Dược sĩ Đại học có nhiều năm kinh nghiệm trong việc tư vấn Dược phẩm và hỗ trợ giải đáp thắc mắc về Bệnh học. Hiện đang là giảng viên cho Dược sĩ tại Nhà thuốc Long Châu.
Quỳnh Loan
19/01/2024
Mặc định
Lớn hơn
U nang buồng trứng là một bệnh phụ khoa phổ biến xảy ra ở nữ giới mọi lứa tuổi. Thông thường chị em không biết được bản thân có u nang buồng trứng cho tới khi thực hiện kiểm tra phụ khoa. Vậy u nang buồng trứng siêu âm có phát hiện ra bệnh không?
Siêu âm là kỹ thuật chẩn đoán hình ảnh hiện đại, được ứng dụng rộng rãi trong y học hiện đại nhờ quy trình thực hiện đơn giản, nhanh chóng, đem lại độ chính xác cao. Thông thường, u nang buồng trứng là lành tính, không gây hại cho chị em, song, không loại trừ một số trường hợp biến chứng thành ung thư buồng trứng. Do đó, chị em phụ nữ thường được khuyến cáo đi kiểm tra sức khỏe, khám phụ khoa định kỳ để giúp phát hiện nang buồng trứng sớm.
Trước khi giải đáp thắc mắc u nang buồng trứng siêu âm có chẩn đoán được bệnh hay không, chúng ta hãy cùng tìm hiểu thông tin tổng quan về căn bệnh u nang buồng trứng nhé.
Siêu âm là kỹ thuật chẩn đoán hình ảnh sử dụng sóng âm thanh tần số cao mà tai người không thể cảm nhận được để khảo sát, đánh giá cấu trúc các bộ phận bên trong cơ thể để phát hiện các dấu hiệu bất thường, bao gồm u nang buồng trứng.

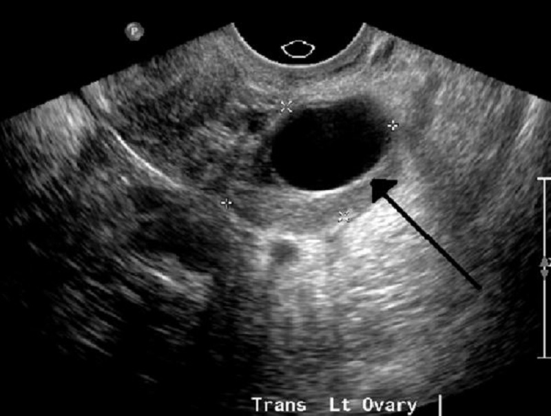
Thông qua hình ảnh siêu âm cung cấp, các bác sĩ chuyên khoa sẽ đánh giá có hay không có tình trạng u nang buồng trứng ở phụ nữ. Nếu có, những hình ảnh thu được qua sóng âm truyền về trên màn hình máy tính sẽ thể hiện chi tiết các đặc tính chính của u nang buồng trứng, như hình dạng, kích thước, vị trí và thành phần (chứa đầy chất lỏng, chất rắn hay kết hợp cả hai).
Tuy nhiên, bạn cần biết rằng u nang buồng trứng siêu âm có thể phát hiện ra nhưng phương pháp này không thể xác định chắc chắn bản chất của u nang đó là lành tính hay có khả năng gây ung thư. Để xác định chắc chắn ung thư, bác sĩ bắt buộc phải chỉ định bệnh nhân làm thêm vài kỹ thuật chẩn đoán khác, bao gồm xét nghiệm đánh giá nồng độ hormone, xét nghiệm mức CA-125, chọc hút tế bào, chụp MRI hoặc thậm chí là sinh thiết mô. Những kỹ thuật bổ sung này giúp bác sĩ chẩn đoán toàn diện tình trạng u nang buồng trứng, từ đó đề ra các biện pháp điều trị chính xác và phù hợp.
Sau khi đã giải đáp được băn khoăn u nang buồng trứng siêu âm có phát hiện ra không, nhiều chị em có thể thắc mắc vậy khi nào cần đi siêu âm u nang buồng trứng, đảm bảo việc chăm sóc sức khỏe chủ động và phát hiện bệnh sớm.
Điều quan trọng đầu tiên bạn cần làm đó là luôn chú ý lắng nghe cơ thể của mình. Các dấu hiệu nghi ngờ ban đầu giúp cảnh báo cho chị em về tình trạng u nang buồng trứng sẽ bao gồm rối loạn kinh nguyệt, đau rát dai dẳng ở bộ phận sinh dục, đi vệ sinh khó khăn,… Nếu chị em nhận thấy bất kỳ triệu chứng nào trong số này, hãy nhanh chóng đi khám để đảm bảo an toàn cho sức khỏe sinh sản của bản thân.

