• Thực phẩm chức năng

  • Dược mỹ phẩm

  • Thuốc

  • Chăm sóc cá nhân

  • Thiết bị y tế

  • Tiêm chủng

  • Bệnh & Góc sức khỏe

  • Hệ thống nhà thuốc

    1. /
    2. Góc sức khỏe/
    3. Phòng bệnh & Sống khoẻ

    Hình ảnh viêm amidan từng loại

    14/10/2024

    Kích thước chữ

    Có nhiều loại viêm amidan, mỗi loại có hình ảnh viêm amidan khác nhau, bạn có thể quan sát bằng mắt để có chẩn đoán sơ bộ được mình có bị viêm amidan hay không hoặc đang mắc loại nào.

    Viêm amidan xảy ra khi niêm mạc họng bị tổn thương, viêm nhiễm do vi khuẩn, virus, nấm, chất kích thích, hóa chất. Bệnh không đe dọa tính mạng người bệnh nhưng gây khó chịu, đau họng, ảnh hưởng lớn đến công việc và chất lượng cuộc sống.

    Dấu hiệu viêm amidan

    Các dấu hiệu viêm amidan phổ biến như sau:

    • Đau rát khó chịu ở cổ họng
    • Amidan bị sưng đỏ
    • Đau tăng nặng khi nói chuyện, nuốt
    • Đau nổi hạch ở cổ
    • Giọng nói bị khàn hoặc khó phát âm thanh
    • Có các mảng trắng, mủ ở bên trên, xung quanh amidan.
    Viêm amidan xảy ra khi niêm mạc họng bị tổn thương, viêm nhiễm do vi khuẩn, virus, nấm...

    Hình ảnh viêm amidan thường gặp

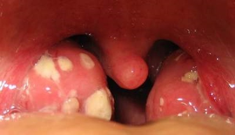
    Hình ảnh viêm amidan cấp (viêm họng đỏ)

    Một phần hoặc toàn bộ niêm mạc họng đỏ rực. Trụ trước, trụ sau, màn hầu, thành họng sau bị phù nề và đỏ thẫm. Kèm theo đó là amidan bị viêm sưng to, bề mặt có amidan có chất nhầy trong.

    Khi tiến hành khám họng cách hạch vùng cổ dưới hàm có thể thấy bị viêm tấy, đỏ và đau.

    Các triệu chứng biểu hiện ra bên ngoài gồm:

    • Đau họng, khô, rát họng
    • Hắt hơi, sổ mũi, đau đầu, ho, đau cơ toàn thân
    • Chán ăn, bỏ bữa, khó nuốt, đau khi nuốt
    • Phát ban, nổi hạch, buồn nôn

    Viêm amidan cấp do virus và vi khuẩn có thể lây từ người sang người. Khi người bệnh hắt hơi, ho bán giọt siêu nhỏ chứa virus, vi khuẩn vào không khí.

    Hình ảnh viêm amidan mãn tính

    Hình ảnh viêm amidan liên cầu khuẩn

    Khi bệnh do liên cầu khuẩn gây ra, bạn quan sát họng sẽ thấy amidan bị sưng đỏ, có mủ trắng bẩn. Ở trẻ nhỏ thì có thể xuất hiện màng xám hoặc trắng ở amidan. Kèm theo là các triệu chứng khác như:

    • Đau họng đột ngột
    • Đau và khó nuốt nhưng không bị cảm lạnh, chảy nước mũi.
    • Sốt cao trên 39 độ C.
    • Buồn nôn, đau đầu, đau bụng.
    • Nổi hạch ở cổ, người khó chịu.

    Viêm amidan liên cầu khuẩn tan huyết nhóm A cần phải được điều trị sớm và đúng cách để tránh những biến chứng nguy hiểm có thể xảy ra. Chẳng hạn như viêm amidan, viêm khớp, thấp tim, viêm cầu thận…

    Hình ảnh viêm amidan liên cầu khuẩn

    Hình ảnh viêm amidan đỏ tím

    Bệnh do nhiễm trùng Streptocoque, siêu vi và vi trùng khác. Đối tượng thường bị viêm họng đỏ tím là trẻ em. Khi mắc bệnh, quan sát họng có thể thấy:

    • Niêm mạc họng đỏ rực
    • Lưỡi gà phù nề có rất nhiều chấm đỏ

    Bên cạnh đó còn có các triệu chứng:

    • Sốt cao 40 độ C
    • Đau bụng, buồn nôn, chán ăn
    • Hơi thở có mùi hôi khó chịu
    • Đau tai, đau đầu

    Bệnh có thể gây biến chứng toàn thân do bị nhiễm khuẩn Streptocoque, hoặc viêm sưng tấy quanh amidan.

