• Thực phẩm chức năng

  • Dược mỹ phẩm

  • Thuốc

  • Chăm sóc cá nhân

  • Thiết bị y tế

  • Tiêm chủng

  • Bệnh & Góc sức khỏe

  • Hệ thống nhà thuốc

    1. /
    2. Góc sức khỏe/
    3. Phòng bệnh & Sống khoẻ

    Giải đáp thắc mắc: Sùi mào gà kiêng ăn gì?

    Thị Thúy

    07/12/2024

    Kích thước chữ

    Sùi mào gà không chỉ ảnh hưởng đến tâm lý mà còn gây ra nhiều hậu quả làm giảm chất lượng cuộc sống của người bệnh. Thực hiện chế độ ăn uống hợp lý và ăn đúng loại thực phẩm là một yếu tố quan trọng trong quá trình điều trị. Vậy khi bị sùi mào gà kiêng ăn gì?

    Sùi mào gà do virus HPV gây ra là một căn bệnh xã hội khá phổ biến hiện nay. Tốc độ tiến triển của bệnh sẽ phụ thuộc vào nhiều yếu tố, một trong số đó chính là chế độ ăn uống hàng ngày của bạn. Hãy xây dựng một chế độ ăn uống hợp lý và sinh hoạt lành mạnh để ngăn chặn các biến chứng nguy hiểm của bệnh. Vậy sùi mào gà kiêng ăn gì?

    Sùi mào gà là bệnh gì?

    Trước khi trả lời câu hỏi kiêng gì và nên ăn gì khi bị sùi mào gà thì chúng ta hãy cùng tìm hiểu một số thông tin về căn bệnh này nhé.

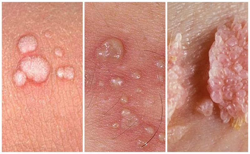
    Cụ thể, sùi mào gà là bệnh lây truyền qua đường tình dục phổ biến. Bệnh gây ra bởi virus Human Papillomavirus hay còn gọi là HPV. Hai chủng HPV phổ biến nhất là loại 11 và 6.

    giai-dap-thac-mac-sui-mao-ga-kieng-an-gi 1.png
    Sùi mào gà là bệnh lây truyền qua đường tình dục phổ biến

    Triệu chứng thường gặp của bệnh này là sự xuất hiện của nốt sùi mềm ở bộ phận sinh dục, gây đau và ngứa. Ở một số bệnh nhân, sùi mào gà xuất hiện trong vòng vài tuần sau khi bị nhiễm bệnh. Nhưng cũng có trường hợp các nốt sùi xuất hiện trong vài tháng hoặc vài năm sau khi nhiễm bệnh.

    Đây là một căn bệnh có khả năng lây lan nhanh chóng khiến người bệnh khó chịu, mất tự tin. Nếu bệnh không được phát hiện và điều trị sớm thì người bệnh có thể phải đối mặt với những biến chứng nguy hiểm như ung thư hoặc ảnh hưởng đến khả năng sinh sản sau này.

    Bệnh sùi mào gà kiêng ăn gì?

    Thực phẩm có chứa arginin

    Thực phẩm chứa hàm lượng arginin cao có thể làm tăng nguy cơ bùng phát sùi mào gà ở người bệnh. Arginin là một axit amin được tìm thấy trong các loại thực phẩm phổ biến như sữa, cá, thịt gia cầm và các loại thịt khác. Nó là thành phần thiết yếu giúp cơ thể tổng hợp protein cho cơ bắp. Hầu hết người trưởng thành đều nhận được lượng arginine cần thiết từ chế độ ăn uống bình thường hàng ngày.

    Các loại hạt và đậu

    Đậu phộng, hạt hướng dương, hạt vừng và các loại đậu khác có thể làm tăng mức độ nghiêm trọng của sùi mào gà vì chúng chứa lượng arginin cao. Trong thời gian bị bệnh và điều trị thì bạn lưu ý không nên sử dụng bất kỳ chế phẩm nào từ hạt và đậu.

    Bia rượu

    Hàm lượng axit cao trong bia và rượu cũng có thể kéo dài thời gian điều trị sùi mào gà. Vì vậy, bạn hãy cố gắng hạn chế lượng rượu bia uống khi bị bệnh để tránh các biến chứng nguy hiểm. Thay vào đó, hãy tích cực sử dụng nước lọc hoặc các loại đồ uống lành tính khác.

    giai-dap-thac-mac-sui-mao-ga-kieng-an-gi 2.jpg
    Hạn chế uống rượu bia uống khi bị bệnh sùi mào gà để tránh các biến chứng nguy hiểm

    Ngũ cốc

    Mặc dù giá trị dinh dưỡng của ngũ cốc rất có lợi cho sức khỏe người bình thường nhưng điều này lại có hại với người bị sùi mào gà. Tương tự như các loại hạt và cây họ đậu thì ngũ cốc cũng rất giàu arginine. Nếu người bệnh sùi mào gà không kiêng ăn ngũ cốc trong thời gian bị bệnh sẽ tạo thêm điều kiện cho virus gây nên sùi mào gà sinh sôi.

