• Thực phẩm chức năng

  • Dược mỹ phẩm

  • Thuốc

  • Chăm sóc cá nhân

  • Thiết bị y tế

  • Tiêm chủng

  • Bệnh & Góc sức khỏe

  • Hệ thống nhà thuốc

    1. /
    2. Góc sức khỏe/
    3. Phòng bệnh & Sống khoẻ

    Não úng thủy là bệnh gì? Nguyên nhân và cách điều trị não úng thủy

    21/06/2023

    Kích thước chữ

    Các bệnh lý về thần kinh, đặc biệt là liên quan đến não bộ luôn là những vấn đề được chú trọng quan tâm và có thể để lại các hậu quả, biến chứng nghiêm trọng. Vì vậy việc phát hiện sớm để theo dõi và điều trị kịp thời là vô cùng cần thiết. Não úng thủy là bệnh lý thuộc hệ thống thần kinh trung ương, có thể gặp ở mọi lứa tuổi đặc biệt là ở trẻ nhỏ. Dưới đây là các thông tin về vấn đề não úng thủy là bệnh gì mà bạn có thể tham khảo!

    Não úng thủy là tình trạng tích tụ chất lỏng bất thường bên trong não thất nằm sâu bên trong não gây tăng áp lực lên nhu mô não. Từ đó gây nên các triệu chứng điển hình, nếu không phát hiện kịp thời có thể gây nên nhiều hậu quả nặng nề. Để hiểu rõ hơn về vấn đề não úng thủy là bệnh gì, chúng tôi sẽ thông tin đến bạn một số điều nổi bật về bệnh lý này.

    Đặc điểm chung của hệ thần kinh

    Não và tủy sống thuộc hệ thần kinh trung ương. Não được nằm trong hộp sọ cứng, đối với người trưởng thành thì đây là một không gian kín, không thể nới rộng hay giãn ra được còn đối với trẻ em do các khớp sọ chưa liền nên vẫn có thể dãn tại các khớp này nếu thể tích bên trong hộp sọ tăng.

    Tủy sống nằm trong ống tủy được tạo nên bởi các xương đốt sống kéo dài từ cổ cho đến phần thắt lưng. Một thành phần đóng vai trò quan trọng trong hệ thống thần kinh đó là dịch não tủy.

    Dịch não tủy là một chất dịch cơ thể trong suốt, không màu, có tác dụng bảo vệ và là màng đệm cho não và tủy sống khỏi các sang chấn. Được tạo ra bởi các đám rối mạch mạc của não thất, chảy qua các não thất, khoang dưới nhện và tủy sống trước khi được hấp thụ vào máu. Cơ thể sản xuất và hấp thu cùng một lượng dịch não tủy hàng ngày.

    Tuy nhiên, khi đường đi hoặc sự hấp thu của dịch não tủy bị chặn lại sẽ dẫn đến tình trạng ứ đọng trong não. Áp lực quá lớn gây nên các hoạt động bất thường, tổn thương não và thậm chí là tử vong.

    Não úng thủy là bệnh gì? Nguyên nhân và cách điều trị não úng thủy 1 Đặc điểm chung của hệ thần kinh

    Não úng thủy là bệnh gì? Nguyên nhân gây não úng thủy

    Não úng thủy có thể xuất hiện từ khi sinh (bẩm sinh) hoặc có thể xuất hiện sau chấn thương hoặc bệnh lý. Ngoại trừ các nguyên nhân do tắc nghẽn đường dẫn của dịch não tủy trong hộp sọ bới cục máu đông hoặc khối u thì nguyên nhân chính xác vẫn chưa được xác định.

