Tốt nghiệp loại giỏi trường Đại học Y Dược Huế. Từng tham gia nghiên cứu khoa học đề tài về Dược liệu. Nhiều năm kinh nghiệm làm việc trong lĩnh vực Dược phẩm. Hiện đang là giảng viên cho Dược sĩ tại Nhà thuốc Long Châu.
Văn Khang
14/05/2025
Mặc định
Lớn hơn
Vài năm gần đây, trẻ bị ngược khớp cắn không còn là tình trạng hiếm gặp. Vậy khớp cắn ngược ở trẻ em có nguy hiểm không? Điều trị thế nào cho hiệu quả?
Tình trạng khớp cắn ngược ở trẻ em không chỉ ảnh hưởng đến ngoại hình mà còn gây khó khăn trong việc ăn uống và sức khỏe răng miệng sau này. Vậy làm sao để điều trị khớp cắn ở trẻ một cách hiệu quả để tránh các biến chứng nguy hiểm?
Hãy cùng Nhà Thuốc Long Châu tìm hiểu câu trả lời cho thắc mắc này của nhiều phụ huynh để đảm bảo trẻ có nụ cười khỏe mạnh khi lớn lên nhé!
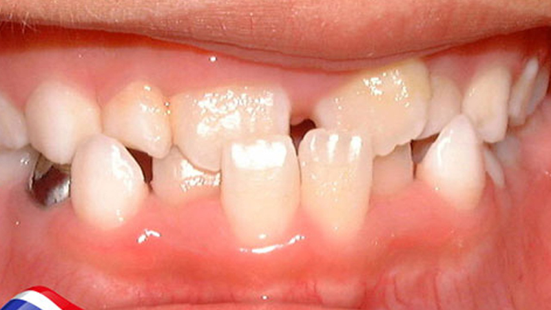
Khớp cắn ngược, hay còn gọi là móm, là tình trạng khi hai hàm răng không khớp nhau đúng cách, thường rõ ràng khi trẻ thay răng. Dấu hiệu nhận biết bao gồm:

Trẻ bị khớp cắn ngược có thể do một số nguyên nhân như sau:
Sự khác biệt trong thời gian mọc răng giữa các răng có thể gây ra khớp cắn ngược ở trẻ. Cụ thể, khi răng cửa hàm trên mọc chậm hơn so với răng cửa hàm dưới, nó sẽ cản trở sự phát triển của răng hàm trên. Điều này dẫn đến tình trạng khớp cắn ngược, làm cho khuôn mặt trở nên gãy hoặc lõm, ảnh hưởng đến thẩm mỹ.
Khớp cắn ngược ở trẻ cũng có thể xuất phát từ sự phát triển quá mức của xương hàm dưới hoặc sự kém phát triển của xương hàm trên. Khi kích thước xương hàm trên bị hạn chế (theo chiều ngang và chiều trước - sau), răng cửa hàm trên nằm bên trong răng cửa hàm dưới, gây mất thẩm mỹ và cản trở quá trình ăn nhai. Tình trạng này thường gặp ở trẻ bị dị tật khe hở vòm miệng.

Ngoài ra, một vài yếu tố khác cũng có thể dẫn đến tình trạng khớp cắn ngược ở trẻ nhỏ, chẳng hạn như:
Khớp cắn ngược là một dạng sai lệch khớp cắn nghiêm trọng, có thể ảnh hưởng xấu đến sự phát triển của trẻ nếu không được điều trị. Cụ thể:
Khớp cắn ngược ở răng sữa nếu không được điều trị kịp thời sẽ dẫn đến tình trạng tương tự ở răng vĩnh viễn. Khi trẻ lớn, xương hàm phát triển rộng hơn, làm khuôn mặt mất cân đối và ảnh hưởng đến tâm lý khi giao tiếp.
Khi bị khớp cắn ngược, hai hàm răng không cắn khít, làm chức năng ăn nhai bị ảnh hưởng và thức ăn không được nghiền nát đúng cách.
Khớp cắn ngược khiến lực tác động lên răng và xương hàm phân bố không đều, dẫn đến rối loạn chuyển động của xương hàm dưới, khớp hàm thái dương và các bệnh lý về thái dương hàm.
Cấu trúc hàm bị lệch có thể gây ra nhiều vấn đề cho trẻ, bao gồm nói lắp và nói ngọng, ảnh hưởng xấu đến khả năng giao tiếp của trẻ. Điều chỉnh khớp cắn ngược ngay từ khi răng sữa mới mọc là rất cần thiết.
Nếu để tình trạng này kéo dài, việc điều trị sẽ trở nên khó khăn hơn và tốn nhiều thời gian, thậm chí có thể cần phẫu thuật nếu khớp cắn ngược do xương nghiêm trọng.

