• Thực phẩm chức năng

  • Dược mỹ phẩm

  • Thuốc

  • Chăm sóc cá nhân

  • Thiết bị y tế

  • Tiêm chủng

  • Bệnh & Góc sức khỏe

  • Hệ thống nhà thuốc

    1. /
    2. Góc sức khỏe/
    3. Phòng bệnh & Sống khoẻ

    Lao phổi là gì? Có nguy hiểm không?

    21/06/2023

    Kích thước chữ

    Bệnh lao phổi được biết đến là một căn bệnh truyền nhiễm gây ra nhiều biến chứng nguy hiểm đến sức khỏe. Vậy lao phổi là gì? Để tìm hiểu thêm về những kiến thức y khoa về căn bệnh này, mời bạn tham khảo bài viết dưới đây.

    Bệnh lao phổi là một căn bệnh truyền nhiễm nguy hiểm. Nó đã cướp đi sinh mạng của hơn 1,5 triệu người mỗi năm. Nếu không phát hiện và điều trị kịp thời, lao phổi có khả năng lây lan nhanh trong cộng đồng. Vậy lao phổi là gì?

    Lao phổi là gì?

    Bệnh lao phổi là gì? Đây là một bệnh truyền nhiễm gây nên do vi khuẩn lao ở phổi của người bệnh.

    Lao phổi xảy ra khi vi khuẩn Mycobacterium tuberculosis tấn công trực tiếp vào phổi và phá hủy các mô tế bào của cơ quan này. Nếu lao phổi không sớm được chữa trị, vi khuẩn có thể sẽ lây sang nhiều cơ quan khác trong cơ thể.

    Sau khi xâm nhập vào cơ thể, không phải lúc nào vi khuẩn lao cũng ngay lập tức gây bệnh. Do đó, tình trạng nhiễm khuẩn lao được chia thành hai trường hợp, gồm:

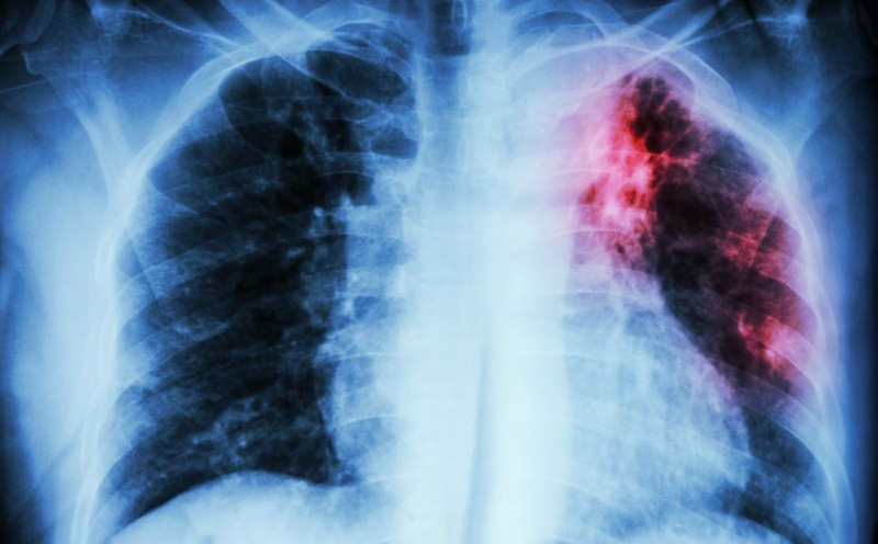
    Lao phổi là gì Lao phổi xảy ra khi vi khuẩn Mycobacterium tuberculosis tấn công trực tiếp vào phổi và phá hủy các mô tế bào
    • Bệnh lao tiềm ẩn: Là trưởng hợp người khỏe mạnh mang mầm bệnh lao trong người nhưng không xuất hiện triệu chứng lao phổi. Điều này là do hệ miễn dịch đủ mạnh để kiềm chế vi khuẩn.
    • Bệnh lao phổi có biểu hiện lâm sàng: Khoảng 5 – 10% người bị nhiễm khuẩn M. tuberculosis sẽ bị bệnh lao phổi nếu không được phát hiện và chữa trị kịp thời. Theo số liệu của Trung tâm kiểm soát và phòng ngừa dịch bệnh (CDC), 50% trong số trường hợp trên sẽ phát bệnh sau 2 – 5 năm kể từ thời điểm nhiễm trùng. Giai đoạn này được gọi là thời gian ủ bệnh lao.

    Thực trạng bệnh lao phổi ở Việt Nam

    Theo văn phòng Tổ chức Y tế Thế giới WHO tại Việt Nam, mỗi năm nước ta có đến 180000 ca bệnh lao. Và con số tử vong do lao lên đến 17000. Con số ngày cao gấp đôi so với số người tử vong do tai nạn giao thông.

