Dược sĩ Đại học có nhiều năm kinh nghiệm trong việc tư vấn Dược phẩm và hỗ trợ giải đáp thắc mắc về Bệnh học. Hiện đang là giảng viên cho Dược sĩ tại Nhà thuốc Long Châu.
Thùy Hương
03/08/2025
Mặc định
Lớn hơn
Bọc răng sứ không đúng cách có thể để lại những biến chứng khôn lường. Hậu quả bọc răng sứ là gì, có nguy hiểm đến tính mạng không? Cùng tìm hiểu trong bài viết dưới đây.
Bọc răng sứ là một quá trình phục hình răng phổ biến, mang lại nhiều lợi ích về thẩm mỹ và chức năng ăn nhai. Tuy nhiên, nếu không được thực hiện đúng kỹ thuật và chăm sóc sau bọc răng sứ, bạn có thể đối mặt với những hậu quả không mong muốn. Hãy cùng Nhà thuốc Long Châu tìm hiểu về hậu quả bọc răng sứ và cách phòng tránh những vấn đề này.
Hậu quả bọc răng sứ có thể xảy ra với mức độ từ nhẹ tới nặng, thậm chí nguy hiểm tới tính mạng, cụ thể như:
Viêm tủy răng là một trong những biến chứng có thể xuất hiện sau khi thực hiện quá trình bọc răng sứ, đặc biệt nếu bác sĩ thực hiện không có đủ kinh nghiệm và tay nghề, dẫn đến việc mài cùi răng không đúng tỷ lệ hoặc quá mức, gây tổn thương cho cấu trúc răng thật. Điều này tạo điều kiện thuận lợi cho vi khuẩn xâm nhập vào tủy và gây ra tình trạng viêm tủy. Nếu viêm tủy kéo dài, có thể dẫn đến tình trạng chết tủy, răng thật suy giảm sức mạnh, trở nên lung lay và trong một số trường hợp nặng, có thể dẫn đến mất răng.
Quá trình chế tác răng sứ cần đảm bảo rằng răng sứ vừa vặn hoàn hảo với kích thước của răng của bệnh nhân. Ngoài ra, việc gắn răng sứ cần phải được thực hiện một cách chính xác và khéo léo, để đảm bảo sự hòa hợp giữa răng sứ và cùi răng. Mọi sai sót trong quá trình này có thể dẫn đến tình trạng hở cổ chân răng.
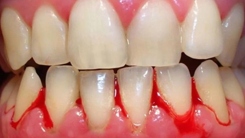
Tác hại của bọc răng sứ không đúng cách chính là gây tổn thương trong miệng. Khi mão sứ không được lắp đặt chính xác, có thể xuất hiện hiện tượng hở cổ răng, khe hở ở khu vực tiếp giáp giữa răng sứ và viền lợi, cũng như không đảm bảo sự khít cùi răng. Những vấn đề này làm cho thức ăn dễ bám lại, gây ra tình trạng viêm lợi, khiến nướu sưng viêm, tạo cảm giác ê buốt, và thậm chí có thể dẫn đến hôi miệng.

Sử dụng sứ kém chất lượng có thể tạo điều kiện cho các vấn đề biến chứng sau khi bọc răng sứ như viêm nhiễm và gây tổn thương cho răng thật. Thêm vào đó, điều này có thể dẫn đến tình trạng lung lay và thậm chí là mất răng thật một cách vĩnh viễn. Đây là một trong những hậu quả nghiêm trọng của quá trình bọc răng sứ mà bệnh nhân cần lưu ý.
Nếu bác sĩ không thực hiện kỹ thuật bọc sứ một cách chính xác, nhiều vấn đề có thể xảy ra trong quá trình điều trị, như mài răng không đúng tỉ lệ, lấy dấu răng không chính xác và các vấn đề khác. Những sai sót này dẫn đến tình trạng gắn mão răng sứ không đảm bảo sự sát khít cần thiết với cùi răng thật. Kết quả, sau một khoảng thời gian sử dụng, răng sứ có thể trở nên lỏng lẻo và tự động rơi ra.
Khi phát hiện rằng giữa răng và nướu xuất hiện kẽ hở, không sát khít với nhau, đây là dấu hiệu rằng răng sứ có thể đã bị hở nướu. Nguyên nhân có thể xuất phát từ kỹ thuật phục hình của bác sĩ không đạt chất lượng, quá trình chế tác răng sứ không được thực hiện chính xác, hoặc chất lượng sứ không đạt yêu cầu.
Cảm giác ê buốt, đau nhức kéo dài thường xảy ra khi thực hiện mài răng bằng các thiết bị kém chất lượng, làm tăng độ ma sát giữa mũi khoan với bề mặt răng. Từ đó tác động xấu đến tủy răng và dẫn đến hiện tượng mài răng xong bị nhức, ê buốt.
Bọc răng sứ thực sự không gây ra hôi miệng. Tuy nhiên, nếu bác sĩ không chuyên nghiệp trong kỹ thuật phục hình và tạo ra sự không khít giữa phần răng sứ và nướu, có thể xuất hiện khe hở. Hoặc nếu răng sứ bị nứt gãy, tạo ra các rãnh sần sùi, thức ăn sẽ dễ bám vào và khó làm sạch, từ đó tạo ra mùi hôi khó chịu.
Ngoài ra, những loại răng sứ giá rẻ thường được sản xuất từ vật liệu kém chất lượng, và sau một thời gian sử dụng, chúng có thể bị ảnh hưởng bởi dịch khoang miệng, dẫn đến biến chất và tạo ra mùi hôi.

Nguyên nhân gây ra tình trạng kênh khi lắp răng thường xuất phát từ sai lầm khi bọc răng sứ, quá trình lấy dấu hàm không chính xác của bác sĩ, dẫn đến việc thiết kế mão sứ không khớp hoàn hảo với cùi răng và tạo ra tình trạng kênh cộm.
Ngoài ra, trường hợp mài răng quá nhỏ hoặc quá to cũng có thể làm cho răng sứ lệch khớp cắn. Nếu bác sĩ không kiểm tra lại khớp cắn sau khi gắn răng sứ để điều chỉnh kịp thời, có thể gây ra nhiều vấn đề biến chứng nguy hiểm.
Những hậu quả bọc răng sứ hoàn toàn có thể kiểm soát được nếu quy trình thực hiện chuẩn và khoa học. Khi bác sĩ thực hiện bọc răng sứ đúng cách sẽ đem lại những lợi ích cho khách hàng như:

Để tránh những hậu quả bọc răng sứ không đáng có, bạn nên lưu ý một số vấn đề sau:

Nếu không được thực hiện đúng cách, hậu quả bọc răng sứ thực sự rất khôn lường. Do đó, bạn nên chọn một địa chỉ nha khoa uy tín và chăm sóc răng miệng thật kỹ để tránh biến chứng xảy ra.
Xem thêm:
Dược sĩ Đại họcNguyễn Mỹ Huyền
Dược sĩ Đại học có nhiều năm kinh nghiệm trong việc tư vấn Dược phẩm và hỗ trợ giải đáp thắc mắc về Bệnh học. Hiện đang là giảng viên cho Dược sĩ tại Nhà thuốc Long Châu.