• Thực phẩm chức năng

  • Dược mỹ phẩm

  • Thuốc

  • Chăm sóc cá nhân

  • Thiết bị y tế

  • Tiêm chủng

  • Bệnh & Góc sức khỏe

  • Hệ thống nhà thuốc

    1. /
    2. Góc sức khỏe/
    3. Phòng bệnh & Sống khoẻ

    Cách chữa răng ố vàng cho bé theo từng độ tuổi

    21/06/2023

    Kích thước chữ

    Răng ố vàng là tình trạng phổ biến thường gặp ở các bé ngay cả khi bé mới mọc răng sữa. Vậy tại sao răng bé bị ố vàng? Làm sao để khắc phục tình trạng ố vàng răng cho bé? Bài viết sau đây sẽ hướng dẫn bố mẹ cách chữa răng ố vàng cho bé.

    Răng ố vàng không chỉ là dấu hiệu nguy cơ của các bệnh lý răng miệng của trẻ em. Mà chúng còn khiến cho nụ cười của bé trở nên kém duyên. Vậy làm sao để khắc phục tình trạng này? Bố mẹ hãy theo dõi nội dung sau đây để biết cách chữa răng ố vàng cho bé nhé.

    Nguyên nhân làm cho răng bé bị ố vàng

    Hiện tượng răng bé bị ố vàng, xỉn màu rất phổ biến với các mức độ ố vàng nặng nhẹ khác nhau. Nguyên nhân chủ yếu gây ra tình trạng này phần lớn là do thói quen ăn uống, vệ sinh và một phần khác là do các tác động di truyền gây nên.

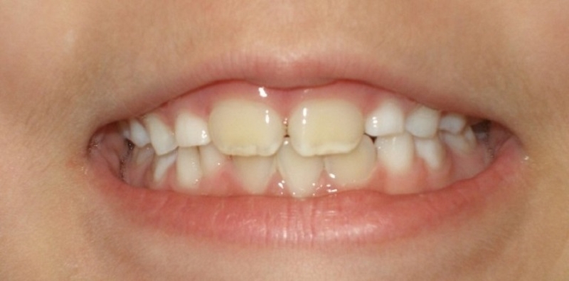
    Cách chữa răng ố vàng cho bé ở các mức độ nặng nhẹ khác nhau Răng của trẻ em bị ố vàng, xỉn màu có mức độ ố vàng nặng nhẹ khác nhau

    Theo bác sĩ nha khoa nhi, có một số nguyên nhân chính  trẻ bị vàng răng sau đây gồm:

    Di truyền từ khi mẹ mang thai

    Trong quá trình mang thai, nếu người mẹ không may phải điều trị các bệnh lý liên quan đến nhiễm trùng đường tiết niệu chắc chắn sẽ phải sử dụng lượng lớn thuốc chứa tetracycline.

    Tetracycline có tác động rất xấu tới vấn đề độ chắc khỏe và màu trắng sáng men răng của thai nhi sau này. Tùy thuộc vào liều lượng thuốc mà mẹ bầu sử dụng trong thai kỳ sẽ quyết định mức độ ảnh hưởng răng trẻ bị ố vàng nhiều hay ít.

    Vệ sinh răng miệng cho bé không đúng cách

    Đây chính là nguyên nhân chủ yếu gây nên tình trạng răng trẻ em bị ố vàng đặc biệt là trẻ em ở độ tuổi đang mọc và hoàn thiện hàm răng sữa.

    Ở giai đoạn này các bé còn quá nhỏ để có thể ý thức được tầm quan trọng của việc vệ sinh răng miệng. Đồng thời sự chủ quan, không thường xuyên chú tâm của phụ huynh đối với việc chăm sóc răng cho trẻ khiến răng nhanh chóng bị bám đọng thức ăn thừa và khiến men răng chuyển màu vàng, thậm chí chuyển sang nâu, đen.

    Sử dụng quá nhiều fluor

    Về bản chất, hầu hết các sản phẩm kem đánh răng đều chứa fluor nhằm giúp răng chắc khỏe và phòng ngừa sâu răng. Tuy nhiên, nếu các bậc phụ huynh không tìm hiểu rõ ràng lựa chọn loại phù hợp với răng sữa của trẻ thì rất dễ lạm dụng. Nếu fluor bị dư thừa và tác động quá nhiều khiến răng bị nhiễm màu.

