• Thực phẩm chức năng

  • Dược mỹ phẩm

  • Thuốc

  • Chăm sóc cá nhân

  • Thiết bị y tế

  • Tiêm chủng

  • Bệnh & Góc sức khỏe

  • Hệ thống nhà thuốc

    1. /
    2. Góc sức khỏe/
    3. Phòng bệnh & Sống khoẻ/
    4. Kiến thức y khoa

    Lợi ích và quy trình thực hiện phẫu thuật ghép lợi

    Kim Huệ

    25/09/2024

    Kích thước chữ

    Phẫu thuật ghép lợi là giải pháp thường được sử dụng để cải thiện tình trạng nướu tụt khỏi vị trí thông thường làm lộ chân răng, làm ê buốt khi ăn uống. Ngoài việc ảnh hưởng đến việc ăn uống, còn gây mất thẩm mỹ khá nhiều. Vậy nên thực hiện phẫu thuật ghép nướu thường được thực hiện.

    Ghép lợi là kỹ thuật không quá xa lạ đối với các nha khoa hiện nay. Nhằm giúp người bệnh cải thiện tình trạng ê buốt và cải thiện thẩm mỹ gương mặt thì phẫu thuật ghép lợi là một lựa chọn khá sáng suốt. Nhà thuốc Long Châu sẽ trình bày về phẫu thuật ghép lợi trong bài viết dưới đây.

    Lợi ích của phẫu thuật ghép lợi

    Ghép lợi, hay còn được gọi là ghép nướu, là một phương pháp tái tạo hình dạng của nướu răng để tạo ra một tỷ lệ tự nhiên giữa răng và nướu. Nó không chỉ giúp phục hồi những tổn thương nướu và ngăn chặn sự tụt lợi, mà còn có khả năng che phủ chân răng và tái tạo mô nướu một cách hiệu quả. Phẫu thuật này không chỉ giữ chắc răng mà còn giảm nguy cơ mất răng do viêm nha chu, đồng thời cũng tạo điều kiện thuận lợi cho việc cấy ghép implant sau này. Phẫu thuật ghép lợi (nướu) là một kỹ thuật nha khoa tiên tiến, mang lại nhiều hiệu quả tích cực như sau:

    • Mở rộng diện tích lợi: Phẫu thuật ghép lợi mở rộng diện tích lợi, tạo ra không gian đủ để cắm trụ implant mà không cần phải lo lắng về việc xô lệch hay không đủ không gian cho việc cấy ghép.
    • Ngăn chặn tình trạng tụt lợi và tiêu xương hàm: Kỹ thuật này giúp ngăn chặn sự tụt lợi và tiêu xương hàm, từ đó tránh được các biến đổi cấu trúc khuôn mặt của người bệnh.
    • Làm giảm sự tê buốt ở chân răng và ngăn chặn sâu răng: Phẫu thuật ghép lợi giúp giảm sự tê buốt ở chân răng do việc tái tạo lại mô nướu, đồng thời cũng ngăn chặn sự phát triển của sâu răng bằng cách tạo ra một môi trường nướu kháng khuẩn.
    • Làm bình thường hóa cho răng và lợi, tăng tính thẩm mỹ cho nụ cười: Kỹ thuật này giúp tạo ra một bề mặt lợi và một dáng răng tự nhiên, giúp cải thiện tính thẩm mỹ cho nụ cười của bệnh nhân.
    • Cải thiện hiệu quả chức năng ăn nhai của khuôn hàm: Bằng cách tái tạo lại diện tích lợi và cấu trúc mô nướu, phẫu thuật ghép lợi cải thiện hiệu quả chức năng ăn nhai, giúp bạn có thể nhai thức ăn một cách hiệu quả hơn và thoải mái hơn.
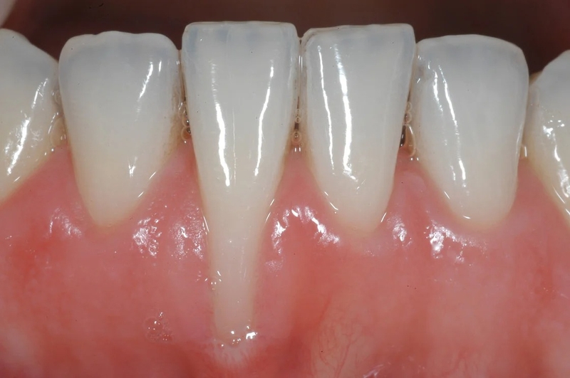
    Lợi ích và quy trình của phẫu thuật ghép lợi -1
    Phẫu thuật ghép lợi để ngăn chặn sự tụt lợi

