Tốt nghiệp loại giỏi trường Đại học Y Dược Huế. Từng tham gia nghiên cứu khoa học đề tài về Dược liệu. Nhiều năm kinh nghiệm làm việc trong lĩnh vực Dược phẩm. Hiện đang là giảng viên cho Dược sĩ tại Nhà thuốc Long Châu.
21/06/2023
Mặc định
Lớn hơn
Sâu chân răng là một bệnh lý mà bất kỳ đối tượng nào đều có thể gặp phải. Vậy nguyên nhân dẫn đến tình trạng này là gì? Cách chữa sâu chân răng như thế nào? Bài viết dưới đây sẽ giúp bạn tìm lời giải đáp chính xác nhất nhé!
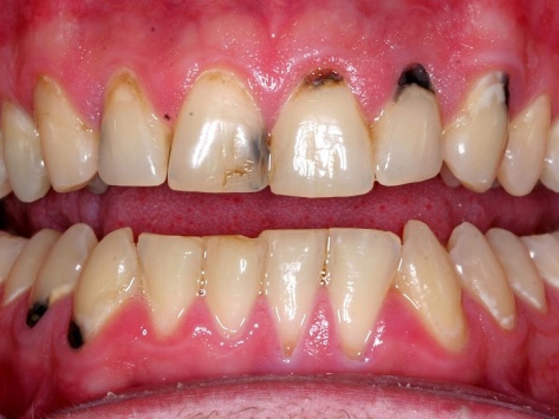
Tình trạng chân răng bị đen do sâu răng trên bề mặt chân răng còn được gọi là sâu chân răng. Đây là một bệnh răng miệng phổ biến và cần phải được điều trị ngay lập tức để tránh tình trạng răng bị tổn thương nặng. Vậy tại sao chân răng bị đen? Cách chữa sâu chân răng như thế nào? Hãy cùng tìm hiểu trong bài viết dưới đây ngay nhé!
Sâu chân răng sẽ khiến cho người bị gặp khó khăn trong việc ăn uống. Điều này sẽ gây ảnh hưởng đến hệ tiêu hóa do răng không còn đủ lực để nghiền thức ăn. Nếu tình trạng này kéo dài và không có cách chữa sâu chân răng trị triệt để sẽ gây ra nhiều biến chứng nguy hiểm. Chẳng hạn như mất răng hoàn toàn, viêm xương hàm, áp xe vùng chân răng, thậm chí là ung thư vòm họng.
Sâu chân răng là tình trạng cấu trúc chân răng bị phá hủy do sự xâm nhập của các loại vi khuẩn gây hại. Hiện tượng này thường kéo theo nhiều biểu hiện tiêu cực như nướu bị tụt lợi, hở một phần hoặc toàn bộ chân răng. Nó tạo điều kiện thuận lợi cho rất nhiều loại vi khuẩn có hại phát triển và gây nên nhiều bệnh lý răng miệng ảnh hưởng xấu đến sức khỏe con người. Đồng thời, sẽ phải tốn rất nhiều chi phí cho quá trình chữa trị dứt điểm sau này.
Việc sử dụng bàn chải đánh răng quá cứng hoặc chải răng quá mạnh khiến chân răng bị tổn thương. Về lâu dài, các vi khuẩn gây sâu răng sẽ xâm nhập vào vùng răng bị tổn thương và liên tục sinh sôi, phát triển. Từ đó sẽ gây ra lỗ sâu khiến cấu trúc chân răng bị phá hủy.

