• Thực phẩm chức năng

  • Dược mỹ phẩm

  • Thuốc

  • Chăm sóc cá nhân

  • Thiết bị y tế

  • Tiêm chủng

  • Bệnh & Góc sức khỏe

  • Hệ thống nhà thuốc

    1. /
    2. Góc sức khỏe/
    3. Phòng bệnh & Sống khoẻ

    Tiết lộ lợi ích của lấy cao răng thường xuyên bạn nhất định phải biết

    21/06/2023

    Kích thước chữ

    Trước những ảnh hưởng và tác động xấu của cao răng tới sức khỏe răng miệng thì các bạn nên thường xuyên lấy cao răng định kỳ. Lợi ích của lấy cao răng thường xuyên mang đến nhiều công dụng tốt cho sức khỏe răng miệng.

    Lấy cao răng là một trong những việc giúp hỗ trợ và chăm sóc răng miệng, hạn chế sự phát triển của vi khuẩn trong khoang miệng. Các bạn hãy cùng tìm hiểu lợi ích của lấy cao răng thường xuyên qua bài chia sẻ dưới đây.

    Cao răng là gì?

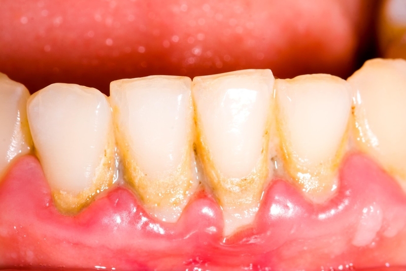
    Trước khi tìm hiểu lợi ích lấy cao răng thường xuyên các bạn cần hiểu rõ cao răng là gì. Cao răng hay còn gọi và vôi răng, đây là các mảng bám tích tụ và khoáng chất nước bọt trong khoang miệng của chúng ta bị cứng lại. Cao răng có thể phủ bên ngoài răng và xâm lấn bào bên dưới đường viền nướu. Cao răng có thể được hình dung như một tấm chăn mỏng phủ trên răng.

    Cao răng là mảng bám tích tụ trên răng Cao răng các mảng bám tích tụ và khoáng chất nước bọt trong khoang miệng bị cứng lại.

    Cao răng thường lắng đọng phía sau răng, kẽ răng, có màu vàng hoặc nâu. Cao răng và mảng bám răng đều là những tác nhân gây ảnh hưởng xấu tới sức khỏe răng miệng.

    Cao răng gây hại gì cho răng miệng?

    Khi cao răng tích tụ sẽ khiến chúng ta khó chải và vệ sinh sạch răng. Điều này sẽ tăng nguy cơ sâu răng. Cao răng hình thành trên đường viền nướu có thể gây hại cho sức khỏe răng miệng. Bởi lúc này vi khuẩn sẽ dễ dàng tích tụ gây kích ứng và làm hỏng nướu răng của chúng ta. Theo thời gian có thể dẫn đến bệnh nướu răng phát triển.

    Bệnh nướu răng phát triển có thể gây viêm nướu. Tình trạng bệnh này ở dạng nhẹ có thể điều trị bằng việc vệ sinh răng miệng, lấy cao răng cũng như sử dụng nước súc miệng sát trùng. Tuy nhiên, với trường hợp cao răng tích tụ lâu ngày gây nhiễm trùng và các vấn đề vệ sinh, vi khuẩn phát triển mạnh gây ra các vấn đề nhiễm trùng răng và nướu gây ra viêm chu nha. Viêm nha chu nếu không được phát hiện và điều trị đúng thì có thể gây ra những ảnh hưởng tới răng và nướu có thể dẫn tới mất răng vô cùng nguy hiểm.

    Bên cạnh đó, cao răng có thể gây ra những vấn đề như:

    • Hôi miệng do vi khuẩn tích tụ lâu ngày trên răng.
    • Phá hủy men răng, lớp cứng bên ngoài của răng, từ đó có thể dẫn tới ê buốt răng.
    • Gây ra các bệnh nướu răng.

    Lợi ích của lấy cao răng thường xuyên

    Phát hiện sớm các vấn đề răng miệng

    Trong quá trình nha sĩ làm sạch và lấy cao răng , bệnh nhân có thể được chụp X-quang để kiểm tra tình trạng răng và xương hàm để kiểm tra những vấn đề không thể nhìn thấy bằng mắt thường. Những tia X này sẽ cho thấy được răng có thể xác định xem có cần thiết phải niềng răng hay không cũng như biết các vấn đề nhiễm trùng, u nang hoặc khối u ở trong răng.

    Lợi ích của lấy cao răng thường xuyên: phát hiện sớm bệnh răng miệng Lợi ích của lấy cao răng thường xuyên là giúp bạn sớm phát hiện các vấn đề về răng miệng.

