Dược sĩ Đại học có nhiều năm kinh nghiệm trong việc tư vấn Dược phẩm và hỗ trợ giải đáp thắc mắc về Bệnh học. Hiện đang là giảng viên cho Dược sĩ tại Nhà thuốc Long Châu.
Thị Ly
26/10/2023
Mặc định
Lớn hơn
Tình trạng răng móm không chỉ ảnh hưởng đến ăn uống mà còn gây mất thẩm mỹ, khiến chúng ta tự ti trong giao tiếp. Vậy khi bị móm có nên niềng răng và thời gian thực hiện niềng răng móm mất bao lâu?
Răng móm là một trong những khuyết điểm ở hàm răng gây ảnh hưởng lớn đến chức năng ăn nhai, thẩm mỹ khuôn mặt và khả năng phát âm của chúng ta. Tình trạng này khá phổ biến nhưng rất ít người hiểu rõ về thuật ngữ răng móm và những hệ lụy của nó.
Tuy gây ra nhiều hệ lụy đối với sức khỏe nhưng răng móm hoàn toàn có thể khắc phục nhờ các phương pháp thẩm mỹ nha khoa hiện đại. Vậy, người bị móm có nên niềng răng không? Hãy tìm hiểu thông qua bài viết dưới đây nhé.
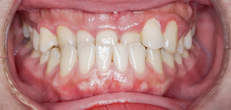
Răng móm hay khớp cắn ngược là tình trạng sai lệch khớp cắn phổ biến. Lệch khớp cắn khiến hàm dưới bị đưa ra trước so với hàm trên, răng cửa hàm dưới nhô trước so với răng cửa hàm trên. Hiểu đơn giản, ở người bình thường răng trên sẽ bao phủ ra ngoài cung hàm dưới. Nhưng ở người bị khớp cắn ngược thì răng hàm dưới sẽ phủ ra ngoài răng hàm trên.

Răng móm có thể dễ dàng nhận ra khi quan sát bằng mắt. Nhìn hàm răng của người bị móm, bạn sẽ thấy vùng môi dưới và cằm bị nhô ra. Đặc biệt khi nhìn góc nghiêng sẽ thấy mặt bị lõm vào.
Để biết bị móm có nên niềng răng hay áp dụng phương pháp điều trị khác, trước tiên chúng ta hãy tìm hiểu các dạng móm răng thường gặp. Không phải trường hợp móm răng nào cũng có đặc điểm và cách điều trị giống nhau. Trên thực tế, có 3 trường hợp móm răng phổ biến gồm móm do răng, móm do xương hàm và do cả hai. Tùy vào trường hợp móm do nguyên nhân gì, bác sĩ sẽ tư vấn cách điều trị phù hợp nhất.
Hiện nay có rất nhiều phương pháp điều trị móm răng như niềng răng, bọc răng sứ, phẫu thuật hàm… Trong đó, niềng răng là cách tối ưu được nhiều người lựa chọn.
Với câu hỏi bị móm có nên niềng răng không thì câu trả lời sẽ phụ thuộc vào nguyên nhân gây ra móm răng. Bởi mỗi trường hợp móm răng sẽ có biện pháp khắc phục khác nhau.
Tình trạng này xảy ra do bất thường ở xương hàm. Xương hàm dưới phát triển quá mức hoặc xương hàm trên quá ngắn nên bị thụt vào trong gây móm. Trong khi đó, răng vẫn mọc đúng vị trí.
Trường hợp bị móm do xương hàm, các bác sĩ thường tư vấn phẫu thuật hàm móm nhằm cắt bớt xương hàm dưới, đồng thời đẩy nó về đúng vị trí chuẩn nhất giữa 2 khớp cắn, giúp khuôn mặt cân đối và hài hòa hơn.
Người bị móm do răng có thể chữa bằng cách niềng răng. Xương hàm của những người bị móm do răng vẫn bình thường, còn vấn đề nằm ở chỗ hàm răng mọc lệch quặp vào (hàm trên) hoặc chìa ra (hàm dưới). Do đó, việc nắn chỉnh lại răng thông qua quá trình niềng răng sẽ phù hợp và an toàn hơn.

Niềng răng hay chỉnh nha là phương pháp thẩm mỹ nha khoa hiện đại. Bằng việc sử dụng các khí cụ nha khoa như mắc cài, dây cung, khay trong suốt, niềng răng có tác dụng sắp xếp và đưa răng về đúng vị trí mong muốn. Phương pháp này rất phổ biến trong điều trị răng móm, vừa an toàn lại hiệu quả. Kết quả sau khi niềng cũng duy trì lâu dài hơn so với các phương pháp còn lại.
Sau khi niềng răng, chức năng ăn nhai sẽ được cải thiện rõ rệt, khuôn mặt cũng hài hòa hơn. Đặc biệt, niềng răng ít tác động lên răng nên không sợ răng bị yếu đi.
Niềng răng móm mất bao lâu phụ thuộc vào nhiều yếu tố như tình trạng răng móm, phương pháp niềng răng. Hiện nay, có 3 phương pháp niềng răng phổ biến với khí cụ, quy trình, chi phí và thời gian niềng hoàn toàn khác nhau.
Đây là phương pháp lâu đời và mang lại hiệu quả cao. Khí cụ sử dụng ở phương pháp này là hệ thống dây cung bằng kim loại với lực siết cực mạnh. Phương pháp này có ưu điểm là hiệu quả, an toàn, chi phí thấp. Nhưng niềng răng mắc cài kim loại có nhược điểm về tính thẩm mỹ và trải nghiệm trong quá trình niềng. Ngoài ra, đây cũng là hình thức niềng có thời gian lâu từ 2 đến 3 năm.

Tương tự với niềng răng mắc cài kim loại nhưng khí cụ sử dụng làm bằng sứ. Hiệu quả lực siết của mắc cài sứ kém hơn nhưng chi phí lại cao hơn so với niềng răng mắc cài kim loại.
Phương pháp niềng răng hiện đại với nhiều điểm khác biệt nhất. Niềng răng trong suốt là sự lựa chọn của rất nhiều người bởi nhiều ưu điểm vượt trội như khay niềng có thể tháo lắp linh hoạt ngay tại nhà, tính thẩm mỹ cao, thời gian niềng ngắn chỉ khoảng 8 đến 15 tháng hoặc có thể ngắn hơn nếu ca không phức tạp. Nhược điểm duy nhất của phương pháp này là chi phí khá cao, lên tới hàng trăm triệu đồng.

Trên đây là những thông tin giúp bạn giải đáp thắc mắc bị móm có nên niềng răng và thời gian niềng của từng phương pháp. Hy vọng bạn sẽ lựa chọn được phương pháp điều trị răng móm phù hợp và hiệu quả nhất cho bản thân.
Xem thêm: Khớp cắn ngược có nên tập Mewing không?
Dược sĩ Đại họcNguyễn Mỹ Huyền
Dược sĩ Đại học có nhiều năm kinh nghiệm trong việc tư vấn Dược phẩm và hỗ trợ giải đáp thắc mắc về Bệnh học. Hiện đang là giảng viên cho Dược sĩ tại Nhà thuốc Long Châu.