Thông thường, chị em cần đi siêu âm u nang buồng trước trong các trường hợp sau đây:
Đối với những chị em dự định kết hôn, siêu âm trước hôn nhân rất được khuyến khích. Bác sĩ sẽ đánh giá về tình trạng sức khỏe sinh sản hiện tại cũng như tư vấn cho chị em thông tin chi tiết về những tác động tiềm ẩn đối với khả năng sinh sản sau hôn nhân (nếu có).
Khi có dấu hiệu bất thường trong bộ máy sinh sản hoặc xuất hiện dấu hiệu nghi ngờ về bệnh buồng trứng hoặc u nang, chị em cần đi siêu âm kiểm tra buồng trứng nói chung, siêu âm u nang buồng trứng nói riêng.
Thông qua kỹ thuật siêu âm, bác sĩ sẽ chẩn đoán, phát hiện và can thiệp sớm bệnh (nếu có).
Ngay cả khi không có dấu hiệu bất thường nào rõ ràng, việc kết hợp siêu âm tử cung phần phụ vào khám sức khỏe định kỳ là rất cần thiết. Việc sàng lọc định kỳ này cho phép khảo sát toàn diện về sức khỏe sinh sản của chị em, có thể xác định sớm các vấn đề tiềm ẩn và tạo điều kiện can thiệp kịp thời.
Khi sử dụng siêu âm chẩn đoán u nang buồng trứng, hiện nay bác sĩ sẽ thực hiện một trong hai phương pháp phổ biến đó là siêu âm đường bụng và siêu âm đầu dò âm đạo.

Các bước tiến hành siêu âm qua ổ bụng
Lưu ý khi siêu âm đường bụng
chị em khi siêu âm đường bụng cần nhịn tiểu để làm đầy bàng quang, hỗ trợ bác sĩ dễ dàng quan sát và phát hiện các bất thường ở vùng chậu, tử cung hoặc buồng trứng.
Ưu điểm và nhược điểm
Ưu điểm:
Nhược điểm
Các bước thực hiện siêu âm qua âm đạo

Những lưu ý về siêu âm qua âm đạo
Phương pháp siêu âm này chỉ áp dụng cho phụ nữ trưởng thành đã có sinh hoạt tình dục, không áp dụng cho trẻ em, phụ nữ đang trong chu kỳ kinh nguyệt hoặc những người bị nhiễm trùng âm đạo cấp tính.
Bệnh nhân nên đi tiểu trước khi thực hiện thủ thuật này để xẹp bàng quang và tránh chèn ép các cấu trúc vùng chậu.
Ưu điểm và nhược điểm
Ưu điểm:
Nhược điểm:
Nếu chị em bị u nang buồng trứng, phương pháp siêu âm sẽ giúp bác sĩ chẩn đoán cụ thể hơn về tình trạng này. Thông qua hình ảnh siêu âm hiển thị trên màn hình máy tính, bác sĩ sẽ xác định kích thước, mật độ, cấu trúc và hình dạng của u nang buồng trứng thời điểm hiện tại; đồng thời xác định ranh giới tiếp cận cùng ảnh hưởng của khối u đến những cơ quan xung quanh như thế nào.

Sử dụng biện pháp siêu âm bên cạnh việc giúp phát hiện sớm tình trạng u nang buồng trứng mà còn giúp chị em có được kết quả điều trị bảo tồn chức năng buồng trứng với tỷ lệ cao và mức độ nguy hại đến sức khỏe cũng được giảm đáng kể. Trên thực tế có rất nhiều trường hợp u nang buồng trứng phát hiện và điều trị muộn dẫn đến cắt bỏ một bên/hoàn toàn buồng trứng, gây ảnh hưởng không nhỏ cho khả năng sinh sản cùng nhiều hậu quả khác cho sức khỏe phụ nữ.
Tóm lại, nếu chị em bị u nang buồng trứng siêu âm sẽ giúp phát hiện và đánh giá chi tiết tình trạng u nang hiện tại, từ đó có kế hoạch điều trị phù hợp. Tuy nhiên, chị em lưu ý nên lựa chọn cơ sở y tế uy tín với trang bị cơ sở vật chất hiện đại và đội ngũ bác sĩ có trình độ cao, giàu kinh nghiệm mới có thể giúp chị em xác định chính xác sức khỏe buồng trứng nói chung, tình trạng u nang buồng trứng nói riêng và giúp chị em bảo vệ sức khỏe sinh sản một cách tối ưu.
Xem thêm:
Dược sĩ Đại họcNguyễn Mỹ Huyền
Dược sĩ Đại học có nhiều năm kinh nghiệm trong việc tư vấn Dược phẩm và hỗ trợ giải đáp thắc mắc về Bệnh học. Hiện đang là giảng viên cho Dược sĩ tại Nhà thuốc Long Châu.