Vệ sinh không đúng cách có thể làm tổn thương chân răng
Nếu phần thân răng bị sâu răng không được điều trị triệt để sẽ khiến các vi khuẩn sẽ dễ dàng xâm nhập vào chân răng và dẫn đến sâu răng. Lúc này, men răng và ngà răng đã bị bào mòn mất lớp bảo vệ chân răng. Khiến vi khuẩn xâm nhập dễ dàng vào phần chân răng khỏe mạnh và dẫn đến sâu răng.
Cao răng (hay vôi răng) là những mảng bám tích tụ lâu ngày trên bề mặt răng do không được vệ sinh và chăm sóc kỹ càng. Về lâu dài, nếu không được làm sạch thì chúng sẽ bị vôi hóa dần vào bên trong nướu và lan xuống phần chân răng. Hình thành các lỗ sâu răng dưới nướu và khi ăn uống, thức ăn rất dễ đọng lại tại đây. Tài môi trường thuận lợi để vi khuẩn sâu răng phát triển ở vị trí chân răng.
Ở giai đoạn đầu, thường sẽ rất khó để phát hiện tình trạng sâu chân răng. Bởi nó chỉ có những vệt màu tối và hơi đậm trên răng. Lúc này, cách chữa sâu chân răng sẽ dễ dàng hơn và rất ít tốn chi phí.
Đối với những trường hợp sâu chân răng ở giai đoạn đầu, bạn hãy đến nha khoa để được thực hiện tái khoáng cho chân răng. Quá trình tái khoáng sẽ giúp cung cấp dinh dưỡng để làm lành các mô ở phần chân răng vừa bị phá hủy. Điều này khiến răng chắc khỏe hơn và giúp bảo vệ các mô cứng tốt hơn, từ đó ngăn ngừa tình trạng chân răng bị sâu.
Khi xuất hiện các lỗ trên phần chân răng cũng đồng nghĩa với việc các vi khuẩn sâu răng đang trong quá trình phá hủy cấu trúc răng. Cách chữa sâu chân răng lúc này sẽ là loại bỏ hoàn toàn sự xâm nhập của các loại vi khuẩn bằng cách vệ sinh sạch sẽ vùng sâu răng. Sau đó, sẽ hàn trám lại phần chân răng đã bị vi khuẩn phá hủy.
Biện pháp hàn trám răng chỉ được áp dụng đối với trường hợp các tổn thương trong cấu trúc răng có thể phục hồi. Đồng thời, răng vẫn đảm bảo thực hiện được các chức năng chính. Nhưng đối với những trường hợp sâu răng nặng hơn, lỗ sâu to hơn thì cần phải áp dụng phương pháp điều trị khác.

Cách chữa sâu chân răng hiệu quả
Đối với trường hợp bị sâu đến tủy do cấu trúc chân răng đã bị phá hủy một cách nghiêm trọng. Lúc này, việc hàn trám răng có thể sẽ không đạt được hiệu quả như mong muốn. Bởi chức năng của chiếc răng bị sâu chân này đã bị ảnh hưởng nghiêm trọng. Cách chữa sâu chân răng lúc này là sẽ nhổ bỏ chiếc răng đó và trồng lại một chiếc răng mới.
Như vậy mới có thể hạn chế được sự lây lan của các vi khuẩn sâu răng sang những chiếc răng bên cạnh. Đồng thời, những hiện tượng tiêu cực như sai lệch khớp cắn, viêm, nhiễm trùng ổ răng cũng không xảy ra.
Việc chăm sóc răng miệng thường xuyên và đúng cách sẽ giúp giảm thiểu nguy cơ sâu răng. Các chuyên gia đã khuyến cáo rằng, bạn nên đánh răng thường xuyên với tần suất 2 lần/ngày. Bên cạnh đó, bạn cũng nên chọn loại kem đánh răng có chứa thành phần giúp tăng độ chắc khỏe của răng miệng thay vì mua tùy hứng.
Đặc biệt, nên điều chỉnh lực chải răng hợp lý để tránh làm tổn thương chân răng. Đồng thời, hạn chế vi khuẩn xâm nhập và gây hại. Nếu bạn tuân thủ theo cách chăm sóc răng miệng này thì tình trạng chân răng sâu sẽ không xảy ra.
Việc đến nha khoa kiểm tra răng miệng định kỳ sẽ là hoạt động được rất nhiều chuyên gia khuyến khích. Điều này sẽ giúp bạn có thể nắm rõ tình trạng răng của mình và phát hiện sớm được những bệnh lý để có cách điều trị hiệu quả và tiết kiệm chi phí hơn.

Ngay khi phát hiện sâu răng, hãy đến nha khoa để điều trị sớm nhất
Với những thông tin chia sẻ từ bài viết trên đây, hy vọng sẽ giúp bạn có thêm nhiều kiến thức hữu ích về nguyên nhân cũng như cách chữa sâu chân răng này nhé!
Thủy Phan
(Nguồn: Tổng Hợp)
Dược sĩ Đại họcNgô Kim Thúy
Tốt nghiệp loại giỏi trường Đại học Y Dược Huế. Từng tham gia nghiên cứu khoa học đề tài về Dược liệu. Nhiều năm kinh nghiệm làm việc trong lĩnh vực Dược phẩm. Hiện đang là giảng viên cho Dược sĩ tại Nhà thuốc Long Châu.