Tốt nghiệp đại học Khoa Dược. Có kinh nghiệm hơn 10 năm trong lĩnh vực Dược phẩm, tư vấn thuốc và thực phẩm chức năng. Hiện đang là giảng viên cho Dược sĩ tại Nhà thuốc Long Châu.
19/01/2024
Mặc định
Lớn hơn
Hở chân răng là vấn đề phổ biến trong nha khoa và có thể gây ra nhiều rủi ro nếu không chữa trị kịp thời. Vậy nguyên nhân dẫn đến tình trạng này là gì và cách phòng ngừa ra sao? Hãy cùng tìm hiểu chi tiết hơn trong bài viết dưới đây nhé!
Hở chân răng là tình trạng khi mảng vi khuẩn tích tụ trên bề mặt răng và gây ra tổn thương cho lớp men răng, khiến cho răng trở nên nhạy cảm và dễ bị sâu răng. Nếu không được chữa trị kịp thời, hở chân răng có thể dẫn đến những vấn đề nghiêm trọng, bao gồm viêm nha chu, viêm lợi, và thậm chí là mất răng.
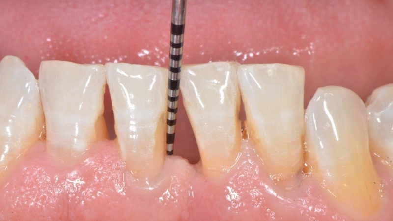
Hở chân răng là tình trạng xảy ra khi các mô lợi xung quanh răng bị mòn và bị kéo ngược trở lại từ bề mặt răng. Đây là một trong những bệnh lý răng miệng phổ biến và có thể gặp phải ở nhiều độ tuổi khác nhau. Trong khi đó, tỷ lệ hở chân răng nhiều nhất là ở độ tuổi trung niên. Hở chân răng thường xảy ra do một số nguyên nhân sau đây:

Những triệu chứng phổ biến của hở chân răng thường bao gồm:
Tình trạng hở chân răng không chỉ khiến nhiều người mất tự tin khi giao tiếp, mà còn có thể gây ra nhiều hậu quả nghiêm trọng nếu không được điều trị kịp thời. Trong đó, tụt nướu chân răng là một trong những biểu hiện thường gặp. Tụt nướu chân răng có thể gây ra nhiều vấn đề khác nhau, bao gồm:
Tụt nướu chân răng làm cho răng trông dài hơn và kích thước không đều, gây mất thẩm mỹ. Bên cạnh đó, tình trạng này cũng làm cho vi khuẩn dễ tấn công vào chân răng và các mô nướu, dẫn đến các bệnh răng miệng như sâu răng, viêm nha chu... và khiến nhiều người bệnh mất tự tin trong giao tiếp.
Tụt sâu phần lợi răng làm cho ngà răng lộ ra nhiều hơn, tạo cơ hội cho vi khuẩn tấn công tủy răng và gây mòn cổ chân răng do việc vệ sinh không đúng cách. Lúc này, răng trở nên nhạy cảm hơn, khiến người bệnh cảm thấy khó chịu khi ăn uống và nói chuyện, và có thể dẫn đến các triệu chứng ê buốt kéo dài, đặc biệt khi ăn đồ lạnh.
Tình trạng hở cổ chân răng khiến người bệnh dễ bị chảy máu chân răng trong quá trình ăn uống và vệ sinh răng miệng. Khi nhai thức ăn cứng, dùng bàn chải hoặc chỉ nha khoa cũng có thể gây tổn thương nướu răng. Nếu tình trạng tụt lợi kéo dài thì các mô nướu sẽ càng yếu ớt, gây chảy máu chân răng liên tục, hơi thở có mùi và đau răng kéo dài.

Nếu không được điều trị kịp thời, tình trạng hở cổ răng có thể dẫn đến mất răng vĩnh viễn. Vi khuẩn tấn công chân răng khiến chúng dễ bị lung lay và có thể gãy rụng sau một thời gian. Việc mất răng sẽ ảnh hưởng nghiêm trọng đến sức khỏe và chất lượng cuộc sống của người bệnh.
Trong trường hợp bệnh nhân mất răng, sự mất cân bằng giữa các răng có thể dẫn đến sự dịch chuyển và lệch hình dạng của các răng còn lại trong miệng. Việc này có thể làm giảm khả năng cắn, nghiền thức ăn và gây ra đau đớn và bệnh lý khớp hàm. Bên cạnh đó, mất răng cũng ảnh hưởng đến ngoại hình, gây ra sự mất tự tin trong giao tiếp và ảnh hưởng đến chất lượng cuộc sống của người bệnh.
Khi bị hở chân răng, bạn nên thực hiện các bước sau để giảm thiểu tình trạng này và bảo vệ răng miệng của mình:
Niềng răng là phương pháp phổ biến để điều trị hở chân răng. Bác sĩ sẽ dùng các kìm niềng và dây thép để đưa răng về vị trí ban đầu. Trong quá trình này, người bệnh sẽ cần đến bác sĩ thường xuyên để thay đổi dây thép và điều chỉnh niềng. Thời gian điều trị bằng niềng răng thường kéo dài từ vài tháng đến vài năm, tùy vào mức độ hở chân răng và tình trạng của răng của bệnh nhân.
Phương pháp thẩm mỹ răng là phương pháp khác để điều trị hở chân răng. Bác sĩ sẽ sử dụng các kỹ thuật thẩm mỹ như veneer, răng sứ để phủ lên phần hở chân răng. Kỹ thuật này giúp cho răng của bệnh nhân trở nên đều đẹp hơn, giúp cải thiện thẩm mỹ răng một cách nhanh chóng và hiệu quả.
Chỉnh hình răng là phương pháp khác để điều trị hở chân răng. Bác sĩ sẽ sử dụng các kỹ thuật như Invisalign, bọc tủy răng, mão dây răng để đưa răng về vị trí ban đầu. Thời gian điều trị bằng phương pháp này tùy thuộc vào mức độ hở chân răng và tình trạng răng của bệnh nhân.

Cấy ghép răng là phương pháp cuối cùng được sử dụng khi mất răng vĩnh viễn. Bác sĩ sẽ sử dụng một cụm răng giả được đặt vào trong xương hàm để thay thế cho răng bị mất. Quá trình cấy ghép răng sẽ bao gồm nhiều bước, từ lấy xương tủy cho đến thực hiện phẫu thuật để đặt răng giả. Việc lựa chọn phương pháp cấy ghép răng thích hợp sẽ phụ thuộc vào tình trạng răng của bệnh nhân và kinh nghiệm của bác sĩ.
Để giảm thiểu nguy cơ bị hở chân răng, bạn có thể thực hiện một số biện pháp phòng ngừa sau:
Trên đây là một số thông tin về tình trạng hở chân răng. Hy vọng sẽ giúp bạn có thêm nhiều thông tin hữu ích về cách điều trị và phòng ngừa để bảo vệ sức khỏe răng miệng luôn ở tình trạng tốt nhất nhé!
Xem thêm:
Nhật Lệ
Nguồn tham khảo: Tổng hợp
Dược sĩ Đại họcNguyễn Thị Hồng Nhung
Tốt nghiệp đại học Khoa Dược. Có kinh nghiệm hơn 10 năm trong lĩnh vực Dược phẩm, tư vấn thuốc và thực phẩm chức năng. Hiện đang là giảng viên cho Dược sĩ tại Nhà thuốc Long Châu.