• Thực phẩm chức năng

  • Dược mỹ phẩm

  • Thuốc

  • Chăm sóc cá nhân

  • Thiết bị y tế

  • Tiêm chủng

  • Bệnh & Góc sức khỏe

  • Hệ thống nhà thuốc

    1. /
    2. Góc sức khỏe/
    3. Phòng bệnh & Sống khoẻ/
    4. Kiến thức y khoa

    Hồng cầu hình bia là gì? Dấu hiệu cảnh báo vấn đề sức khỏe nào?

    Ngọc Diễm

    07/04/2026

    Kích thước chữ

    Khi xem kết quả xét nghiệm máu hoặc tiêu bản máu ngoại vi, nhiều người có thể bắt gặp thuật ngữ hồng cầu hình bia và cảm thấy khá lo lắng vì chưa hiểu rõ ý nghĩa của nó. Vậy loại hồng cầu đó là gì và sự xuất hiện của chúng có thể là dấu hiệu cảnh báo vấn đề sức khỏe nào mà chúng ta cần quan tâm?

    Để làm rõ ý nghĩa của dấu hiệu này, cần xem xét kỹ đặc điểm hình dạng của hồng cầu, nguyên nhân khiến chúng thay đổi cũng như mối liên hệ với các tình trạng bệnh lý thường gặp. Việc hiểu đúng bản chất sẽ giúp người đọc tránh suy diễn quá mức và có cái nhìn chính xác hơn khi tiếp cận các thông tin y khoa liên quan.

    Hồng cầu hình bia là gì?

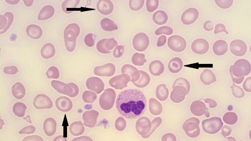
    Hồng cầu hình bia là một dạng biến đổi hình thái của hồng cầu, trong đó tế bào có hình giống bia bắn khi quan sát dưới kính hiển vi. Đặc điểm của loại hồng cầu này là phần trung tâm đậm màu, xung quanh nhạt màu và có viền đậm ở rìa ngoài, khác với hình dạng tròn đều bình thường của hồng cầu khỏe mạnh.

    Sự xuất hiện của hồng cầu hình bia thường được phát hiện qua xét nghiệm máu hoặc tiêu bản máu ngoại vi và có ý nghĩa hỗ trợ bác sĩ trong việc đánh giá một số tình trạng liên quan đến máu, gan hoặc rối loạn chuyển hóa. Tuy nhiên, đây không phải là bệnh, mà là một dấu hiệu hình thái cần được xem xét trong bối cảnh lâm sàng cụ thể.

    “Hồng cầu hình bia là gì?” chắc hẳn là câu hỏi mà nhiều người thắc mắc khi đi xét nghiệm máu
    “Hồng cầu hình bia là gì?” chắc hẳn là câu hỏi mà nhiều người thắc mắc khi đi xét nghiệm máu

    Những nguyên nhân gây nên hồng cầu hình bia

    Sự xuất hiện của dạng hồng cầu này không xảy ra một cách ngẫu nhiên mà thường phản ánh những thay đổi nhất định trong cơ thể.Tìm hiểu những nguyên nhân gây nên hồng cầu hình bia sẽ giúp người đọc hiểu rõ hơn mối liên hệ giữa hình thái hồng cầu và các tình trạng sức khỏe tiềm ẩn, từ đó có cái nhìn đúng đắn khi đọc kết quả xét nghiệm máu:

    • Các bệnh lý về gan: Gan đóng vai trò quan trọng trong chuyển hóa lipid và protein của màng hồng cầu. Khi gan bị tổn thương hoặc suy giảm chức năng, thành phần lipid trong màng tế bào có thể thay đổi, làm hồng cầu biến dạng và xuất hiện hình ảnh hình bia trên tiêu bản máu.
    • Thiếu máu do rối loạn hemoglobin: Trong một số loại thiếu máu, quá trình tổng hợp hemoglobin không diễn ra bình thường, khiến phân bố hemoglobin trong hồng cầu không đồng đều. Điều này làm trung tâm hồng cầu đậm màu hơn và tạo nên hình dạng đặc trưng giống bia bắn.
    • Bệnh thalassemia và các rối loạn huyết học di truyền: Đây là nhóm nguyên nhân khá thường gặp, trong đó gen liên quan đến việc tạo hemoglobin bị bất thường. Sự mất cân bằng giữa kích thước tế bào và lượng hemoglobin khiến hồng cầu dễ biến dạng, trong đó có hình bia.
    • Sau cắt lách hoặc giảm chức năng lách: Lách có nhiệm vụ loại bỏ các hồng cầu bất thường ra khỏi tuần hoàn. Khi lách bị cắt bỏ hoặc hoạt động kém hiệu quả, các hồng cầu có hình dạng không bình thường sẽ tồn tại lâu hơn trong máu ngoại vi.
    • Thiếu sắt hoặc rối loạn chuyển hóa sắt: Sắt là thành phần thiết yếu để tổng hợp hemoglobin. Khi cơ thể thiếu sắt hoặc sử dụng sắt không hiệu quả, cấu trúc hồng cầu có thể bị thay đổi dẫn đến sự xuất hiện của các dạng hình thái bất thường.
    • Một số bệnh lý mãn tính kéo dài: Các bệnh mãn tính có thể ảnh hưởng gián tiếp đến quá trình tạo máu và chuyển hóa trong cơ thể. Theo thời gian, những thay đổi này có thể làm hồng cầu biến dạng và xuất hiện hình bia trong xét nghiệm máu.
    Rối loạn chức năng gan có thể liên quan đến sự xuất hiện của hồng cầu dạng hình bia
    Rối loạn chức năng gan có thể liên quan đến sự xuất hiện của hồng cầu dạng hình bia

    Hồng cầu hình bia liên quan đến bệnh lý nào?