    Đồ uống có chứa caffeine

    Đồ uống có hàm lượng caffeine cao như trà, cà phê hoặc soda cũng chứa một lượng lớn arginine, có thể khiến sùi mào gà dễ bùng phát hoặc tái phát khi người bệnh mới khỏi bệnh.

    Sữa

    Sữa và các sản phẩm từ sữa như phô mai và sữa chua cũng chứa lượng arginin cao, vì vậy hãy hạn chế sử dụng nếu bạn đang bị sùi mào gà.

    Một con cá hồng, cá hồi hoặc cá da trơn cỡ trung bình chứa 900 đến 1.040mg arginin. Trong khi đó, lượng arginin tối đa được khuyến nghị hàng ngày cho người lớn là từ 2.000 đến 10.000 mg. Điều này có nghĩa là nếu bạn bị sùi mào gà và ăn khoảng 3 con cá hồi thì lượng arginin của bạn sẽ vượt quá giới hạn cho phép.

    Bị sùi mào gà nên ăn gì?

    Trong bữa ăn hàng ngày, mỗi loại thực phẩm đều có chức năng dinh dưỡng khác nhau. Sau khi đọc xong thông tin về chế độ ăn uống để tránh bị sùi mào gà thì bạn cũng không cần quá lo lắng. Có nhiều loại thực phẩm và đồ uống khác mà bạn có thể sử dụng trong quá trình điều trị. Ngoài việc lựa chọn những thực phẩm cần tránh khi bị sùi mào gà, bạn cũng nên chú ý đến chế độ ăn uống của mình để loại bỏ virus HPV.

    giai-dap-thac-mac-sui-mao-ga-kieng-an-gi 3.jpg
    Người bệnh nên chú ý đến chế độ ăn uống của mình để loại bỏ virus HPV

    Thực phẩm giàu vitamin B có thể ngăn ngừa sự lây lan của virus gây sùi mào gà và ức chế hoạt động của nó. Bạn có thể thường xuyên bổ sung các thực phẩm giàu vitamin B như nấm hương, mật ong, cà chua, rau bina và tỏi vào thực đơn hàng ngày của mình.

    Ngoài ra, tăng cường hệ thống miễn dịch và tăng sức đề kháng cho cơ thể cũng là yếu tố chính giúp bạn rút ngắn thời gian điều trị sùi mào gà. Để thực hiện được điều này hãy thường xuyên ăn cam, quýt và các thực phẩm giàu vitamin C khác.

    Hy vọng bài viết này đã giúp bạn hiểu được khi bị sùi mào gà kiêng ăn gì và nên ăn những loại thực phẩm nào để loại bỏ vi rút HPV khỏi cơ thể. Ngoài việc duy trì chế độ ăn uống khoa học và ăn uống hợp lý thì hãy cố gắng hợp tác với bác sĩ để nâng cao hiệu quả điều trị.

    Trung tâm Tiêm chủng Long Châu là địa chỉ tin cậy cho mọi nhu cầu tiêm vắc xin trong đó có tiêm HPV ngừa sùi mào gà. Với không gian hiện đại, thoáng mát và đội ngũ bác sĩ, điều dưỡng giàu kinh nghiệm, chúng tôi cam kết mang đến dịch vụ tiêm chủng an toàn và hiệu quả.

    Tại Long Châu, các loại vắc xin đều được nhập khẩu chính hãng, bảo quản theo tiêu chuẩn quốc tế, đảm bảo chất lượng tối ưu. Tiêm chủng Long Châu còn áp dụng công nghệ hiện đại trong việc theo dõi phản ứng sau tiêm, giúp bạn yên tâm hơn về sức khỏe của mình. Hãy đến với Trung tâm Tiêm chủng Long Châu để được tư vấn tận tình và trải nghiệm dịch vụ chăm sóc sức khỏe hàng đầu. Đừng bỏ lỡ cơ hội bảo vệ bản thân và những người thân yêu trước các bệnh lây truyền!

    Xem thêm:

    Thông tin và sản phẩm gợi ý trong bài viết chỉ mang tính chất tham khảo, vui lòng liên hệ với Bác sĩ, Dược sĩ hoặc chuyên viên y tế để được tư vấn cụ thể. Xem thêm

    Bác sĩVõ Thanh Nhã Văn

    Đã kiểm duyệt nội dung

    Tốt nghiệp Bác sĩ Y học Dự phòng từ Đại học Y Dược Thành phố Hồ Chí Minh, bác sĩ đã có nền tảng vững chắc về an toàn y tế và nghiên cứu khoa học. Bên cạnh việc hoàn thành khóa huấn luyện an toàn Sơ cấp cứu tại SAFI, bác sĩ còn nhận được bằng khen của Bộ Y tế năm 2021 cho những đóng góp xuất sắc trong công tác phòng chống dịch COVID-19.

    Xem thêm thông tin