Dược sĩ Đại học có nhiều năm kinh nghiệm trong việc tư vấn Dược phẩm và hỗ trợ giải đáp thắc mắc về Bệnh học. Hiện đang là giảng viên cho Dược sĩ tại Nhà thuốc Long Châu.
Thùy Hương
10/05/2024
Mặc định
Lớn hơn
Bọc răng sứ là kỹ thuật phục hình giúp tái tạo thẩm mỹ của răng. Nhiều người thắc mắc liệu bọc răng sứ có đau không do phải mài răng. Cùng tìm hiểu trong bài viết này.
Bọc răng sứ là quá trình phục hồi lấy lại vẻ đẹp thẩm mỹ và chức năng ăn nhai cho hàm răng. Tuy nhiên, có nhiều thông tin đưa ra rằng bọc răng sứ gây đau nhức. Vậy thực hư bọc răng sứ có đau không, nếu có thì xử lý thế nào, cùng Nhà thuốc Long Châu tìm hiểu trong bài viết dưới đây.
Quy trình bọc răng sứ gồm 5 bước như sau:

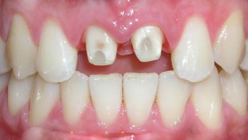
Việc bọc răng sứ không gây đau là một điều mà nhiều người quan tâm. Đáp án cho câu hỏi này quá trình bọc răng sứ không gây ra cảm giác đau nhức, ê buốt hoặc khó chịu. Bác sĩ thường tiến hành quá trình mài răng sứ sau khi đã gây tê, giúp bệnh nhân cảm thấy thoải mái và an tâm trong suốt quá trình thực hiện.
Tuy nhiên, có thể có sự khác biệt về cảm giác đau tùy thuộc vào tình trạng sức khỏe răng miệng của bệnh nhân. Nếu răng khỏe mạnh, không mắc các bệnh như sâu răng, viêm tủy, viêm nướu, thì quá trình mài răng sứ thường diễn ra nhẹ nhàng hơn. Ngược lại, nếu răng của bạn có vấn đề, việc điều trị triệt để trước khi bọc răng sứ là quan trọng để đảm bảo thoải mái và hiệu quả trong quá trình thực hiện.

Đối với những người có cơ địa nhạy cảm và răng yếu, việc mài răng trước khi bọc sứ có thể dẫn đến cảm giác đau nhức và ê buốt kéo dài trong vài tuần sau quá trình thực hiện. Tuy nhiên, sau thời gian này, răng có thể thích ứng và cảm giác đau sẽ giảm đi đáng kể.
Trong trường hợp bệnh nhân mắc viêm tủy mà không được điều trị hoặc điều trị chưa đầy đủ trước khi thực hiện quá trình bọc sứ, có thể dẫn đến tình trạng tổn thương nặng vết tủy, vi khuẩn có thể lây lan vào dây thần kinh, gây ra những cơn đau mạnh và thậm chí là cảm giác đau buốt.
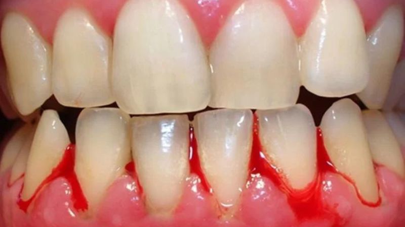
Các bệnh lý như sâu răng, viêm nướu, hay viêm nha chu cần được điều trị triệt để trước khi thực hiện quá trình bọc răng sứ. Nếu không, vi khuẩn có thể tiếp tục xâm chiếm tủy răng, gây nhiễm trùng, áp xe hoặc thậm chí là rụng răng thật.

Trong trường hợp bác sĩ thiếu chuyên môn và kỹ năng, quá trình phục hình răng sứ có thể dẫn đến nhiều sai sót. Điều này bao gồm mài răng không đúng tỷ lệ, xâm lấn quá mức vào cấu trúc răng thật, hoặc gắn răng sứ không đúng vị trí, gây áp lực không mong muốn lên cùi răng và những răng lân cận. Cảm giác đau nhức và ê buốt sau khi bọc sứ là hậu quả không tránh khỏi trong tình trạng này.
Bệnh nhân nếu tiêu thụ quá nhiều thực phẩm cứng hoặc nóng, lạnh ngay từ giai đoạn ban đầu có thể gây ra cảm giác đau nhức ở răng bọc sứ. Ngoài ra, việc không duy trì vệ sinh răng đầy đủ cũng tạo điều kiện thuận lợi cho sự phát triển của vi khuẩn có hại, gây nguy cơ tấn công vào răng sứ.
Bọc răng sứ có đau không hoàn toàn là vấn đề kiểm soát được. Tuy nhiên, nếu đã thực hiện các phương pháp đơn giản nhưng cơn đau nhức răng vẫn kéo dài thì bạn nên đến các cơ sở y tế để được thăm khám, điều trị sớm và tránh được những biến chứng không mong muốn. Một số lưu ý khi răng bọc sứ đau nhức gồm:

Trên đây là những thông tin giải đáp bọc răng sứ có đau không. Quy trình bọc răng sứ nếu chuẩn y khoa luôn đảm bảo an toàn và vẻ đẹp thẩm mỹ cho bạn, nên những đau đớn ít khi xảy ra. Hãy chú ý chăm sóc răng miệng kĩ càng sau khi bọc răng sứ để giúp răng bền lâu hơn bạn nhé.
Xem thêm:
Dược sĩ Đại họcNguyễn Mỹ Huyền
Dược sĩ Đại học có nhiều năm kinh nghiệm trong việc tư vấn Dược phẩm và hỗ trợ giải đáp thắc mắc về Bệnh học. Hiện đang là giảng viên cho Dược sĩ tại Nhà thuốc Long Châu.