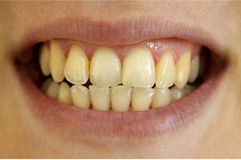
    Cách chữa răng ố vàng cho bé khi bị dư fluor  Nếu fluor bị dư thừa và tác động quá nhiều khiến răng bị nhiễm màu

    Dấu hiệu của các bệnh lý liên quan đến gan, thận

    Theo các nghiên cứu của chuyên gia, một số ít trường hợp răng bé bị ố vàng bất thường có thể là sự cảnh báo nguy cơ về một số bệnh lý của cơ thể như viêm gan, vàng da,...

    Do vậy, nếu răng của bé bị ố vàng kèm theo nhiều thay đổi khác của cơ thể như màu da, lười ăn,… thì bố mẹ nên đưa bé tới gặp bác sĩ để phát hiện bệnh sớm nhất (nếu có).

    Răng sữa bị chấn thương nặng

    Răng được hình thành theo cấu trúc và hệ thống mạch máu bên trong giống như nhiều bộ phận khác trên cơ thể. Chính vì vậy, nếu răng bị vỡ, gãy hay sứt mẻ do chấn thương, tai nạn thì sẽ làm ảnh hưởng tới các hoạt động của răng, đồng thời có thể làm răng đổi màu.

    Bẩm sinh bị giảm sinh men răng

    Bé có thể bị di truyền từ bố mẹ hoặc trong quá trình mang thai bị thiếu hụt canxi và fluor cũng là nguyên nhân làm tăng nguy cơ khiến răng của bé đổi màu vàng, sạm ngay từ khi mọc răng sữa.

    Cách chữa răng ố vàng cho bé theo từng độ tuổi

    Quá trình hình thành và phát triển toàn diện răng của trẻ em sẽ trải qua nhiều giai đoạn tương ứng với các mốc độ tuổi khác nhau của bé.

    Cùng với đó, tùy vào đặc điểm và tính chất răng khác nhau sẽ quyết định tới cách chữa răng ố vàng cho bé.

    Trẻ từ 0 – 1 tuổi

    Trong giai đoạn trẻ dưới 1 tuổi, trẻ mới bắt đầu mọc những chiếc răng sữa đầu tiên nên rất dễ bị ảnh hưởng bởi các tác động bên ngoài. Trẻ em từ 0 – 1 tuổi mặc dù chưa tiếp xúc nhiều với những thức ăn cần nhai, cắn nhiều, mà thường chỉ ăn bột cháo cùng uống sữa. Tuy nhiên, nếu bố mẹ không vệ sinh răng sạch sẽ mỗi ngày cho bé thì hiện tượng răng bị vàng cũng có thể xảy ra.

    Đối với bé ở giai đoạn này, nha sĩ khuyến cáo bố mẹ không nên tự ý áp dụng bất kì mẹo hay phương pháp tẩy trắng răng nào khi chưa có chỉ định. Tốt nhất, phụ huynh chỉ nên chú ý vệ sinh răng sạch sẽ hàng ngày cho bé 2 lần sáng tối với nước muối sinh lý loại Natri Clorid 0,9%. Đồng thời, cha mẹ cũng có thể lấy khăn xô mềm sạch hoặc dùng dụng cụ rơ lưỡi của trẻ thấm nước muối và chà sạch các vùng trong khoang miệng. Cách chữa răng ố vàng cho bé này không chỉ giúp khắc phục tình trạng ố vàng mà còn giúp răng bé chắc khỏe hơn.

    Vệ sinh răng miệng đều đặn hàng ngày cho bé Vệ sinh răng miệng đều đặn hàng ngày cho bé

    Trẻ từ 1 – 3 tuổi

    Thông thường, khi các bé được 2 tuổi thì răng sữa mọc đầy đủ các răng từ răng cửa, răng hàm, răng nanh,... Và vào lúc này, trẻ cũng được tiếp xúc với nhiều loại thước ăn khác nhau hơn trước. Thế nên tình trạng răng ố vàng, đổi màu hay bị sâu răng cũng dễ mắc phải hơn.

