Dược sĩ Đại học có nhiều năm kinh nghiệm trong việc tư vấn Dược phẩm và hỗ trợ giải đáp thắc mắc về Bệnh học. Hiện đang là giảng viên cho Dược sĩ tại Nhà thuốc Long Châu.
Quỳnh Loan
28/11/2024
Mặc định
Lớn hơn
Chấn thương não, chẳng hạn như tụ máu não, thường đe dọa tính mạng và cần được chăm sóc y tế ngay lập tức. Khi gặp phải tình trạng này, hầu hết bệnh nhân và gia đình họ thường băn khoăn không biết một người bị tụ máu não sống được bao lâu và tiên lượng ra sao. Bài viết sau đây sẽ cung cấp thông tin chi tiết để giải đáp những thắc mắc này.
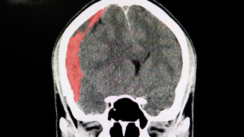
Tụ máu não xảy ra khi các mạch máu trong não bị vỡ do chấn thương, huyết áp cao hoặc các tình trạng bệnh lý khác, dẫn đến tình trạng máu ứ đọng ở các vùng cụ thể của não. Điều này có thể dẫn đến các biến chứng nghiêm trọng, bao gồm nguy cơ đột quỵ xuất huyết hoặc tử vong. Do đó, không ai được chủ quan khi bản thân hoặc người thân của mình gặp phải tình trạng tụ máu não.
Trước khi giải đáp câu hỏi người bị tụ máu não sống được bao lâu, chúng ta cần tìm hiểu tụ máu não là tình trạng bệnh thế nào, có nguy hiểm hay không.

Tụ máu não là tình trạng máu tích tụ trong não do các mạch máu bị vỡ. Tình trạng này có thể do nhiều yếu tố gây ra như chấn thương sọ não, vỡ phình động mạch hoặc dị dạng mạch máu não. Máu tích tụ tạo thành cục máu đông đè lên mô não, dẫn đến các biến chứng thần kinh. Tùy thuộc vào vị trí, tụ máu não được phân loại thành một số loại:
Ngoài ra, tụ máu não có thể được phân loại dựa trên thời điểm khởi phát và mức độ nghiêm trọng:
Nếu không được điều trị kịp thời, tụ máu não có thể dẫn đến các biến chứng nghiêm trọng, bao gồm tổn thương não vĩnh viễn, hôn mê hoặc tử vong.
Trong một số trường hợp, những người bị tụ máu não nhỏ có thể sống sót mà không cần phẫu thuật. Những trường hợp này thường được chẩn đoán sớm và có nguy cơ biến chứng thấp. Bác sĩ có thể chọn theo dõi chặt chẽ tình trạng bệnh và kê đơn thuốc để kiểm soát các triệu chứng và giảm sưng.

Tuy nhiên, ngay cả trong những trường hợp nhẹ này, việc theo dõi y tế liên tục là điều cần thiết để phát hiện bất kỳ thay đổi nào trong tình trạng của bệnh nhân. Nếu các triệu chứng mới phát triển hoặc khối máu tụ trở nên trầm trọng hơn, có thể cần phẫu thuật để ngăn ngừa tổn thương não thêm. Các lựa chọn điều trị trong các trường hợp nghiêm trọng bao gồm loại bỏ khối máu tụ thông qua phẫu thuật, dẫn lưu lượng máu thừa hoặc kê đơn thuốc để kiểm soát chảy máu.
Một trong những thắc mắc liên quan đến tụ máu não đó là người bị tụ máu não sống được bao lâu?
Tiên lượng cho một người bị khối máu tụ não phụ thuộc vào một số yếu tố, bao gồm kích thước và vị trí của khối máu tụ, độ tuổi của bệnh nhân và tốc độ can thiệp y tế. Sau đây là một số yếu tố ảnh hưởng đến tuổi thọ của người bị tụ máu não:
Tụ máu não sống được bao lâu tùy thuộc vào vị trí và kích thước của khối máu tụ. Các khối máu tụ nhỏ hơn nằm ngoài các vùng não quan trọng sẽ có tiên lượng tốt hơn so với các khối máu tụ lớn gần các vùng quan trọng. Do các khối máu tụ lớn gây áp lực đáng kể lên não, làm tăng nguy cơ tổn thương không thể phục hồi.
Người bị tụ máu não sống được bao lâu còn tùy thuộc vào việc người đó được can thiệp sớm hay muộn. Khối máu tụ não được phát hiện và điều trị càng sớm thì cơ hội phục hồi của bệnh nhân càng cao. Chẩn đoán sớm giúp ngăn ngừa các biến chứng nguy hiểm và đảm bảo hiệu quả điều trị.
Bệnh nhân trẻ tuổi có xu hướng hồi phục tốt hơn so với người lớn tuổi. Bệnh nhân cao tuổi có hệ thống mạch máu yếu hơn và khả năng phục hồi sau chấn thương não kém hơn, khiến việc điều trị trở nên khó khăn hơn.
Bệnh nhân phải tuân theo kế hoạch chăm sóc sau điều trị của bác sĩ để ngăn ngừa tái phát. Kiểm tra sức khỏe định kỳ, tuân thủ thuốc theo toa và thay đổi lối sống đều góp phần cải thiện tiên lượng. Không tuân theo lời khuyên của bác sĩ sẽ làm tăng nguy cơ tái phát, có thể dẫn đến các biến chứng khác hoặc tử vong.

