Thanh Hương
14/06/2024
Mặc định
Lớn hơn
Bất kỳ ai trong chúng ta cũng mong muốn có một hàm răng đều đẹp. Nhưng không phải lúc nào những chiếc răng nhỏ xinh cũng chiều ý chủ nhân của chúng. Ngoài tình trạng răng móm, răng hô, răng mọc lệch thì không ít người phải phiền lòng về tình trạng răng mọc ngược.
Một hàm răng đều đẹp mang đến nụ cười tự tin, khuôn mặt thẩm mỹ và giúp chức năng ăn nhai, hỗ trợ phát âm luôn được đảm bảo. Tuy nhiên, những chiếc răng xinh không phải lúc nào cũng mọc theo mong muốn của chúng ta. Có nhiều vấn đề liên quan đến việc mọc răng có thể làm ảnh hưởng nghiêm trọng đến tính thẩm mỹ của hàm răng. Một trong số đó là tình trạng răng mọc ngược.
Răng mọc ngược còn gọi là răng mọc lệch là tình trạng răng không mọc thẳng trên cung hàm như bình thường mà có thể mọc trên nướu, xương hàm thậm chí trên mũi. Ở một người có thể có một hoặc nhiều răng bị mọc ngược cùng một lúc. Mức độ mọc ngược, mọc lệch của răng cũng không giống nhau ở từng chiếc răng hay từng người.
Bất cứ giới tính hay độ tuổi nào cũng có thể bị răng mọc ngược. Tuy nhiên, trẻ em trong độ tuổi 12 - 15 là đối tượng có nguy cơ cao hơn cả vì đây là thời điểm thay răng.

Tình trạng răng mọc ngược ở trẻ em có thể bắt nguồn từ những nguyên nhân khác nhau như: Bẩm sinh, di truyền, các thói quen đẩy lưỡi, mút tay ở trẻ, răng sữa không nhổ đúng cách khiến răng vĩnh viễn mọc sai lệch, răng vĩnh viễn mọc trước khi răng sữa rụng. Với người lớn, nguyên nhân có thể do các răng mọc trước bị lệch nên răng mọc sau không có đủ vị trí để mọc trên cung hàm, răng có kích cỡ to hơn bình thường nên không đủ vị trí mọc trên cung hàm.
Có 4 dạng răng mọc ngược phổ biến gồm:
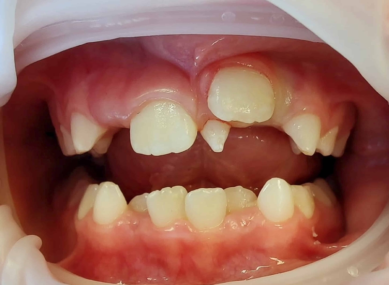
Răng mọc ngược vào trong hay răng mọc thừa phía trong là trường hợp phổ biến nhất. Nguyên nhân chủ yếu dẫn đến tình trạng này là do răng bị hô, vẩu, hai hàm răng không cân đối. Răng mọc ngược vào bên trong khiến khớp cắn bị lệch, tăng nguy cơ mắc các bệnh răng miệng.
Một đặc điểm nhận biết răng mọc trên lợi là tình trạng này thường gặp nhất ở các răng cửa và răng nanh. Trong đó, răng nanh có nguy cơ mọc ngược cao hơn cả vì chiếc răng này sẽ mọc lên sau cùng trong chu kỳ thay răng sữa. Nếu không có đủ vị trí nó rất dễ bị mọc ngược lên trên nướu. Các răng này sẽ mọc tách biệt hẳn và có vị trí cao hơn các răng khác trên cung hàm.
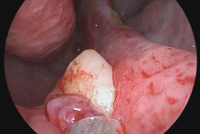
Chân răng mọc ngược tức là thay vì mọc trong xương hàm như bình thường nó sẽ chìa hẳn ra ngoài. Thân răng khi đó sẽ nằm ngang và chúng ta có thể nhìn thấy cả chân răng. Dạng răng mọc ngược này cũng hiếm gặp.
Răng mọc ngược lên mũi khá hiếm gặp, số lượng người gặp phải chỉ đếm trên đầu ngón tay, nhưng vẫn xảy ra. Tình trạng này xảy ra khi mầm răng bị di chuyển quá mức và nếu không được xử lý kịp thời người bệnh có thể bị đau nhức khó chịu, ngạt mũi.

Răng mọc ngược vừa ảnh hưởng đến thẩm mỹ, vừa ảnh hưởng đến chức năng ăn nhai. Một số vấn đề mà bạn sẽ phải đối mặt nếu có răng mọc ngược như:
Răng mọc ngược ở mức độ nhẹ gọi là răng khểnh. Nhưng mọc ngược nhiều, chìa hẳn ra ngoài còn được gọi là răng lòi xỉ, làm ảnh hưởng nghiêm trọng đến thẩm mỹ và có thể làm tổn thương các mô mềm trong khoang miệng cũng như tổn thương nướu.
Răng mọc ngược làm sai lệch khớp cắn. Khi đó, tính cân đối của khuôn mặt cũng bị ảnh hưởng. Nếu răng mọc ngược cả hàm hoặc nhiều răng mọc ngược cùng lúc sẽ khiến khuôn mặt mất cân đối nghiêm trọng. Ngoài mất tính thẩm mỹ, răng mọc ngược nhiều còn có thể khiến bạn mất tự tin, ngại giao tiếp.
Nguy cơ cao mắc bệnh về răng miệng (viêm nướu, viêm nha chu, sâu răng…) cũng là một hậu quả của tình trạng răng mọc ngược. Răng mọc ngược khiến việc vệ sinh răng miệng khó khăn hơn. Có nhiều vị trí bị khuất hoặc khe kẽ khiến mảnh vụn thức ăn tích tụ tạo điều kiện thuận lợi cho vi khuẩn sinh sôi.
Răng mọc ngược làm giảm khả năng ăn nhai. Khi các răng không khít với nhau sẽ khó khăn trong việc nhai cắn thức ăn. Khi thức ăn không được nghiền nát đúng cách cũng có thể gây ảnh hưởng đến hệ tiêu hóa.

Những cách khắc phục răng mọc thừa, răng mọc ngược rất quan trọng nhất là khi những chiếc răng này ảnh hưởng nghiêm trọng đến tính thẩm mỹ và khả năng ăn nhai. Hiện nay, tình trạng răng mọc ngược sẽ được khắc phục bằng 3 cách sau:

Trên đây là những thông tin quan trọng liên quan đến tình trạng răng mọc ngược. Nếu bạn có một hoặc nhiều chiếc răng mọc ngược, hãy đi khám nha sĩ để được tư vấn cách khắc phục hiệu quả nhất nhé!