• Thực phẩm chức năng

  • Dược mỹ phẩm

  • Thuốc

  • Chăm sóc cá nhân

  • Thiết bị y tế

  • Tiêm chủng

  • Bệnh & Góc sức khỏe

  • Hệ thống nhà thuốc

    1. /
    2. Góc sức khỏe/
    3. Phòng bệnh & Sống khoẻ

    Bệnh ăn mòn chân răng ở trẻ em: Bố mẹ phải xử trí thế nào?

    21/06/2023

    Kích thước chữ

    Bệnh ăn mòn chân răng ở trẻ em vẫn có thể xảy ra nếu vệ sinh răng miệng kém. Tình trạng này làm cho men răng của bé mỏng dần và có nguy cơ dẫn đến sâu răng. May mắn là tình trạng này vẫn có thể khắc phục được, bố mẹ hãy theo dõi bài viết sau đây để biết cách hồi phục tổn thương men răng cho con nhé.

    Nhiều bậc phụ huynh thường có tâm lý xem nhẹ các bệnh lý về răng miệng của trẻ với quan niệm rằng khi lớn lên con sẽ hết. Tuy nhiên, những ảnh hưởng đến răng sữa lúc nhỏ này lại có thể tác động tới thẩm mỹ và sức khỏe của răng vĩnh viễn sau này. Trong đó có bệnh ăn mòn chân răng ở trẻ em mà các bậc phụ huynh cần đặc biệt lưu ý.

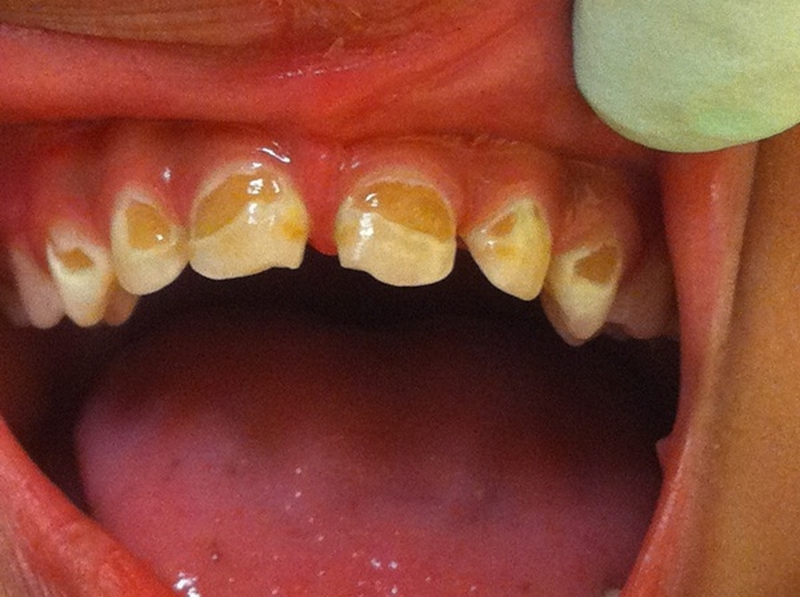
    Hiện tượng mòn răng ở trẻ em sẽ khiến cho bé nhà mình có nguy cơ bị mất răng sớm. Nếu răng sữa bị mòn và rụng trước thời điểm thay răng, răng vĩnh viễn của bé có nguy cơ cao sẽ mọc lệch và sai vị trí. Không chỉ vậy, bệnh lý này còn khiến bé bị ê buốt và đau nhức răng khi nhai thức ăn nên sẽ dễ biếng ăn và làm ảnh hưởng đến sự phát triển cơ thể của trẻ. Hãy cùng tìm hiểu nguyên nhân gây ra bệnh ăn mòn chân răng ở trẻ em để các bậc phụ huynh có hướng điều trị và phòng ngừa bệnh cho con hiệu quả nhé.

