Thị Thu
16/03/2024
Mặc định
Lớn hơn
Trước đây, việc thai bám ở sẹo mổ lấy thai là một hiện tượng hiếm, tuy nhiên với sự gia tăng việc thực hiện mổ lấy thai, số trường hợp thai bám vào vết mổ cũng đang tăng lên. Sự áp dụng rộng rãi siêu âm ngã âm đạo để đánh giá thai kỳ sớm đóng góp vào việc chẩn đoán sớm và giảm rủi ro khi điều trị.
Thai bám ở sẹo mổ lấy thai cũ là một biến chứng nguy hiểm của thai sản, có thể gây vỡ tử cung và xuất huyết nặng, thậm chí dẫn đến tử vong cho sản phụ. Tăng tỷ lệ mổ lấy thai đang là nguyên nhân chính làm tăng nguy cơ thai ngoài tử cung ở vùng vết mổ trước đó. Để tìm hiểu rõ hơn về tình trạng này, hãy cùng tìm hiểu ngay bài viết dưới đây của Nhà thuốc Long Châu.
Hiện tượng thai bám ở sẹo mổ lấy thai là một biến chứng sản khoa hiếm gặp nhưng đặc biệt nghiêm trọng nếu không may gặp phải. Khi thai phôi bám vào vết mổ trên cơ tử cung có thể gây ra nhiều vấn đề và rủi ro cho thai phụ. Việc này có thể dẫn đến các vấn đề như chảy máu, nhiễm trùng, và các tình trạng khác có thể ảnh hưởng đến sức khỏe của cả mẹ và thai nhi. Điều này đặt ra những thách thức đặc biệt trong quá trình quản lý thai kỳ và yêu cầu sự chăm sóc đặc biệt từ phía bác sĩ.

Mặc dù hiện tượng thai bám ở sẹo mổ lấy thai chỉ xảy ra ở khoảng 1% trường hợp thai phụ, nhưng sự quan tâm và nghiên cứu về nó là quan trọng để hiểu rõ hơn về cơ chế và các yếu tố liên quan. Các bác sĩ cần theo dõi và đánh giá kỹ lưỡng để đưa ra quyết định điều trị tốt nhất cho bệnh nhân.
Năm 1997 là lần đầu tiên phát hiện trường hợp thai bám ở sẹo mổ lấy thai tại Việt Nam, và từ đó, việc nghiên cứu và theo dõi hiện tượng này có thể đã giúp cải thiện quản lý và dự đoán tình hình cho các trường hợp tương tự trong tương lai.
Biến chứng nguy hiểm nhất của thai bám vào vết mổ lấy thai là sự phát triển ngày càng lớn tại vị trí sẹo mổ, có thể dẫn đến nguy cơ gây xuất huyết trong ổ bụng hoặc chảy máu âm đạo nặng. Nếu không kiểm soát được chảy máu, có khả năng gây tử vong do sốc mất máu cho người mẹ.
Hơn nữa, khi khối thai mở rộng tại vết mổ và phát triển nhiều hơn, có thể xâm lấn vào mặt trước của tử cung, gây tổn thương bàng quang. Điều trị trở nên khó khăn hơn khi bánh nhau xâm lấn nhiều vào bàng quang.
Vì những rủi ro này, việc chẩn đoán và điều trị thai nghén bám vào vết mổ cần được thực hiện sớm để chấm dứt thai kỳ trước khi có biến chứng. Điều trị sớm tăng khả năng bảo tồn tử cung và cải thiện tỷ lệ thành công.

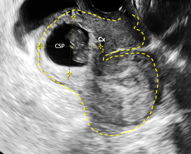
Triệu chứng sớm của bệnh lý này đôi khi giống như thai kỳ bình thường, với trễ kinh và có thể đi kèm với đau bụng và huyết âm đạo không bình thường. Để chẩn đoán, việc kiểm tra bằng siêu âm là quan trọng. Trong trường hợp xuất huyết vào ổ bụng ở giai đoạn muộn, có thể xuất hiện các triệu chứng nặng nề như da xanh, niêm nhạt, mạch nhanh, huyết áp tụt, suy nhược.
Hiện nay, để điều trị bệnh lý này, có nhiều phương pháp từ nội khoa đến phẫu thuật, cá nhân hóa cho từng trường hợp. Tuy nhiên, đây là một bệnh lý phức tạp với nguy cơ biến chứng, đòi hỏi quá trình điều trị dài hạn và theo dõi kỹ lưỡng để đảm bảo hồi phục toàn diện.
Nếu bạn đã có vết mổ lấy thai, áp dụng các biện pháp tránh thai là quan trọng nếu không muốn có thêm con. Đối với những người lớn tuổi, đã đủ số con và có nhiều vết mổ trước đó, triệt sản có thể là một phương pháp phù hợp. Khi bạn lên kế hoạch mang thai, không có biện pháp nào có thể ngăn chặn nguy cơ khối thai bám vào vết mổ.
Dưới đây là một số lời khuyên sau khi bạn sinh mổ:

Khi thai phát triển, việc túi thai kết nối với vết sẹo tử cung trở nên không ổn định do áp lực ngày càng tăng. Điều này tăng nguy cơ vỡ tử cung. Đối với phụ nữ có lịch sử sinh mổ, quan trọng để đến kiểm tra sớm khi mang thai lại, nhằm xác định vị trí chính xác của thai. Phát hiện kịp thời thai bám ở sẹo mổ lấy thai giúp duy trì khả năng sinh sản.
Xem thêm: