• Thực phẩm chức năng

  • Dược mỹ phẩm

  • Thuốc

  • Chăm sóc cá nhân

  • Thiết bị y tế

  • Tiêm chủng

  • Bệnh & Góc sức khỏe

  • Hệ thống nhà thuốc

    1. /
    2. Góc sức khỏe/
    3. Phòng bệnh & Sống khoẻ

    Răng bị mòn mặt nhai làm sao để khắc phục?

    21/06/2023

    Kích thước chữ

    Răng bị mòn mặt nhai là một tình trạng tổn thương men răng thường gặp. Vậy làm sao để khắc phục tình trạng này? Hãy tham khảo bài viết sau đây để biết thêm những thông tin bổ ích về tình trạng này nhé.

    Răng bị mòn mặt nhai là tình trạng răng bị tổn thương, gây ảnh hưởng đến chức năng ăn nhai của răng miệng. Điều may mắn là tình trạng này vẫn có thể được khắc phục, men răng được phục hồi nếu phát hiện và điều trị đúng cách, kịp thời. Vậy răng bị mòn mặt nhai là tình trạng gì và cách khắc phụ như thế nào?

    Răng bị mòn mặt nhai là gì?

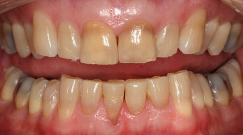
    Răng bị mòn mặt nhai là tình trạng bề mặt nhai của răng bị mòn do mất mô răng Răng bị mòn mặt nhai là tình trạng bề mặt nhai của răng bị mòn do mất mô răng

    Răng bị mòn mặt nhai là tình trạng bề mặt nhai của răng (hay còn gọi là đỉnh răng) bị mòn do mất mô răng. Tùy vào mức độ men răng bị bào mòn sẽ tạo ra vết lõm nông sâu khác nhau trên bề mặt nhai của răng và gây ê buốt khi nhai.

    Độ mòn mặt nhai của răng được xếp theo các mức từ nhẹ đến nặng. Cụ thể, khi tình trạng mòn răng chỉ xảy ra ở lớp men là mức độ nhẹ và khi tình trạng mòn tiến triển xảy ra ở ngà răng là mức độ nặng.

    Răng bị mòn mặt nhai ảnh hưởng như thế nào?

    Từ ngoài vào trong, cấu trúc cơ bản của răng bao gồm men răng, ngà răng và tủy răng. Lớp men răng cứng bên ngoài đảm nhiệm vai trò bảo vệ những phần dễ bị tổn thương bên trong gồm ngà răng và tủy răng.

    Tình trạng răng mòn mặt nhai sẽ gây ra những bất tiện trong ăn uống và sinh hoạt cho người bệnh như:

    • Mất thẩm mỹ: Khi men răng bị mòn, răng của bạn sẽ có màu vàng nâu.
    • Gây ê buốt: Khi răng bị mòn tiếp xúc với các loại thực phẩm quá nóng hoặc quá lạnh, hay có chứa axit, sẽ xảy ra hiện tượng ê buốt rất khó chịu. Điều này là do lớp men răng bị bào mòn làm răng trở nên nhạy cảm hơn.
    • Tổn thương khớp hàm: Nếu răng bị mòn mặt nhai, lớp men răng một khi đã bị mất đi vĩnh viễn và không thể tự tái tạo. Tình trạng này sẽ làm giảm khả năng nhai, nghiền nát thức ăn của răng. Nếu để lâu không điều trị sẽ làm cho cơ nhai, khớp hàm hoạt động nhiều hơn và dẫn đến tình trạng co thắt cơ, tổn thương khớp hàm.
    • Sâu răng: Một khi lớp men răng bị mòn và ngà răng lộ ra ngoài thì tình trạng sâu răng rất dễ xảy ra, nhất là khi ăn nhiều thực phẩm có tính axit cao.
    • Viêm tủy răng, mất răng: Trường hợp răng bị mòn mặt nhai nặng có thể làm tổn thương đến phần tủy răng và dẫn đến viêm tủy, thậm chí chết tủy răng.
    Tình trạng răng bị mòn mặt nhai sẽ gây ra những bất tiện trong ăn uống và sinh hoạt cho người bệnh Răng bị mòn mặt nhai gây bất tiện trong ăn uống và sinh hoạt cho người bệnh

    Làm sao để khắc phục răng bị mòn mặt nhai?

