• Thực phẩm chức năng

  • Dược mỹ phẩm

  • Thuốc

  • Chăm sóc cá nhân

  • Thiết bị y tế

  • Tiêm chủng

  • Bệnh & Góc sức khỏe

  • Hệ thống nhà thuốc

    1. /
    2. Góc sức khỏe/
    3. Phòng bệnh & Sống khoẻ/
    4. Kiến thức y khoa

    Thế nào là răng cánh bướm? Cách khắc phục tình trạng răng cánh bướm hiệu quả

    Hiền Lương

    12/06/2024

    Kích thước chữ

    Răng bướm là một trong những tình trạng thường gặp ảnh hưởng đến thẩm mỹ của hàm răng. Điều này được xem là một dạng răng khấp khểnh. Tình trạng này có thể gây ra một số vấn đề về răng miệng, đồng thời có thể khiến chúng ta thiếu tự tin khi giao tiếp với người khác.

    Răng cánh bướm là gì? Làm sao để có thể khắc phục tình trạng răng cánh bướm là câu hỏi mà mọi người mắc phải hay đặt ra. Răng cánh bướm là một trong những tình trạng răng mọc lệch lạc gây kém thẩm mỹ hoặc có thể gây ra một số bệnh răng miệng. Hãy cùng tìm hiểu và tham khảo biện pháp khắc phục ngay qua bài viết dưới đây.

    Thế nào là răng cánh bướm?

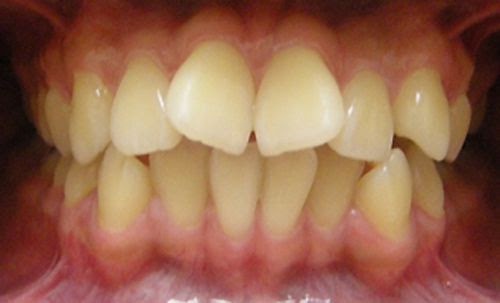
    Răng cánh bướm là tình trạng 2 răng cửa phát triển lệch lạc trên hàm so với các răng khác. Đặc biệt, phần 2 khớp răng liền kề có thể bị lõm xuống tạo thành hình chữ V. Bởi vì với hình dạng độc đáo như đôi cánh bướm nên chúng được đặt tên là răng cánh bướm. Trong một số trường hợp, hai răng cửa tạo hình cánh bướm có thể lớn hơn các răng khác. Điều này gây mất thẩm mỹ và ảnh hưởng đến chức năng ăn nhai của răng, ngoài ra còn có thể gây một số vấn đề về sức khỏe răng miệng.

    Làm sao để khắc phục tình trạng răng cánh bướm?  1
    Răng cánh bướm là tình trạng 2 răng cửa phát triển lệch lạc trên hàm so với các răng khác

    Răng cánh bướm có thể xuất phát từ nhiều nguyên nhân, một số nguyên nhân điển hình có thể kể đến như:

    • Do bẩm sinh, di truyền từ gia đình, đây là nguyên nhân phổ biến nhất và không có cách phòng ngừa.
    • Do thói quen không tốt ở một giai đoạn nào đó trong thời kỳ mọc răng của trẻ, ví dụ như trẻ ngậm núm vú giả, mút tay hoặc cắn các đồ vật,...
    • Có thể do cấu trúc hàm nhỏ nên răng vĩnh viễn không còn chỗ trống nữa để phát triển, để chúng phát triển chồng chéo lên nhau.
    • Chấn thương dẫn đến tổn thương trực tiếp đến xương hàm.

    Răng cánh bướm gây ảnh hưởng như thế nào?

    Bất kỳ vấn đề răng miệng nào bạn gặp phải sẽ ảnh hưởng đến đời sống và hoạt động hàng ngày của bạn. Điều tương tự cũng xảy ra với những người có răng cánh bướm. Dưới đây là những vấn đề mà bạn có thể gặp phải:

    • Khi răng cửa phát triển nghiêng và có kích thước lớn hơn răng khác trong hàm thì tương quan của một bộ răng hoàn chỉnh sẽ không còn cân đối và gây mất thẩm mỹ, có thể ảnh hưởng đến sự tự tin, tâm lý của chúng ta khi tiếp xúc với người khác.
    • Răng lệch khiến khớp cắn giữa răng cửa và răng hàm dưới không trùng khớp. Điều này làm giảm khả năng nuốt và nhai.
    • Răng cửa bị nghiêng hoặc lệch lạc khiến thức ăn dễ mắc vào kẽ răng. Từ đó dễ hình thành mảng bám và tạo điều kiện thuận lợi cho vi sinh vật sinh sôi và phát triển. Theo thời gian, tình trạng này sẽ dẫn đến những bệnh lý răng miệng như sâu răng, viêm nướu hoặc viêm nha chu. Ngoài ra, răng lệch lạc khiến vệ sinh răng miệng trở nên khó khăn hơn bình thường.
    Làm sao để khắc phục tình trạng răng cánh bướm? 2
    Răng lệch lạc khiến vệ sinh răng miệng trở nên khó khăn hơn bình thường