Tùy vào tình trạng cụ thể và độ tuổi của trẻ khi đi khám, bác sĩ sẽ tư vấn phương pháp điều trị phù hợp nhất.
Khí cụ Facemask là một công cụ chức năng đặc biệt hiệu quả trong việc điều chỉnh xương hàm móm, đặc biệt cho trẻ em có hàm trên kém phát triển và hàm dưới phát triển quá mức, thường được gọi là móm xương. Thiết bị này phát huy tác dụng tốt nhất trong giai đoạn "vàng" của sự phát triển xương hàm, từ 5 đến 12 tuổi.
Facemask được thiết kế để tạo lực kéo từ trán và cằm, nhằm dịch chuyển xương hàm trên ra phía trước và điều chỉnh tốc độ tăng trưởng của xương hàm dưới. Đồng thời, nó giúp giảm nguy cơ tụt lợi ở vùng răng cửa hàm dưới, cải thiện tương quan xương, tăng cường thẩm mỹ cho toàn gương mặt, và khắc phục tình trạng móm hoàn toàn.

Niềng răng mắc cài kết hợp cung Meaw là một phương pháp tối ưu để điều trị tình trạng khớp cắn ngược ở trẻ từ 12 tuổi trở lên. Phương pháp này sử dụng bộ dụng cụ nha khoa chuyên dụng để tạo lực siết răng vừa đủ, giúp điều chỉnh các khớp cắn sai lệch về đúng vị trí. Nhờ vậy, trẻ sẽ khắc phục được tình trạng móm, lấy lại nụ cười chuẩn khớp cắn, khỏe mạnh và tự tin.
Đối với trẻ dưới 12 tuổi, bác sĩ có thể kết hợp niềng răng mắc cài thông thường với việc sử dụng Facemask. Trong khi đó, với trẻ từ 13 tuổi trở lên, bác sĩ có thể kết hợp chỉnh nha và sử dụng cung Meaw để điều chỉnh móm.
Đây là phương pháp chỉnh nha hiện đại sử dụng khay niềng trong suốt được tùy chỉnh với từng cá nhân, ôm sát cung răng và dễ tháo lắp để tiện cho việc ăn uống và vệ sinh răng. Niềng răng trong suốt không chỉ đảm bảo tính thẩm mỹ mà còn giúp tối ưu hóa việc di chuyển răng.
Tuy nhiên, đối với trường hợp sai lệch móm xương, đặc biệt là khi có sai lệch khớp cắn nghiêm trọng, phương pháp này không được khuyến khích trong giai đoạn đầu điều trị chỉnh xương. Trẻ cần phải được điều trị với thiết bị chuyên dụng như Facemask khi còn ở độ tuổi vàng để điều chỉnh móm xương.
Chỉ khi móm xương đã được điều chỉnh hoàn toàn vào khoảng độ tuổi 12 - 13, thì phương pháp niềng răng trong suốt mới có thể được áp dụng. Tuy nhiên, quyết định sử dụng khay niềng hay mắc cài kết hợp cung Meaw trong giai đoạn này sẽ do bác sĩ chỉnh nha quyết định, bởi móm xương là một vấn đề phức tạp và xương hàm dưới vẫn còn tiếp tục phát triển cho đến khi trẻ đạt độ tuổi 18.
Đối với người trên 13 tuổi và người lớn, bác sĩ có thể gợi ý điều trị móm xương bằng phương pháp cung Meaw (hay còn gọi là cung đa loop phân đoạn). Phương pháp này nhằm mục đích xoay hàm dưới về phía sau và điều chỉnh lại vị trí của các răng trên cung hàm.
Ưu điểm của việc điều trị bằng cung Meaw là không cần phẫu thuật mà vẫn có thể sửa chữa nhiều vấn đề về khớp cắn, đặc biệt là móm xương, cắn hở và khớp cắn loại 3.
Tóm lại, khớp cắn ngược ở trẻ em có thể gây ra nhiều vấn đề nghiêm trọng nếu không được phát hiện và điều trị kịp thời. Các biến chứng có thể bao gồm vấn đề về ăn uống, khó khăn trong việc nói, và sự phát triển không đều của khuôn mặt. Vì vậy, việc phát hiện sớm và can thiệp kịp thời là vô cùng quan trọng.
Xem thêm:
Dược sĩ Đại họcNgô Kim Thúy
Tốt nghiệp loại giỏi trường Đại học Y Dược Huế. Từng tham gia nghiên cứu khoa học đề tài về Dược liệu. Nhiều năm kinh nghiệm làm việc trong lĩnh vực Dược phẩm. Hiện đang là giảng viên cho Dược sĩ tại Nhà thuốc Long Châu.