạo thói quen sinh hoạt, ăn uống lành mạnh để ngăn ngừa các tác nhân gây hại có ở bên ngoài và bên trong cơ thể nhé.

    Tuyết Nhi

    Nguồn tham khảo: Tổng hợp

    Có thể bạn quan tâm

    Thông tin và sản phẩm gợi ý trong bài viết chỉ mang tính chất tham khảo, vui lòng liên hệ với Bác sĩ, Dược sĩ hoặc chuyên viên y tế để được tư vấn cụ thể. Xem thêm

    Dược sĩ Đại họcTrần Huỳnh Minh Nhật

    Đã kiểm duyệt nội dung

    Dược sĩ chuyên khoa Dược lý - Dược lâm sàng. Tốt nghiệp 2 trường đại học Mở và Y Dược TP. Hồ Chí Minh. Có kinh nghiệm nghiên cứu về lĩnh vực sức khỏe, đạt được nhiều giải thưởng khoa học. Hiện là Dược sĩ chuyên môn phụ trách xây dựng nội dung và triển khai dự án đào tạo - Hội đồng chuyên môn tại Nhà thuốc Long Châu.

    Xem thêm thông tin