    Sự xuất hiện của hồng cầu hình bia trên tiêu bản máu không chỉ mang ý nghĩa hình thái học, mà còn là dấu hiệu gợi ý nhiều tình trạng bệnh lý tiềm ẩn trong cơ thể. Trong thực hành lâm sàng, hình ảnh này thường được ghi nhận ở các nhóm bệnh sau:

    • Các bệnh lý về gan: Hồng cầu hình bia thường được ghi nhận ở người mắc các bệnh gan mãn tính như viêm gan, xơ gan hoặc suy giảm chức năng gan. Trong những trường hợp này, rối loạn chuyển hóa tại gan có thể ảnh hưởng đến cấu trúc màng hồng cầu, khiến hình thái tế bào thay đổi và được phát hiện qua xét nghiệm máu ngoại vi.
    • Các dạng thiếu máu liên quan đến hemoglobin: Khi quá trình tổng hợp hoặc phân bố hemoglobin trong hồng cầu bị rối loạn, tế bào máu có thể xuất hiện sự chênh lệch rõ rệt giữa vùng trung tâm và ngoại vi. Điều này làm nổi bật hình ảnh hình bia trên tiêu bản máu và thường đi kèm với các biểu hiện thiếu máu trên lâm sàng.
    • Thalassemia và các bệnh huyết học di truyền: Đây là nhóm bệnh có mối liên quan chặt chẽ với hồng cầu hình bia. Do bất thường gen ảnh hưởng đến việc tạo hemoglobin, hồng cầu thường có kích thước nhỏ và hàm lượng hemoglobin không cân xứng, từ đó dễ xuất hiện hình thái đặc trưng và đóng vai trò gợi ý quan trọng trong chẩn đoán.
    • Các bệnh mãn tính kéo dài: Một số bệnh mãn tính có thể gây ảnh hưởng lâu dài đến quá trình tạo máu và điều hòa chuyển hóa trong cơ thể. Theo thời gian, những rối loạn này có thể làm thay đổi hình thái hồng cầu, trong đó có sự xuất hiện của hồng cầu hình bia trên xét nghiệm máu.
    Hồng cầu dạng hình bia có thể liên quan đến bệnh thiếu máu, phản ánh rối loạn trong quá trình tạo hemoglobin
    Hồng cầu dạng hình bia có thể liên quan đến bệnh thiếu máu, phản ánh rối loạn trong quá trình tạo hemoglobin

    Xuất hiện hồng cầu hình bia có nguy hiểm không?

    Trên thực tế, hồng cầu hình bia không phải là một bệnh, mà là một dấu hiệu hình thái được phát hiện qua xét nghiệm máu. Mức độ ảnh hưởng đến sức khỏe phụ thuộc chủ yếu vào nguyên nhân gây ra sự thay đổi này:

    • Trong một số trường hợp nhẹ hoặc tạm thời, hồng cầu hình bia có thể xuất hiện mà không gây triệu chứng rõ ràng, không ảnh hưởng nhiều đến sức khỏe và chỉ cần theo dõi thêm.
    • Tuy nhiên, nếu tình trạng này xuất hiện với số lượng nhiều hoặc kéo dài, nó có thể liên quan đến các bệnh lý nền như rối loạn huyết học, bệnh gan, thiếu máu hoặc các bệnh mãn tính, khi đó cần được đánh giá kỹ hơn.
    Hồng cầu dạng hình bia thường không nguy hiểm nhưng cần được theo dõi
    Hồng cầu dạng hình bia thường không nguy hiểm nhưng cần được theo dõi

    Hồng cầu hình bia là một dạng thay đổi hình thái của hồng cầu, thường được phát hiện thông qua xét nghiệm máu và có ý nghĩa gợi ý trong việc đánh giá tình trạng sức khỏe. Vì vậy, việc hiểu đúng bản chất của hồng cầu hình bia, kết hợp theo dõi các chỉ số xét nghiệm khác và tư vấn từ bác sĩ chuyên khoa sẽ giúp người đọc tránh lo lắng không cần thiết và chủ động hơn trong việc chăm sóc sức khỏe.

    Xem thêm:

    Thể tích trung bình hồng cầu: Ý nghĩa trong xét nghiệm máu

    Có thể bạn chưa biết nên ăn gì để giảm hồng cầu trong máu

    Có thể bạn quan tâm

    Thông tin và sản phẩm gợi ý trong bài viết chỉ mang tính chất tham khảo, vui lòng liên hệ với Bác sĩ, Dược sĩ hoặc chuyên viên y tế để được tư vấn cụ thể. Xem thêm

    Dược sĩ Đại họcNguyễn Mỹ Huyền

    Đã kiểm duyệt nội dung

    Dược sĩ Đại học có nhiều năm kinh nghiệm trong việc tư vấn Dược phẩm và hỗ trợ giải đáp thắc mắc về Bệnh học. Hiện đang là giảng viên cho Dược sĩ tại Nhà thuốc Long Châu.

    Xem thêm thông tin