Tốt nghiệp Đại học Dược Hà Nội, với hơn 10 năm kinh nghiệm trong lĩnh vực Dược phẩm. Hiện là giảng viên giảng dạy các môn Dược lý, Dược lâm sàng,...
21/06/2023
Mặc định
Lớn hơn
Có rất nhiều nguyên nhân dẫn đến răng bé bị ố vàng và xỉn màu. Cùng điểm qua vài nguyên nhân phổ biến nhất cũng như các phương pháp làm trắng răng an toàn cho bé qua bài viết dưới đây!
Răng trẻ bị ố vàng do nhiều nguyên nhân khác nhau gây ra, đa phần là do bẩm sinh hoặc ảnh hưởng trong quá trình phát triển. Cùng tìm hiểu 7 nguyên nhân dẫn đến răng bé bị ố vàng và cách làm trắng răng tại nhà an toàn cho trẻ qua bài viết dưới đây!
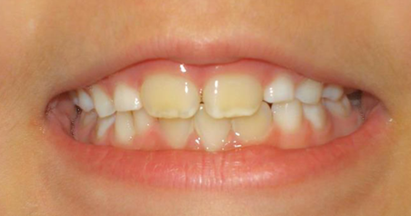
Tình trạng thiếu sản men răng là một hiện tượng di truyền từ mẹ hoặc bố. Lúc này các thành phần men răng (chủ yếu là canxi fluor) sẽ bị thiếu hụt hay xáo trộn dẫn đến răng trẻ bị sạm màu, ố vàng ngay khi vừa mới mọc lên.

Nguyên nhân phổ biến khiến răng bé bị ố vàng do thiếu men răng bẩm sinh
Nếu thai phụ đang phải điều trị bệnh về nhiễm trùng đường tiết niệu trong giai đoạn mang thai, thì buộc phải sử dụng đến các loại thuốc như kháng sinh. Tuy nhiên trong thuốc kháng sinh lại chứa một lượng lớn chất tetracycline, chất này sẽ làm đổi màu men răng của thai nhi. Và trẻ sinh ra bị răng ố vàng ít hay nhiều cũng phụ thuộc vào liều lượng sử dụng thuốc trước đó của người mẹ.
Thông thường thì bạn nhỏ nào cũng rất thích ăn đồ ngọt, cụ thể là các loại bánh kẹo, socola, nước ngọt,... Việc ăn nhiều đồ ngọt như vậy sẽ khiến bé bị sâu răng. Do mảng bám của thức ăn chứa nhiều đường đã tạo cơ hội cho vi khuẩn phát triển, tấn công răng của bé. Khi mà răng trẻ bị sâu thì đồng thời các đốm đen cũng sẽ xuất hiện làm xỉn màu men răng của bé.
Khi đánh răng, nếu bé không chải răng đúng cách hoặc bàn chải không được vệ sinh thường xuyên cũng là nguyên nhân khiến răng bé bị ố vàng.

Nguyên nhân phổ biến khiến răng bé bị ố vàng do chưa vệ sinh răng miệng đúng cách
Nhiễm màu fluor là chất giúp tăng cường độ chắc khỏe cho răng, ngăn ngừa sâu răng hiệu quả. Tuy nhiên vì fluor làm tăng măng bám men răng nên nếu sử dụng nhiều sẽ khiến răng trẻ bị ố vàng, đổi màu. Trường hợp trẻ hấp thụ fluor đa phần là do vô tình nuốt phải kem đánh răng hoặc các loại đồ uống có chứa fluor.
Trẻ bị xỉn màu men răng, răng ố vàng có thể đó là biểu hiện do một số bệnh lý liên quan đến gan, thận, đặc biệt là viêm gan, vàng da. Chính vì vậy nên nếu thấy bé bị vàng răng kèm một số biểu hiện khác lạ thì bố mẹ cần đưa bé đi khám ngay để kịp thời phát hiện và điều trị.
Một số chấn thương tác động mạnh đến mạch máu xung quanh răng cũng là nguyên nhân khiến men răng bị tổn thương, dẫn đến răng bị ố vàng.
Răng trẻ sẽ bắt đầu mọc từ 6 tháng tuổi, vì vậy ba mẹ nên quan tâm chăm sóc răng miệng cho trẻ từ lúc này để tránh tình trạng răng bị ố vàng. Đồng thời việc chăm sóc răng cho bé từ nhỏ cũng hạn chế các bệnh lý về răng. Ở mỗi giai đoạn, độ bền chắc và số lượng răng của bé cũng sẽ khác nhau. Dưới đây là cách chăm sóc răng cho bé theo từng giai đoạn cụ thể:
Đây là giai đoạn bé mới mọc một vài chiếc răng trên. Ở thời gian này bé vẫn chỉ nên ăn những thực phẩm như mềm như cháo, sữa,...Với những loại thức ăn này tuy không nhai nhiều nhưng vẫn nên vệ sinh răng mỗi ngày để không bị ố vàng.

Cách khắc phục răng bé bị ố vàng tại nhà hiệu quả
Đây cũng là lúc mà ba mẹ chưa nên sử dụng bất kỳ phương pháp làm trắng răng nào vì bé còn quá nhỏ. Ba mẹ có thể vệ sinh răng cho bé bằng nước muối, thực hiện bằng cách dùng khăn xô mềm thấm nước muối và chà nhẹ nhàng, làm sạch từ từ khoang miệng của trẻ.
Lúc này dường như các bé đều đã mọc đầy đủ các răng: răng cửa, răng nanh, răng hàm,... Đây cũng là giai đoạn trẻ tiếp xúc với đa dạng loại thực phẩm khác nhau nên răng sẽ dễ bị ố vàng hơn.
Giai đoạn khi lên 5 tuổi cũng là lúc bé sẽ bắt đầu thay răng sữa bằng răng vĩnh viễn. Những chiếc răng mới này sẽ theo bé đến sau này nên càng cần được chăm sóc kỹ lưỡng. Ngoài ra, giai đoạn này bé cũng sẽ thèm ăn nhiều bánh kẹo, đồ ngọt các loại nên dễ gây ảnh hưởng sức khỏe răng miệng.
Dưới đây là một vài cách khắc phục cho răng bé sáng ngay tại nhà mà ba mẹ có thể tham khảo:
Trên đây là 7 nguyên nhân phổ biến khiến cho răng bé bị ố vàng. Bài viết đã phần nào giải đáp thắc mắc cũng như đưa ra cho bạn những biện pháp khắc phục tình trạng này tại nhà mà bạn có thể tham khảo. Tuy nhiên để chữa răng ố vàng một cách tốt nhất, bố mẹ vẫn nên đưa con đến nha sĩ để được điều trị tối ưu.
Thủy Phan
(Nguồn: Tổng Hợp)
Dược sĩ Đại họcNguyễn Thanh Hải
Tốt nghiệp Đại học Dược Hà Nội, với hơn 10 năm kinh nghiệm trong lĩnh vực Dược phẩm. Hiện là giảng viên giảng dạy các môn Dược lý, Dược lâm sàng,...