    Khắc phục răng cánh bướm

    Răng cánh bướm là tình trạng răng mọc lệch lạc. Tuy nhiên, so với các trường hợp khác như răng hô, răng móm và răng khấp khểnh thì đây là trường hợp dễ khả quan và đạt hiệu quả khi cải thiện. Theo đó, những phương pháp không hề xa lạ mà mọi người thường xuyên nghĩ tới đó là niềng răng và bọc răng sứ.

    Niềng răng

    Niềng răng được coi là kỹ thuật phổ biến để điều chỉnh răng lệch lạc, khấp khểnh. Kỹ thuật này sử dụng các dụng cụ nha khoa bao gồm: Mắc cài, dây cung, dây thun, dây thun liên hàm,… nhằm tạo lực ép giúp điều chỉnh răng về vị trí mong muốn. Thông thường, niềng răng toàn hàm mất khoảng 1 đến 2 năm. Tuy nhiên, với niềng răng cánh bướm, thời gian có thể ngắn hơn từ 6 tháng đến 12 tháng. Tùy vào tình trạng hàm răng và các răng còn lại trong hàm mà người bị sẽ được tư vấn có nên chỉnh nha hay không. Mọi người cần tham khảo kĩ trước khi thực hiện.

    Bọc răng sứ

    Đối với tình trạng 2 răng cửa bị khấp khểnh hiệu quả nhất thì bọc răng sứ làm đẹp chính là kỹ thuật chỉnh nha vừa ý dành cho bạn. Trong quá trình thực hiện, bác sĩ sẽ mài mòn men răng thật và đặt mão sứ lên trên. Điều này tạo điều kiện tối đa cải thiện răng cửa hình chữ V và kích thước của răng. Chỉ cần đợi 2 - 3 ngày để nhận được mão răng sứ được thiết kế đặc biệt dành riêng cho bạn. Khi đó, bạn có thể có ngay hàm răng đẹp, khỏe mạnh. So với niềng răng, bọc răng sứ không cần phải thời gian điều trị dài và có kết quả ngay. Ngoài ra, màu sắc của răng sứ rất giống răng thật nên bạn không cần lo lắng về vấn đề thẩm mỹ. Răng sứ có độ bền rất cao và có tuổi thọ kéo dài từ 10 - 30 năm.

    Tình trạng răng cánh bướm thường gây ra những bất tiện trong giao tiếp và ăn uống, vì vậy bạn nên khắc phục sớm để có thể tự tin trong mọi cuộc gặp gỡ.

    Làm sao để khắc phục tình trạng răng cánh bướm?3
    Đối với tình trạng 2 răng cửa bị khấp khểnh hiệu quả nhất bọc răng sứ chính là kỹ thuật vừa ý dành cho bạn

    Trên đây là những chia sẻ của chúng tôi về tình trạng răng cánh bướm cũng như cách khắc phục hiệu quả. Đây là tình trạng phổ biến hiện nay gây mất thẩm mỹ, tự tin và còn ảnh hưởng đến chức năng ăn nhai cũng như vệ sinh của người mắc phải. Bạn có thể đến các nha khoa uy tín để tư vấn niềng răng hoặc bọc răng sứ để "tạm biệt" hàm răng kém thẩm mỹ vì mọc lệch.

    Xem thêm: Răng nhỏ là gì? Nguyên nhân và cách khắc phục tình trạng răng nhỏ

    Có thể bạn quan tâm

    Thông tin và sản phẩm gợi ý trong bài viết chỉ mang tính chất tham khảo, vui lòng liên hệ với Bác sĩ, Dược sĩ hoặc chuyên viên y tế để được tư vấn cụ thể. Xem thêm

    Dược sĩ Đại họcTrần Huỳnh Minh Nhật

    Đã kiểm duyệt nội dung

    Dược sĩ chuyên khoa Dược lý - Dược lâm sàng. Tốt nghiệp 2 trường đại học Mở và Y Dược TP. Hồ Chí Minh. Có kinh nghiệm nghiên cứu về lĩnh vực sức khỏe, đạt được nhiều giải thưởng khoa học. Hiện là Dược sĩ chuyên môn phụ trách xây dựng nội dung và triển khai dự án đào tạo - Hội đồng chuyên môn tại Nhà thuốc Long Châu.

    Xem thêm thông tin