Tốt nghiệp Đại Học Dược Hà Nội - chuyên môn Dược lâm sàng. Hiện đang là giảng viên cho Dược sĩ tại Nhà thuốc Long Châu.
Hoàng Vi
04/10/2024
Mặc định
Lớn hơn
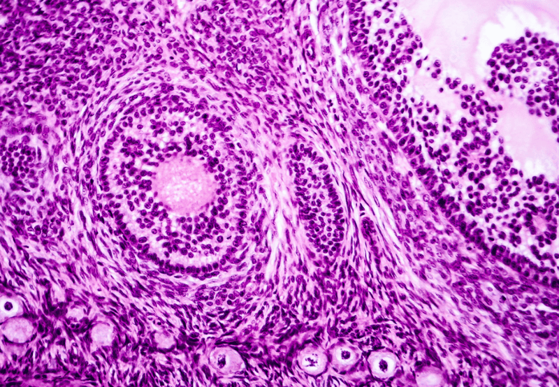
Nhuộm hai màu Hematoxylin và Eosin (H&E) là kỹ thuật nhuộm phổ biến nhất trong lĩnh vực sinh học và y học, đóng vai trò quan trọng trong việc hé mở cánh cửa dẫn đến thế giới vi mô đầy màu sắc và bí ẩn. Tuy nhiên vẫn còn nhiều người chưa biết phương pháp nhuộm 2 màu Hematoxylin Eosin để làm gì?
Thế giới vi mô ẩn chứa vô số điều kỳ diệu mà mắt thường không thể nào nhận ra. Để khám phá bí ẩn này, các nhà khoa học đã sử dụng nhiều kỹ thuật khác nhau, trong đó nhuộm hai màu Hematoxylin và Eosin (H&E) đóng vai trò vô cùng quan trọng. Vậy phương pháp nhuộm 2 màu Hematoxylin Eosin để làm gì?
Trước khi tìm hiểu nhuộm 2 màu Hematoxylin Eosin để làm gì, chúng ta cần làm rõ khái niệm của phương pháp này. Hematoxylin - Eosin (H&E) là kỹ thuật nhuộm màu mô học phổ biến nhất hiện nay, đóng vai trò quan trọng trong nghiên cứu sinh học và y học. Giống như “một chiếc kính hiển vi kỳ diệu”, H&E sử dụng hai màu sắc để hé mở bí ẩn về cấu trúc và chức năng của tế bào, từ đó hỗ trợ chẩn đoán bệnh và nghiên cứu khoa học hiệu quả. Hành trình khám phá thế giới tế bào:
H&E là kỹ thuật nhuộm màu đơn giản, hiệu quả và chi phí thấp, đóng vai trò quan trọng trong nghiên cứu khoa học và chẩn đoán y học. Nhờ có H&E, các nhà khoa học có thể khám phá thế giới tế bào đầy màu sắc và bí ẩn, từ đó góp phần nâng cao hiểu biết về cơ thể con người và phát triển các phương pháp điều trị hiệu quả hơn.

Nhuộm Hematoxylin - Eosin (H&E) được ví như "chìa khóa vàng" trong lĩnh vực chẩn đoán y học, đóng vai trò nền tảng cho các xét nghiệm mô bệnh học và tế bào học để xác định bệnh. H&E sử dụng hai loại thuốc nhuộm: Hematoxylin và Eosin, mỗi loại nhắm vào các thành phần khác nhau trong tế bào. Hematoxylin nhuộm nhân tế bào màu xanh lam hoặc tím, trong khi Eosin nhuộm bào tương màu hồng. Nhờ sự tương phản màu sắc độc đáo này, các nhà giải phẫu bệnh và tế bào bệnh học có thể:

Kỹ thuật nhuộm H&E được ưa chuộng bởi nhiều ưu điểm:

Hy vọng bài viết trên có thể giải đáp thắc mắc về phương pháp nhuộm 2 màu Hematoxylin Eosin để làm gì. Nhuộm Hematoxylin - Eosin là kỹ thuật chẩn đoán mô bệnh học và tế bào học vô cùng quan trọng, đóng góp to lớn cho việc chẩn đoán chính xác, điều trị hiệu quả và nghiên cứu khoa học trong lĩnh vực y học. Nhờ H&E, các bác sĩ có thể mở cánh cửa khám phá thế giới vi mô đầy bí ẩn, từ đó bảo vệ sức khỏe con người một cách tốt nhất.
Xem thêm:
:format(webp)/KF_1b_LIQ_Tx_J_Pb27_Vsh90_QN_6b_Xz_OB_Jo_U_f0e2294e2e.png)
Dược sĩ Đại họcNguyễn Chí Chương
Tốt nghiệp Đại Học Dược Hà Nội - chuyên môn Dược lâm sàng. Hiện đang là giảng viên cho Dược sĩ tại Nhà thuốc Long Châu.