    Tóm lại, phẫu thuật ghép lợi không chỉ giúp cải thiện sức khỏe nha khoa mà còn mang lại nhiều lợi ích về thẩm mỹ và chức năng cho bệnh nhân.

    Quy trình thực hiện phẫu thuật ghép lợi

    Quy trình phẫu thuật ghép nướu là một quá trình tiểu phẫu nhỏ nhưng đòi hỏi sự chuyên môn cao và kinh nghiệm từ bác sĩ. Dưới đây là các bước chi tiết trong quy trình phẫu thuật ghép nướu:

    Bước 1: Thăm khám và chẩn đoán

    Bệnh nhân được thăm khám và thực hiện các bước xét nghiệm, bao gồm cả chụp X-quang khoang miệng để đánh giá mức độ tổn thương của nướu. Bác sĩ sẽ dựa vào kết quả này để đưa ra phương án phẫu thuật ghép nướu phù hợp nhất cho bệnh nhân.

    Bước 2: Vệ sinh răng miệng

    Trước khi phẫu thuật, bệnh nhân sẽ được bác sĩ tiến hành vệ sinh răng miệng, bao gồm việc lấy cao răng nếu cần thiết để loại bỏ vi khuẩn và giảm thiểu nguy cơ nhiễm trùng.

    Lợi ích và quy trình của phẫu thuật ghép lợi -2
    Trước khi tiến hành phẫu thuật, người bệnh có thể cần lấy cao răng

    Bước 3: Tiến hành phẫu thuật

    Bệnh nhân được gây tê và tiến hành phẫu thuật ghép nướu trong một phòng vô trùng, đảm bảo sự an toàn và tránh lây nhiễm. Bác sĩ sẽ tiến hành ghép nướu theo kỹ thuật được lựa chọn trước đó, sử dụng các kỹ thuật như ghép mô tự thân hoặc ghép mô từ người hiến tế bào.

    Bước 4: Kiểm tra và tư vấn chăm sóc

    Sau khi phẫu thuật, bác sĩ sẽ kiểm tra kết quả và tư vấn cho bệnh nhân về cách chăm sóc sau phẫu thuật. Bệnh nhân cũng sẽ được đặt lịch tái khám và cắt chỉ sau một thời gian nhất định.

    Quy trình phẫu thuật ghép nướu được thực hiện một cách kỹ lưỡng và có mục tiêu là tái tạo lại mô nướu và cải thiện sức khỏe nha khoa của bệnh nhân.

    Lưu ý trước khi thực hiện phẫu thuật ghép lợi

    Trước khi thực hiện phẫu thuật ghép lợi, bệnh nhân cần lưu ý các điều sau:

    • Thăm khám và tư vấn: Thăm khám nha khoa để được đánh giá tình trạng nướu và xác định khả năng thực hiện phẫu thuật. Tư vấn cẩn thận với bác sĩ về các yếu tố như tình trạng sức khỏe tổng thể, lịch sử y tế, và mong muốn điều trị.
    • Xét nghiệm và kiểm tra: Thực hiện các xét nghiệm cần thiết, bao gồm cả chụp X-quang hoặc CT scan nếu cần, để đánh giá mức độ tổn thương và cấu trúc của xương hàm.
    • Loại trừ các yếu tố rủi ro: Báo cáo cho bác sĩ về mọi yếu tố rủi ro tiềm ẩn như các tình trạng y tế hiện có, thuốc đang sử dụng, hoặc vấn đề nha khoa khác. Loại bỏ các yếu tố rủi ro này trước khi phẫu thuật để đảm bảo an toàn cho quá trình điều trị.
    • Chuẩn bị tinh thần: Hiểu rõ về quy trình phẫu thuật, các phương pháp điều trị khả dụng, và kỳ vọng sau phẫu thuật. Chuẩn bị tinh thần về các biến động có thể xảy ra sau phẫu thuật và cách xử lý khi gặp phải các vấn đề.
    • Hỏi và thảo luận: Hỏi và thảo luận mọi thắc mắc hoặc lo lắng với bác sĩ trước khi quyết định thực hiện phẫu thuật. Đảm bảo rằng bạn hiểu đầy đủ về quy trình phẫu thuật và mọi khía cạnh của quá trình điều trị.
    Lợi ích và quy trình của phẫu thuật ghép lợi -3
    Chụp X-quang răng cần được thực hiện để đánh giá cấu trúc xương hàm

