Dược sĩ Đại học có nhiều năm kinh nghiệm trong việc tư vấn Dược phẩm và hỗ trợ giải đáp thắc mắc về Bệnh học. Hiện đang là giảng viên cho Dược sĩ tại Nhà thuốc Long Châu.
Quỳnh Loan
14/06/2024
Mặc định
Lớn hơn
Vôi hóa tuyến tiền liệt là mối quan tâm chung của nam giới, đặc trưng bởi sự lắng đọng canxi trong tuyến tiền liệt. Mặc dù tình trạng này có thể không gây ra mối đe dọa tức thì nhưng việc can thiệp sớm là rất quan trọng để ngăn ngừa các biến chứng tiềm ẩn cũng như bảo vệ sức khỏe tổng thể.
Vôi hóa tuyến tiền liệt không phải lúc nào cũng có biểu hiện triệu chứng rõ ràng, do đó mỗi người chúng ta đều cần kiểm tra và theo dõi sức khỏe thường xuyên để phát hiện sớm bệnh. Nam giới trên 40 tuổi là đối tượng có nguy cơ cao hơn, vì thế bác sĩ chuyên khoa khuyến cáo nên ưu tiên khám sức khỏe định kỳ và tham khảo ý kiến bác sĩ ngay khi thấy bất kỳ triệu chứng bất thường nào ở vùng xương chậu.
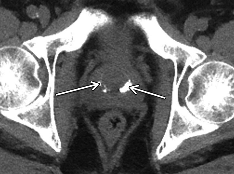
Vôi hóa tuyến tiền liệt xảy ra khi canxi tích tụ trong tuyến tiền liệt. Mặc dù nguyên nhân chính xác vẫn chưa được xác định nhưng thường có liên quan đến các tình trạng tiềm ẩn như viêm tuyến tiền liệt, phì đại tuyến tiền liệt hoặc phẫu thuật ung thư tuyến tiền liệt trước đó. Kích thước của những vết vôi hóa này thay đổi tùy theo từng người và thường được xác định thông qua các kỹ thuật chẩn đoán hình ảnh như siêu âm, CT hoặc MRI.

Triệu chứng vôi hóa tuyến tiền liệt:
Ở giai đoạn đầu, vôi hóa tuyến tiền liệt có thể không biểu hiện bất kỳ triệu chứng nào đáng chú ý và thường chỉ được phát hiện tình cờ khi đi khám bệnh. Tuy nhiên, khi bệnh tiến triển, người bệnh có thể gặp các triệu chứng như:
Các biến chứng có thể phát sinh khi vôi hóa trở nên nghiêm trọng và lớn, dẫn đến các tình trạng như viêm tuyến tiền liệt. Vì vậy, điều cần thiết là phải luôn cảnh giác và đi khám bác sĩ nếu có bất kỳ triệu chứng liên quan nào phát sinh.
Như đã đề cập bên trên, nguyên nhân chính xác của vôi hóa tiền liệt tuyến vẫn còn chưa được xác định rõ nhưng một số yếu tố nhất định sau đây có thể góp phần vào sự phát triển của tình trạng này.
Tuổi tác là yếu tố đầu tiên được đề cập khi nói đến vôi hóa tuyến tiền liệt. Đàn ông trung niên và lớn tuổi có nguy cơ cao hơn do sự thay đổi chức năng của các cơ quan liên quan đến tuổi tác. Khi nam giới già đi, tuyến tiền liệt có thể phình to ra, khiến nó dễ bị tích tụ canxi và vôi hóa hơn.

Các nghiên cứu cho thấy rằng khi chúng ta già đi, hệ thống miễn dịch của chúng ta dần trở nên kém hiệu quả hơn. Nếu không có các biện pháp hỗ trợ miễn dịch và chăm sóc sức khỏe thích hợp, canxi có thể tích tụ trong tuyến tiền liệt theo thời gian, dẫn đến hình thành vôi hóa.
Những người có tiền sử viêm tuyến tiền liệt có nguy cơ cao bị vôi hóa tuyến tiền liệt. Viêm mãn tính có thể góp phần hình thành sỏi ở tuyến tiền liệt, làm trầm trọng thêm tình trạng bệnh.
Vôi hóa tuyến tiền liệt có đặc trưng bởi sự tích tụ sỏi canxi trong tuyến tiền liệt, làm tăng mối lo ngại về những rủi ro và hậu quả tiềm ẩn của nó, đặc biệt khi vôi hóa đạt kích thước 7mm hoặc lớn hơn. Dưới đây là những điều bạn cần biết về mối nguy hiểm liên quan đến vôi hóa tuyến tiền liệt 7mm:
Mặc dù vôi hóa tuyến tiền liệt thường lành tính, nhưng những vết vôi hóa lớn hơn, chẳng hạn như những vết vôi hóa có kích thước từ 7mm trở lên, có thể gây ra những rủi ro và hậu quả đáng kể cho sức khỏe. Ban đầu, những vết vôi hóa nhỏ có thể không gây ra triệu chứng đáng chú ý hoặc cản trở các hoạt động hàng ngày. Tuy nhiên, khi chúng phát triển lớn hơn theo thời gian, chúng có thể dẫn đến nhiều biến chứng khác nhau ảnh hưởng đến sức khỏe và chất lượng cuộc sống của nam giới.

