Tốt nghiệp Khoa Dược trường Đại học Nam Cần Thơ. Có nhiều năm kinh nghiệm công tác trong lĩnh vực Dược phẩm. Hiện đang giảng viên cho Dược sĩ tại Nhà thuốc Long Châu.
Thanh Hương
23/02/2024
Mặc định
Lớn hơn
Cao răng là những mảng bám ố vàng tích tụ lâu ngày ở chân răng hoặc nướu răng. Một số người không có thói quen lấy cao răng định kỳ nên gặp tình trạng những mảnh cao răng tự vỡ thi thoảng rơi ra. Vậy cao răng tự vỡ có nguy hiểm không? Khi nào chúng ta nên lấy cao răng để hạn chế tình trạng cao răng tự vỡ.
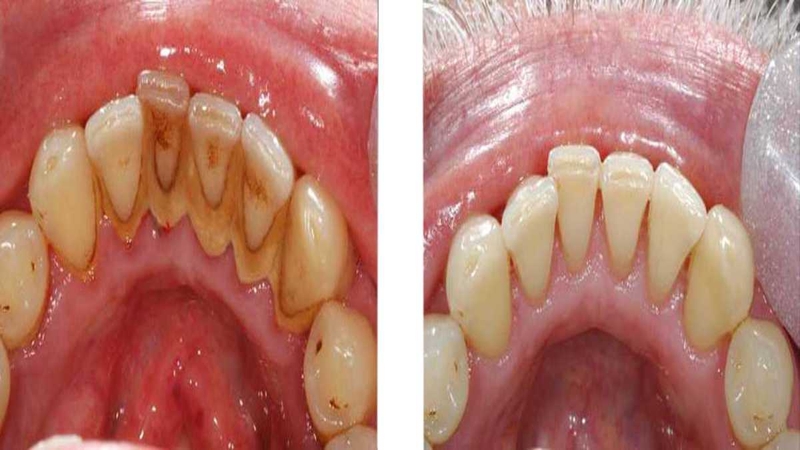
Cao răng có thể tích tụ ở thân răng, chân răng hoặc bên dưới nướu răng. Khi cao răng tích tụ quá nhiều có thể tự vỡ và rơi vào trong khoang miệng. Một số người lầm tưởng là mảnh răng bị vỡ nên có cảm giác lo lắng. Vậy sự thực thì cao răng tự vỡ được không? Cao răng vỡ có nguy hiểm không? Làm thế nào để phòng ngừa cao răng tự vỡ?
Cao răng còn gọi là vôi răng, được hình thành sau một thời gian tích tụ các mảng bám thức ăn tích tụ quanh thân răng và chân răng. Ban đầu, các mảng bám này mềm nhưng sau thời gian dài tích tụ, dưới tác động của muối vô cơ, acid trong khoang miệng và vi khuẩn, các mảng bám sẽ bị vôi hóa và chuyển thành kết cấu dạng cứng. Cao răng mới đầu sẽ bám quanh chân răng, thân răng. Khi tích tụ quá nhiều, chúng bị đẩy xuống cả bên dưới nướu răng.

Cao răng tích tụ trước hết làm ảnh hưởng đến thẩm mỹ của hàm răng. Cao răng là nơi trú ngụ của vi khuẩn nên chúng khiến hơi thở có mùi hôi khó chịu, gây cảm giác mất tự tin khi giao tiếp. Chưa hết, những vi khuẩn tồn tại trong cao răng khi tiếp xúc với thức ăn sẽ lên men đường và tạo ra các hợp chất có tính acid. Những hợp chất này bào mòn men răng, lâu dần tạo thành các lỗ sâu trên răng.
Không chỉ gây sâu răng, vi khuẩn trong cao răng còn có thể gây viêm amidan, viêm tủy ngược dòng. Người có nhiều cao răng cũng có nguy cơ mắc các bệnh viêm nha chu, viêm nướu cao hơn những người khác.
Ở một số người xảy ra tình trạng cao răng tự vỡ. Đây không phải chuyện lạ và thường xảy ra khi các mảng bám vôi hóa đã quá dày, quá cứng nên khó bám chắc vào răng. Nhiều người cảm nhận được mảnh cứng rơi vào khoang miệng còn lầm tưởng đó là mảnh răng bị vỡ. Tuy nhiên, cao răng vỡ bản chất chỉ là một mảnh nhỏ có kích thước không đáng kể bị tróc ra một cách tự nhiên. Phần lớn cao răng sẽ bám chắc và tồn tại cho đến khi chúng được loại bỏ bởi các thiết bị nha khoa chuyên nghiệp.
Bạn có thể gặp trường hợp mảnh cao răng tự rơi ra khi đánh răng, súc miệng, dùng tăm nước,… Một số người nhận ra mảnh cao răng bị vỡ sau khi ăn đồ cứng khiến cao răng bị tác động lực đủ lớn để rơi ra. Để cao răng được loại bỏ hoàn toàn, tốt nhất bạn nên đến gặp nha sĩ thường xuyên. Các nha sĩ khuyên chúng ta nên lấy cao răng mỗi 3 - 6 tháng một lần. Với tần suất này, cao răng sẽ không bị tích tụ quá dày và quá cứng đến nỗi tự vỡ trong khoang miệng.

Cao răng có kết cấu khá cứng do thành phần canxi carbonat và phosphate tạo nên, có khả năng bám chặt vào răng và khó có thể tách hay bị vỡ, bong ra. Thế nhưng trên thực tế, cao răng vẫn có thể tự vỡ vì một số nguyên do như sau:
Nhiều người lo lắng cao răng tự vỡ có ảnh hưởng gì không? Thực tế, cao răng vỡ mang đến nhiều lợi ích hơn sự lo lắng. Khi những mảnh cao răng vôi hóa bị rơi ra, thân răng, chân răng, nướu răng được “giải phóng” nên sạch sẽ hơn, giảm nguy cơ mắc bệnh về răng miệng. Cao răng vỡ và rơi ra cũng giúp tăng tính thẩm mỹ của hàm răng, cải thiện màu sắc răng, giảm mùi hôi khó chịu trong khoang miệng.
Một số nguy cơ khi cao răng bị vỡ tiềm ẩn với đối tượng chủ yếu là trẻ em. Khi đó, các mảnh vụn cao răng rơi vào trong khoang miệng có thể chọc vào lợi, rơi vào họng gây khó chịu hoặc hóc. Vì vậy, khi thấy mảnh vụn cao răng tự vỡ ra, đó là dấu hiệu cảnh báo cao răng đã tích tụ quá nhiều và bạn cần đến gặp nha sĩ để loại bỏ chúng.

Chúng ta có thể dễ dàng quan sát thấy cao răng bám quanh thân răng và chân răng. Khi bạn nhìn thấy lớp cao răng tích tụ cũng là lúc bạn nên đi lấy cao răng. Thông thường, bạn có thể lấy cao răng 6 tháng một lần.
Tuy nhiên cũng có những người dễ hình thành mảng bám do thói quen chăm sóc răng miệng chưa tốt nên cao răng của họ luôn nhiều hơn những người khác. Khi đó, khoảng cách giữa các lần lấy cao răng nên là 3 - 4 tháng. Lấy cao răng đúng thời điểm không chỉ giúp phòng ngừa cao răng tự vỡ mà còn tốt cho sức khỏe răng miệng.
Việc lấy cao răng nên được thực hiện ở những cơ sở nha khoa uy tín để tránh tình trạng chảy máu chân răng, tổn thương nướu,… Một số trường hợp cao răng tích tụ nhiều, sau khi lấy cao răng dưới nướu sẽ hình thành một khoảng trống lớn. Khi đó, nha sĩ có thể tư vấn điều trị viêm nướu bằng cách chấm thuốc để nướu ôm sát vào chân răng, phòng ngừa viêm nhiễm. Cũng có trường hợp mô nướu đã bị viêm trước khi lấy cao răng, nha sĩ sẽ chỉ định dùng thêm kháng sinh phù hợp để điều trị.
Một số người áp dụng cách lấy cao răng tại nhà thường xuyên bằng muối, bằng vỏ chuối, chanh, baking soda, dầu dừa,… Tuy nhiên, những cách làm này chỉ có thể làm sạch bề mặt răng một cách thông thường. Cao răng bám rất chắc vào răng và đã bị vôi hóa nên chỉ có thể được loại bỏ hoàn toàn bằng các thiết bị hiện đại như máy siêu âm. Ngoài ra, dùng các nguyên liệu có tính acid như chanh với liều lượng quá nhiều có thể làm tổn thương men răng hoặc gây ê buốt răng.

Ngay khi phát hiện cao răng tự vỡ, bạn nên đến gặp nha sĩ để được lấy toàn bộ cao răng. Sau khi lấy cao răng, bạn cần lưu ý một số vấn đề như:
Tóm lại, bạn không cần quá lo lắng khi cao răng tự vỡ. Thực chất, đây là dấu hiệu cho biết đã đến lúc bạn nên đi lấy cao răng để làm sạch hàm răng. Tốt nhất, hãy lấy cao răng định kỳ 3 - 6 tháng một lần để tránh tình trạng các mảnh vụn cao răng tự vỡ và rơi vào khoang miệng nhé!
Dược sĩ Đại họcNguyễn Thị Thảo Nguyên
Tốt nghiệp Khoa Dược trường Đại học Nam Cần Thơ. Có nhiều năm kinh nghiệm công tác trong lĩnh vực Dược phẩm. Hiện đang giảng viên cho Dược sĩ tại Nhà thuốc Long Châu.