    Chăm sóc sau khi phẫu thuật ghép lợi

    Sau khi trải qua phẫu thuật ghép lợi, việc chăm sóc răng miệng đúng cách là rất quan trọng để đảm bảo quá trình phục hồi diễn ra một cách suôn sẻ và tránh được các biến chứng không mong muốn. Dưới đây là một số lời khuyên về chăm sóc sau phẫu thuật ghép lợi:

    • Chế độ ăn uống: Ưu tiên ăn các loại thực phẩm mềm, mát như cháo loãng, súp, sữa chua, phô mai, thạch hoa quả để giảm áp lực lên vùng ghép nướu. Tránh thức ăn quá nóng hoặc quá lạnh, đồ ăn cứng, dai để tránh làm tổn thương vùng ghép nướu.
    • Hạn chế sử dụng chỉ nha khoa: Trong giai đoạn mới sau phẫu thuật, hạn chế việc sử dụng chỉ nha khoa và chỉ đánh răng ở phần rìa lợi được điều trị để không gây ra chấn thương cho vùng ghép nướu.
    • Súc miệng đúng cách: Sử dụng nước súc miệng chuyên dụng để loại bỏ hiệu quả các mảng bám và vi khuẩn có trên răng mà không gây tổn thương cho vùng ghép nướu. Tránh sử dụng các loại nước súc miệng chứa cồn vì có thể làm khô da nướu và gây kích ứng.
    • Tuân thủ hướng dẫn của bác sĩ: Tuân thủ các hướng dẫn cụ thể về chăm sóc sau phẫu thuật được đưa ra bởi bác sĩ chuyên khoa. Thực hiện đúng các lịch trình tái khám và tuân thủ các biện pháp chăm sóc được đề xuất để đảm bảo quá trình phục hồi diễn ra tốt nhất có thể.
    Lợi ích và quy trình của phẫu thuật ghép lợi -4
    Sử dụng chỉ nha khoa là điều cần thiết sau khi phẫu thuật ghép lợi

    Việc lưu ý và chuẩn bị kỹ lưỡng trước khi thực hiện phẫu thuật ghép lợi là rất quan trọng để đảm bảo quá trình điều trị diễn ra một cách an toàn và hiệu quả. Việc tuân thủ đúng các biện pháp chăm sóc sau phẫu thuật ghép lợi là chìa khóa để đạt được kết quả tốt nhất và tránh được các vấn đề không mong muốn trong quá trình phục hồi.

    Xem thêm:

    Có thể bạn quan tâm

    Thông tin và sản phẩm gợi ý trong bài viết chỉ mang tính chất tham khảo, vui lòng liên hệ với Bác sĩ, Dược sĩ hoặc chuyên viên y tế để được tư vấn cụ thể. Xem thêm

    Dược sĩ Đại họcTrần Huỳnh Minh Nhật

    Đã kiểm duyệt nội dung

    Dược sĩ chuyên khoa Dược lý - Dược lâm sàng. Tốt nghiệp 2 trường đại học Mở và Y Dược TP. Hồ Chí Minh. Có kinh nghiệm nghiên cứu về lĩnh vực sức khỏe, đạt được nhiều giải thưởng khoa học. Hiện là Dược sĩ chuyên môn phụ trách xây dựng nội dung và triển khai dự án đào tạo - Hội đồng chuyên môn tại Nhà thuốc Long Châu.

    Xem thêm thông tin