• Thực phẩm chức năng

  • Dược mỹ phẩm

  • Thuốc

  • Chăm sóc cá nhân

  • Thiết bị y tế

  • Tiêm chủng

  • Bệnh & Góc sức khỏe

  • Hệ thống nhà thuốc

    1. /
    2. Góc sức khỏe/
    3. Phòng bệnh & Sống khoẻ

    Viêm lợi sau khi bọc răng sứ: Nguyên nhân và cách khắc phục

    21/06/2023

    Kích thước chữ

    Viêm lợi sau khi bọc răng sứ là tình trạng rất hay gặp khi chúng ta bọc răng. Nó gây nhiều ảnh hưởng không tốt đến sức khỏe và tính thẩm mỹ của răng miệng.

    Vậy nguyên nhân dẫn tới tình trạng viêm lợi này do đâu? Bị viêm lợi sau khi bọc răng sứ phải làm sao? Cách khắc phục hiệu quả như thế nào? Cùng Long Châu tìm hiểu nhé.

    Tại sao lại bị viêm lợi sau khi bọc răng sứ?

    Bọc răng sứ là gì?

    Bọc răng sứ là một phương pháp thẩm mỹ giúp phục hình và cải thiện lại màu sắc của răng trong trường hợp răng đã chữa tủy, răng bị sâu, vỡ nhiều, răng bị lệch lạc nhẹ, răng thưa… Với hình dáng, màu sắc giống như răng thật, nó không chỉ đảm bảo chức năng ăn nhai mà còn mang đến giá trị thẩm mỹ cho hàm răng của bạn.

    Dấu hiệu cho thấy lợi bị viêm sau khi bọc răng

    Viêm lợi sau khi bọc sứ có nhiều dấu hiệu nhận biết, cụ thể như sau:

    • Viêm lợi có những biểu hiện như tấy đỏ, vùng lợi bị sưng lên, chảy máu chân răng, hơi thở có mùi hôi. Vị trí tiếp xúc giữa răng sứ với mô lợi gây ra cảm giác đau nhức, làm mất thẩm mỹ nghiêm trọng. Ảnh hưởng đến giao tiếp và sinh hoạt hằng ngày.
    • Nghiêm trọng hơn, trường hợp viêm lợi sau khi bọc sứ có thể khiến khách hàng có thể không duy trì được phục hình sứ. Ngoài ra, viêm lợi sau khi bọc sứ có thể xảy ra tình trạng tiêu xương. Lâu ngày dẫn đến răng lung lay và gãy rụng, ảnh hưởng đến chức năng ăn nhai. Cấu trúc khuôn mặt bị méo mó, mất thẩm mỹ nghiêm trọng.
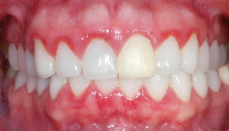
    Viêm lợi sau khi bọc răng sứ: Nguyên nhân và cách khắc phục 1Viêm lợi sau khi bọc răng sứ là triệu chứng thường thấy

    Nguyên nhân dẫn đến tình trạng viêm lợi sau khi bọc răng

    Viêm lợi sau khi bọc răng sứ do nhiều nguyên nhân khác nhau và do đó cách khắc phục viêm lợi sau bọc sứ cũng khác nhau.

    Lý do đầu tiên là răng sứ được chế tạo không chính xác, không khít sát với khung hàm của khách hàng. Kích thước không chuẩn gây ra các tình trạng răng bị hở, cộm. Bên cạnh đó, vấn đề này còn tạo điều kiện thuận lợi cho thức ăn rơi vào kẽ răng. Nếu không vệ sinh kỹ lưỡng sẽ gây ra tình trạng viêm lợi. Ảnh hưởng đến chất lượng cuộc sống của khách hàng.

    Phải kể đến nguyên nhân làm lợi bị viêm sau khi bọc răng là do sự thiếu sót của bác sĩ trong khâu kiểm tra và điều trị bệnh lý răng miệng trước khi tiến hành bọc sứ. Bọc răng sứ không phải là thủ thuật nha khoa đơn giản, chính vì vậy nó yêu cầu độ chính xác và tỉ mỉ của tay nghề bác sĩ phải cao. Do đó nếu bạn lựa chọn cơ sở nha khoa không uy tín sẽ dễ dẫn đến tình trạng này.

    Việc vệ sinh răng miệng sau khi gắn răng sứ cũng vô cùng cần thiết và quan trọng. Bởi vì sau khi bác sĩ gắn răng sứ vào cùi răng bằng chất gắn răng chuyên dụng. Trong trường hợp nếu bác sĩ không lấy sạch chất gắn còn dư thì sẽ vô tình hình thành mảng bám. Trong thời gian dài sẽ gây kích ứng và viêm lợi.

    Ngoài ra, có một nguyên nhân khác cũng gây nên tình trạng bọc răng sứ bị viêm lợi. Đó là khách hàng bị dị ứng với bất kỳ thành phần nào đó có trong răng sứ.

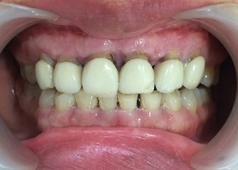
    Viêm lợi sau khi bọc răng sứ: Nguyên nhân và cách khắc phục 2Răng sứ không khít sát với khung hàm của khách hàng, dễ gây viêm lợi sau khi bọc răng

    Cách điều trị khi bị viêm lợi sau khi bọc răng

    Hiện nay, bị viêm lợi sau khi bọc răng là vấn đề được nhiều người quan tâm. Tuy nhiên, để khắc phục bọc răng sứ bị viêm lợi đạt hiệu quả cao và an toàn nhất, khi có một trong số các dấu hiệu nhận biết bên trên. Thì bạn phải đến ngay cơ sở nha khoa uy tín để thăm khám và tìm cách khắc phục kịp thời. Đảm bảo sức khỏe cho răng miệng và tính thẩm mỹ cao nhất, giúp bạn tự tin trong giao tiếp và cuộc sống.