    Não úng thủy bẩm sinh: Trẻ có thể bị não úng thủy bẩm sinh hoặc phát hiện tình trạng này ngay sau sinh, các nguyên nhân có thể gặp là:

    • Di truyền bất thường: Bất thường nhiễm sắc thể X, dị tật Dandy Walker.
    • Rối loạn phát triển: Các dị tật bẩm sinh ở não, cột sống hoặc tủy sống như tật nứt đốt sống.
    • Các biến chứng của sinh non như chảy máu trong não thất.
    • Nhiễm trùng trong quá trình mang thai: Quai bị hoặc rubella có thể gây viêm mô não của thai nhi.

    Não úng thủy mắc phải: Một số yếu tố có thể làm tăng nguy cơ phát triển não úng thủy ở mọi lứa tuổi, bao gồm:

    • Khối u trong não, hộp sọ hoặc tủy sống.
    • Nhiễm trùng hệ thần kinh trung ương như viêm màng não, viêm não do vi khuẩn.
    • Chấn thương hoặc đột quỵ gây chảy máu trong não.
    Não úng thủy là bệnh gì? Nguyên nhân và cách điều trị não úng thủy 2 Não úng thủy là bệnh gì?

    Các triệu chứng của não úng thủy là gì?

    Triệu chứng của não úng thủy có thể khác nhau đáng kể ở mỗi người và chủ yếu phụ thuộc vào lứa tuổi.

    Trẻ sơ sinh:

    Do chưa phát triển ngôn ngữ do đó đây là thời ký đặc biệt nguy hiểm và có thể khó phát hiện hơn, với các triệu chứng có thể gặp như:

    • Tăng nhanh kích thước đầu.
    • Đầu to bất thường.
    • Thóp phồng, mềm.
    • Nôn mửa.
    • Buồn ngủ.
    • Cáu gắt.
    • Mắt cố định nhìn xuống (dấu hiệu mặt trời lặn) hoặc không thể liếc ra ngoài.
    • Co giật.
    Não úng thủy là bệnh gì? Nguyên nhân và cách điều trị não úng thủy 3 Các triệu chứng thường xuất hiện của não úng thủy

    Trẻ lớn, tuổi vị thành niên:

    • Đau đầu.
    • Nhìn mờ.
    • Buồn nôn hoặc nôn.
    • Giảm khả năng thăng bằng.
    • Các động tác, thao tác bị chậm như đi bộ chậm hoặc nói chậm.
    • Sa sút trong học tập.
    • Mất kiểm soát với bàng quang và hoặc đi tiểu liên tục.
    • Khó giữ tỉnh táo, hoặc khó khăn khi thức giấc.
    • Buồn ngủ, hay cáu gắt.
    • Thay đổi tính cách hoặc nhận thức bao gồm cả mất trí nhớ.

    Người lớn tuổi:

    Các triệu chứng ở độ tuổi này có thể bao gồm:

    • Gặp khó khăn khi đi lại, thường được miêu tả là cảm thấy “mắc kẹt”.
    • Suy giảm trí tuệ, sa sút trí tuệ.
    • Sự chậm lại chung của các hoạt động thường ngày như đi lại, nói chuyện…
    • Mất kiểm soát bàng quang hoặc đi tiểu liên tục.
    • Khả năng phối hợp và thăng bằng kém.

    Chẩn đoán, điều trị và theo dõi bệnh não úng thủy

    Chẩn đoán não úng thủy

    Khi đứng trước một trường hợp nghi ngờ não úng thủy, bác sĩ sẽ đánh giá kỹ lưỡng lâm sàng người bệnh bao gồm hỏi về tiền sử bệnh lý bản thân, gia đình, quá trình diễn biến bệnh lần này và thực hiện các động tác thăm khám để đưa ra các chỉ định phù hợp tiếp theo.

