Tốt nghiệp Đại học Y Dược TP. Hồ Chí Minh. Có nhiều năm trong lĩnh vực dược phẩm. Hiện đang là giảng viên cho Dược sĩ tại Nhà thuốc Long Châu.
Thanh Hương
29/09/2025
Mặc định
Lớn hơn
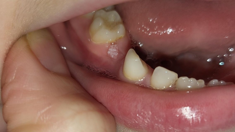
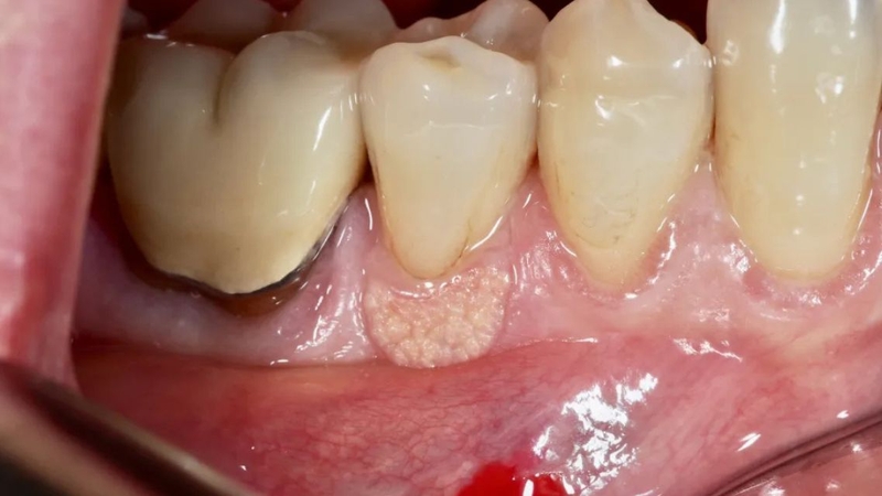
Nướu răng xuất hiện các u nhú, sưng đỏ bất thường nhưng không gây đau có thể là dấu hiệu cảnh báo sùi mào gà ở nướu răng. Việc phát hiện sớm và điều trị đúng cách giúp kiểm soát bệnh và phòng ngừa biến chứng nguy hiểm.
Virus HPV không chỉ gây sùi mào gà ở cơ quan sinh dục mà còn có thể tấn công khoang miệng, đặc biệt là vùng nướu răng - nơi dễ bị bỏ qua khi kiểm tra sức khỏe. Sùi mào gà ở nướu răng không chỉ ảnh hưởng đến thẩm mỹ và chức năng ăn nhai, mà còn tiềm ẩn nguy cơ tiến triển thành tổn thương nghiêm trọng nếu không được phát hiện sớm. Vậy làm sao để nhận biết và điều trị hiệu quả căn bệnh này?
Sùi mào gà ở nướu răng có thể xuất hiện do những nguyên nhân phổ biến như:
Quan hệ bằng miệng không an toàn là con đường lây truyền quan trọng của sùi mào gà ở miệng, trong đó có vùng nướu răng. Khi tiếp xúc trực tiếp với cơ quan sinh dục của người nhiễm virus HPV qua đường miệng, virus có thể xâm nhập vào niêm mạc miệng, bám vào vùng nướu và gây tổn thương. Đặc biệt, nếu trong khoang miệng có vết xước nhỏ hoặc viêm nhiễm sẵn, nguy cơ lây nhiễm càng cao.
Những hành động thân mật như hôn sâu hoặc chạm vào vùng tổn thương có chứa virus HPV của người bệnh cũng có thể là nguyên nhân khiến virus xâm nhập vào khoang miệng người lành. Trong các tình huống này, virus dễ dàng lây truyền qua các các vết xước, nhất là với người có sức đề kháng yếu hoặc đang bị tổn thương niêm mạc.

Hệ miễn dịch đóng vai trò quan trọng trong việc kiểm soát hoạt động của virus HPV. Khi hệ miễn dịch của cơ thể bị suy yếu, virus HPV dễ dàng bùng phát và gây tổn thương tại những vị trí nhạy cảm như nướu răng. Đây cũng là lý do vì sao những người có hệ miễn dịch kém thường dễ mắc hoặc tái phát sùi mào gà ở miệng hơn.
Có thể nhận biết sớm sùi mào gà ở nướu răng qua những dấu hiệu sau:

