Trên 10 năm công tác trong lĩnh vực Tiêm chủng, Cấp cứu và Nội khoa.
:format(webp)/tran_dich_mang_phoi_0_f4b522bd32.png)
:format(webp)/tran_dich_mang_phoi_0_f4b522bd32.png)
Bác sĩ Chuyên khoa 1Nguyễn Hoàng Hải
Trên 10 năm công tác trong lĩnh vực Tiêm chủng, Cấp cứu và Nội khoa.
Tràn dịch màng phổi là một triệu chứng rất thường gặp với tỷ lệ mắc là như nhau ở cả nam và nữ. Tràn dịch màng phổi thường là do ảnh hưởng từ bệnh lý khác gây nên. Do vậy, khi có dấu hiệu của tràn dịch màng phổi, hãy liên hệ bác sĩ ngay để kịp thời can thiệp và có phương pháp điều trị phù hợp.
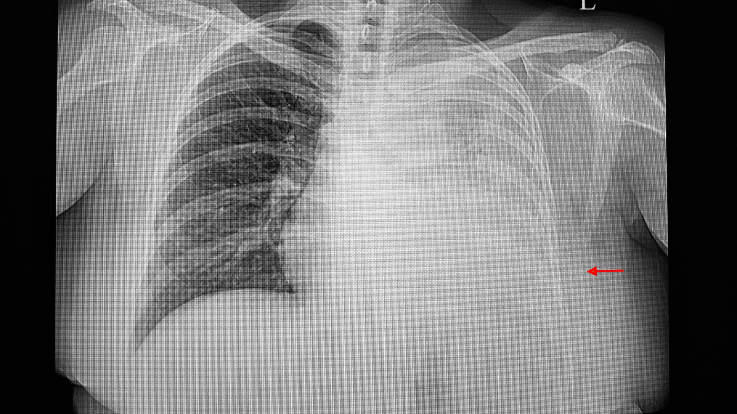
Tràn dịch màng phổi là tình trạng lượng dịch trong khoang màng phổi vượt quá mức bình thường, gây khó thở hoặc đau ngực. Mặc dù có thể không gây triệu chứng khi lượng dịch ít, nhưng khi dịch nhiều, nó có thể đe dọa tính mạng. Tràn dịch màng phổi có thể do nhiều nguyên nhân, cả lành tính và ác tính.
Tràn dịch màng phổi chia thành 2 loại:
:format(webp)/tran_dich_mang_phoi_1_1a3a9a82cc.png)
:format(webp)/tran_dich_mang_phoi_2_09bbf6d285.png)
:format(webp)/tran_dich_mang_phoi_3_b3840f3a4b.png)
:format(webp)/tran_dich_mang_phoi_4_16e69252c8.png)
:format(webp)/tran_dich_mang_phoi_5_0b4890daa1.png)
:format(webp)/tran_dich_mang_phoi_6_e644969b23.png)
:format(webp)/tran_dich_mang_phoi_7_d4acb55dda.png)
:format(webp)/tran_dich_mang_phoi_1_1a3a9a82cc.png)
:format(webp)/tran_dich_mang_phoi_2_09bbf6d285.png)
:format(webp)/tran_dich_mang_phoi_3_b3840f3a4b.png)
:format(webp)/tran_dich_mang_phoi_4_16e69252c8.png)
:format(webp)/tran_dich_mang_phoi_5_0b4890daa1.png)
:format(webp)/tran_dich_mang_phoi_6_e644969b23.png)
:format(webp)/tran_dich_mang_phoi_7_d4acb55dda.png)
Các triệu chứng có thể gặp của tràn dịch màng phổi là:
Tuy nhiên, cũng có nhiều bệnh nhân bị tràn dịch không có triệu chứng, chỉ phát hiện được qua phim chụp X quang khi kiểm tra một bệnh khác.
Tràn dịch màng phổi thường làm bệnh nhân khó thở, đau ngực và ho. Bên cạnh đó, việc tích tụ chất lỏng ở giữa các lớp màng phổi khiến phổi không thể dãn nở hết, gây ảnh hưởng đến khả năng hô hấp bình thường của bệnh nhân.
Tràn dịch màng phổi có thể dẫn đến các biến chứng:
Phù phổi;
Nhiễm trùng lan tỏa hoặc xuất huyết.
Nếu có bất kỳ triệu chứng nào nêu trên xảy ra, bạn nên liên hệ ngay với bác sĩ để được kiểm tra và tư vấn. Chẩn đoán và điều trị sớm sẽ giảm nguy cơ tăng nặng của bệnh và giúp bạn mau chóng hồi phục sức khỏe.
Tràn dịch màng phổi dịch thấm do:
Tràn dịch màng phổi dịch tiết do:
Một lượng nhỏ tràn dịch màng phổi thường không gây ra các triệu chứng cục bộ ở ngực, nhưng đôi khi biểu hiện đau ngực và ho khan, thường nặng hơn khi thở hoặc ho. Tràn dịch màng phổi lượng lớn sẽ gây khó thở, nặng hơn khi hoạt động.
Xem thêm thông tin: Các triệu chứng tràn dịch màng phổi dễ nhận biết
Dịch thấm: Suy tim sung huyết, xơ gan, cổ trướng, hội chứng thận hư, lọc màng bụng, viêm màng ngoài tim co thắt, tắc tĩnh mạch chủ trên, phù niêm, xẹp phổi cấp, tắc mạch phổi chờ
Tiết dịch:
Nguyên nhân khác: Tắc mạch phổi, viêm tụy cấp, bệnh mô liên kết,...
Chẩn đoán có thể được thực hiện dựa trên các biểu hiện lâm sàng của bệnh nhân, kiểm tra hình ảnh ngực (bao gồm chụp X-quang ngực, CT) và kiểm tra siêu âm. Tuy nhiên, việc chẩn đoán nguyên nhân tràn dịch màng phổi, đặc biệt là xác định tràn dịch màng phổi lành tính và ác tính đòi hỏi phải kết hợp các xét nghiệm sinh hóa, enzyme, miễn dịch và bệnh lý tràn dịch màng phổi để chẩn đoán rõ ràng.
Tràn dịch màng phổi do lao được điều trị chống lao nhanh và dẫn lưu dịch kịp thời. Mục đích là làm giảm nhanh các triệu chứng lâm sàng và ngăn ngừa tình trạng dày màng phổi để không ảnh hưởng đến chức năng phổi.
Tràn dịch màng phổi lâu ngày có thể làm tổn thương vĩnh viễn chức năng phổi.
Bệnh phổi kẽ là gì? Cẩn trọng với 6 nguy cơ thường gặp!
Tràn dịch màng phổi: Cẩn thận với biến chứng kéo dài!
Tràn dịch màng phổi có mấy loại?
Bệnh phổi kẽ là gì? Cẩn trọng với 6 nguy cơ thường gặp!
Tràn dịch màng phổi: Cẩn thận với biến chứng kéo dài!
Tràn dịch màng phổi có mấy loại?
Hỏi đáp (0 bình luận)