    Ngăn ngừa sâu răng và bệnh về nướu răng

    Lợi ích của lấy cao răng thường xuyên sẽ giúp làm sạch răng, mảng bám loại bỏ. Nếu mảng bám tích tụ lâu này sẽ trở thành cao răng. Vi khuẩn có trong mảng bám tạo ra axit ăn mòn men răng dẫn tới tình trạng sâu răng.

    Các bệnh lý về nướu răng hình thành do tích tụ mảng bám tạo cơ hội cho vi khuẩn lây nhiễm sang nướu và dưới đường viền nướu. Việc lấy cao răng sẽ giúp loại bỏ mảng bám và giảm nguy cơ nhiễm trùng, gây ra các bệnh về răng và nướu.

    Ngăn ngừa hôi miệng

    Tình trạng hôi miệng hoặc hơi thở có mùi là do các vấn đề răng miệng hoặc mảng bám tiềm ẩn bên trong khoang miệng. Do đó lợi ích của lấy cao răng thường xuyên giúp ngăn ngừa vi khuẩn gây ngừa tích tụ, hạn chế tình trạng hôi miệng hiệu quả.

    Lợi ích lấy cao răng thường xuyên: ngăn ngừa hôi miệng Ngăn ngừa hôi miệng cũng là một lợi ích của lấy cao răng thường xuyên.

    Cải thiện vấn đề sức khỏe tổng thể

    Tình trạng nhiễm trùng nướu hoặc sâu răng không được điều trị có thể dẫn tới mất răng cũng như các ảnh hưởng khác. Đặc biệt, vi khuẩn gây hại phát triển có thể lây lan nhanh vào cơ thể gây ra nhiều vấn đề nguy hiểm cho sức khỏe. Những vấn đề bệnh nướu răng không được phát hiện và điều trị kịp thời sẽ làm tăng nguy cơ mắc bệnh về tim mạch trong nướu dẫn tới thu hẹp động mạch. Ngoài ra, vi khuẩn trong khoang miệng có thể kéo vào phổi gây viêm phế quản hoặc viêm phổi.

    Như vậy có thể thể thấy lợi ích lấy cao răng thường xuyên, chăm sóc răng miệng định kỳ còn giúp bảo vệ sức khỏe một cách tổng thể, hạn chế những vấn đề nguy hiểm cho sức khỏe.

    Cách ngăn ngừa hình thành cao răng

    Ngoài việc tìm hiểu lợi ích lấy cao răng thường xuyên giúp chăm sóc sức khỏe răng miệng. Các bạn cũng cần biết cách ngăn ngừa sự hình thành cao răng hiệu quả:

    • Sử dụng kem đánh răng ngăn ngừa cao răng: Việc sử dụng các sản phẩm kem đánh răng có thể giúp kiểm soát tình trạng hình thành cao răng. Đặc biệt với các sản phẩm kem đánh răng có chứa thành phần Fluor.
    • Dùng các sản phẩm miếng dán làm trắng răng: Một nghiên cứu cho thấy những người sử dụng miếng dán làm trắng răng có chứa hợp chất Hydrogen Peroxide với Pyrophosphate hàng ngày trong thời gian 3 tháng có ít cao răng hơn những người không sử dụng.
    • Tăng cường thực phẩm cây tươi và rau quả: Trái cây tươi và các loại rau củ quả thúc đẩy quá trình nhai kỹ và do đó tiết nước bọt, thực phẩm này có thể giúp rửa sạch một số vi khuẩn tạo mảng bám trong miệng.
    • Sử dụng dung dịch nước súc miệng: Nước súc miệng có tính kháng khuẩn và diệt khuẩn rất cao nên có khả năng hỗ trợ việc xử lý các vi khuẩn trong khoang miệng. Bạn cần chọn nước súc miệng và liều dùng phù hợp tránh cảm giác rát miệng do sản phẩm có tính sát khuẩn cao.

    Qua những chia sẻ về lợi ích của lấy cao răng thường xuyên, mong rằng đã giúp cho các bạn bổ sung thêm những thông tin hữu ích. Các bạn cũng cần thực hiện chăm sóc răng miệng đúng cách và phù hợp để giúp bảo sức khỏe răng miệng tốt hơn.

    Bảo Vân

    Nguồn tham khảo: Tổng Hợp

    Có thể bạn quan tâm

    Thông tin và sản phẩm gợi ý trong bài viết chỉ mang tính chất tham khảo, vui lòng liên hệ với Bác sĩ, Dược sĩ hoặc chuyên viên y tế để được tư vấn cụ thể. Xem thêm

    Dược sĩ Đại họcNguyễn Thanh Hải

    Đã kiểm duyệt nội dung

    Tốt nghiệp Đại học Dược Hà Nội, với hơn 10 năm kinh nghiệm trong lĩnh vực Dược phẩm. Hiện là giảng viên giảng dạy các môn Dược lý, Dược lâm sàng,...

    Xem thêm thông tin