Sùi mào gà ở nướu răng tuy không gây đau cấp tính nhưng ẩn chứa nhiều nguy cơ nếu không được phát hiện và điều trị kịp thời. Ban đầu, các tổn thương u nhú có thể xuất hiện nhỏ lẻ và ít gây khó chịu. Tuy nhiên, nếu để kéo dài, chúng có xu hướng lan rộng nhanh, liên kết thành cụm lớn, gây chảy máu, nhiễm trùng và rất khó kiểm soát.
Đặc biệt, virus HPV gây sùi mào gà có khả năng lây lan sang các vùng lân cận trong khoang miệng như lưỡi, amidan, niêm mạc má. Trong một số trường hợp hiếm, HPV từ khoang miệng có thể lây xuống đường hô hấp nếu không được ngăn chặn sớm.
Số lượng nốt sùi tăng, xuất hiện ở nhiều vị trí sẽ gây khó khăn trong việc loại bỏ hoàn toàn. Nếu HPV lan xuống họng, thanh quản hoặc khí quản, có thể gây bệnh u nhú thanh quản, dẫn đến khàn tiếng, khó thở, thậm chí tắc nghẽn đường thở. Một số chủng HPV nguy cơ cao (đặc biệt HPV-16, HPV-18) khi tồn tại lâu dài ở amidan, đáy lưỡi hoặc vòm họng có thể dẫn đến ung thư hầu họng. Đây là biến chứng nghiêm trọng nhưng thường diễn tiến âm thầm trong nhiều năm.
Bên cạnh các rủi ro thể chất, sùi mào gà ở nướu răng còn gây ảnh hưởng đến tâm lý, sự tự tin trong giao tiếp, sinh hoạt và chất lượng sống hằng ngày. Nhiều người bệnh cảm thấy e ngại, mất tự tin khi ăn uống hay nói chuyện.

Khi sùi mào gà xuất hiện ở nướu răng, việc điều trị kịp thời và đúng cách đóng vai trò quan trọng trong việc ngăn ngừa biến chứng và hạn chế lây lan. Trong nhiều trường hợp, người bệnh được khuyến khích làm xét nghiệm HPV để xác định chủng virus có nguy cơ cao hay không. Bệnh nhân có thể cần sinh thiết hoặc làm PCR trên mẫu tổn thương tùy chỉ định, từ đó có hướng điều trị và theo dõi phù hợp.
Với các tổn thương sùi mào gà ở nướu răng xuất hiện rõ, phương pháp điều trị tại chỗ thường được ưu tiên nhằm loại bỏ khối u nhú và giảm nguy cơ lây lan. Tùy vào mức độ tổn thương, bác sĩ có thể chỉ định đốt laser, áp lạnh (liệu pháp nitơ lỏng) hoặc sử dụng điện cao tần để phá hủy các mô bệnh.
Đốt laser CO₂ được đánh giá cao nhờ độ chính xác, ít gây chảy máu và giúp vùng tổn thương phục hồi nhanh nhưng chi phí điều trị khá cao. Áp lạnh là lựa chọn ít đau và thao tác nhanh, phù hợp với những tổn thương nhỏ, nhưng thường phải thực hiện nhiều lần mới đạt hiệu quả triệt để. Phẫu thuật cắt bỏ giúp loại bỏ hoàn toàn những tổn thương kích thước lớn, song có nhược điểm là dễ gây đau, chảy máu và cần gây tê trước khi tiến hành.
Bên cạnh điều trị y tế, người bệnh cần chủ động chăm sóc khoang miệng đúng cách để tránh kích ứng vùng nướu đang tổn thương. Vệ sinh răng miệng đều đặn với bàn chải mềm, nước súc miệng không cồn và hạn chế ăn đồ cay nóng sẽ giúp vết thương nhanh lành. Ngoài ra, trong thời gian điều trị, người bệnh cần kiêng quan hệ tình dục bằng miệng để giảm nguy cơ tái nhiễm hoặc lây nhiễm chéo giữa các vị trí trong khoang miệng hoặc với bạn tình.

Sùi mào gà ở nướu răng là một vấn đề sức khỏe nghiêm trọng nhưng hoàn toàn có thể kiểm soát nếu được phát hiện sớm và điều trị đúng hướng. Tiêm vắc xin HPV là biện pháp phòng ngừa hiệu quả đối với các bệnh do virus HPV gây ra, bao gồm cả sùi mào gà ở nướu răng. Để được tư vấn chi tiết về vắc xin HPV, bạn có thể liên hệ với các Trung tâm tiêm chủng Long Châu trên toàn quốc.
Xem thêm:
Dược sĩ Đại họcNguyễn Vũ Kiều Ngân
Tốt nghiệp Đại học Y Dược TP. Hồ Chí Minh. Có nhiều năm trong lĩnh vực dược phẩm. Hiện đang là giảng viên cho Dược sĩ tại Nhà thuốc Long Châu.