Dược sĩ chuyên ngành Dược lâm sàng, với nhiều năm kinh nghiệm làm việc trong lĩnh vực dược phẩm. Là Dược sĩ Long Châu đạt được chứng chỉ bệnh học cấp quốc tế. Hiện đang là giảng viên tại Trung tâm Đào tạo FPT Long Châu.
Khánh Vy
27/06/2025
Mặc định
Lớn hơn
Răng khểnh, với đặc điểm nổi bật và vẻ đẹp duyên dáng, đã trở thành một phần không thể thiếu trong nụ cười của nhiều người. Tuy nhiên, câu hỏi liệu có nên nhổ răng khểnh không vẫn là chủ đề gây tranh cãi.
Việc nhổ răng khểnh không chỉ phụ thuộc vào yếu tố thẩm mỹ mà còn liên quan đến sức khỏe răng miệng tổng thể. Trong bài viết này, cùng tìm hiểu những lý do nên, không nên nhổ răng khểnh và một số vấn đề liên quan khác.
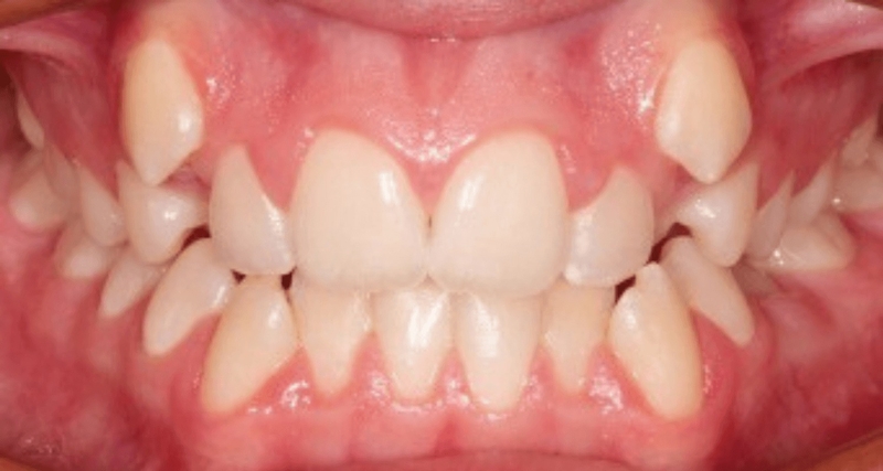
Răng khểnh hay còn được biết đến như răng nanh, thường nằm ở vị trí thứ ba kể từ răng cửa, có vai trò chính là nhai và xé thức ăn. Đặc trưng của chiếc răng này là thường mọc chệch so với đường nướu và thường nhô ra hơn so với các răng còn lại. Mặc dù răng khểnh có thể mang lại vẻ đẹp tự nhiên cho nụ cười, nhưng khi mọc không đúng vị trí có thể gây ra các vấn đề ảnh hưởng đến sức khỏe của răng miệng.
Răng khểnh vốn là một loại răng nanh chuyên chịu trách nhiệm giằng xé thức ăn. Khi răng nanh có biểu hiện mọc lệch ra bên ngoài, nó trở nên dư thừa, không còn hoạt động hiệu quả và có thể ảnh hưởng đến khả năng và sức nhai.
Khi răng khểnh mọc chen chúc và lệch lạc, thường là nguyên nhân dẫn đến tình trạng thức ăn bị kẹt giữa các kẽ răng. Nếu không được vệ sinh sạch lâu ngày có thể tạo ra các mảng bám. Từ đó tạo điều kiện cho vi khuẩn phát triển, gây ra các vấn đề về sức khỏe miệng. Hơn nữa, răng khểnh cũng có thể gây ra sâu răng hoặc một số bệnh lý răng miệng khác do khó khăn trong chăm sóc răng miệng.
Nếu răng khểnh có kích thước quá lớn có khả năng khiến môi bị cộm lên, không khít môi. Điều này ảnh hưởng trực tiếp đến khả năng phát âm chính xác.
Khi răng khểnh mọc lệch hoặc mọc chen chúc với răng lân cận có thể tác động đến tính thẩm mỹ của toàn bộ khuôn hàm. Vì vậy, việc xem xét kỹ lưỡng tình trạng răng hàm của từng người là cực kỳ quan trọng. Thông qua đó có thể đưa ra phương pháp điều trị và cải thiện tính thẩm mỹ cho tình trạng răng khểnh mọc lệch một cách hiệu quả nhất.

