Tốt nghiệp Khoa Dược trường Đại học Nam Cần Thơ. Có nhiều năm kinh nghiệm công tác trong lĩnh vực Dược phẩm. Hiện đang giảng viên cho Dược sĩ tại Nhà thuốc Long Châu.
Huỳnh Như
04/06/2024
Mặc định
Lớn hơn
Trám răng sâu là một quá trình thường thấy trong lĩnh vực nha khoa. Trám răng sâu khiến nhiều người khó chịu và mong muốn tìm kiếm giải pháp khắc phục. Hãy cùng nhà thuốc Long Châu tìm hiểu kĩ hơn về phương pháp này qua bài viết dưới đây nhé!
Trám răng sâu không chỉ gây ra đau đớn và khó chịu, mà còn có thể gây ra nhiều vấn đề sức khỏe nghiêm trọng khác. Nếu không được điều trị kịp thời, sâu răng có thể lan rộng và tác động vào dây thần kinh trong răng, gây ra viêm nhiễm và đau nhức. Bác sĩ thường chỉ định bệnh nhân thực hiện trám răng sâu để giúp khắc phục vấn đề một cách hiệu quả, ngăn ngừa biến chứng và tiết kiệm chi phí tối ưu.
Trám răng sâu là một phương pháp khôi phục chức năng của răng mà không làm thay đổi cấu trúc của chúng. Trong quá trình trám, các chuyên gia nha khoa loại bỏ hoàn toàn mô vi khuẩn từ lỗ sâu trên răng, sau đó sử dụng một loại vật liệu trám để điền vào các lỗ sâu đó. Quá trình này giúp khôi phục hình dạng ban đầu của răng trước khi bị sâu mà không gây ảnh hưởng đến cấu trúc răng.

Sâu răng là một căn bệnh phổ biến mà hầu như ai cũng trải qua, thường do không chăm sóc răng miệng đúng cách hoặc bị ảnh hưởng bởi các bệnh nha khoa khác. Sâu răng có các dấu hiệu như vết đen, chấm đen hoặc hố đen trên răng. Khi phát triển, chúng gây tổn thương cho mô răng và cấu trúc bên trong.
Nếu sâu răng tiếp tục phát triển sâu vào tủy răng và gây viêm tủy, răng có thể bị mất. Trong trường hợp nghiêm trọng hơn, sâu răng có thể lan rộng sang các răng khác và gây ra các vấn đề sức khỏe miệng nghiêm trọng. Do đó, việc trám răng sớm rất quan trọng để ngăn ngừa các biến chứng và mang lại những lợi ích sau:

Trám răng là một quy trình thực hiện khi gặp các tình huống cụ thể, đảm bảo an toàn cho sức khỏe răng miệng. Có ba trường hợp chính khiến việc trám răng trở nên cần thiết:
Răng sâu xảy ra khi vi khuẩn xâm nhập và làm hỏng cấu trúc ban đầu của răng. Để trám răng sâu, phần mô nhiễm trùng phải được loại bỏ hoàn toàn. Việc trám răng sâu giúp lấp đầy các khoảng trống và khôi phục chức năng ăn nhai. Có một số dấu hiệu cho thấy răng sâu cần được trám để tránh các biến chứng nguy hiểm:
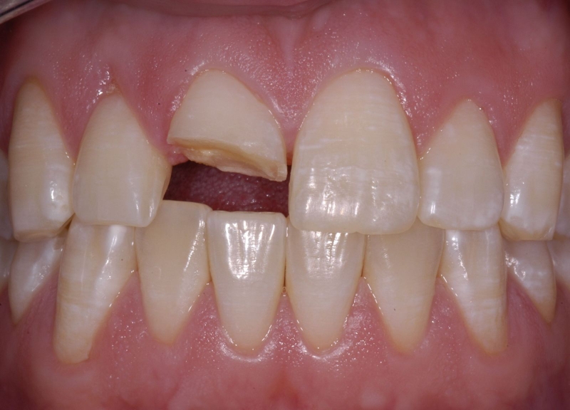
Việc trám răng cũng được đề xuất khi răng bị chấn thương, kết hợp với tình trạng sâu răng. Điều này không chỉ giúp bảo vệ răng cũ mà còn thuận tiện trong hoạt động hàng ngày. Răng có thể bị chấn thương do nhiều nguyên nhân, bao gồm mẻ khi nhai thức ăn hoặc gãy một phần bên trong do tai nạn.
Nếu không trám răng, thức ăn có thể kẹt lại ở giữa các răng hoặc phần bị mẻ, tạo điều kiện cho vi khuẩn gây sâu răng. Điều này khiến quá trình điều trị trở nên khó khăn và tiềm ẩn nguy cơ biến chứng.

Bào mòn răng có thể xảy ra khiến răng bị mòn do nhiều yếu tố như nghiến răng, răng siết chặt và những thói quen khác. Trong trường hợp này, trám răng được khuyến nghị để bảo vệ mô nướu và lõi răng. Ngoài ra, khi răng bị mòn kết hợp với lõm chén, sâu răng hoặc răng nhạy cảm, việc trám răng cũng được áp dụng để đạt được kết quả điều trị tốt nhất.
Phương pháp trám răng sâu bằng Amalgam đã tồn tại lâu và được sử dụng rộng rãi. Vật liệu này kết hợp nhiều kim loại như thủy ngân, kẽm, bạc và đồng. Amalgam có khả năng chống lực và chịu mài mòn, rất hiệu quả trong việc trám răng sâu có lỗ to hoặc sâu nặng. Tuy nhiên, về mặt màu sắc, Amalgam có màu bạc dễ nhìn thấy, do đó thường được sử dụng để trám các răng ở vị trí khó nhìn thấy hơn.
Tuy nhiên, trong thời gian gần đây, các nghiên cứu khoa học đã khẳng định rằng thủy ngân có trong Amalgam có tiềm năng gây hại cho sức khỏe con người. Do đó, không khuyến nghị sử dụng vật liệu này.
Composite là một loại vật liệu tổng hợp được sử dụng trong quá trình trám răng sâu. Composite có màu trắng ngà gần giống màu men răng tự nhiên. Khi sử dụng, nó tạo ra vết trám tự nhiên, không ảnh hưởng đến nụ cười và sự tự tin của bạn.
Ngoài ra, Composite không chứa chất thủy ngân nên đảm bảo an toàn cho sức khỏe. Mặc dù độ bền của Composite không sánh ngang với Amalgam, tuy nhiên, đối với các trường hợp trám sâu nhẹ, Composite vẫn là sự lựa chọn tối ưu và hiệu quả. Vật liệu này đảm bảo không chỉ mặt thẩm mỹ tuyệt vời, được đánh giá cao về chất lượng, khả năng chịu lực, độ bền và khả năng chống mài mòn, mà còn giảm thiểu kích ứng hoặc nhạy cảm. Hơn nữa, Composite còn có tuổi thọ cao, tạo điều kiện cho sự tồn tại lâu dài và bền vững.
Phương pháp trám răng sâu lỗ to bằng Inlay - Onlay là một phương pháp hiệu quả để trám các răng sâu có lỗ lớn mà không có vi khuẩn xâm nhập vào tủy.
Với Inlay - Onlay, việc trám răng sâu lỗ lớn không chỉ mang lại kết quả ấn tượng và tự nhiên mà còn đem đến sự phục hồi vẻ đẹp tự nhiên và tăng cường sự tự tin trong nụ cười. Quá trình trám răng bằng Inlay - Onlay cũng không đòi hỏi việc mài răng, bảo vệ cấu trúc tự nhiên của răng và giảm thiểu phiền toái không cần thiết. Với những ưu điểm vượt trội này, việc trám răng thẩm mỹ nói chung và trám răng sâu nói riêng mang lại nhiều lợi ích đáng kể.

Quá trình trám răng sâu thực chất không gây đau đớn hay khó chịu. Bác sĩ sẽ chất liệu trám vào lỗ rỗ sau đó đem điều trái lại để nó cứng lại, do đó không có sự xâm nhập và không cần phẫu thuật, điều này giúp trám răng không gây đau đớn.
Tuy nhiên, trong một số trường hợp khi sự sâu răng đã tiến triển đến mức nặng hơn và đòi hỏi điều trị sâu hơn, thậm chí cần phải tiến hành điều trị tủy, có thể bạn sẽ trải qua một cảm giác đau. Mức độ đau này phụ thuộc vào độ sâu của vết mục và tình trạng sức khỏe của răng của bạn.
Để giảm bớt đau và khó chịu trong quá trình điều trị sâu răng nặng, các bác sĩ sử dụng thuốc tê để gây tê cho vùng xung quanh.
Sau khi quá trình trám răng sâu hoàn tất và thuốc tê không còn tác dụng, bạn có thể cảm thấy một chút đau. Tuy nhiên, cảm giác này chỉ là tạm thời và sẽ nhanh chóng biến mất, không ảnh hưởng quá nhiều đến hoạt động hàng ngày hoặc công việc của bạn.
Trên đây là một số thông tin xoay quanh vấn đề trám răng sâu. Hy vọng với những thông tin hữu ích của Nhà thuốc Long Châu, quý đọc giả đã biết được trám răng sâu là gì và một số vật liệu được sử dụng để trám răng sâu. Tuy nhiên, việc duy trì một chế độ chăm sóc răng miệng đúng cách và thường xuyên sẽ giúp ngăn ngừa sâu răng và duy trì sức khỏe răng miệng tốt hơn, hạn chế phải thực hiện quá trình trám răng sâu.
Xem thêm: Trám răng lấy tủy có đau không? Khi nào cần thực hiện?
Dược sĩ Đại họcNguyễn Thị Thảo Nguyên
Tốt nghiệp Khoa Dược trường Đại học Nam Cần Thơ. Có nhiều năm kinh nghiệm công tác trong lĩnh vực Dược phẩm. Hiện đang giảng viên cho Dược sĩ tại Nhà thuốc Long Châu.