Tốt nghiệp Khoa Dược trường Đại học Nam Cần Thơ. Có nhiều năm kinh nghiệm công tác trong lĩnh vực Dược phẩm. Hiện đang giảng viên cho Dược sĩ tại Nhà thuốc Long Châu.
Tố Uyên
25/06/2024
Mặc định
Lớn hơn
Khi thực hiện niềng răng mắc cài, bác sĩ sẽ hẹn bạn đến tái khám, mục đích của buổi tái khám là kiểm tra tiến trình niềng răng và siết dây cung nếu cần thiết. Dây cung cũng cần thay đổi nếu không đạt yêu cầu về hiệu quả kéo răng. Vậy thông thường niềng răng bao lâu thì thay dây cung?
Những cuộc hẹn tái khám rất quan trọng vì bác sĩ chỉnh nha của bạn cần xác minh quy trình hoạt động có chính xác như dự định. Bên cạnh đó bác sĩ sẽ kiểm tra dây cung có cần thay đổi không. Vậy niềng răng bao lâu thì thay dây cung? Cùng Nhà thuốc Long Châu tìm hiểu ngay sau đây nhé!
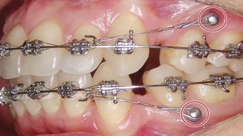
Dây chỉnh nha còn được gọi là dây cung, là một phần của mắc cài giúp định hướng răng của bạn về vị trí lý tưởng. Chính dây cung sẽ tạo áp lực nhẹ nhàng nhưng ổn định lên răng của bạn. Khi răng của bạn dần dần thẳng lại khi điều trị niềng răng, bạn sẽ cần đến các cuộc hẹn chỉnh nha thường xuyên để điều chỉnh hoặc thay đổi dây cung của mình sang chất liệu khác hoặc độ dày khác. Nếu không điều chỉnh thường xuyên, dây cung trên mắc cài của bạn sẽ ngừng hoạt động và răng sẽ không di chuyển đến vị trí mong muốn.
Dây cung chỉnh nha được làm từ ba hợp kim chính, mỗi hợp kim có độ dày và kích thước khác nhau. Những vật liệu này bao gồm:

Thông thường, nha sĩ sẽ tiến hành điều chỉnh hoặc siết chặt niềng răng sau mỗi 4 - 10 tuần. Tuy nhiên, mỗi bệnh nhân sẽ có độ dịch chuyển của răng khác nhau, vì vậy bác sĩ chỉnh nha sẽ điều chỉnh theo dây cung theo từng cá nhân. Mặc dù niềng răng bao lâu thì thay dây cung phụ thuộc rất lớn vào độ dịch chuyển của răng nhưng thời gian trung bình sẽ từ 1 - 2 tháng, bác sĩ sẽ thực hiện thay dây cung một lần.
Như vậy, thông thường từ 1 - 2 tháng bạn sẽ phải đến gặp bác sĩ để thay dây cung một lần trong suốt quá trình niềng răng. Quy trình thay dây cung thực tế không gây đau đớn vì bác sĩ chỉnh nha được đào tạo để thực hiện việc này một cách nhẹ nhàng và không gây khó chịu.
Tuy nhiên sau khi thay dây cung sẽ có một số thay đổi gây đau và khó chịu cho bạn từ một đến vài ngày. Đặc biệt nếu bạn thay dây cung ở cả hai hàm thì cơn đau sẽ dữ dội hơn so với thay một hàm. Thông thường sau khi thay dây cung cơn đau thường sẽ lên đến đỉnh điểm sau 24 giờ và bắt đầu giảm dần sau 72 giờ. Nếu bạn lo lắng về việc thay dây vì lần trước đau quá, bạn chỉ cần hỏi bác sĩ chỉnh nha khi nào bạn sẽ thay dây mới và số lần thay dây còn lại trong quá trình điều trị.

Kiểm soát cơn đau khi niềng răng sau khi thay dây cung, bạn có thể áp dụng một số mẹo về cách kiểm soát cơn đau khi niềng răng sau khi thay dây:

Bên cạnh việc phải thay dây cung định kỳ, bạn có thể gặp một số vấn đề với dây cung như:
Đứt dây cung, tuột dây cung: Nếu dây cung bị đứt, chọc vào mô mềm trong khoang miệng gây ra tình trạng khó chịu nhưng bạn chưa thể đến gặp bác sĩ, bạn có thể thử nhét dây lại vào mắc cài. Nếu không thể, bạn có thể dùng kéo cắt móng tay hoặc bấm móng tay để loại bỏ phần dây thừa.

Dây cung dịch chuyển sang một bên, chọc vào má: Nếu có thể, hãy thử căn giữa lại dây cung, nếu điều này không thể thực hiện được, hãy dùng sáp nha khoa để đệm dây không chọc vào khoang miệng hoặc thử cắt nó ra theo phương pháp trên.
Nuốt dây cung: Nếu bạn nuốt một đoạn dây cung nhỏ hơn 2mm, nó có thể sẽ đi qua hệ thống tiêu hóa của bạn một cách an toàn. Tuy nhiên, nếu bạn nuốt phải một đoạn dây lớn hơn 10mm, tốt nhất bạn nên đến gặp bác sĩ đa khoa hoặc Khoa Cấp cứu để được xử lý.
Chụp X quang bụng thường được thực hiện để xác định kích thước và vị trí của đoạn dây bị nuốt. Khoảng 1% trường hợp, chiều dài dây cung nuốt vào dài hơn có thể dẫn đến các biến chứng y tế nghiêm trọng như thủng đường tiêu hóa chẳng hạn.
Thay dây cung niềng răng là một phần thiết yếu của quá trình điều trị chỉnh nha. Việc niềng răng bao lâu thì thay dây cung sẽ phụ thuộc nhiều vào độ dịch chuyển răng của mỗi cá nhân. Nhưng thông thường, quy trình này sẽ được thực hiện trong khoảng từ 1 đến 2 tháng/lần trong suốt kế hoạch chỉnh nha của bạn.
Xem thêm: Có nên niềng răng cho trẻ 9 tuổi? Độ tuổi nào phù hợp niềng răng?
Dược sĩ Đại họcNguyễn Thị Thảo Nguyên
Tốt nghiệp Khoa Dược trường Đại học Nam Cần Thơ. Có nhiều năm kinh nghiệm công tác trong lĩnh vực Dược phẩm. Hiện đang giảng viên cho Dược sĩ tại Nhà thuốc Long Châu.