Răng khểnh có thể tạo nên sự duyên dáng và tươi tắn cho nụ cười nếu chúng mọc ở vị trí đẹp. Vậy, có nên nhổ răng khểnh không? Trong trường hợp này, việc nhổ bỏ răng khểnh không cần thiết, nhưng cần chú ý đến chế độ ăn uống và vệ sinh răng miệng để giữ gìn sức khỏe. Ngược lại, nếu răng khểnh gây mất thẩm mỹ hoặc ảnh hưởng đến cung hàm, người bệnh có thể xem xét phương pháp niềng răng để đưa răng về đúng vị trí.
Hiện nay có nhiều phương pháp niềng răng hiệu quả để cải thiện tình trạng này. Nhổ răng khểnh chỉ được chỉ định khi không thể bảo tồn răng bằng các phương pháp khác. Sau khi nhổ, bệnh nhân thường lo lắng về khoảng trống trên cung hàm, nhưng bác sĩ có thể tư vấn niềng răng hoặc thực hiện cấy ghép implant để khắc phục vấn đề này. Do đó, có thể thấy rằng có nên nhổ răng khểnh không còn tuỳ thuộc vào từng trường hợp khác nhau.

Việc nhổ răng khểnh thực sự không ảnh hưởng đến chức năng ăn nhai, vì răng khểnh không đóng vai trò quan trọng trong quá trình này. Nhổ răng khểnh là một tiểu phẫu không quá phức tạp, và hiện nay các kỹ thuật nhổ răng đã được hỗ trợ bởi công nghệ siêu âm hiện đại. Điều này giúp các thao tác của bác sĩ được kiểm soát chặt chẽ và chính xác, hạn chế tối đa hiện tượng chảy máu cũng như cảm giác đau đớn cho bệnh nhân.
Ngoài ra, thuốc gây tê tại chỗ giúp giảm cảm giác đau đớn trong quá trình nhổ răng. Thông thường, bác sĩ chỉ mất từ 15 đến 30 phút để thực hiện quy trình này mà không cần xâm lấn sâu hay tạo đường mổ quá rộng.
Nếu bạn vẫn còn đang băn khoăn có nên nhổ răng khểnh không thì hãy tham khảo một số trường hợp cần thiết phải nhổ răng khểnh sau đây:
Khi răng khểnh mọc lệch hoặc nghiêng xéo so với các răng bên cạnh, không chỉ thẩm mỹ bị ảnh hưởng mà còn tạo điều kiện cho vi khuẩn phát triển. Răng mọc lệch sẽ khó làm sạch, dẫn đến sự tích tụ mảng bám, có thể gây ra sâu răng, viêm chân răng và các vấn đề khác. Trong trường hợp này, nhổ bỏ răng khểnh là cần thiết để bảo vệ sức khỏe răng miệng.
Nếu chiếc răng khểnh bị sâu hoặc viêm nha chu nặng, việc nhổ bỏ là cần thiết để bảo vệ những chiếc răng liền kề và sức khỏe tổng thể của hàm. Đối với những trường hợp này, bác sĩ sẽ tiến hành thăm khám và chụp X-quang để xác định tình trạng cụ thể của chiếc răng khểnh.
Quy trình nhổ răng khểnh diễn ra theo các bước sau:
Trước khi tiến hành nhổ răng, bác sĩ sẽ thăm khám tổng quát toàn hàm để xác định vị trí và tình trạng cụ thể của chiếc răng khểnh. Việc thăm khám này giúp bác sĩ đưa ra quyết định chính xác nhất về việc có nên nhổ răng hay không.
Trước khi nhổ răng, bác sĩ sẽ gây tê cục bộ tại khu vực xung quanh để giảm đau nhức cho bệnh nhân. Sau đó, bác sĩ sẽ mở một đường rạch nhỏ, tách các mô kết nối răng và xương, và cắt răng thành từng mảnh nhỏ để dễ dàng lấy ra. Quy trình này được thực hiện nhanh chóng và chuyên nghiệp để hạn chế đau đớn cho bệnh nhân.
Sau khi răng khểnh đã được lấy ra, bác sĩ sẽ khâu vết rạch lại và hướng dẫn bệnh nhân cắn bông để cầm máu. Thông thường, máu sẽ ngừng chảy sau khoảng 10 - 15 phút.
Sau khi nhổ răng, bác sĩ sẽ lên lịch tái khám để kiểm tra vết thương. Nếu có dấu hiệu bất thường hoặc sưng tấy, bác sĩ sẽ kịp thời xử lý để không làm ảnh hưởng đến sức khỏe toàn diện.

Với những thông tin trên, hy vọng bạn đã có cái nhìn rõ hơn về vấn đề có nên nhổ răng khểnh không. Trước khi đưa ra quyết định nhổ răng khểnh, bạn nên tìm kiếm sự tư vấn từ các cơ sở y tế uy tín, thảo luận kỹ với các bác sĩ để hiểu rõ về tình trạng của bản thân để đưa ra phương pháp điều trị phù hợp nhất.
Xem thêm: Viền chân răng bị đen: Nguyên nhân và cách khắc phục
Dược sĩ Đại họcPhạm Nguyễn Hoàng Kim
Dược sĩ chuyên ngành Dược lâm sàng, với nhiều năm kinh nghiệm làm việc trong lĩnh vực dược phẩm. Là Dược sĩ Long Châu đạt được chứng chỉ bệnh học cấp quốc tế. Hiện đang là giảng viên tại Trung tâm Đào tạo FPT Long Châu.