    Tùy vào mức độ của từng trường hợp răng bị mòn mặt nhai nặng hay nhẹ sẽ có cách khắc phục và phương pháp điều trị phù hợp. Đối với những trường hợp tổn thương men răng nhẹ chưa ảnh hưởng đến răng, răng chưa bị nhạy cảm và người bệnh chưa có cảm giác ê buốt khi nhai thì có thể không cần phải điều trị mà chỉ cần cải thiện vấn đề làm sạch và chăm sóc răng miệng.

    Tuy nhiên, đối với tình trạng tổn thương men răng nặng, ăn sâu vào ngà răng và có thể ảnh hưởng đến tủy răng, thì người bệnh được khuyên áp dụng một số phương pháp được dùng để chữa răng bị mòn mặt nhai như sau:

    • Trám răng: Hiện nay, có nhiều chất liệu được sử dụng để trám răng khác nhau. Phụ thuộc vào tổn thương nha sĩ sẽ lựa chọn chất liệu phù hợp để trám những vết lõm, vết khuyết trên bề mặt nhai của răng. Trám răng là phương pháp được sử dụng phổ biến trong nha khoa. Phương pháp này dễ tiến hành, thời gian thực hiện nhanh và chi phí thấp mà không gây ảnh hưởng đến răng. Tuy nhiên, đây chỉ là giải pháp khắc phục tạm thời bởi vì miếng trám có thể bị bong tróc và đổi màu. Sau một thời gian điều trị, hoặc khi nhai với lực quá mạnh có thể làm bong miếng trám ra, lúc này người bệnh cần phải trám răng lại.
    Phương pháp trám răng dễ tiến hành, thời gian thực hiện nhanh và chi phí thấp mà không gây ảnh hưởng đến răng Phương pháp trám răng dễ tiến hành, thời gian thực hiện nhanh và chi phí thấp
    • Dán miếng sứ: Đối với những trường hợp răng cửa bị mòn mặt nhai và ê buốt nhiều khi ăn, thì phương pháp này thường được lựa chọn vì phù hợp với vòm cung của răng. Biện pháp này có tác dụng hạn chế tình trạng mòn răng và đặc biệt là có tính thẩm mỹ cao. Tuy nhiên, phương pháp khắc phục này không phù hợp áp dụng cho trường hợp hàm răng bị lệch khớp cắn hoặc nhiều răng mọc lệch.
    • Bọc răng sứ: Bọc răng sứ là được đánh giá cách khắc phục răng bị mòn mặt nhai hiệu quả và bền vững. Bởi vì khi răng được bọc bởi lớp sứ trùng với khuôn thân răng sẽ giúp bảo vệ ngà răng và tủy răng bên trong. Bọc răng sứ cũng giúp hạn chế tối đa tình trạng mòn men răng nhưng vẫn có thể hỗ trợ chức năng nhai của răng. Đối với những bệnh nhân ngà răng đã bị lộ ra ngoài và răng bị ê buốt nặng, kéo dài, thì bọc răng sứ chính là cách bảo vệ đồng thời hạn chế các tác động như vi khuẩn làm hại răng. So với hai phương pháp trên, bọc răng sứ là phương pháp có tính thẩm mỹ cao và có chi phí cao.
    • Còn với những trường hợp răng bị mòn mặt nhai quá nặng và đã ảnh hưởng đến tủy răng, người bệnh có thể phải điều trị tủy hoặc nhổ bỏ răng đã bị mòn và được can thiệp bằng các phương pháp trồng răng mới.
    Tình trạng răng bị mòn mặt nhai nếu không được điều trị kịp thời có thể dẫn đến tình huống tồi tệ nhất là mất răng. Để đảm bảo sức khỏe răng miệng bạn cần chú trọng trong việc làm sạch răng miệng cũng như đi khám răng định kỳ để sớm phát hiện các vấn đề răng miệng nhé. Hy vọng những thông tin được chia sẻ trên hữu ích đối với bạn.

    Ngọc Hiếu

    Nguồn tham khảo: Tổng hợp

    Thông tin và sản phẩm gợi ý trong bài viết chỉ mang tính chất tham khảo, vui lòng liên hệ với Bác sĩ, Dược sĩ hoặc chuyên viên y tế để được tư vấn cụ thể. Xem thêm

    Dược sĩ Đại họcTừ Vĩnh Khánh Tường

    Đã kiểm duyệt nội dung

    Tốt nghiệp Khoa Dược trường Đại học Võ Trường Toản. Có nhiều năm kinh nghiệm trong ngành Dược. Hiện đang là giảng viên cho Dược sĩ tại Nhà thuốc Long Châu.

    Xem thêm thông tin