Tốt nghiệp Đại học Dược Hà Nội, với hơn 10 năm kinh nghiệm trong lĩnh vực Dược phẩm. Hiện là giảng viên giảng dạy các môn Dược lý, Dược lâm sàng,...
Thị Diểm
25/09/2024
Mặc định
Lớn hơn
Răng lung lay và tụt lợi là tình trạng khá phổ biến, gây ảnh hưởng đáng kể đến sức khỏe răng miệng. Nghiêm trọng hơn, nó có thể dẫn đến nguy cơ rụng răng hàng loạt. Vậy làm thế nào để khắc phục tình trạng tụt lợi răng lung lay?
Tụt lợi răng lung lay là những vấn đề răng miệng phổ biến, ảnh hưởng đến thẩm mỹ và cả chức năng của hàm răng. Tình trạng này không chỉ gây đau đớn, khó chịu mà còn tiềm ẩn nguy cơ mất răng nếu không được điều trị kịp thời và đúng cách. Hãy cùng tìm hiểu sâu hơn về vấn đề này để có giải pháp phù hợp, bảo vệ hàm răng chắc khỏe và nụ cười tự tin.
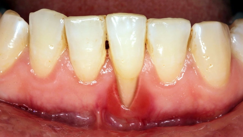
Tụt lợi là tình trạng lợi bị tụt về chân răng, lộ một phần mặt chân răng. Khi chân răng bị lộ, lớp men răng bên ngoài dễ bị mòn, gây ra cảm giác đau nhức, ê buốt, khó chịu khi ăn thực phẩm quá nóng, lạnh hoặc chua. Tình trạng này xảy ra ở một hoặc một vài răng, thậm chí là cả hàm răng. Có nhiều nguyên nhân gây ra tình trạng tụt lợi và nó phát triển qua nhiều giai đoạn. Ở giai đoạn đầu, triệu chứng thường không rõ ràng, dễ bị bỏ qua mà không được can thiệp, điều trị kịp thời.

Tụt lợi răng lung lay có 3 mức độ:
Tụt lợi và răng lung lay là tình trạng răng miệng phổ biến do nhiều nguyên nhân gây ra. Thường thì trong giai đoạn đầu, người bị tụt lợi thường chủ quan, không thăm khám và điều trị kịp thời, dẫn đến tình trạng tụt lợi trở nên nghiêm trọng.
Tụt lợi và răng lung lay không chỉ ảnh hưởng đến thẩm mỹ của khuôn mặt và chất lượng cuộc sống, mà còn gây hại trực tiếp đến sức khỏe răng miệng, làm tăng nguy cơ gãy răng và mất răng.

Người bị tụt lợi răng lung lay thường xuyên chảy máu chân răng, lợi sưng đỏ, răng nhạy cảm, ê buốt và khó chịu khi ăn uống. Điều này không chỉ ảnh hưởng nghiêm trọng đến sức khỏe răng miệng mà còn tác động tiêu cực đến sức khỏe toàn thân. Ăn uống trở nên không ngon miệng, gây chán ăn, cơ thể mệt mỏi, uể oải và có nguy cơ thiếu dinh dưỡng, thiếu máu cao.
Ngoài ra, nếu tụt lợi răng lung lay do lợi bị nhiễm trùng, ổ viêm nhiễm có thể lan sang các khu vực lân cận, gây nhiễm trùng máu và ảnh hưởng đến chức năng của các cơ quan khác.
Dù mới chớm bị hay đã chuyển sang giai đoạn nặng, người bị tụt lợi khiến răng lung lay vẫn cần đến bệnh viện để được thăm khám và điều trị kịp thời.
Trong trường hợp tụt nướu nhẹ, bạn chỉ cần làm sạch sâu vị trí chân răng. Bác sĩ sẽ loại bỏ các mảng bám và cao răng dưới nướu. Sau đó, dùng các dụng cụ chuyên dụng làm trơn và mượt bề mặt chân răng, giúp lợi bám chặt hơn vào răng.
Nếu lợi đã bị tụt quá sâu và chân răng lộ nhiều, bác sĩ sẽ chỉ định phẫu thuật ghép lợi. Bệnh nhân có thể được tiến hành ghép lợi tự thân hoặc ghép tổ chức liên kết biểu mô để che đi phần chân răng lộ ra. Nhờ đó, răng sẽ vững chắc hơn trên nướu, ngăn chặn tình trạng bệnh trở nên trầm trọng hơn.

Để duy trì hiệu quả điều trị và đảm bảo an toàn, bạn cần tuân thủ chế độ chăm sóc răng miệng phù hợp:
Tụt lợi răng lung lay là tình trạng răng miệng khá nghiêm trọng không nên chủ quan. Bạn nên đến cơ sở nha khoa uy tín để thăm khám, chẩn đoán và có phương án điều trị kịp thời. Bên cạnh đó, việc tuân thủ chế độ chăm sóc răng miệng đúng cách cũng góp phần giúp duy trì sức khỏe răng miệng sau điều trị.
Xem thêm: Lợi ích và quy trình thực hiện phẫu thuật ghép lợi
Dược sĩ Đại họcNguyễn Thanh Hải
Tốt nghiệp Đại học Dược Hà Nội, với hơn 10 năm kinh nghiệm trong lĩnh vực Dược phẩm. Hiện là giảng viên giảng dạy các môn Dược lý, Dược lâm sàng,...