Tốt nghiệp Đại học Y Dược Huế, hoàn thành Chuyên khoa 1 Bác sĩ Y Học Gia Đình tại Đại học Y Dược Huế năm 2023. Có 4 năm kinh nghiệm chuyên sâu trong lĩnh vực tiêm chủng, hiện đang công tác tại Trung tâm Tiêm chủng Long Châu với vai trò bác sĩ.
Mỹ Hạnh
01/01/2025
Mặc định
Lớn hơn
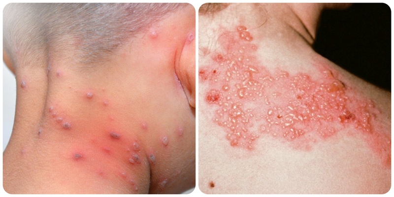
Zona thần kinh và thủy đậu là những bệnh rất hay gặp hiện nay. Chúng có những biểu hiện lâm sàng khá giống nhau và cùng có cùng một tác nhân gây bệnh là virus varicella zoster nên nhiều người cho rằng hai bệnh này là một. Cùng tìm hiểu về điểm giống và khác nhau của hai bệnh này nhé.
Thủy đậu là bệnh lý nhiễm trùng do virus varicella zoster gây ra. Trong khi đó, bệnh zona thần kinh xảy ra là do tái hoạt động virus gây ra bệnh thủy đậu. Như vậy, bệnh zona thần kinh chỉ có thể xảy ra ở những đối tượng từng bị thủy đậu. Vậy phân biệt thủy đậu và zona thần kinh với nhau như thế nào?
Zona và thủy đậu là hai căn bệnh khác nhau nhưng có chung nguồn gốc gây bệnh.

Khi mắc bệnh thì bệnh nhân cần đến cơ sở khám chữa bệnh để lấy thuốc điều trị. Cần phải dùng kết hợp cả thuốc uống và thuốc bôi dưới sự hướng dẫn của bác sĩ để đạt hiệu quả điều trị tốt nhất.
Zona thần kinh và thủy đậu có những đặc điểm khác nhau về độ tuổi mắc bệnh, nguyên nhân, biểu hiện lâm sàng, khả năng tái phát.
Bệnh thủy đậu bắt nguồn từ virus varicella zoster gây ra trong khi bệnh zona thần kinh chỉ là sự bùng phát trở lại của chúng sau thời gian trú ẩn trong cơ thể. Đối với người đã từng mắc bệnh thủy đậu, sau khi khỏi, virus vẫn chưa bị tiêu diệt hoàn toàn mà sống tiềm tàng trong các tế bào thần kinh dưới dạng không hoạt động. Chúng bị ức chế bởi hệ miễn dịch tự nhiên của con người, khi hệ miễn dịch cơ thể suy yếu thì zona thần kinh bùng phát.

Bệnh thủy đậu chỉ mắc 1 lần trong đời vì cơ thể đã sinh miễn dịch trọn đời trong khi đó, zona có thể tái phát đi tái phát lại. Vì zona chỉ tấn công khi sức đề kháng cơ thể kém, vì vậy để phòng tránh zona quay trở lại chúng ta nên tăng cường sức đề kháng của cơ thể bằng các chế độ ăn uống và sinh hoạt nghỉ ngơi lành mạnh.
Vậy zona thần kinh và thủy đậu điều trị giống hay khác nhau? Cả thủy đậu và zona thần kinh đều được điều trị đặc hiệu bằng thuốc kháng virus. Những người bị thủy đậu và zona mức độ nhẹ thường sẽ tự khỏi bệnh sau khoảng 1 - 2 tuần. Tuy nhiên trong những trường hợp trung bình nặng cần sự phối hợp điều trị nhiều loại thuốc khác nhau.
Bên cạnh đó, nguyên tắc điều trị bệnh thủy đậu và zona thần kinh là khác nhau. Cùng nhau tìm hiểu cách điều trị của từng bệnh.