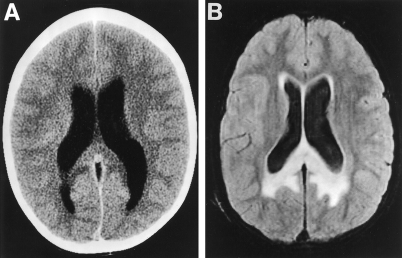
    Các cận lâm sàng để đánh giá chức năng của thần kinh trung ương, chẩn đoán nguyên nhân, chẩn đoán xác định bệnh thường được lựa chọn bao gồm:

    • Chụp cắt lớp vi tính (CT).
    • Chụp cộng hưởng từ (MRI).
    • Chọc dịch não tủy.
    • Đo áp lực nội sọ.
    Não úng thủy là bệnh gì? Nguyên nhân và cách điều trị não úng thủy 4 Các phương pháp cận lâm sàng chẩn đoán bệnh não úng thủy

    Điều trị bệnh như thế nào?

    Não úng thủy có thể được điều trị bằng nhiều phương pháp. Tùy thuộc vào nguyên nhân gây bệnh, não úng thủy có thể được điều trị trực tiếp bằng cách loại bỏ nguyên nhân gây tắc nghẽn hoặc gián tiếp bằng cách dẫn lưu dịch bị ứ đọng.

    Điều trị gián tiếp bằng cách sử dụng một ống mềm, còn gọi là shunt để đưa dịch não tủy ra khỉ não. Đây là ống thông một van, đặt dưới da để đưa dịch não tủy vào một khoang của cơ thể và thường được lựa chọn là khoang phúc mạc (trong ổ bụng).

    Hệ thống shunt này thường được duy trì trong suốt thời gian sống của bệnh nhân, do đó có thể duy trì được áp lực nội sọ luôn trong giới hạn ổn định. Một số trường hợp người bệnh có thể được phẫu thuật thay thế, tạo ra một đường lưu thông mới cho dịch não tủy thông qua não thất ba.

    Não úng thủy là bệnh gì? Nguyên nhân và cách điều trị não úng thủy 5 Shunt dẫn lưu dịch não tủy

    Theo dõi bệnh nhân bị não úng thủy

    Chức năng thần kinh sẽ được đánh giá sau phẫu thuật. Nếu có bất kỳ vấn đề nào còn tồn tại, có thể sẽ cần phục hồi chức năng phối hợp. Tuy nhiên, khả năng hồi phục có thể bị hạn chế bởi mức độ tổn thương não do não úng thủy gây ra và khả năng chữa lành của não.

    Người bệnh cần được theo dõi lâu dài và kiểm tra định kỳ sau phẫu thuật để đánh giá tình trạng hoạt động của shunt. Cần liên hệ ngay với bác sĩ nếu có bất kỳ các triệu chứng bất thường nào như dưới đây:

    • Đỏ, đau, sưng dọc theo chiều ống shunt.
    • Khó chịu hoặc hay buồn ngủ.
    • Buồn nôn, nôn hoặc đau đầu, nhìn đôi.
    • Sốt.
    • Đau bụng.
    • Các triệu chứng trước phẫu thuật xuất hiện trở lại.

    Trên đây là những thông tin về não úng thủy là bệnh gì mà mọi người có thể tham khảo. Hy vọng bài viết trên có thể đem lại cho bạn những thông tin mà bạn đang tìm kiếm. Chúc bạn đọc thật khỏe mạnh và đừng quên theo dõi trang web của Nhà thuốc Long Châu để cập nhật những thông tin về sức khỏe mới nhất nhé!

    Ánh Vũ

    Nguồn tham khảo: Tổng hợp

    Thông tin và sản phẩm gợi ý trong bài viết chỉ mang tính chất tham khảo, vui lòng liên hệ với Bác sĩ, Dược sĩ hoặc chuyên viên y tế để được tư vấn cụ thể. Xem thêm

    Dược sĩ Đại họcNguyễn Thanh Hải

    Đã kiểm duyệt nội dung

    Tốt nghiệp Đại học Dược Hà Nội, với hơn 10 năm kinh nghiệm trong lĩnh vực Dược phẩm. Hiện là giảng viên giảng dạy các môn Dược lý, Dược lâm sàng,...

    Xem thêm thông tin