Văn Khang
25/10/2024
Mặc định
Lớn hơn
Răng quặp là hiện tượng tương đối hiếm gặp, và để lại nhiều hậu quả đáng tiếc về sau. Vậy răng cửa quặp vào trong có niềng được không? Giải pháp nào hiệu quả cho bạn?
Răng cửa quặp vào trong là khi răng không nằm đúng trong khớp cắn, khiến chúng trồi lên hoặc chen vào bên trong hàm. Tình trạng này không chỉ làm mất thẩm mỹ mà còn ảnh hưởng đến chức năng ăn nhai. Liệu có thể niềng răng để sửa chữa tình trạng này không? Thời gian niềng sẽ kéo dài bao lâu? Cùng tìm hiểu câu trả lời trong bài viết dưới đây từ Nhà Thuốc Long Châu!
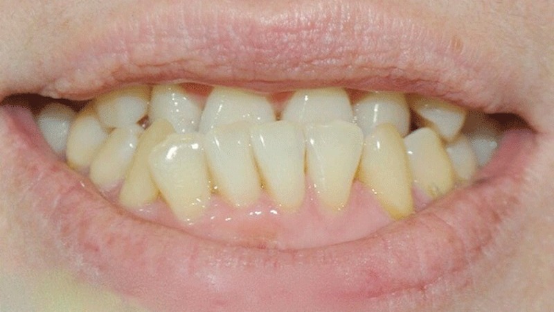
Răng quặp vào trong, hay còn được gọi là tình trạng răng cụp, là khi các răng không mọc thẳng và đều, dẫn đến việc răng bên trong cung hàm bị che phủ. Tình trạng này thường xảy ra dưới hai dạng chính:
Ngoài ra, cũng có những trường hợp một hoặc nhiều răng bị lệch và cụp vào trong so với các răng khác trên cung hàm.

Răng cửa bị quặp vào trong có thể do nhiều nguyên nhân nhưng chủ yếu là do di truyền hoặc thói quen xấu từ nhỏ.
Nếu những người trong gia đình, như ông bà hay cha mẹ, có vấn đề về răng bị cụp vào trong, thì khả năng cao là con cháu cũng sẽ gặp phải tình trạng này khi chào đời. Ngoài ra, việc răng cụp vào trong cũng có thể liên quan đến việc xương hàm phát triển trong thời kỳ mang thai.
Nếu bé thường xuyên bú bình, mút tay, đẩy lưỡi, hay bặm môi từ khi còn nhỏ, có thể dẫn đến vấn đề về răng cụp. Để đảm bảo răng của bé mọc đều đặn và cắn đúng, mẹ nên giúp bé từ bỏ những thói quen này.

Tình trạng răng cửa cụp vào trong không chỉ gây mất thẩm mỹ mà còn gây ra nhiều tác hại cho răng miệng. Cụ thể:
Khi răng cửa ở hàm trên mọc quặp vào nhau, điều này có thể làm cho phần cằm và môi bị lẹm hoặc nhô, làm cho khuôn mặt trở nên không cân đối và hài hòa. Tình trạng này cũng làm cho nụ cười trở nên kém duyên và không tự nhiên, gây cảm giác tự ti khi giao tiếp.
Tình trạng răng cửa bị quặp có thể gây ra vấn đề nhóm răng cửa bị hô hoặc móm, khiến cho việc nhai và nghiền thức ăn trở nên khó khăn. Khi đó, nhóm răng cối và răng hàm sẽ phải làm việc nhiều hơn để thay thế. Điều này có thể dẫn đến sự suy giảm trong chức năng nhai và có thể gây mỏi mệt cho khớp thái dương hàm theo thời gian.
Các răng cửa bị mòn vào bên trong gây ra những vấn đề khi làm sạch răng miệng. Nếu không làm sạch kỹ các mảng bám và thức ăn thừa có thể tạo điều kiện cho vi khuẩn phát triển. Điều này là nguyên nhân gây ra các vấn đề về sức khỏe răng miệng như sâu răng, viêm nướu, viêm lợi,...

