Dược sĩ chuyên ngành Dược lâm sàng, với nhiều năm kinh nghiệm làm việc trong lĩnh vực dược phẩm. Là Dược sĩ Long Châu đạt được chứng chỉ bệnh học cấp quốc tế. Hiện đang là giảng viên tại Trung tâm Đào tạo FPT Long Châu.
Kim Toàn
22/03/2024
Mặc định
Lớn hơn
Răng chết tủy đổi màu là một tình trạng răng miệng cần phải đến Nha khoa. Nếu không điều trị kịp thời có thể dẫn đến các biến chứng, chẳng hạn như nhiễm trùng nghiêm trọng và áp xe. Những điều này có thể dẫn đến mất răng hoại tử. Tệ hơn nữa, chúng có thể gây nguy hiểm cho những chiếc răng còn lại cũng như sức khỏe tổng thể của bệnh nhân. Hãy cùng Nhà thuốc Long Châu tìm hiểu về răng chết tủy đổi màu là tình trạng gì, dấu hiệu và phương pháp điều trị.
Răng chết tủy là kết quả của quá trình nhiễm trùng bên trong răng. Nếu không được điều trị và xử lý kịp thời, tình trạng này có thể gây ra nhiều biến chứng nguy hiểm. Do đó, tìm hiểu và nắm rõ những thông tin về răng chết tủy đổi màu là rất quan trọng.
Răng chết tủy là giai đoạn cuối của tình trạng nhiễm trùng bên trong răng gọi là viêm tủy. Viêm tủy thường bắt đầu bằng sâu răng hoặc răng bị nứt hoặc gãy. Khoan quá nhiều vào răng hoặc các thủ thuật xâm lấn khác cũng có thể là nguyên nhân. Bất kỳ tình trạng nào trong số này đều có thể tạo điều kiện cho vi khuẩn xâm nhập vào buồng tủy, tạo điều kiện cho nhiễm trùng phát triển.
Một khoang hoặc vết nứt nhỏ có thể chỉ ảnh hưởng đến lớp men cứng bên ngoài của răng hoặc lớp bên dưới gọi là ngà răng. Những tình trạng này có thể dễ dàng khắc phục bằng cách trám răng đơn giản. Nhưng nếu vấn đề không được phát hiện và khắc phục kịp thời, cuối cùng vi khuẩn sẽ ăn mòn răng cho đến khi chạm tới buồng tủy.
Đau và sưng là dấu hiệu cho thấy tủy răng khỏe mạnh bên trong răng đang cố gắng chống lại nhiễm trùng. Tình trạng này ban đầu có thể hồi phục được, nhưng nếu cứ để nguyên, viêm tủy không hồi phục sẽ xuất hiện. Lúc này, răng vẫn còn sống. Tuy nhiên, nếu không điều trị, nhiễm trùng sẽ làm mất oxy của dây thần kinh và làm giảm lưu lượng máu. Cuối cùng chiếc răng sẽ chết tủy.