    Không chỉ thế, Việt Nam còn nằm trong nhớm 27 quốc gia có gánh nặng bệnh lao kháng đa thuốc cao. Số ca bệnh kháng thuốc lên đến 3500 ca mỗi năm.

    Các yếu tố làm tăng nguy cơ mắc bệnh lao phổi là gì?

    Tất cả mọi người đều có nguy cơ mắc phải bệnh lao phổi Tất cả mọi người đều có nguy cơ mắc phải bệnh lao phổi

    Tất cả mọi người đều có nguy cơ mắc phải bệnh lao phổi. Tuy nhiên, nguy cơ mắc bệnh ở một số người có thể cao hơn bình thường bởi nhiều nguyên do khác nhau.

    Một trong những nguyên nhân phổ biến là do suy giảm hệ miễn dịch. Hệ miễn dịch yếu có thể là do một số nguyên nhân sau:

    • Nhiễm HIV.
    • Mắc một số bệnh lý mãn tính như đái tháo đường, loét dạ dày, suy thận mạn, ung thư,...
    • Nghiện ma túy, rượu bia, thuốc lá.
    • Quá trình trị liệu kéo dài với một số loại thuốc tiêm tĩnh mạch, hóa chất điều trị ung thư, corticoid,...
    • Sử dụng thuốc ức chế miễn dịch.
    • Sử dụng thuốc điều trị viêm khớp dạng thấp, vảy nến và bệnh crohn,...
    • Suy dinh dưỡng.

    Bên cạnh đó, việc đi đến hoặc sinh sống ở một số khu vực như châu Phi, Đông Âu, Nga, châu Á, Nam Mỹ và quần đảo Caribe cũng khiến nguy cơ mắc bệnh lao phổi tăng cao. Bởi vì những địa điểm này có tỷ lệ nhiễm lao và bệnh lao kháng thuốc cao.

    Bệnh lao phổi nguy hiểm như thế nào?

    sự nguy hiểm của bệnh lao phổi Nếu không được chẩn đoán và can thiệp điều trị kịp thời, vi khuẩn lao có thể lây lan khắp cơ thể

    Mặc dù đây là căn bệnh vô cùng phổ biến ở Việt Nam. Nhưng trên thực tế, nhiều người vẫn mang tâm lý chủ quan do không biết bệnh lao phổi nguy hiểm như thế nào. Việc này dẫn đến sự chậm trễ trong điều trị. Từ đó ảnh hưởng đến hiệu quả chữa trị, thậm chí còn tạo điều kiện phát triển biến chứng nghiêm trọng và cuối cùng dẫn đến tử vong.

    Nếu không được chẩn đoán và can thiệp điều trị kịp thời, vi khuẩn lao có thể lây lan khắp cơ thể. Từ đó phát sinh ra hàng loạt các vấn đề ảnh hưởng đến hệ tim mạch. Không những vậy, quá trình trao đổi chất cũng như chức năng của các cơ quan khác cũng bị ảnh hưởng.

    Trong một số trường hợp nghiêm trọng, bệnh lao phổi còn có nguy cơ dẫn đến tình trạng nhiễm trùng đường huyết. Đây là tình trạng nhiễm trùng rất nguy hiểm. Nó có thể đe dọa đến tính mạng người bệnh với tỷ lệ tử vong cao.

    Bệnh lao phổi là một trong những bệnh viêm đường hô hấp dưới phổ biến nhất trong xã hội hiện nay. Mặc dù nó có thể chữa khỏi hoàn toàn nhưng sẽ mất nhiều thời gian do quá trình điều trị kéo dài. Vì vậy bạn cần có những biện pháp phòng ngừa bệnh ngay từ ban đầu. Nếu nhận thấy các dấu hiệu bất thường, hãy lập tức đến ngay các bệnh viện gần nhất để được chẩn đoán, điều trị kịp thời. Tốt nhất là nên đi khám sức khỏe định kỳ để đảm bảo sức khỏe tổng thể của bản thân.

    Hy vọng qua bài viết trên bạn đã có thêm thông tin về "Lao phổi là gì", cũng như những biến chứng tiềm ẩn của căn bệnh nguy hiểm này.

    Ngọc Hiếu

    Nguồn tham khảo: Tổng hợp

    Thông tin và sản phẩm gợi ý trong bài viết chỉ mang tính chất tham khảo, vui lòng liên hệ với Bác sĩ, Dược sĩ hoặc chuyên viên y tế để được tư vấn cụ thể. Xem thêm

    Dược sĩ Đại họcPhạm Nguyễn Hoàng Kim

    Đã kiểm duyệt nội dung

    Dược sĩ chuyên ngành Dược lâm sàng, với nhiều năm kinh nghiệm làm việc trong lĩnh vực dược phẩm. Là Dược sĩ Long Châu đạt được chứng chỉ bệnh học cấp quốc tế. Hiện đang là giảng viên tại Trung tâm Đào tạo FPT Long Châu.

    Xem thêm thông tin
    Chủ đề:bệnh lao