Tuổi tác đóng vai trò quan trọng trong tiên lượng của bệnh nhân tụ máu não. Ở những người trẻ tuổi, não có khả năng phục hồi tốt hơn và quá trình phục hồi thường nhanh hơn và thành công hơn. Tuy nhiên, đối với bệnh nhân cao tuổi, kết quả không mấy khả quan. Khi chúng ta già đi, thể tích não giảm đi và khoảng cách giữa hộp sọ và nhu mô não rộng ra. Điều này làm tăng khả năng tái phát tụ máu và các biến chứng khác.
Hiệu quả của các can thiệp phẫu thuật cũng thường thấp hơn ở bệnh nhân cao tuổi do sức khỏe tổng thể yếu hơn và khả năng chữa lành giảm. Mặc dù nhiều thách thức song bệnh nhân cao tuổi vẫn có thể phục hồi sau tình trạng tụ máu não bằng cách điều trị kịp thời và chăm sóc y tế phù hợp.
Một số yếu tố góp phần cải thiện tiên lượng cho bệnh nhân bị tụ máu não:
Chăm sóc y tế kịp thời là rất quan trọng khi các triệu chứng của tụ máu não xuất hiện. Các triệu chứng như mờ mắt, đau đầu, nhìn đôi, yếu hoặc tê ở chân tay không nên bỏ qua. Sau chấn thương đầu, ngay cả khi các triệu chứng có vẻ nhẹ, điều quan trọng là phải tìm kiếm sự đánh giá y tế. Các kỹ thuật chẩn đoán như MRI, CT và chụp mạch sẽ giúp bác sĩ đánh giá mức độ nghiêm trọng của tụ máu và lập kế hoạch điều trị phù hợp nhất.
Mức độ nghiêm trọng của tụ máu và sức khỏe tổng thể của bệnh nhân sẽ quyết định kế hoạch điều trị tốt nhất. Đối với các tụ máu nhỏ chưa gây ra triệu chứng, bác sĩ có thể lựa chọn phương pháp không phẫu thuật bao gồm dùng thuốc và theo dõi.
Tuy nhiên, các tụ máu lớn cần can thiệp y tế ngay lập tức. Các thủ thuật phẫu thuật như dẫn lưu tụ máu, mở hộp sọ để giảm áp lực hoặc liệu pháp dùng thuốc có thể cần thiết để ngăn ngừa các biến chứng đe dọa tính mạng.

Sau khi điều trị, bệnh nhân phải tuân thủ khuyến cáo của bác sĩ về việc chăm sóc hậu phẫu, bao gồm tái khám thường xuyên, tuân thủ các loại thuốc theo toa và thực hiện những thay đổi cần thiết về lối sống để giảm nguy cơ tái phát. Việc chăm sóc và theo dõi đúng cách đóng vai trò quan trọng trong việc đảm bảo bệnh nhân phục hồi lâu dài và cải thiện tuổi thọ.
Tụ máu não là một tình trạng bệnh lý nghiêm trọng có thể dẫn đến các biến chứng đe dọa tính mạng nếu không được chẩn đoán và điều trị kịp thời. Trong khi một số trường hợp tụ máu não có thể được kiểm soát mà không cần phẫu thuật, thì những trường hợp lớn hơn hoặc nghiêm trọng hơn thường cần can thiệp y tế ngay lập tức để ngăn ngừa tổn thương não thêm.
Tụ máu não sống được bao lâu phụ thuộc vào nhiều yếu tố như kích thước và vị trí của tụ máu, độ tuổi của bệnh nhân và thời điểm điều trị. Chẩn đoán sớm, điều trị kịp thời và chăm sóc hậu điều trị tận tâm là điều cần thiết để cải thiện tiên lượng và đảm bảo phục hồi hoàn toàn. Ngay cả ở những bệnh nhân lớn tuổi, nếu được chăm sóc y tế và theo dõi đúng cách, bệnh nhân vẫn có thể sống sót lâu dài.
Xem thêm:
Dược sĩ Đại họcNguyễn Mỹ Huyền
Dược sĩ Đại học có nhiều năm kinh nghiệm trong việc tư vấn Dược phẩm và hỗ trợ giải đáp thắc mắc về Bệnh học. Hiện đang là giảng viên cho Dược sĩ tại Nhà thuốc Long Châu.