/https://cms-prod.s3-sgn09.fptcloud.com/viem_ruot_thua_va_viem_tui_mat_1_92cca9b54a.png)
Viêm ruột thừa và viêm túi mật là hai bệnh lý phổ biến trong hệ tiêu hóa, nhưng chúng có những triệu chứng tương tự khiến nhiều người dễ bị nhầm lẫn. Cả hai bệnh lý này đều gây đau bụng và khó chịu, tuy nhiên, mỗi bệnh lại có những dấu hiệu đặc trưng giúp phân biệt rõ rệt.
/https://cms-prod.s3-sgn09.fptcloud.com/viem_ruot_thua_hoai_tu_nguyen_nhan_trieu_chung_va_cach_dieu_tri_1_ff7d2e42b7.png)
Viêm ruột thừa là một tình trạng y tế phổ biến, nhưng khi không được điều trị kịp thời, nó có thể tiến triển thành viêm ruột thừa hoại tử, một biến chứng cực kỳ nguy hiểm. Bài viết sẽ giúp bạn hiểu rõ về nguyên nhân, triệu chứng và cách xử lý tình trạng nguy hiểm này.
/https://cms-prod.s3-sgn09.fptcloud.com/phan_biet_viem_ruot_thua_va_benh_tui_mat_553dce472c.jpg)
Phân biệt viêm ruột thừa và bệnh túi mật dựa trên vị trí đau, triệu chứng kèm theo và dấu hiệu cảnh báo giúp chẩn đoán chính xác, điều trị kịp thời, tránh biến chứng nguy hiểm. Cùng tìm hiểu cụ thể trong nội dung bài viết sau đây.
/https://cms-prod.s3-sgn09.fptcloud.com/cach_phan_biet_viem_ruot_thua_hay_day_hoi_va_mot_so_dieu_ban_can_biet_0_267e3a4607.png)
Viêm ruột thừa hay đầy hơi đều khiến người bệnh gặp những cơn đau bụng rất khó chịu. Hãy cùng bài viết dưới đây tìm hiểu cách phân biệt viêm ruột thừa hay đầy hơi, từ đó có biện pháp điều trị thích hợp nhé.
/https://cms-prod.s3-sgn09.fptcloud.com/dieu_tri_viem_ruot_thua_0_d027432ec8.jpg)
Viêm ruột thừa là một trong những cấp cứu ngoại khoa phổ biến, cần can thiệp kịp thời để tránh biến chứng nguy hiểm. Vì vậy, điều trị viêm ruột thừa đóng vai trò quan trọng trong việc bảo vệ sức khỏe và tính mạng của người bệnh.
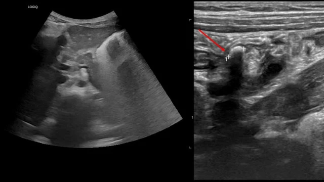
/https://cms-prod.s3-sgn09.fptcloud.com/ket_qua_sieu_am_viem_ruot_thua_0_6b82898c8b.jpg)
Viêm ruột thừa là một tình trạng cấp cứu ngoại khoa phổ biến, đòi hỏi chẩn đoán nhanh chóng và chính xác. Trong đó, kết quả siêu âm viêm ruột thừa đóng vai trò quan trọng trong việc xác định tình trạng viêm và hỗ trợ bác sĩ đưa ra quyết định điều trị kịp thời. Việc hiểu rõ kết quả siêu âm giúp bệnh nhân và người nhà có cái nhìn cụ thể hơn về tình trạng sức khỏe, từ đó có hướng xử lý phù hợp.
Bạn có biết, viêm ruột không chỉ là một vấn đề sức khỏe mà còn là thử thách lớn đối với chất lượng cuộc sống hàng ngày? Từ những cơn đau âm ỉ, tình trạng khó chịu trong đường tiêu hóa đến nguy cơ biến chứng lâu dài, viêm ruột cần được điều trị đúng cách để không trở thành gánh nặng cho cơ thể. Vậy đâu là giải pháp tốt nhất cho việc điều trị viêm ruột?
/https://cms-prod.s3-sgn09.fptcloud.com/viem_ruot_thua_o_tre_em_nguyen_nhan_trieu_chung_va_cach_dieu_tri_hieu_qua_47614e8392.jpg)
Viêm ruột thừa ở trẻ em là bệnh lý nguy hiểm nếu không được chẩn đoán và điều trị kịp thời. Hãy cùng Nhà thuốc Long Châu tìm hiểu nguyên nhân, triệu chứng và cách điều trị viêm ruột thừa để bảo vệ sức khỏe của trẻ.
/https://cms-prod.s3-sgn09.fptcloud.com/cac_bien_chung_thuong_gap_cua_viem_ruot_thua_3_Cropped_fe6261b41f.jpg)
Ruột thừa là cơ quan trong hệ tiêu hóa, khi bị viêm nhiễm có thể gây tình trạng ảnh hưởng đến sức khỏe. Viêm ruột thừa nếu không được phát hiện và điều trị kịp thời, bệnh có thể dẫn đến nhiều biến chứng nghiêm trọng. Những biến chứng của viêm ruột thừa không chỉ ảnh hưởng đến sức khỏe mà còn có thể đe dọa tính mạng người bệnh.
/https://cms-prod.s3-sgn09.fptcloud.com/viem_ruot_thua_co_nguy_hiem_khong_phuong_phap_dieu_tri_benh_viem_ruot_thua_412ed87ff8.jpg)
Viêm ruột thừa là một bệnh lý cấp cứu thường gặp xảy ra ở hệ tiêu hoá. Vậy viêm ruột thừa có nguy hiểm không? Bệnh viêm ruột thừa thường tiến triển khá nhanh và có thể gây ra nhiều biến chứng nguy hiểm, thậm chí là dẫn đến tử vong nếu không được điều trị kịp thời.