Những dấu hiệu dưới đây cho chúng ta biết về tình trạng răng chết tủy đổi màu.
Khi răng chết tủy sẽ không gây cho người bệnh dấu hiệu đau nhức hay ê buốt nào. Nhưng trước đó ở tình trạng viêm tủy có thể hồi phục biểu hiện bằng cảm giác đau khi cắn và ê buốt với thức ăn và chất lỏng nóng, lạnh hoặc ngọt. Cơn đau dữ dội, liên tục thường là dấu hiệu cho thấy viêm tủy đã tiến triển đến giai đoạn không thể hồi phục. Các triệu chứng cũng có thể bao gồm sốt, sưng hạch bạch huyết bên dưới hàm, hôi miệng hoặc có mùi vị khó chịu trong miệng. Bệnh nhân cũng có thể bị áp xe ở nướu gần răng bị ảnh hưởng.
Khi bệnh nhân có thể cảm thấy nhẹ nhõm khi răng hết đau. Nhưng cơn đau là dấu hiệu cho thấy các dây thần kinh vẫn còn hoạt động. Khi nó dừng lại, đó có thể là dấu hiệu cho thấy dây thần kinh đã chết và răng bị hoại tử.
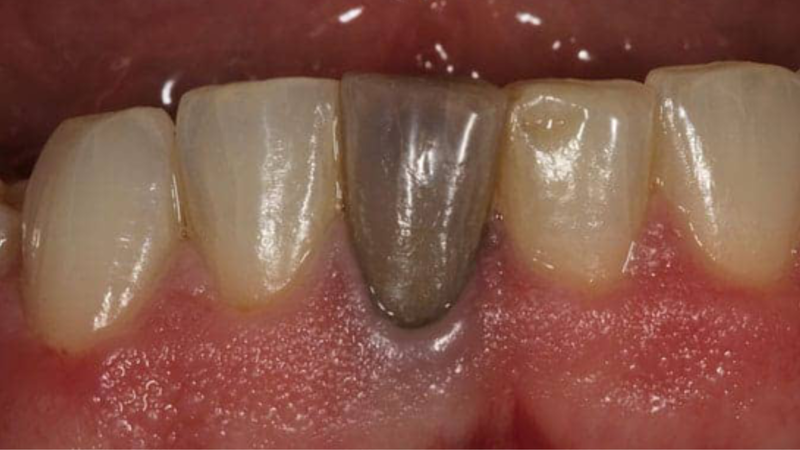
Răng chết tủy thường sẽ đổi màu. Đầu tiên chuyển sang màu vàng. Theo thời gian, chúng sẽ chuyển sang màu xám, nâu hoặc thậm chí đen.

Nguyên nhân chính làm răng chết tủy đổi màu là do nhiễm trùng tủy răng. Nhiễm trùng tủy răng có thể do nhiều nguyên nhân, bao gồm:
Ngoài ra, một số thói quen xấu như hút thuốc lá, sử dụng đồ uống có cồn,... cũng có thể làm tăng nguy cơ chết tủy răng.

Tình trạng răng chết tủy đổi màu là một vấn đề thẩm mỹ nhiều người mắc phải quan tâm. Nó khiến cho người bệnh cảm thấy tự ti khi giao tiếp. Hiểu được điều này chúng tôi sẽ chia sẻ đến các bạn phương pháp điều trị tủy răng và làm sáng răng.
Việc điều trị hoại tử tủy nhằm mục đích loại bỏ tủy và mô bị hoại tử hoặc nhiễm trùng, ngăn ngừa nhiễm trùng và bảo tồn cấu trúc, chức năng của toàn bộ tủy răng. Các lựa chọn điều trị phổ biến bao gồm:
Có hai phương pháp làm trắng răng chết tủy chính:
Tẩy trắng răng chết tủy là một phương pháp hiệu quả giúp cải thiện màu sắc của răng chết tủy. Tuy nhiên, tình trạng bệnh mỗi người là khác nhau nên hãy đến cơ sở y tế để được tư vấn phương pháp tẩy trắng phù hợp và thực hiện đúng quy trình để đảm bảo an toàn và hiệu quả.
Như vậy bài viết đã chia sẻ đến các bạn những thông tin hữu ích về tình trạng răng chết tủy đổi màu. Hãy đến Nha khoa khi gặp các dấu hiệu đáng ngờ. Hy vọng bài viết sẽ giúp bạn trong quá trình chăm sóc sức khỏe gia đình.
Xem thêm:
Dược sĩ Đại họcPhạm Nguyễn Hoàng Kim
Dược sĩ chuyên ngành Dược lâm sàng, với nhiều năm kinh nghiệm làm việc trong lĩnh vực dược phẩm. Là Dược sĩ Long Châu đạt được chứng chỉ bệnh học cấp quốc tế. Hiện đang là giảng viên tại Trung tâm Đào tạo FPT Long Châu.