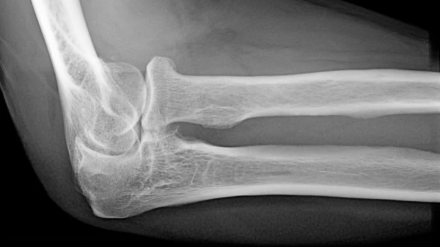
:format(webp)/x_quang_khop_khuyu_la_gi_1_ab86b3a17e.png)
X quang khớp khuỷu là một phương pháp chẩn đoán hình ảnh quan trọng trong y khoa, giúp phát hiện sớm các vấn đề về khớp khuỷu như viêm khớp, gãy xương, hay tổn thương mô mềm. Phương pháp này không chỉ hỗ trợ bác sĩ trong việc xác định chính xác tình trạng bệnh lý mà còn góp phần xây dựng phác đồ điều trị hiệu quả. Đây là một công cụ không thể thiếu trong việc bảo vệ sức khỏe và nâng cao chất lượng sống của bệnh nhân.
:format(webp)/mot_so_benh_ly_lien_quan_den_khuyu_tay_thuong_gap_1_f6a434636e.jpg)
Khuỷu tay là bộ phận nối liền cẳng tay với phần cánh tay trên. Đây là một khớp lớn và quan trọng của cơ thể, cho phép cánh tay được mở rộng và uốn cong hết mức. Từ đó, giúp con người vận động chi trên một cách dễ dàng, tăng tính linh hoạt của cánh tay.
:format(webp)/noi_soi_khop_khuyu_tay_la_gi_vai_tro_cua_no_ra_sao_3_50d436f061.jpg)
Phẫu thuật nội soi khớp khuỷu tay có thể được áp dụng để điều trị nhiều vấn đề khác nhau, từ viêm xương khớp đến việc loại bỏ các cấu trúc lỏng lẻo như sụn rời và mảnh xương, hoặc giải phóng mô sẹo để cải thiện phạm vi chuyển động của khuỷu tay.
:format(webp)/1_50c01a0cca.jpg)
Đau khớp khuỷu tay là triệu chứng khá phổ biến, nguyên nhân có thể do hoạt động quá mức hoặc chấn thương. Tuy đây không phải là tình trạng nghiêm trọng nhưng gây ảnh hưởng tới lao động và sinh hoạt hằng ngày. Do đó, hãy đến gặp bác sĩ để được chẩn đoán và tư vấn phương pháp khắc phục triệu chứng.
:format(webp)/thoai_hoa_khop_khuyu_tay_1_5092fe2be7.jpeg)
Thoái hóa khớp là một tình trạng phổ biến ảnh hưởng đến khoảng 1/4 người lớn ở Hoa Kỳ. Mặc dù nó có thể xảy ra ở bất kỳ khớp nào, nhưng nó thường ít ảnh hưởng đến khuỷu tay. Không có cách điều trị khỏi thoái hóa khớp khuỷu tay, nhưng thuốc, tập luyện và phẫu thuật có thể giúp người bệnh cải thiện triệu chứng và chức năng khớp tối ưu.
:format(webp)/VK_khuyu_tay_2_699775adc2.jpg)
Viêm khớp khuỷu tay là tình trạng viêm và tổn thương các bộ phận của khớp khuỷu tay như mô sụn, dây chằng và màng bao hoạt dịch. Bệnh viêm khớp khuỷu tay gây ra các triệu chứng như đau, sưng và hạn chế chuyển động.