    Hình ảnh viêm amidan đỏ tím

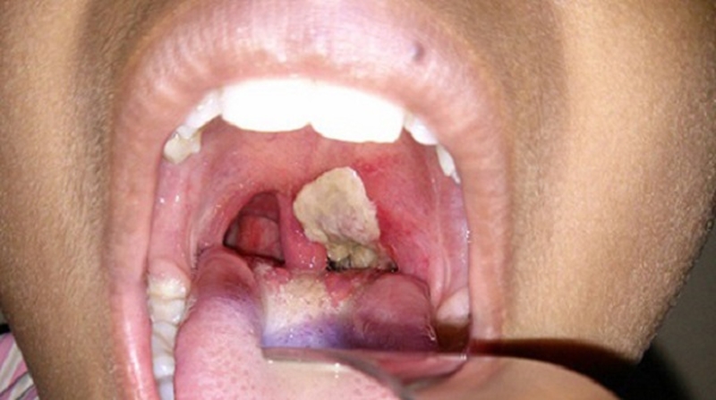
    Hình ảnh viêm amidan giả mạc

    Bệnh chỉ chiếm khoảng 2 – 3% nhưng lại vô cùng nguy hiểm. Quan sát vòm họng, bạn có thể dễ dàng thấy:

    • Cả 2 amidan sưng to đỏ thẫm, các khe bị giãn ra và bị lớp bựa trắng bao phủ ở khe miệng.
    • Lớp bựa trắng có tính chất dày, dai, bám chặt vào niêm mạc họng, amidan. Sau đó lan rộng, một số trường hợp lan xuống thanh quản gây khó thở ở người bệnh.
    • Hạch vùng sau góc hàm sưng to, đau, khó chịu.
    Hình ảnh viêm amidan giả mạc

    Hình ảnh viêm amidan mụn nước

    Nguyên nhân chính là do virus hecpet và virus gây bệnh zona. Khi mắc viêm họng mụn nước, bạn có thể quan sát thấy:

    • Vùng hầu họng có màu đỏ rải rác
    • Có nhiều mụn trắng đã vỡ hoặc lành như nốt lở loét nhỏ.

    Kèm theo đó là các triệu chứng khác như: Sốt cao, nuốt đau, cảm giác lạnh đột ngột, đau đầu, đau nhức tận tai.

    Hình ảnh viêm amidan mụn nước

    Hình ảnh viêm amidan mãn tính

    Triệu chứng viêm amidan mãn tính: Người bệnh luôn cảm thấy bị mệt mỏi, cổ họng bị đau rát, vướng víu, khó chịu, ho khan, ho có đờm và không sốt.

    Bệnh viêm amidan mãn tính gồm 4 thể:

    • Viêm amidan mãn tính sung huyết đơn thuần. Hình ảnh viêm họng cho thấy niêm mạc họng đỏ, quan sát thấy nhiều mạch máu.
    • Viêm amidan mãn tính xuất tiết. Hình ảnh niêm mạc họng xung huyết đỏ, tiết nhiều chất nhầy trong và hơi dính vào thành sau họng.
    • Viêm amidan mãn tính quá phải: Viêm họng hạt. Niêm mạch họng đỏ, dày lên. Tổ chức hạch bạch huyết quá phát thành nhiều đám to nhỏ tập trung hoặc rải rác ở dọc phía sau.
    • Viêm amidan teo: Hình ảnh niêm mạc họng mỏng, teo dần, trở nên khô do những tuyến nhầy dưới niêm mạc cũng teo đi, giảm tiết. Họng màu hồng nhợt nhạt, đóng vảy vàng, khô. Thường gặp ở người lớn tuổi, người bị bệnh trĩ mũi.
    Hình ảnh viêm amidan mãn tính

    Hình ảnh viêm amidan hạt

    Đây là một thể đặc biệt của viêm họng mãn tính quá phát.

    Hình ảnh viêm amidan hạt

    Hình ảnh viêm amidan hoại tử

    • Bệnh thường xảy ra ở cả người lớn và trẻ nhỏ sống tập thể.
    • Quan sát vòm họng sẽ thấy giả mạc có màu trắng xám. Sau đó phát triển thành vết loét rộng trên amidan một bên. Vết loét này được bao phủ bằng chất tiết có màu vàng nhạt.
    • Kèm theo đó là tình trạng hơi thở có mùi hôi thối, người mệt mỏi, sốt nhẹ.

    Trên đây là hình ảnh viêm amidan của từng loại. Hy vọng rằng những thông tin này giúp bạn có thể tự chẩn đoán sơ bộ được mình có bị viêm amidan hay không hoặc đang mắc loại nào. Để có thể xác định được chính xác nhất thì bạn nên đến bệnh viện chuyên khoa để bác sĩ thăm khám khi thấy cổ họng có dấu hiệu bất thường. Tuyệt đối, những hình ảnh viêm amidan để bạn tham khảo chứ không được dựa theo chẩn đoán của mình mà tự mua thuốc về chữa viêm amidan. Điều này có thể khiến bệnh khó chữa hơn và ảnh hưởng nghiêm trọng đến sức khỏe.

    Nhân Tâm

    Có thể bạn quan tâm

    Thông tin và sản phẩm gợi ý trong bài viết chỉ mang tính chất tham khảo, vui lòng liên hệ với Bác sĩ, Dược sĩ hoặc chuyên viên y tế để được tư vấn cụ thể. Xem thêm

    Dược sĩ Đại họcTrần Huỳnh Minh Nhật

    Đã kiểm duyệt nội dung

    Dược sĩ chuyên khoa Dược lý - Dược lâm sàng. Tốt nghiệp 2 trường đại học Mở và Y Dược TP. Hồ Chí Minh. Có kinh nghiệm nghiên cứu về lĩnh vực sức khỏe, đạt được nhiều giải thưởng khoa học. Hiện là Dược sĩ chuyên môn phụ trách xây dựng nội dung và triển khai dự án đào tạo - Hội đồng chuyên môn tại Nhà thuốc Long Châu.

    Xem thêm thông tin