Tốt nghiệp Đại Học Dược Hà Nội và có nhiều kinh nghiệm trong lĩnh vực Dược phẩm. Nhiều năm công tác giảng dạy tại các trường trung cấp và cao đẳng dược. Hiện đang là giảng viên cho Dược sĩ tại Nhà thuốc Long Châu.
21/06/2023
Mặc định
Lớn hơn
Bong gân bàn chân là một trong những chấn thương có thể gặp ở mọi lứa tuổi. Bong gân thường xảy ra khi lao động nặng, tai nạn, vận động sai cách, chơi thể thao. Bong gân bàn chân không gây nguy hiểm tính mạng nhưng có thể để lại nhiều di chứng nếu không được điều trị kịp thời và đúng cách.
Trong cuộc sống, chúng ta có nguy cơ bị bong gân bất cứ lúc nào ngay cả khi không chơi thể thao hay hoạt động mạnh. Trong đó, thường gặp nhất là bong gân bàn chân, bong gân mắt cá chân, cổ chân. Bởi bàn chân là vị trí thấp nhất của cơ thể có vai trò nâng đỡ cơ thể, hỗ trợ trong các hoạt động đi bộ, đứng, chạy, nhảy... Bàn chân có cấu tạo phức tạp và chịu áp lực của toàn bộ cơ thể nên rất dễ bị tổn thương nếu không được bảo vệ đúng cách.
Bong gân chân xảy ra khi các dây chằng ở bàn chân bị giãn ra, thậm chí đứt, rách một phần hoặc toàn bộ dưới tác động của lực mạnh từ bên ngoài. Trong khi đó, chân không bị trật khớp và không bị gãy. Bong gân ở bàn chân có thể gặp ở mọi lứa tuổi, với mức độ tổn thương từ nhẹ đến nặng tùy thuộc vào mức độ tổn thương của dây chằng.

Bong gân bàn chân do chấn thương có thể bắt nguồn từ những nguyên nhân sau:

Tùy vào mức độ bong gân, người bệnh sẽ xuất hiện những dấu hiệu nặng nhẹ khác nhau. Nhưng đau đớn chính là dấu hiệu đầu tiên và rõ ràng nhất. Ngoài ra, người bị bong gân có thể gặp phải các triệu chứng khác như:
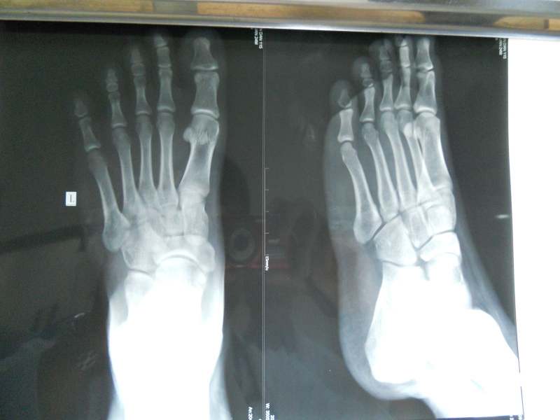
Ngoài các triệu chứng có thể nhìn thấy bằng mắt, bong gân ở bàn chân có thể được chẩn đoán bằng một số kỹ thuật thăm khám như Lachman test, test vẹo trong, test ngăn kéo trước, vẹo ngoài khớp… Bên cạnh đó, bác sĩ sẽ yêu cầu chụp thêm X-quang, CT, MRI bàn chân để có hình ảnh chi tiết tổn thương dù là nhỏ nhất hoặc loại trừ khả năng gãy xương.

Bong gân ở bàn chân được chia làm 3 cấp độ gồm:
Khi bị bong gân ở chân, tùy vào mức độ bong gân và triệu chứng để có cách xử trí phù hợp nhất. Với bong gân nhẹ ở cấp độ 1, bạn hãy ngay lập tức sơ cứu sau chấn thương theo hướng dẫn sau đây:
Với các cấp độ bong gân bàn chân nặng hơn, bác sĩ sẽ cân nhắc điều trị bằng thuốc giảm đau, thuốc chống viêm tùy theo mức độ đau. Một số thuốc thường sử dụng khi bong gân gồm giảm đau paracetamol đường uống, các thuốc NSAID dạng uống hoặc bôi tại chỗ, thuốc hỗ trợ chấn thương mau hồi phục như vitamin C, Glucosamine, kẽm…

Bên cạnh đó, các phương pháp vật lý trị liệu cũng có thể giúp cải thiện tình trạng bong gân hiệu quả như châm cứu, massage, nắn chỉnh, giác hơi. Tuy nhiên, khi áp dụng những phương pháp này bạn cần tham khảo ý kiến của bác sĩ và thực hiện tại các cơ sở y tế uy tín.
Nếu các triệu chứng bong gân bàn chân kéo dài và ngày càng nghiêm trọng hơn như tê bì, mất cảm giác vùng khớp, đau hoặc không vận động được sau 2 tuần, không thể đứng… thì người bệnh có thể được yêu cầu làm phẫu thuật. Trường hợp này có thể mất 3 đến 6 tháng để hồi phục hoàn toàn.
Trên đây là những thông tin chi tiết về nguyên nhân, dấu hiệu và cách điều trị bong gân bàn chân. Thông qua bài viết này sẽ giúp bạn “bỏ túi” kiến thức sơ cứu khi bị bong gân và chăm sóc bàn chân sau chấn thương. Nếu xuất hiện những dấu hiệu bất thường, hãy đến ngay các cơ sở y tế để được thăm khám và điều trị kịp thời.
Ly Ly
Nguồn Tổng hợp
Dược sĩ Đại họcTrần Thị Dương
Tốt nghiệp Đại Học Dược Hà Nội và có nhiều kinh nghiệm trong lĩnh vực Dược phẩm. Nhiều năm công tác giảng dạy tại các trường trung cấp và cao đẳng dược. Hiện đang là giảng viên cho Dược sĩ tại Nhà thuốc Long Châu.