/https://cms-prod.s3-sgn09.fptcloud.com/xuat_huyet_nao_co_hoi_phuc_duoc_khong_thoi_gian_va_yeu_to_anh_huong_den_kha_nang_phuc_hoi_1_2fa90e7944.jpg)
"Xuất huyết não có hồi phục được không" là thắc mắc thường gặp của nhiều bệnh nhân và người thân khi đối mặt với tình trạng nguy kịch này. Bài viết sẽ cung cấp cái nhìn toàn diện về khả năng phục hồi sau xuất huyết não, các yếu tố tiên lượng cũng như hướng điều trị hỗ trợ.
/https://cms-prod.s3-sgn09.fptcloud.com/bai_vietxuat_huyet_noi_so_la_gi_co_nguy_hiem_khong_html_49390bc481.jpg)
Xuất huyết nội sọ là tình trạng chảy máu trong hộp sọ do vỡ mạch máu não. Đây là một cấp cứu y khoa nghiêm trọng có thể gây tổn thương não vĩnh viễn hoặc đe dọa tính mạng nếu không được xử lý kịp thời.
/https://cms-prod.s3-sgn09.fptcloud.com/canh_bao_ve_dau_hieu_xuat_huyet_nao_ma_ban_khong_nen_bo_qua_306c1fdbcb.jpg)
Xuất huyết não là một tình trạng y tế nguy hiểm, có thể đe dọa tính mạng nếu không được phát hiện và điều trị kịp thời. Việc nhận biết dấu hiệu xuất huyết não sớm có thể giúp cứu sống người bệnh và giảm thiểu các biến chứng nghiêm trọng. Trong bài viết này, Nhà Thuốc Long Châu sẽ cùng bạn tìm hiểu các dấu hiệu xuất huyết não cần lưu ý.
/https://cms-prod.s3-sgn09.fptcloud.com/cac_loai_xuat_huyet_nao_phan_loai_cu_the_va_cach_chan_doan_4_14067d1d95.jpg)
Các loại xuất huyết não thường sẽ có mức độ nguy hiểm và tiên lượng khác nhau. Nhưng nếu không được cấp cứu kịp thời thì tình trạng xuất huyết não có thể gây ra nhiều biến chứng nguy hiểm đe dọa đến tính mạng.
/https://cms-prod.s3-sgn09.fptcloud.com/tu_mau_nao_song_duoc_bao_lau_2_4a7a7cb894.jpg)
Chấn thương não, chẳng hạn như tụ máu não, thường đe dọa tính mạng và cần được chăm sóc y tế ngay lập tức. Khi gặp phải tình trạng này, hầu hết bệnh nhân và gia đình họ thường băn khoăn không biết một người bị tụ máu não sống được bao lâu và tiên lượng ra sao. Bài viết sau đây sẽ cung cấp thông tin chi tiết để giải đáp những thắc mắc này.
/https://cms-prod.s3-sgn09.fptcloud.com/cac_bien_phap_du_phong_xuat_huyet_nao_ngan_ngua_dot_quy_ma_nguoi_benh_nen_biet_9032e211d2.jpg)
Đột quỵ não là một tình trạng nghiêm trọng với nguy cơ tàn phế, tử vong cao. Áp dụng dự phòng xuất huyết não hiệu quả, đồng thời can thiệp kịp thời, điều trị đúng là yếu tố quan trọng để cải thiện tiên lượng và chất lượng cuộc sống của bệnh nhân.
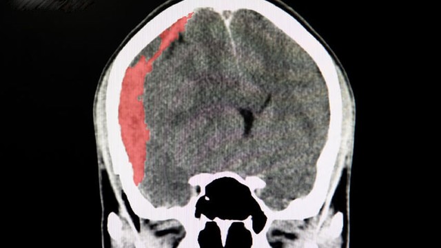
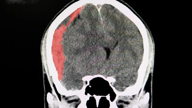
/https://cms-prod.s3-sgn09.fptcloud.com/dieu_tri_xuat_huyet_nao_do_vo_di_dang_mach_mau_nao_1_Cropped_a99e77b1f7.png)
Dị dạng mạch máu não có thể không gây ra các triệu chứng rõ ràng cho đến khi xảy ra vỡ, gây ra xuất huyết trong não, một tình trạng nguy hiểm đe dọa tính mạng. Vậy bạn đã biết gì về khả năng điều trị xuất huyết não do vỡ dị dạng mạch não hiệu nay hay chưa?
/https://cms-prod.s3-sgn09.fptcloud.com/tim_hieu_ve_van_de_dot_quy_o_nguoi_tre_cung_bac_si_nguyen_van_my_1_75b4986269.png)
Nhiều người vẫn có quan niệm chủ quan rằng đột quỵ chỉ là căn bệnh của người cao tuổi. Tuy nhiên, đột quỵ đang dần trở nên phổ biến và xuất hiện ở độ tuổi trẻ hơn, có thể chính do những thói quen mang tính chất tiêu cực của giới trẻ. Bởi vậy, việc tìm hiểu về đột quỵ ở người trẻ không chỉ giúp phòng ngừa, mà còn giúp mỗi chúng ta có những biện pháp, dấu hiệu nhận biết, cũng như xử trí kịp thời và hiệu quả nhất đột quỵ nói chung, đột quỵ trên người trẻ tuổi nói riêng.
/https://cms-prod.s3-sgn09.fptcloud.com/Vi_tri_xuat_huyet_nao_nguy_hiem_nhat_o_dau_va_cach_dieu_tri_1_7cab8a9d64.jpg)
Vị trí xuất huyết não nguy hiểm nhất là ở đâu? Nguyên nhân là gì? Và có nguy hiểm không? Nhà Thuốc Long Châu sẽ trả lời các thắc mắc này trong bài viết dưới đây.
/https://cms-prod.s3-sgn09.fptcloud.com/nguyen_nhan_xuat_huyet_nao_trieu_chung_va_cach_phong_ngua_1_Cropped_8d7b08425a.jpg)
Xuất huyết não là một loại đột quỵ. Nguyên nhân xuất huyết não là do động mạch trong não bị vỡ và gây chảy máu cục bộ ở các mô xung quanh. Chảy máu này làm chết các tế bào não do thiếu oxy.