Tốt nghiệp Đại học Dược Hà Nội, với hơn 10 năm kinh nghiệm trong lĩnh vực Dược phẩm. Hiện là giảng viên giảng dạy các môn Dược lý, Dược lâm sàng,...
Cẩm Ly
21/12/2023
Mặc định
Lớn hơn
Siêu âm đo độ mờ da gáy là một trong các phương pháp xác định nguy cơ mắc dị tật ở thai nhi mà mẹ cần làm. Vậy siêu âm 2D có đo được độ mờ da gáy không? Vấn đề đó sẽ được giải đáp qua bài viết sau đây.
Siêu âm 2D đo độ mờ da gáy là phương pháp xét nghiệm quan trọng trong thai kỳ nhằm giúp các mẹ xác định bé yêu của mình có nguy cơ mắc bệnh Down hoặc dị tật bẩm sinh nào hay không. Do đó, có nhiều mẹ bầu thắc mắc rằng liệu siêu âm 2D có đo được độ mờ da gáy chuẩn xác không? Nguyên nhân độ mờ da gáy cao do đâu? Thắc mắc này sẽ được chúng tôi giải đáp qua bài viết sau đây.
Siêu âm đo độ mờ da gáy là phương pháp kiểm tra vùng da gáy của thai nhi nhằm xác định trẻ có nguy cơ mắc các dị tật hoặc hội chứng Down hay không.
Dựa vào kết quả siêu âm thì các mẹ bầu sẽ được chỉ định làm thêm một số xét nghiệm khác như chọc ối, sinh thiết gai nhau,... để kiểm tra nhiễm sắc thể của thai nhi có bất thường không. Đồng thời còn được hướng dẫn làm thêm xét nghiệm máu nhằm đo hàm lượng HCG có cao không và protein PAPP-A có thấp không. Thông qua các kết quả xét nghiệm đó sẽ xác định chính xác 90% trẻ có bị mắc các dị tật bẩm sinh hoặc bệnh Down hay không.

Theo các chuyên gia y tế, siêu âm 2D có thể giúp phát hiện nguy cơ mắc hội chứng Down hoặc các dị tật ở thai nhi bằng việc quan sát độ mờ ở vùng da gáy của bé trong bụng mẹ. Dựa vào đây, một số hội chứng bất thường về nhiễm sắc thể thường gặp ở trẻ sơ sinh sẽ được chẩn đoán kịp thời, bao gồm cả hội chứng Edwards, Patau,...
Khi nhận được kết quả, nếu phát hiện dấu hiệu bất thường, bác sĩ sẽ hướng dẫn mẹ thực hiện các xét nghiệm bổ sung như xét nghiệm Double test, Triple test, NIPT, chọc ối,... trước khi đưa ra kết luận cuối cùng và tư vấn cho mẹ phương án phù hợp.

Phần lớn siêu âm được sử dụng để đo độ mờ da gáy cho thai nhi thường là siêu âm 2D. Thông thường siêu âm 2D chỉ cho các hình ảnh lát cắt mỏng và hình ảnh thu theo 2 chiều nhưng cũng đủ để cung cấp các thông tin có liên quan về mặt lâm sàng cho các bác sĩ.
Ngoài ra vào những năm gần đây, kỹ thuật y tế ngày càng hiện đại hơn đã cho ra đời một số loại siêu âm khác như siêu âm 3D, 4D,… Đối với siêu âm 3D, nó sẽ dựa vào các hình ảnh lát cắt mỏng của siêu âm 2D để xây dựng số hóa cho thêm nhiều hình ảnh sống động và chân thực hơn. Còn đối với siêu âm 4D thì nó sẽ được xây dựng thêm chiều thời gian ở siêu âm 3D mà thôi.

Theo một vài chuyên gia, khi đo độ mờ da gáy cho trẻ nhỏ thì việc sử dụng siêu âm 3D sẽ cho lát cắt dọc với hình ảnh thành công là 100% còn siêu âm 2D chỉ cho thành công với 80% mà thôi. Do đó, nếu các mẹ sử dụng phương pháp siêu âm 3D để đo độ mờ da gáy cho con thì có độ chính xác cao nhất nhưng nếu sử dụng phương pháp siêu âm 2D để đo thì các mẹ cũng có thể yên tâm về kết quả mà nó cung cấp nhé, vì nó có độ chính xác khoảng 90%.
Siêu âm 2D đo độ mờ da gáy được thực hiện qua đường bụng của mẹ bầu. Tuy nhiên, có một vài trường hợp đặc biệt mà tử cung của mẹ nghiêng về phía sau nên chỉ có thể tiến hành siêu âm bằng đầu dò để cho ra kết quả chuẩn xác nhất. Ngoài ra, các kỹ thuật này đều không gây ra bất kỳ tổn hại nào cho mẹ và thai nhi cho nên các mẹ có thể yên tâm khi thực hiện nhé. Các bước thực hiện siêu âm đo độ mờ da gáy như sau:
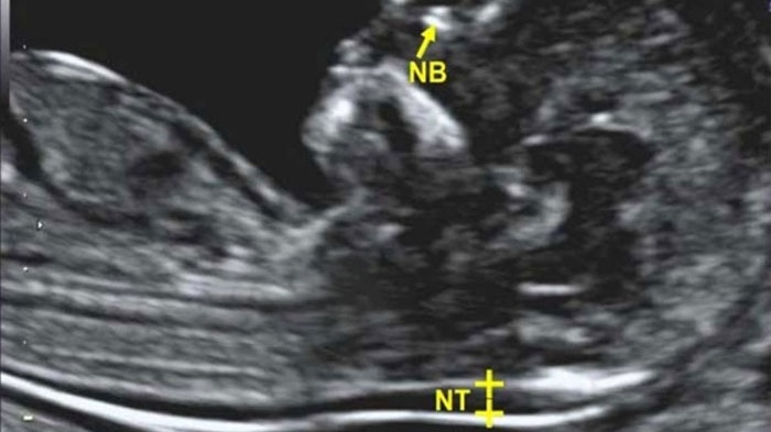
Để đo độ mờ da gáy, bác sĩ sẽ tiến hành đo theo chiều từ đỉnh đầu đến cuối xương sống của thai nhi rồi tiến đến sau gáy. Lúc này, các mẹ sẽ thấy có khoảng mờ sau gáy là một đường màu trắng xuất hiện khu vực xung quanh có màu tối hơn. Qua phần màu trắng đó bác sĩ xác định được nguy cơ mắc bệnh dị tật ở thai nhi. Ngoài ra, trên màn hình bạn còn có thể thấy các bộ phận khác như tay, chân, đầu,… của bé và cũng thấy được các điểm bất thường ở bụng hay hộp sọ của thai nhi.
Bài viết đã tổng hợp đủ các tin tức về siêu âm 2D có đo được độ mờ da gáy không? Đồng thời cũng giúp các mẹ hiểu rõ hơn về định nghĩa siêu âm đo độ mờ da gáy. Hy vọng mọi thông tin đã chia sẻ có thể giúp các mẹ biết thêm về một phương pháp sàng lọc trước sinh quan trọng cần làm trong thai kỳ của mình nhé.
Xem thêm:
Dược sĩ Đại họcNguyễn Thanh Hải
Tốt nghiệp Đại học Dược Hà Nội, với hơn 10 năm kinh nghiệm trong lĩnh vực Dược phẩm. Hiện là giảng viên giảng dạy các môn Dược lý, Dược lâm sàng,...