Chất lượng tinh trùng và khả năng sinh sản bị suy giảm
Vôi hóa tuyến tiền liệt có thể ảnh hưởng đến chất lượng tinh trùng, dẫn đến các vấn đề về khả năng sinh sản và khó thụ thai. Khi vôi hóa cản trở tuyến tiền liệt, chúng có thể cản trở hoạt động bình thường của việc sản xuất và vận chuyển tinh trùng.
Tắc nghẽn niệu đạo
Vôi hóa lớn hơn có thể làm tắc nghẽn ống niệu đạo, gây đau khi xuất tinh và khó tiểu. Các triệu chứng có thể bao gồm đi tiểu thường xuyên, tiểu không hết, tiểu đau và khó tiểu.

Nguy cơ viêm tuyến tiền liệt
Nếu không được điều trị, vôi hóa tuyến tiền liệt quá 7mm có thể góp phần phát triển bệnh viêm tuyến tiền liệt. Viêm tuyến tiền liệt có thể dẫn đến cảm giác khó chịu, các vấn đề về tiết niệu và có khả năng làm tăng nguy cơ ung thư tuyến tiền liệt.
Để đánh giá chính xác sự hiện diện và kích thước của vôi hóa tuyến tiền liệt, bao gồm vôi hóa tuyến tiền liệt quá 7mm, người bệnh phải trải qua các xét nghiệm chẩn đoán chuyên biệt do bác sĩ chuyên khoa thực hiện. Việc phát hiện sớm và điều trị phù hợp là điều cần thiết để ngăn ngừa sự tiến triển của vôi hóa và giảm thiểu các nguy cơ sức khỏe liên quan.
Tóm lại, mặc dù vôi hóa tuyến tiền liệt 7mm ban đầu có thể không gây ra triệu chứng, nhưng nó có thể dẫn đến những ảnh hưởng đáng kể đến sức khỏe nếu không được điều trị. Nam giới không được bỏ qua các dấu hiệu liên quan, khi xuất hiện triệu chứng bất thường vùng chậu phải nhanh chóng đi kiểm tra để kịp thời điều trị bệnh (nếu có).
Đối với bệnh nhân bị vôi hóa tuyến tiền liệt, bác sĩ chuyên khoa có thể sử dụng các kỹ thuật chẩn đoán khác nhau như sờ trực tràng, chụp X-quang hoặc nội soi niệu đạo để đánh giá kích thước và mức độ vôi hóa. Vậy khi bị vôi hóa tiền liệt tuyến 7mm, bệnh nhân sẽ được điều trị bằng cách nào?
Nốt vôi hoá tại tuyến tiền liệt thường là nơi ẩn trú của một số vi sinh vật có hại, do đó, bác sĩ có thể kê đơn thuốc kháng sinh để tiêu diệt chúng. Tuy nhiên, việc xử lý hết hoàn toàn chúng là không thể nên bác sĩ sẽ cân nhắc kết hợp liệu pháp vật lý và tiêm để bổ sung cho việc điều trị.

Phẫu thuật nội soi
Biện pháp này có ưu điểm giúp bệnh nhân giảm đau, phục hồi nhanh hơn và sẹo để lại cũng tối thiểu. Phẫu thuật nội soi thường được áp dụng để điều trị các vết vôi hóa lớn hơn làm tắc nghẽn ống niệu đạo.
Phẫu thuật mở
Phẫu thuật mở có thể được cân nhắc trong một số trường hợp nhất định, tuy nhiên phương pháp này tiềm ẩn rủi ro cao hơn, thời gian hồi phục lâu hơn cũng như người bệnh sẽ đối mặt với cảm giác khó chịu sau phẫu thuật nhiều hơn.
Kỹ thuật xâm lấn tối thiểu
Với khả năng xâm lấn tối thiểu và thời gian thực hiện nhanh, các thủ thuật xâm lấn tối thiểu đang ngày càng trở nên phổ biến để điều trị vôi hóa tuyến tiền liệt 7mm trở lên.

Nhìn chung, việc lựa chọn phương pháp điều trị nốt vôi hóa tiền liệt tuyến 7mm phụ thuộc vào nhiều yếu tố khác nhau, bao gồm kích thước và mức độ nghiêm trọng của vôi hóa, tình trạng sức khỏe người bệnh. Với phương pháp điều trị phù hợp, bệnh nhân sẽ có thể kiểm soát hiệu quả tình trạng vôi hóa tuyến tiền liệt và cải thiện chất lượng cuộc sống nói chung.
Xem thêm:
Dược sĩ Đại họcNguyễn Mỹ Huyền
Dược sĩ Đại học có nhiều năm kinh nghiệm trong việc tư vấn Dược phẩm và hỗ trợ giải đáp thắc mắc về Bệnh học. Hiện đang là giảng viên cho Dược sĩ tại Nhà thuốc Long Châu.