Ngoài những vấn đề liên quan đến ngoại hình và sức khỏe răng miệng, tướng răng cụp vào trong cũng là một điều mà nhiều người quan tâm. Dưới đây là một số ý nghĩa đặc biệt của việc có răng cửa quặp vào trong đối với nam và nữ:
Nam giới có hàm răng cụp, đặc biệt là răng cửa, thường được xem là có tính cách mạnh mẽ, quyết đoán và có khả năng lãnh đạo trong công việc. Họ thường thành công trong sự nghiệp nhờ tính cầu tiến và khả năng quản lý.
Tính cách này cũng giúp họ biết cách quản lý tài chính hiệu quả trong cuộc sống hàng ngày. Tuy nhiên, đôi khi họ có thể bị nhìn nhận là ki bo, hà tiện vì tính cách thực tế và tiết kiệm của mình. Do đó, họ có thể gặp khó khăn trong chuyện tình duyên.
Bên cạnh đó, nam giới này thường là những người nội tâm, giàu tình cảm và thường hành động hơn là nói để thể hiện tình cảm của mình.
Trong phong thủy, những người có răng cụp vào trong trong tướng số nữ thường được mô tả là những người có tính cách ghen tuông, cứng nhắc, và thường xuyên tính toán mọi việc. Vì vậy, họ không thu hút được sự yêu mến từ mọi người xung quanh.
Dù có thể sống tự lập và độc lập, nhưng trong môi trường gia đình, tính cách này có thể tạo ra sự căng thẳng và gây mệt mỏi cho người thân, làm cho không gian gia đình không thật sự thoải mái.
Niềng răng là phương pháp phổ biến và hiệu quả trong nha khoa để xử lý tình trạng răng quặp, nhất là răng cửa. Dù gây ra những vấn đề về mặt thẩm mỹ, sức khỏe và tự tin, nhưng niềng răng được coi là giải pháp tốt nhất để điều chỉnh chúng. Bác sĩ thường khuyến nghị niềng răng để cải thiện vị trí của các răng bị lệch.
Với sự tiến bộ trong ngành nha khoa và kinh nghiệm lâu năm của các chuyên gia, niềng răng hiện nay đã trở nên rất hiệu quả. Phương pháp này giúp điều chỉnh khớp cắn và di chuyển các răng để có được sự sắp xếp mong muốn.

Hiện nay, có nhiều cách để điều trị răng cửa quặp như niềng răng mắc cài hoặc niềng răng trong suốt. Mỗi phương pháp đều có những ưu và nhược điểm riêng, cũng như chi phí và thời gian điều trị khác nhau. Tùy thuộc vào tình trạng răng miệng và khả năng tài chính của mỗi người, họ có thể xem xét và lựa chọn phương pháp phù hợp nhất.
Niềng răng mắc cài là phương pháp truyền thống để chỉnh nha, giá thành khá rẻ và thường mất khoảng 18 - 24 tháng. Trong khi đó, niềng răng trong suốt Invisalign sử dụng công nghệ hiện đại nhưng có chi phí cao hơn. Tuy nhiên, thời gian điều trị ngắn hơn, chỉ khoảng 16 - 20 tháng để có răng đều đẹp.
Để có kết quả mong muốn, cần thời gian và kiên nhẫn khi niềng răng. Nếu bạn không có nhiều thời gian, bạn có thể chọn bọc răng sứ. Bạn chỉ cần từ 2 - 4 ngày để có răng đều đẹp, giúp khắc phục vấn đề răng quặp một cách hiệu quả.
Tình trạng răng quặp vào trong là điều phổ biến và có thể được sửa chữa bằng cách điều chỉnh bằng niềng răng. Nếu bạn đang gặp vấn đề này và muốn biết thêm về cách niềng răng để chỉnh sửa răng mọc lệch, hãy liên hệ với Nhà Thuốc Long Châu để được tư vấn cụ thể hơn.
Xem thêm: