• Thực phẩm chức năng

  • Dược mỹ phẩm

  • Thuốc

  • Chăm sóc cá nhân

  • Thiết bị y tế

  • Tiêm chủng

  • Bệnh & Góc sức khỏe

  • Hệ thống nhà thuốc

    1. /
    2. Góc sức khỏe/
    3. Phòng bệnh & Sống khoẻ

    Tràn khí màng phổi tự phát là gì? Nguyên nhân gây ra? Cách điều trị

    21/06/2023

    Kích thước chữ

    Tình trạng tràn khí màng phổi tự phát là khi khí xuất hiện đột ngột trong khoang màng phổi do các tổn thương bệnh lý. Vậy nguyên nhân gây ra tình trạng này là gì? Đối tượng nào hay gặp phải? Điều trị theo phương pháp nào?

    Tình trạng tràn khí màng phổi tự phát là khi khí xuất hiện đột ngột trong khoang màng phổi do các tổn thương bệnh lý. Vậy nguyên nhân gây ra tình trạng này là gì? Đối tượng nào hay gặp phải? Điều trị theo phương pháp nào?

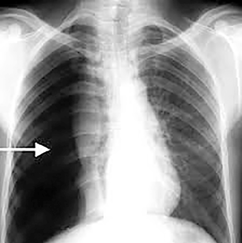
    Tràn khí màng phổi tự phát là gì?

    Tràn khí màng phổi tự phát là gì? Nguyên nhân gây ra? Cách điều trị 1 Tràn khí màng phổi tự phát là gì?

    Khi khí xuất hiện đột ngột trong khoang màng phổi do các tổn thương bệnh lý của phổi và màng phổi gây ra thì được gọi là tràn khí màng phổi tự phát.

    Ví dụ: Trường hợp thủng nhu mô phổi khiến khí đột ngột tràn vào khoang màng phổi.

    Bạn cần phân biệt được tràn khí màng phổi tự phát và tràn khí màng phổi nhân tạo do bơm không khí vào khoang màng phổi để bác sĩ chẩn đoán và điều trị.

    Tràn khí màng phổi có thể tự do hoặc đóng ngăn, do đó phổi sẽ ép lại ở những mức độ khác nhau. Chính vì vậy gây hạn chế thông khí và rối loạn tuần hoàn do trung thất và tim bị đẩy sang bên đối diện. Tràn khí màng phổi tự phát không phải là một bệnh mà là một hội chứng do nhiều nguyên nhân gây nên.

    Nguyên nhân gây tràn khí màng phổi tự phát

    Tràn khí màng phổi tự phát có nhiều nguyên nhân gây ra. Đa số các nguyên nhân này đều khó chẩn đoán và đôi các bác sĩ không nghĩ đến nguyên nhân này.

    • Tràn khí màng phổi tự phát do lao: Trong thời kỳ kinh tế còn khó khăn, dân trí thấp và không đủ điều kiện để điều trị cho những người mắc bệnh tràn khí màng phổi do lao cao, chiếm đến ⅔ . Khi bệnh lao tiến triển có thể gây tràn khí màng phổi do hình thành các ổ lao nằm rải rác ở bề mặt phổi và nó có thể bị vỡ bất cứ lúc nào.
    • Tràn khí màng phổi tự phát không do lao: Các ca bệnh tràn khí màng phổi tự phát do các bệnh lý của phổi và phế quản chiếm đến 1/5 số ca. Các bệnh lý đó có thể kể đến là: Viêm phổi do phế cầu, áp xe, hen phế quản, ung thư phổi, khí phế thũng, giãn phế quản…

    Triệu chứng của bệnh tràn khí màng phổi tự phát là gì?

    Tràn khí màng phổi tự phát là gì? Nguyên nhân gây ra? Cách điều trị 2 Triệu chứng của bệnh tràn khí màng phổi tự phát là gì?

    Các triệu chứng của tràn khí màng phổi tự phát có những khởi phát đột ngột, bao gồm:

    • Đau ngực dữ dội;
    • Đau nhiều hơn khi hít thở;
    • Đau ngực sau khi làm việc gắng sức hoặc ho khạc;
    • Khó thở (tràn khí càng nhiều thì càng khó thở);
    • Bệnh trở nặng hơn sẽ thấy bệnh nhân tím tái, thở nhanh, vật vã, huyết áp tụt, thở nông, mạch nhanh.