    Nguyên nhân gây bệnh ăn mòn chân răng ở trẻ em

    Nguyên nhân gây bệnh ăn mòn chân răng ở trẻ em Hiện tượng mòn răng ở trẻ em sẽ khiến cho bé nhà mình có nguy cơ bị mất răng sớm

    Theo các bác sĩ nha khoa, có nhiều nguyên nhân gây ra hiện tượng ăn mòn răng. Nếu như ở người lớn mòn men răng chủ yếu do vấn đề vệ sinh và ăn nhai thì ở trẻ em bao gồm những nguyên nhân thường gặp sau:

    Lớp men và ngà răng của răng sữa còn mỏng

    Răng sữa có lớp ngà và men răng mỏng, không được chắc khỏe như răng trưởng thành. Chính vì vậy nên vi khuẩn và axit có trong thức ăn thừa mới dễ tấn công và gây mòn chân răng. Ngoài ra trẻ em có thói quen xấu là nghiến răng khi ngủ. Bởi vì men răng yếu nên sự ma sát bề mặt răng cũng là nguyên nhân gây bệnh ăn mòn chân răng ở trẻ em..

    Khẩu phần ăn của bé có quá nhiều đường và tinh bột

    Theo bác sĩ khuyến cáo, các thực phẩm có chứa đường như nước ngọt, bánh, kẹo, tinh bột,… có tác động trong quá trình chân răng của trẻ bị mài mòn. Nếu trẻ ăn nhiều những nhóm thực phẩm này sẽ làm cho tốc độ mòn chân răng trở nên nhanh hơn.

    Quá trình vệ sinh và chăm sóc răng miệng cho bé chưa kỹ càng, sạch sẽ

    Các phụ huynh thường không chú trọng vệ sinh khi con mới mọc răng. Đến khi trẻ lớn hơn có thể tự đánh răng, thì vì bản tính còn nhỏ ham chơi nên việc vệ sinh răng miệng này không được bé làm kỹ hoặc chưa đúng cách. Chính vì vậy nên răng không được làm sạch. Điều này tạo môi trường thuận lợi để vi khuẩn tấn công hoặc các chất axit của thức ăn vẫn còn tồn tại gây ra bệnh ăn mòn chân răng ở trẻ em.

    Thiếu hụt canxi và fluor trong chế độ dinh dưỡng

    Canxi và fluor là 2 thành phần khoáng chất cực kỳ quan trọng giúp răng chắc khỏe. Nếu thiếu 2 chất này sẽ dẫn đến tình trạng răng của bé trở nên yếu, dễ vỡ hoặc bị tác động ăn mòn nhiều hơn.

    Do di truyền

    Đây chỉ là một nguyên nhân hy hữu rất ít gặp phải. Nếu như cha mẹ, hoặc ông bà bị tình trạng răng yếu, dễ bị ăn mòn và mỏng thì con cháu sinh ra cũng có nguy cơ bị ảnh hưởng từ thế hệ trước.

    Điều trị bệnh ăn mòn chân răng ở trẻ em như thế nào?

    Điều trị bệnh ăn mòn chân răng ở trẻ em còn tùy thuộc vào nhiều yếu tố Điều trị bệnh ăn mòn chân răng ở trẻ em còn tùy thuộc vào nhiều yếu tố

    Điều trị bệnh ăn mòn chân răng ở trẻ em còn tùy thuộc vào nhiều yếu tố, bao gồm tác nhân gây mòn răng, loại mòn răng và mức độ mòn thì nha sĩ sẽ có những phương pháp điều trị phù hợp cho từng trường hợp. Phụ huynh chỉ có thể giúp bé cải thiện hoặc phòng tránh mòn chân răng tại nhà. Nếu muốn phục hồi cũng như đảm bảo sức khỏe răng miệng cho bé thì phải đưa bé ra nha khoa khám kỹ càng và được tư vấn cách chữa ăn mòn chân răng cho bé tốt nhất.

