Tốt nghiệp Đại học Dược Hà Nội, với hơn 10 năm kinh nghiệm trong lĩnh vực Dược phẩm. Hiện là giảng viên giảng dạy các môn Dược lý, Dược lâm sàng,...
Ánh Vũ
23/04/2024
Mặc định
Lớn hơn
Niềng răng hỏng là hậu quả mà không một ai mong muốn trong quá trình niềng răng. Tuy nhiên, hiện tượng niềng răng hỏng vẫn có thể xảy ra. Vậy dấu hiệu nhận biết niềng răng hỏng là gì? Nguyên nhân dẫn đến tình trạng này là gì?
Để sở hữu một hàm răng đều đặn và nụ cười tươi tắn, nhiều người đã lựa chọn phương pháp niềng răng. Tuy nhiên, hiện tượng niềng răng hỏng có thể xảy ra đối với người bệnh. Vậy làm thế nào để nhận biết tình trạng niềng răng hỏng? Nhà thuốc Long Châu sẽ giúp bạn đọc giải đáp thắc mắc trên trong bài viết hôm nay.
Nhiều người đã tìm đến phương pháp niềng răng với mong muốn cải thiện được tình trạng kém thẩm mỹ của hàm răng. Niềng răng mang lại những lợi ích nhất định, giúp cho bạn trở nên tự tin hơn trong giao tiếp và cuộc sống. Tuy nhiên, thực tế có không ít trường hợp xảy ra tình trạng niềng răng hỏng, làm mất thời gian, công sức và tiền bạc của khách hàng. Vậy hiện tượng niềng răng hỏng là gì?
Niềng răng hỏng là tình trạng xảy ra trục trặc trong quá trình niềng răng, xuất phát từ nhiều nguyên nhân khác nhau và khiến cho kết quả sau niềng răng không đạt được như mong muốn ban đầu, thậm chí là khiến cho hàm răng mất thẩm mỹ hơn.
Hiện nay, có nhiều nguyên nhân dẫn đến tình trạng niềng răng hỏng, bao gồm cả những yếu tố chủ quan và khách quan. Phương pháp niềng răng đòi hỏi người bệnh cần phải gắn bó lâu dài với nó và tuân thủ theo đúng hướng dẫn của nha sĩ. Tuy nhiên, chỉ một vài yếu tố có thể gây ảnh hưởng cho quá trình này, thậm chí là là huỷ toàn bộ thời gian, tiền bạc và công sức mà khách hàng đã bỏ ra.

Có nhiều dấu hiệu để nhận biết tình trạng niềng răng hỏng, bao gồm cả những dấu hiệu rõ ràng và không rõ ràng khiến bạn không xác định được. Dưới đây là một số dấu hiệu giúp nhận biết tình trạng niềng răng hỏng, cụ thể là:
Mục đích của phương pháp niềng răng là nắn chỉnh cấu trúc răng để cải thiện cấu trúc xương mặt trở nên hài hoà, ưa nhìn hơn. Quá trình niềng răng luôn phải đảm bảo rằng đường thẳng chia khuôn mặt làm hai phần thẳng với trục của khuôn mặt. Cụ thể, đường giữa của hàm răng trên cần phải trùng với đường nhân trung, đỉnh mũi và hàm răng dưới cùng điểm Glabella.
Khi niềng răng hỏng, các điểm này sẽ không nằm cùng trên một đường thẳng trên khuôn mặt. Tuy nhiên, trong một số trường hợp như lệch mũi, lệch mặt bẩm sinh thì quá trình này không được tính là một thay đổi tương thích với khuôn mặt.
Bên cạnh đó, khi niềng răng bị hỏng thì các răng thường có xu hướng nghiêng vào khoảng trống, tuy nhiên toàn bộ thân răng lại không di chuyển vào vị trí trống đó.
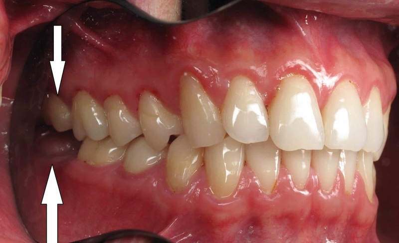
Tình trạng cười hở lợi nhiều và răng có xu hướng quặp vào trong có thể xảy ra trong trường hợp niềng răng hỏng.
Trong quá trình kéo khối răng trước nhưng không kiểm soát được lực sinh học, phần hàm trên có xu hướng dịch chuyển ra phía sau và xuống dưới. Điều này tạo ra nét kém thẩm mỹ trên gương mặt như răng quặp vào trong hoặc cười hở lợi.
Do đó, nha sĩ cần kiểm soát tốt lực sinh học trong quá trình kéo đóng khoảng giữa các răng là điều cần thiết và rất quan trọng. Đồng thời, quá trình đánh răng khi niềng răng bị hỏng sẽ mất rất nhiều thời gian. Vì thế, bạn nên tìm hiểu kỹ về phương pháp niềng răng cũng như những tác dụng phụ có thể xảy ra trước khi tiến hành.