    Đối tượng nguy cơ bệnh tràn khí màng phổi tự phát

    Những người bị tràn khí màng phổi chủ yếu từ 20 đến 40 tuổi. Đặc biệt là những trường hợp cao và gầy. Các yếu tố làm tăng nguy cơ tràn khí màng phổi như:

    • Giới tính: Nam giới có tỉ lệ lớn mắc bệnh.
    • Hút thuốc: Nguyên nhân dẫn đến các bệnh hô hấp phải kể đến đó là khói thuốc lá, một trong các bệnh phải kể đến đó là tràn khí màng phổi.
    • Di truyền: Yếu tố di truyền cũng là một trong những nguyên nhân gây ra một số thể tràn khí màng phổi.
    • Có tiền sử các bệnh về nhiễm trùng phôi hoặc tràn khí màng phổi.

    Cách điều trị bệnh tràn khí màng phổi tự phát

    Tràn khí màng phổi tự phát là gì? Nguyên nhân gây ra? Cách điều trị 3 Cách điều trị bệnh tràn khí màng phổi tự phát

    Tùy vào mức độ nặng nhẹ khác nhau của bệnh sẽ áp dụng các biện pháp khác nhau. Dưới đây là một số phương pháp điều trị bệnh tràn khí màng phổi tự phát.

    Chọc hút khí màng phổi

    Phương pháp chọc hút khí màng phổi sẽ dùng một kim lớn hoặc máy hút để hút khí màng phổi. Chỉ khi cấp cứu mới áp dụng phương pháp này, đặc biệt dùng cho các trường hợp tràn khí màng phổi mà chưa thể dẫn lưu.

    Dẫn lưu màng phổi

    Phương pháp dẫn lưu màng phổi sẽ sử dụng các ống dẫn lưu ngực chuyên dụng và máy để hút liên tục. Khi áp dụng phương pháp này cần đảm bảo theo đúng nguyên tắc sau: Kín, một chiều, triệt để và vô trùng tuyệt đối.

    Phẫu thuật nội soi

    Có thể nói phương pháp phẫu thuật nội soi này điều trị khá hiệu quả, ít xâm lấn, bệnh nhân chỉ cần nằm viện trong thời gian ngắn. Đồng thời, khi áp dụng phương pháp này sẽ xử lý được triệt để tổn thương gây tràn khí màng và gây dính màng phổi tái phát. Thông qua phẫu thuật nội soi, phẫu thuật viên sẽ phát hiện được các bóng khí, kén khí là những nguyên nhân gây tràn khí. Với mỗi kích thước, số lượng, vị trí của mỗi bóng khí mà sẽ có kỹ thuật xử lý khác nhau. Trường hợp tràn khí màng phổi tái phát nhiều lần, tràn khí do kén khí khổng lồ hoặc có biến chứng nhiễm khuẩn hoặc áp xe thì có khả năng cần phẫu thuật nội soi cắt thùy phổi.

    Sau khi phẫu thuật, chất lượng cuộc sống của bệnh nhân được trở lại bình thường. Muốn vậy, bệnh nhân cần thực hiện những điều sau để đạt được mục tiêu:

    • Tuân thủ theo đúng phác đồ sau phẫu thuật.
    • Tập thể dục, vận động cơ thể nhẹ nhàng, không được gắng sức, cần kết hợp với tập thở.
    • Chế độ ăn uống cần được cân bằng dinh dưỡng.
    • Giữ cơ thể được ấm, tránh bị nhiễm lạnh.
    • Tái khám định kỳ theo chỉ định của bác sĩ để loại bỏ các yếu tố nguy cơ.

    Bài viết trên đây là những thông tin về bệnh lý tràn khí màng phổi tự phát. Như vậy có thể thấy với mỗi mức độ khác nhau sẽ có phương pháp điều trị và tiên lượng bệnh là khác nhau. Với những trường hợp cần cấp cứu sớm và điều trị tích cực dưới sự theo dõi và hướng dẫn của các chuyên gia y tế, bệnh nhân chắc chắn sẽ nhanh chóng hồi phục và cơ thể khỏe mạnh trở lại. Hãy tích cực, vui vẻ và tuân thủ đúng theo dặn dò của bác sĩ để sớm mạnh khỏe bạn nhé!

    Hạ Hạ

    Nguồn: Tổng Hợp

    Có thể bạn quan tâm

    Thông tin và sản phẩm gợi ý trong bài viết chỉ mang tính chất tham khảo, vui lòng liên hệ với Bác sĩ, Dược sĩ hoặc chuyên viên y tế để được tư vấn cụ thể. Xem thêm

    Dược sĩ Đại họcNguyễn Vũ Kiều Ngân

    Đã kiểm duyệt nội dung

    Tốt nghiệp Đại học Y Dược TP. Hồ Chí Minh. Có nhiều năm trong lĩnh vực dược phẩm. Hiện đang là giảng viên cho Dược sĩ tại Nhà thuốc Long Châu.

    Xem thêm thông tin
    Chủ đề:bệnh hô hấp