    Các biện pháp phục hồi men răng cho trẻ em thường được bác sĩ áp dụng phổ biến bao gồm tái khoáng mô răng bị mòn hoặc hàn trám răng. Cả 2 phương pháp này đều rất nhẹ nhàng, không gây đau và dễ phục hồi nên các phụ huynh không cần lo sợ răng bé sẽ bị đau hay khó chịu khi thực hiện.

    Cách phòng ngừa mòn chân răng ở trẻ nhỏ

    Bệnh ăn mòn chân răng ở trẻ em không phải là bệnh lý nặng hay nguy hiểm Bệnh ăn mòn chân răng ở trẻ em không phải là bệnh lý nặng hay nguy hiểm

    Bệnh ăn mòn chân răng ở trẻ em không phải là bệnh lý nặng hay nguy hiểm và nó có thể phòng ngừa bằng nhiều cách khác nhau. Ba mẹ có thể tham khảo các cách phòng ngừa mòn chân răng cho bé nhà mình như sau:

    • Dạy cho con cách vệ sinh răng miệng đúng và tập cho bé hình thành thói quen đánh răng sạch sẽ 2 lần mỗi ngày.
    • Kiểm tra kỹ càng tình trạng răng miệng của trẻ sau mỗi lần con tự chải răng. Quan sát và không để bé chải răng quá nhanh hay quá mạnh.
    • Hạn chế cho trẻ em ăn quá nhiều đồ ngọt. Tránh không cho trẻ sử dụng các loại đồ ăn vặt, thức uống có chứa axit, có ga hay các thực phẩm chứa nhiều chất ngọt và có độ bám dính cao. Đặc biệt là tuyệt đối không cho trẻ ăn trước khi đi ngủ để không làm ảnh hưởng tới men răng.
    • Mua cho bé bàn chải tốt loại chuyên dùng cho trẻ em, có lông mềm mịn, phù hợp với độ tuổi và có tay cầm vừa vặn. Lưu ý chọn các dòng kem đánh răng dành riêng cho trẻ và có chứa một lượng fluor phù hợp.
    • Hãy điều chỉnh lại chế độ ăn uống hàng ngày cho bé nhà mình một cách phù hợp. Ba mẹ nên đa dạng thức ăn cho bé với nhiều loại vitamin và khoáng chất, nhất là tăng cường canxi cho răng con thêm chắc khỏe. Điều này giúp tránh tình trạng răng sữa bị mòn, mủn hay bị xỉn màu,…
    • Ngoài ra, khi trẻ đã mọc đủ răng, ba mẹ cũng nên đưa con tới phòng khám nha khoa để được các nha sĩ kiểm tra sức khỏe răng miệng thường xuyên.

    Để con có một hàm răng chắc, khỏe và có tính thẩm mỹ cao đòi hỏi các bậc phụ huynh cần hướng dẫn con chăm sóc răng miệng đúng cách. Bố mẹ hãy luôn theo dõi tình trạng răng miệng của bé nhà mình để phòng bệnh ăn mòn chân răng ở trẻ em cũng như chữa trị kịp thời cho con nếu thấy những triệu chứng bất thường liên quan đến răng miệng nhé.

    Ngọc Hiếu

    Nguồn tham khảo: Tổng hợp

    Thông tin và sản phẩm gợi ý trong bài viết chỉ mang tính chất tham khảo, vui lòng liên hệ với Bác sĩ, Dược sĩ hoặc chuyên viên y tế để được tư vấn cụ thể. Xem thêm

    Dược sĩ Đại họcTừ Vĩnh Khánh Tường

    Đã kiểm duyệt nội dung

    Tốt nghiệp Khoa Dược trường Đại học Võ Trường Toản. Có nhiều năm kinh nghiệm trong ngành Dược. Hiện đang là giảng viên cho Dược sĩ tại Nhà thuốc Long Châu.

    Xem thêm thông tin