:format(webp)/tran_mu_mang_phoi_nguyen_nhan_trieu_chung_va_cach_dieu_tri_benh_3fe17ac4b0.jpg)
Tràn mủ màng phổi xảy ra khi dịch mủ tích tụ trong khoang màng phổi, gây ra những triệu chứng nguy hiểm và đe dọa đến tính mạng nếu không được điều trị kịp thời. Tình trạng này không chỉ gây ra đau đớn và khó thở cho bệnh nhân mà còn có thể dẫn đến nhiều biến chứng nguy hiểm như suy hô hấp, nhiễm trùng lan rộng và áp xe phổi. Trong bài viết dưới đây, bạn sẽ được tìm hiểu rõ hơn về tình trạng y tế nghiêm trọng này.
:format(webp)/nguyen_nhan_va_phuong_phap_dieu_tri_phoi_co_nuoc_0_54894d66c3.jpg)
Phổi có nước là một tình trạng có thể ảnh hưởng nghiêm trọng đến sức khỏe người bệnh. Tuy nhiên, bệnh nhân khi được chẩn đoán và điều trị y tế kịp thời sẽ có cơ hội sống khỏe mạnh, nâng cao chất lượng cuộc sống. Cùng Nhà thuốc Long Châu theo dõi bài viết sau để tìm hiểu về nguyên nhân và cách điều trị tình trạng phổi có nước.
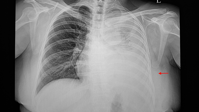
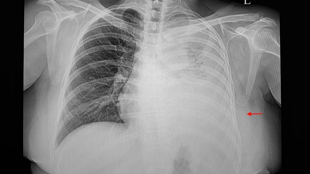
:format(webp)/tran_dich_mang_phoi_0_f4b522bd32.png)
Tràn dịch màng phổi là một triệu chứng rất thường gặp với tỷ lệ mắc là như nhau ở cả nam và nữ. Tràn dịch màng phổi thường là do ảnh hưởng từ bệnh lý khác gây nên. Do vậy, khi có dấu hiệu của tràn dịch màng phổi, hãy liên hệ bác sĩ ngay để kịp thời can thiệp và có phương pháp điều trị phù hợp.
:format(webp)/cac_trieu_chung_benh_phoi_tac_nghen_man_tinh_copd_thuong_gap_b_Q_Dw_Y_1647881119_7a989f0ddd.jpg)
Bệnh phổi tắc nghẽn mãn tính (COPD) là bệnh mạn tính đường hô hấp rất phổ biến hiện, là hiện tượng tắc nghẽn luồng khí trong đường hô hấp. Trong đó, suy tim là một trong những biến chứng thường đi kèm nhất với những bệnh nhân bị bệnh phổi tắc nghẽn mãn tính.
:format(webp)/tran_dich_mang_phoi_do_lao_trieu_chung_va_cach_dieu_tri_cr_WDH_1646035130_3ea5a6d648.jpg)
Tràn dịch màng phổi do lao là một biến chứng nguy hiểm đối với bệnh nhân mắc bệnh lao, xếp thứ ba sau lao hạch và lao phổi. Vậy triệu chứng tràn dịch màng phổi do lao là gì và cách điều trị nào là hiệu quả? Hãy cùng nhà thuốc Long Châu tìm câu trả lời qua bài viết dưới đây nhé!