    Các cách khắc phục bọc răng sứ bị viêm lợi hiệu quả hiện nay:

    Chữa viêm lợi tại nhà

    Trong trường hợp lợi chỉ bị viêm nhẹ sau khi bọc răng thì bạn có thể súc miệng bằng nước muối để hạn chế sự sinh sôi của vi khuẩn. Làm giảm triệu chứng viêm lợi.

    Hoặc bạn có thể thử chữa viêm lợi bằng lá trầu không cũng là một trong những cách điều trị hiệu quả. Bạn có thể thực hiện bằng cách giã nát lá trầu không. Sau đó đun sôi rồi để nguội để súc miệng thường xuyên hoặc cũng có thể giã nát rội đắp vào vị trí lợi bị viêm. Để làm giảm nhanh triệu chứng viêm lợi và tránh gây ra các biến chứng khác của viêm lợi.

    Viêm lợi sau khi bọc răng sứ: Nguyên nhân và cách khắc phục 3Lá trầu không cũng là một trong những cách điều trị hiệu quả viêm lợi tại nhà

    Đến các cơ sở nha khoa uy tín

    Hiện nay, công nghệ nha khoa ngày càng phát triển hiện đại và tiên tiến. Nên việc điều trị viêm lợi sau khi bọc sứ không còn là việc quá khó khăn nếu bạn lựa chọn địa chỉ nha khoa uy tín.

    Trong trường hợp viêm lợi gây ra tình trạng viêm nhiễm kéo dài, tác động và làm cho ổ răng bị tiêu xương. Thì các bác sĩ sẽ vệ sinh, sát khuẩn sạch sẽ phần lợi bị viêm. Sau đó cắt bớt lợi để tránh việc răng sứ chụp lên lợi quá nhiều.

    Các bác sĩ có thể phải tháo bỏ răng sứ cũ để phẫu thuật ghép lợi để khắc phục hậu quả. Sau khi sức khỏe của bạn ổn định trở lại và khỏe mạnh. Không mắc các bệnh lý về răng miệng khác thì mới phục hình lại răng sứ. Để đảm bảo chức năng ăn nhai và tính thẩm mỹ.

    Đặc biệt, trong trường hợp dùng các cách bên trên để chữa viêm lợi nhưng không hiệu quả. Thì bác sĩ sẽ bọc lại răng sứ để chấm dứt tình trạng viêm nhiễm gây ra nhiều phiền toái cho khách hàng.

    Các cách chăm sóc răng miệng để giảm tình trạng viêm lợi sau khi bọc sứ

    Để giảm thiểu tối đa tình trạng viêm lợi sau khi bọc sứ thì khách hàng nên thực hiện chăm sóc răng miệng. Vệ sinh đúng cách theo chỉ dẫn của các bác sĩ nha khoa như sau:

    Đánh răng ít nhất 2 – 3 lần/ngày, chọn bàn chải lông mềm để chải tránh làm ảnh hưởng đến vùng lợi. Ngoài ra, nên sử dụng thêm nước súc miệng chuyên dùng và chỉ nha khoa để làm sạch những vết bám còn sót lại trên răng. Gây ra hôi miệng và tình trạng viêm lợi sẽ nặng hơn.

    lá trầu không cũng là một trong những cách điều trị hiệu quả 4Đánh răng ít nhất 2 – 3 lần/ngày, chọn bàn chải lông mềm để chải tránh làm ảnh hưởng đến vùng lợi

    Bên cạnh đó, để hạn chế viêm lợi sau khi bọc sứ hiệu quả, bạn cần có chế độ ăn uống khoa học và hợp lý. Không nên ăn các thức ăn quá cứng hoặc dai, quá nóng hoặc quá lạnh. Để tránh gây kích ứng men răng, kéo dài tình trạng viêm lợi nặng thêm.

    Ngoài ra, để giảm thiểu tối đa các vấn đề có thể ảnh hưởng trực tiếp đến tình trạng viêm lợi sau khi bọc răng sứ. Bạn nên thăm khám răng định kỳ theo lịch hẹn của bác sĩ để nhanh chóng khắc phục những bệnh lý đó. Đem lại hàm răng chắc khỏe và đáp ứng tính thẩm mỹ cao nhất.

    Nhà thuốc Long Châu chúc các bạn thật khỏe mạnh và hãy nhớ vệ sinh răng miệng đúng cách để phòng tránh tình trạng viêm lợi sau khi bọc răng sứ nhé!

    Hoàng Phong

    Nguồn: Tổng hợp

    Có thể bạn quan tâm

    Thông tin và sản phẩm gợi ý trong bài viết chỉ mang tính chất tham khảo, vui lòng liên hệ với Bác sĩ, Dược sĩ hoặc chuyên viên y tế để được tư vấn cụ thể. Xem thêm

    Dược sĩ Đại học Nguyễn Tuấn Trịnh

    Đã kiểm duyệt nội dung

    Từng làm ở Viện ISDS, nhiều năm cộng tác với CDC Thái Nguyên triển khai dự án phòng chống HIV/AIDS, 2 năm cộng tác với WHO.

    Xem thêm thông tin
    Chủ đề:Viêm lợi