    Vì vậy, với độ tuổi dưới 3 phụ huynh nên thực hiện những cách chữa răng ố vàng cho bé và một số biện pháp phòng ngừa ố vàng sau:

    • Hạn chế cho bé ăn nhóm thực phẩm bám màu: Bố mẹ không nên cho trẻ sử dụng thường xuyên những món ăn nhiều dầu mỡ, bánh kẹo chứa phẩm màu hóa học hay thức uống có ga. Vì những loại thực phẩm này dễ gây đổi màu lại không tốt cho sức khỏe
    • Vệ sinh răng miệng đều đặn hàng ngày cho bé: Phụ huynh cần thực hiện hoặc hướng dẫn bé nhà mình đánh răng 2 lần mỗi ngày và ghi nhớ súc miệng bằng nước muối sau khi ăn nhằm loại bỏ vi khuẩn mảng bám thức ăn trên răng.
    • Tuyệt đối không áp dụng tùy tiện các cách tẩy trắng răng tại nhà: Bố mẹ cần tham vấn ý kiến của bác sĩ khi dùng các các làm trắng răng, cách chữa răng ố vàng cho bé bởi vì ở độ tuổi trẻ còn nhỏ có thể chưa phù hợp với các cách dành cho người lớn.
    • Kiểm tra, khám sức khỏe răng miệng định kỳ cho bé: Bảo vệ sức khỏe răng miệng cho bé ngay từ khi còn nhỏ luôn là điều cần thiết.

    Trẻ thay răng sữa, mọc răng vĩnh viễn

    Trẻ từ 5 tuổi trở lên đã bắt đầu thay răng sữa và mọc răng vĩnh viễn. Những chiếc răng vĩnh viễn mới mọc này sẽ theo trẻ mãi mãi. Vậy nên phụ huynh cần hết sức lưu ý chăm sóc để bé có một hàm răng trắng đẹp, không bị ố vàng hay đổi màu. Thực tế, trẻ ở độ tuổi này thương xuyên ăn những món ăn vặt, bánh kẹo với số lượng nhiều. Đặc biệt là trẻ ăn quà vặt vào buổi tối sẽ gây hại trực tiếp tới vấn đề răng miệng điển hình là răng bé bị vàng và bị sâu.

    Để có cách chữa răng ố vàng cho bé tốt nhất, cha mẹ cần đưa trẻ tới các phòng khám chuyên nha khoa nhi để kiểm tra, đồng thời xác định tình trạng sức khỏe răng và mức độ vàng răng. Từ đó, nha sĩ sẽ đưa ra cách chữa ố vàng răng cho bé phù hợp với độ tuổi.

    Thông thường, khi trẻ em bị ố vàng răng sẽ được chỉ định lấy cao răng. Việc này nhằm loại bỏ sạch những mảng bám còn đọng lại trên răng của trẻ. Từ đó giúp cho răng của bé sạch sẽ và trắng sáng hơn trước. Không những thế, sau khi thực hiện tẩy cao răng cho bé, phụ huynh cần phải hướng dẫn và tập cùng các bé cách vệ sinh chăm sóc răng miệng đúng theo lời khuyên của nha sĩ để duy trì răng trắng sáng lâu dài.

    Trẻ bị ố vàng răng là tình trạng rất quen thuộc. Tình trạng này mặc dù không nguy hiểm nhưng nó cũng ảnh hưởng không nhỏ đối với sức khỏe răng miệng cho bé. Vậy nên bố mẹ cần theo dõi tình trạng răng miệng của bé để có thể áp dụng các biện pháp phòng ngừa, cách chữa răng ố vàng cho bé một cách phù hợp.

    Ngọc Hiếu

    Nguồn tham khảo: Tổng hợp

    Có thể bạn quan tâm

    Thông tin và sản phẩm gợi ý trong bài viết chỉ mang tính chất tham khảo, vui lòng liên hệ với Bác sĩ, Dược sĩ hoặc chuyên viên y tế để được tư vấn cụ thể. Xem thêm

    Dược sĩ Đại họcTrần Huỳnh Minh Nhật

    Đã kiểm duyệt nội dung

    Dược sĩ chuyên khoa Dược lý - Dược lâm sàng. Tốt nghiệp 2 trường đại học Mở và Y Dược TP. Hồ Chí Minh. Có kinh nghiệm nghiên cứu về lĩnh vực sức khỏe, đạt được nhiều giải thưởng khoa học. Hiện là Dược sĩ chuyên môn phụ trách xây dựng nội dung và triển khai dự án đào tạo - Hội đồng chuyên môn tại Nhà thuốc Long Châu.

    Xem thêm thông tin