Tụt lợi là một tình trạng xảy ra khá phổ biến trong quá trình niềng răng. Do đó, nha sĩ cần phải dự đoán trước để tư vấn cho người bệnh biết và có thể phải tiến hành điều trị bổ sung.
Nguyên nhân gây tụt lợi trong niềng răng là do lực kéo của mắc cài quá lớn, khiến cho răng di chuyển quá mức và vùng răng cửa bị nghiêng ra phía ngoài, răng bị lệch lạc hoặc trồi lên.
Hiện tượng tụt lợi có thể gây ra những biến chứng nặng nề như chân răng bị bật ra ngoài và có thể phải trồng răng Implant. Do đó, nếu gặp phải tình trạng tụt lợi nghiêm trọng thì bạn nên đến nha khoa sớm để được điều trị kịp thời.
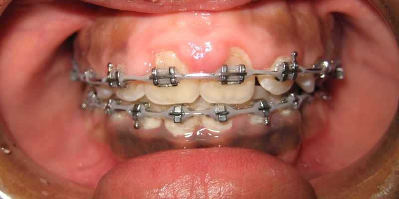
Lực tác động lên răng có thể làm răng di chuyển đến vị trí mong muốn khi gắn mắc cài. Do đó, yếu tố cơ bản và nền tảng đảm bảo cho quá trình niềng răng thành công là gắn đúng mắc cài.
Vì vậy, chỉ cần một đơn vị mắc cài sai lệch sẽ khiến cho toàn bộ quá trình niềng răng bị ảnh hưởng và làm cho răng di chuyển không di chuyển theo đúng mong muốn.
Thông thường, niềng răng hỏng được chia thành hai tình trạng là:
Niềng răng hỏng có thể khiến cho phần nướu bị sưng đỏ bất thường kèm theo một vài triệu chứng khác như hơi thở có mùi hôi khó chịu, có các túi mủ ở phần nướu bị sưng viêm.
Tình trạng này không được điều trị kịp thời có thể dẫn đến hiện tượng tiêu xương chân răng, lâu dài có thể khiến răng bị rụng sớm.

Sau quá trình niềng răng kéo dài, tình trạng răng không được cải thiện nhiều và nhận thấy rõ ràng tình trạng hô hoặc móm sau khi tháo niềng. Đây cũng là một dấu hiệu của việc niềng răng hỏng.
Có nhiều nguyên nhân dẫn đến tình trạng niềng răng hỏng. Trong đó, một số nguyên nhân phổ biến có thể kể đến như:
Nhiều nghiên cứu đã chỉ ra rằng, mức độ thành công của một ca chỉnh nha phụ thuộc tới 80% vào cơ sở nha khoa. Để đảm bảo cho quá trình niềng răng diễn ra thuận lợi và thành công thì tay nghề của bác sĩ, cơ sở vật chất, dụng cụ cũng như công nghệ hiện đại chiếm một phần vô cùng quan trọng.
Do đó, nếu bạn tìm đến một cơ sở nha khoa không đảm bảo chất lượng và uy tín, bạn có thể gặp phải một số hậu quả không mong muốn trong quá trình điều trị các bệnh lý về răng miệng nói chung và niềng răng nói riêng.
Việc chăm sóc răng miệng đúng cách là một yếu tố cơ bản và quan trọng để hỗ trợ cho quá trình niềng răng được thành công.
Nếu bạn niềng răng nhưng không làm đúng theo hướng dẫn của nha sĩ về vấn đề vệ sinh răng miệng, bạn có thể gặp phải một số bệnh lý về nha chu, tủy răng… trong quá trình này. Từ đó, gây ảnh hưởng đến quá trình niềng răng như kéo dài thời gian chỉnh nha, thậm chí là phải tháo bỏ mắc cài để điều trị bệnh lý răng miệng đang gặp phải.

Bất kỳ một thiết bị hay dụng cụ nha khoa nào có chất lượng kém đều gây ảnh hưởng nghiêm trọng đến quá trình điều trị bệnh lý răng miệng nói chung và chỉnh nha nói riêng. Do đó, các dụng cụ chỉnh nha cần phải đảm bảo vô trùng để hạn chế nguy cơ xảy ra biến chứng nghiêm trọng.
Bên cạnh đó, những thiết bị nha khoa có chứa thành phần độc hại cũng có thể làm tăng nguy cơ nhiễm trùng nướu răng. Đồng thời, dụng cụ chỉnh nha kém chất lượng sẽ không tạo được lực kéo răng như mong muốn và làm hạn chế hiệu quả chỉnh nha.
Đeo hàm duy trì nhằm mục đích duy trì cấu trúc của hàm răng sau tháo mắc cài. Tuy nhiên, nếu sử dụng sai cách và không đúng thời gian có thể làm cho các răng di chuyển về vị trí ban đầu. Điều này khiến cho toàn bộ quá trình chỉnh nha trước đó trở nên vô nghĩa.
Nếu bác sĩ chỉnh nha thiếu kinh nghiệm, tay nghề còn non kém sẽ gây ảnh hưởng trực tiếp đến quá trình niềng răng. Bác sĩ không được đào tạo chuyên môn về chỉnh nha thì việc điều chỉnh lực kéo cũng như di chuyển các răng không đúng tiêu chuẩn. Điều này có thể gây ra nhiều hậu quả nghiêm trọng, trong đó có niềng răng hỏng.
Hy vọng với những thông tin được chia sẻ trong bài viết trên, bạn đọc đã nắm được các dấu hiệu nhận biết niềng răng hỏng và nguyên nhân gây ra tình trạng này. Để đảm bảo quá trình niềng răng hiệu quả và thành công, bạn nên lựa chọn điều trị tại những cơ sở nha khoa uy tín, sở hữu đội ngũ bác sĩ có chuyên môn cao, thiết bị nha khoa tân tiến…
Xem thêm:
Dược sĩ Đại họcNguyễn Thanh Hải
Tốt nghiệp Đại học Dược Hà Nội, với hơn 10 năm kinh nghiệm trong lĩnh vực Dược phẩm. Hiện là giảng viên giảng dạy các môn Dược lý, Dược lâm sàng,...