Thuốc
Người bị thủy đậu có thể được kê thuốc hạ sốt, vitamin, các thuốc bôi ngoài, thuốc kháng Histamin để làm giảm ngứa. Lưu ý không dùng aspirin để hạ sốt cho người bị bệnh thủy đậu vì có nguy cơ gây hội chứng Reye. Trong trường hợp các sang thương da bị bội nhiễm có thể chỉ định các kháng sinh như oxacillin, vancomycin,...
Vệ sinh sạch sẽ
Bệnh nhân mắc thủy đậu vẫn tắm rửa sạch sẽ, vệ sinh thường xuyên để tránh tích tụ vi khuẩn trên da gây nhiễm trùng, không chà xát làm vỡ các mụn nước.
Chế độ dinh dưỡng phù hợp
Hạn chế tối thiểu các thức ăn nhiều dầu mỡ, sữa, phô mai, bơ, đồ cay nóng, các thực phẩm chứa axit như chanh, cam.
Giữ ấm cơ thể, hạn chế ra gió để tránh mắc các bệnh cơ hội khác, nhưng người bệnh cần được ở môi trường thông thoáng, không bí bách, trời nóng thì phải bật quạt để tránh ra nhiều mồ hôi gây bội nhiễm các tổn thương ở da.
Hiện nay không có phương pháp chữa dứt điểm căn bệnh này. Các bác sĩ có thể chỉ định cho người bệnh các thuốc kháng viêm, giảm đau, thuốc bôi ngoài da, dưỡng ẩm, dung dịch sát khuẩn để vệ sinh da kiểm soát nhiễm trùng, rút ngắn thời gian lành bệnh.
Người bị zona cần rửa tay sạch sẽ với xà phòng thường xuyên, cả trước lẫn sau khi đi vệ sinh, tránh gãi làm trầy xước da gây bội nhiễm.
Khi bị zona thần kinh, bệnh nhân cần bôi thuốc sát khuẩn như xanh Methylen để phòng ngừa nhiễm trùng.
Vệ sinh cơ thể với nước ấm sạch sẽ, khi tắm lưu ý lau rửa nhẹ nhàng tránh làm vỡ các bóng nước.
Như vậy zona thần kinh và thủy đậu là hai căn bệnh có mối liên hệ mật thiết với nhau, ảnh hưởng qua lại. Khi có biểu hiện nghi ngờ cần đến trung tâm y tế gần nhất để được chẩn đoán và điều trị đúng hướng, hạn chế để lại sẹo xấu sau này. Hy vọng với những thông tin hữu ích trên đã giúp bạn có cái nhìn tổng quan về hai căn bệnh này. Khi cần bất kỳ sự tư vấn nào về thuốc điều trị có thể liên hệ với Nhà thuốc Long Châu để được hỗ trợ tốt nhất.
Việc tiêm vắc xin thủy đậu là cách hiệu quả để bảo vệ sức khỏe cá nhân và cộng đồng. Trung tâm Tiêm chủng Long Châu cung cấp vắc xin thủy đậu chất lượng cao, bảo quản theo tiêu chuẩn WHO và được giám sát thời gian thực. Với đội ngũ y bác sĩ giàu kinh nghiệm và hệ thống telehealth hiện đại, Long Châu cam kết mang đến dịch vụ tiêm chủng an toàn, hiệu quả và ít đau. Hãy đến Long Châu để bảo vệ sức khỏe của bạn và gia đình khỏi những nguy cơ của bệnh thủy đậu ngay hôm nay!
Bác sĩ Chuyên khoa 1Trương Đình Ti Thi
Tốt nghiệp Đại học Y Dược Huế, hoàn thành Chuyên khoa 1 Bác sĩ Y Học Gia Đình tại Đại học Y Dược Huế năm 2023. Có 4 năm kinh nghiệm chuyên sâu trong lĩnh vực tiêm chủng, hiện đang công tác tại Trung tâm Tiêm chủng Long Châu với vai trò bác sĩ.