Tốt nghiệp Đại học Dược Hà Nội, với hơn 10 năm kinh nghiệm trong lĩnh vực Dược phẩm. Hiện là giảng viên giảng dạy các môn Dược lý, Dược lâm sàng,...
21/06/2023
Mặc định
Lớn hơn
Tràn dịch màng phổi do lao là một biến chứng nguy hiểm đối với bệnh nhân mắc bệnh lao, xếp thứ ba sau lao hạch và lao phổi. Vậy triệu chứng tràn dịch màng phổi do lao là gì và cách điều trị nào là hiệu quả? Hãy cùng nhà thuốc Long Châu tìm câu trả lời qua bài viết dưới đây nhé!
Tràn dịch màng phổi do lao được xác định là nam giới có tỷ lệ mắc bệnh cao hơn nữ giới. Nếu bệnh lý này được phát hiện kịp thời và điều trị đúng cách sẽ có thể kiểm soát được bệnh tình và có cơ hội bình phục.
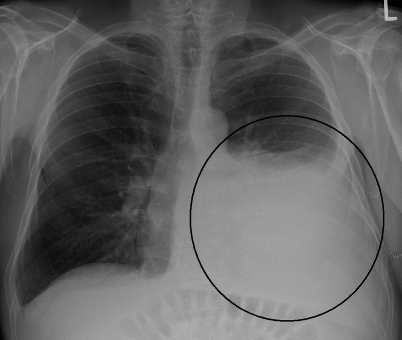
Tràn dịch màng phổi hay còn gọi là tình trạng “ứ nước trong khoang màng phổi” (Tên tiếng Anh: Pleural Effusion). Các chất lỏng trong khoang màng phổi có hiện tượng tích tụ bất thường gây nên tràn dịch màng phổi. Bình thường, lượng dịch trong khoang màng phổi chỉ vào khoảng 10 – 20 ml và nếu chúng nhiều hơn mức bình thường sẽ gây nên tình trạng tràn dịch màng phổi. Khi bị tràn dịch màng phổi, bạn có thể bị tức ngực, khó thở. Tràn dịch màng phổi do lao là dạng tràn dịch màng phổi dịch tiết.
Tràn dịch màng phổi do lao là bệnh khá thường gặp, xếp độ phổ biến thì chúng đứng thứ ba sau lao phổi và lao hạch, chiếm 25% - 37% những trường hợp tràn dịch màng phổi.
Tràn dịch màng phổi do lao thường bắt nguồn từ bệnh lao màng phổi. Bệnh này có thể gặp ở mọi lứa tuổi, nhưng ở tuổi trẻ nhiều hơn và tỷ lệ mắc ở nam nhiều hơn nữ. Người nhiễm HIV có tỷ lệ bệnh này cao hơn người bình thường.
Tràn dịch màng phổi do lao nói chung là có thể điều trị được nếu được điều trị đúng, tuy nhiên cần đề phòng các biến chứng trở nặng do phát hiện muộn hoặc điều trị sai cách gây viêm mủ màng phổi, tràn dịch kết hợp với tràn khí màng phổi, dày dính màng phổi, ổ cặn màng phổi.

Một số loại tràn dịch màng phổi do lao thường gặp:
Tràn mủ màng phổi do lao
Biến chứng này khá hiếm gặp, tràn mủ màng phổi do lao là do có nhiều vi khuẩn lao chứa trong mủ màng phổi, không giống như triệu chứng cấp tính của viêm mủ màng phổi gây ra do vi khuẩn khác.
Ở trường hợp tràn mủ màng phổi do vi khuẩn lao, nhu mô phổi gần màng phổi sẽ bị tổn thương hoặc xuất hiện các hang lao thông với màng phổi. Từ đó làm mủ màng phổi có thể khu trú hoặc di chuyển tự do.
Biểu hiện tràn mủ màng phổi do lao đó là màng phổi bị tổn thương trở nên dày dính, vôi hóa, màng xương sườn ở nơi có mủ khu trú sẽ dày lên. Xét nghiệm dịch mủ màng phổi do lao sẽ phát hiện các tế bào lympho có nồng độ cao và AFB dương tính cao.
Tràn dịch màng phổi có thông phế quản do lao
Hiện nay tình trạng này cũng khá ít gặp do biện pháp hoá trị khi điều trị lao đem lại hiệu quả tốt. Chỉ gặp hiện tượng này khi tràn khí - tràn dịch màng phổi do lao nhưng không được phát hiện và điều trị kịp thời, bệnh này còn được gọi với cái tên là ổ cặn màng phổi do lao.
Bệnh nhân bị tràn dịch màng phổi do lao sẽ có một số triệu chứng sau đây:

Dưới đây là các đối tượng có nguy cơ cao bị tràn dịch màng phổi do lao:

Tràn dịch màng phổi do lao cần điều trị đúng cách để tránh bệnh lao chuyển biến xấu sau này, tránh dày dính màng phổi hay ổ cặn màng phổi.
Chọc hút dịch màng phổi: Đây là phương pháp được chỉ định sớm để chẩn đoán và giảm nhẹ triệu chứng, đặc biệt là khi có triệu chứng khó thở. Cần chú ý sát trùng và tránh gây tràn khí màng phổi. Nếu không có triệu chứng khó thở, đau ngực nhiều thì việc chọc hút thường xuyên đến lúc hết là không cần thiết bởi cùng với việc hóa trị liệu thì dịch màng phổi có thể được hấp thu.
Hóa trị liệu: Người bệnh cần được điều trị với phác đồ 2RHZE/4RH có kiểm soát trực tiếp 6 tháng của chương trình chống lao Quốc gia:
Trên đây là một số thông tin về tràn dịch màng phổi do lao. Hi vọng qua những thông tin hữu ích trên, quý đọc giả có thể hiểu thêm về căn bệnh này cũng như nắm rõ được một số biện pháp điều trị tràn dịch màng phổi do lao hiện nay để có thể phối hợp điều trị hiệu quả, nhanh chóng có được kết quả khả quan.
Như Nguyễn
Nguồn: Tổng hợp
Dược sĩ Đại họcNguyễn Thanh Hải
Tốt nghiệp Đại học Dược Hà Nội, với hơn 10 năm kinh nghiệm trong lĩnh vực Dược phẩm. Hiện là giảng viên giảng dạy các môn Dược lý, Dược lâm sàng,...